Sjögren's disease
| Sjögren's disease | |
|---|---|
| Other names | Sjögren's syndrome, sicca syndrome |
![]() | |
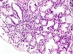
| Image with a microscope of focal lymphoid infiltration in the minor salivary gland associated with Sjögren's disease | |
| Pronunciation |
|
| Specialty | Immunology, rheumatology |
| Symptoms | Dry mouth, dry eyes, other areas of dryness[2] |
| Complications | Lymphoma[2] |
| Usual onset | Middle age[2][3] |
| Duration | Long term[4] |
| Causes | Autoimmune disease (unknown cause)[4] |
| Diagnostic method | Tissue biopsy, blood tests[2] |
| Differential diagnosis | Medication side effect, anxiety, sarcoidosis, amyloidosis[5] |
| Treatment | Artificial tears, medications to reduce inflammation, surgery[4] |
| Prognosis | Normal life expectancy[6] |
| Frequency | ~0.7%[7] |
Sjögren's disease (SjD),[8][9][10] previously known as Sjögren syndrome or Sjögren's syndrome (SjS, SS), is a long-term autoimmune disease that primarily affects the body's exocrine glands, particularly the lacrimal and salivary glands.[4][11] Common symptoms include dry mouth, dry eyes and often seriously affect other organ systems, such as the lungs, kidneys, and nervous system.[12]
Signs and symptoms
In a 2021 article on Sjögren's patients, a majority of individuals stated that eight symptoms had a major or moderate impact on their life: fatigue (79%); dry eyes (75%); dry mouth (73%); joint pain (65%); trouble sleeping (64%); eye discomfort (60%); muscle pain (56%); and brain fog (54%).[13][14][15]
Primary symptoms are dryness (dry mouth and dry eyes[2]), pain and fatigue.[16] Other symptoms can include dry skin, vaginal dryness, a chronic cough, numbness in the arms and legs, feeling tired, muscle and joint pains, and thyroid problems.[4] Those affected are also at an increased risk (15%) of lymphoma.[2][7]

The hallmark symptom of Sjögren's disease is dry mouth and keratoconjunctivitis sicca (dry eyes).[17] Vaginal dryness, dry skin, and dry nose may also occur.[17] Other organs of the body may also be affected,[18] including the kidneys, blood vessels, lungs, liver, pancreas, and brain.[17][19][20]
In some people with Sjögren's disease, skin dryness may be the result of lymphocytic infiltration into skin glands. The symptoms may develop insidiously, with the diagnosis often not considered for several years because sicca (dryness) may be attributed to medications, a dry environment, or aging, or may be regarded as not of a severity warranting the level of investigation necessary to establish the presence of the underlying autoimmune disorder.[21]
Sjögren's disease can damage vital organs, with symptoms that may plateau or worsen, or go into remission, as with other autoimmune diseases. Some people may experience only the mild symptoms of dry eyes and mouth, while others have symptoms of severe disease. Many patients can treat problems symptomatically. Others experience blurred vision, constant eye discomfort, recurrent mouth infections, swollen parotid glands, dysphonia (vocal disorders including hoarseness), and difficulty in swallowing and eating. Debilitating fatigue and joint pain can seriously impair quality of life. Some patients can develop kidney involvement (autoimmune tubulointerstitial nephritis) leading to proteinuria (excess protein in urine), urinary concentrating defect, and distal renal tubular acidosis.[22]
Complications
Among the complications discussed above, women with anti-Ro/SS-A and anti-La/SS-B antibodies who become pregnant have an increased rate of neonatal lupus erythematosus with congenital heart block requiring a pacemaker.[23] Type I cryoglobulinemia is a known complication of Sjögren's disease.[24]
Sjögren's disease can affect such organs as the liver, pancreas, kidneys, lungs, and central nervous system.[20]
Associated conditions
Sjögren's disease is associated with a number of other medical conditions, many of which are autoimmune or rheumatic disorders, such as celiac disease,[25][26] fibromyalgia, systemic lupus erythematosus (lupus), autoimmune thyroiditis, multiple sclerosis and spondyloarthropathy,[27] and several malignancies, principally non-Hodgkin lymphoma.[27][28]
Sjogren's is the second most common cause of dysautonomia.[29][30][31][32]
Causes
While the exact cause is unclear, it is believed to involve a combination of genetics and an environmental trigger such as exposure to a virus or bacterium.[4] It can occur independently of other health problems or as a result of another connective tissue disorder.[3] Sjögren's disease may be associated with other autoimmune diseases, including rheumatoid arthritis (RA), systemic lupus erythematosus (SLE) or systemic sclerosis. The inflammation that results progressively damages the glands.[7] Diagnosis is by biopsy of moisture-producing glands and blood tests for specific antibodies.[2] On biopsy there are typically lymphocytes within the glands.[2]
The cause of Sjögren's disease is unknown, but it may be the influence of a combination of genetic, environmental, and other factors, as is the case with many other autoimmune disorders.[33] Around 20 autoantibodies could be involved.[34]
Genetics
The observation of high rates of autoimmune disorders in families with a history of Sjögren's disease is linked with a genetic predisposition to the disease.[35] Studies on the polymorphisms of human leukocyte antigen (HLA)-DR and HLA-DQ gene regions in Sjögren's patients show differential susceptibility to the disease as the result of different types of the resulting autoantibody production.[35]
Hormones
Since Sjögren's disease is associated with a high prevalence in women, sex hormones, especially estrogen, are believed to affect humoral and cell-mediated immune responses affecting susceptibility to the disease.[35] Androgens are generally considered to prevent autoimmunity.[36] Studies on mice models suggest estrogen deficiency stimulates presentation of autoantigens, inducing Sjögren's-like symptoms.[35]
Microchimerism
Microchimerism of fetal cells (offspring lymphoid cells in maternal circulation) may generate autoimmunity in women who have previously been pregnant.[36][37] Generation of an autoimmune potential via microchimerism may lead to a switch from a silent form of autoimmunity with age-dependent decrease in self-tolerance.[36]
Environment
Viral proteins, engulfed molecules, or degraded self-structures may initiate autoimmunity by molecular mimicry and increase the chances of Sjögren's disease development.[36] Epstein–Barr virus, hepatitis C, and human T-cell leukemia virus-1 are among the most studied infectious agents in Sjögren's disease.[36] To date, no direct cause-and-effect relationship has been identified between these pathogens and the development of Sjögren's disease. Damaged self-structures targeted for apoptosis may be mistakenly exposed to the immune system, triggering autoimmunity in exocrine glands, which are often prone to autoimmune responses.[36]
Pathogenesis
The pathogenetic mechanisms of Sjögren's disease have not been fully elucidated, resulting in the lack of pathophysiology knowledge of the management of this autoimmune exocrinopathy. Although the numerous factors contributing to the progression of this disease have made discovering the exact origin and cause difficult, major advances over the past decade have contributed to a proposed set of pathogenic events that occur before the diagnosis of Sjögren's disease.[35]
Sjögren's disease was originally proposed as a specific, self-perpetuating, immune system-mediated loss of exocrine glands, specifically acinar and ductal cells. Although this explains the more obvious symptoms (such as the lack of saliva and lacrimal fluid), it does not explain the more widespread systemic effects seen in the progression of the disease.
In the presence of a susceptible genetic background, both environmental and hormonal factors are thought capable of triggering the infiltration of lymphocytes, specifically CD4+ T cells, B cells, and plasma cells, causing glandular dysfunction in the salivary and lacrimal glands.[35][38]
Sjögren's disease is associated with increased levels in cerebrospinal fluid (CSF) of IL-1RA, an interleukin 1 antagonist. This suggests that the disease begins with increased activity in the interleukin 1 system, followed by an autoregulatory upregulation of IL-1RA to reduce the successful binding of interleukin 1 to its receptors. Interleukin 1 likely is the marker for fatigue, but increased IL-1RA is observed in the CSF and is associated with increased fatigue through cytokine-induced sickness behavior.[39] However, Sjögren's disease is characterized by decreased levels of IL-1ra in saliva, which could be responsible for mouth inflammation and dryness.[40] Patients with secondary Sjögren's disease also often exhibit signs and symptoms of their primary rheumatic disorders, such as systemic lupus erythematosus, rheumatoid arthritis, or systemic sclerosis.
Genetic predisposition
The genetic locus most significantly associated with primary SS is the major histocompatibility complex/human leukocyte antigen (MHC/HLA) region, as demonstrated by the preliminary results of the first genome-wide association study.[41] This study included data from a discovery cohort of 395 patients of European ancestry with primary Sjögren's disease, and 1,975 healthy control individuals, and from a replication study that comprised 1,234 cases and 4,779 healthy controls. Associations with polymorphisms located at six independent loci were also detected; IRF5, STAT4, BLK, IL12A, TNIP1, and CXCR5. This also suggested the activation of the innate immune system, notably through the IFN system, B-cell activation through CXCR5-directed recruitment to lymphoid follicles and B-cell receptor (BCR) activation involving BLK, and T-cell activation owing to HLA susceptibility and the IL-12-IFN-γ-axis.[42]
Patients of different ethnic origins carry different HLA-susceptibility alleles, of which HLA-DR and HLA-DQ are involved in the pathogenesis of Sjögren's disease. For example, patients from Northern and Western Europe and North America show a high prevalence of B8, DRw52, and DR3 genes.[43] HLA class II alleles are associated with the presence of specific subsets of autoantibodies, rather than with the disease itself.[44] Autoantibodies refer to the loss of B-cell tolerance leading to the production of antibodies directed against diverse organ-specific and organ-nonspecific antigens.[35] Association between HLA and SS is restricted to patients with anti-SSA/Ro or anti-SSB/La antibodies. Seropositivity for anti-Ro and anti-La is associated with greater severity and longer duration of disease, and findings of their high abundance from the salivary glands of Sjögren's patients suggests their imperative role in the pathogenesis of SS.[45]
Beyond genetics, epigenetic abnormality related to DNA methylation, histone acetylation, or microRNA expression probably has a key role in the pathogenesis of autoimmune diseases, including Sjögren's disease, though research in this area is very limited.[46]
Environmental triggers
Environmental factors, such as glandular viral infection, could prompt epithelial cells to activate the HLA-independent innate immune system through toll-like receptors.[47] Although several infectious, exogenous agents have been implicated in the pathogenesis of Sjögren's disease, such as Epstein-Barr virus (EBV), human T-lymphotropic virus 1, and hepatitis C virus, their association with Sjögren's disease appears weak. While EBV is present in the salivary glands of normal individuals, a high incidence of EBV reactivation in Sjögren's patients has been reported with increased levels of EBV DNA. This indicates viral reactivation and the inability of lymphoid infiltrates to control EBV replication in Sjögren's disease, leading to the initiation or perpetuation of an immune response in target organs. Nonetheless, exactly how reactivation of EBV is induced in lesions of patients with Sjögren's disease, and which specific molecular mechanisms are involved in the process of viral reactivation, remain to be clarified.[48]
Inflammation
Epithelial cells in Sjögren's disease lesions are active participants in the induction and perpetuation of the inflammatory process. Environmental and hormonal factors, in concert with an appropriate genetic background, are believed to trigger Sjögren's disease, which dysregulates epithelial cells and allows aberrant homing and activation of dendritic cells (DCs), T cells, and B cells.[49] Dendritic cells are antigen-presenting cells that process antigen material and present it to other T cells. Following the migration of lymphocytes into the glands in response to chemokines and specific adhesion molecules, T cells interact with epithelial cells. Epithelial cells are further activated by proinflammatory cytokines (IL-1β, IFN-γ, and TNF), which are produced by adjacent T cells. The early accumulation of plasmacytoid dendritic cells in the target tissues, which produce high levels of type 1 IFNs, seems important, as these cells can further dysregulate the immune response through abnormal retention of lymphocytes in the tissues, and their subsequent activation. IFN-α stimulates the production of B-cell activating factor (BAFF) by epithelial cells, DCs, and T cells. BAFF stimulates aberrant B-cell maturation, leading to the emergence of self-reactive B cells, which locally produce autoantibodies, in a germinal centre-like structure (GC-like), which is also the location of lymphomagenesis (origin of lymphoma).[35]
Programmed cell death
Dysregulation of apoptosis (programmed cell death) is believed to play a role in the pathogenesis of a variety of autoimmune diseases, though its role in Sjögren's disease is controversial. Both the Fas and Fas ligand proteins are overexpressed in primary Sjögren's patients, while expression of BCL-1, which is known to downregulate apoptosis, was found significantly reduced in acinar and ductal epithelial cells of Sjögren's patients compared to healthy people.[50][51] In situ studies did not show increased apoptosis among glandular epithelial cells but did show reduced apoptosis among infiltrating mononuclear cells. Reduced apoptosis was also implicated in the accumulation of autoreactive B-cells found in the glands. The relationship of autoantibodies expressed in Sjögren's syndrome with apoptosis is still being researched.[33]
Hormonal factors
Sex hormones seem to influence humoral and cell-mediated immune response, with estrogen being considered one of the biggest factors responsible for sex-immunologic dimorphism.[52] Estrogen deficiency appears to play a role in the development of Sjögren's disease.[53] It has been hypothesized that androgen administration to the ocular surface may serve as an effective therapy for dry eyes.[54]
Diagnosis
While Sjögren's disease[55] is one of the most common autoimmune diseases, it has no specific and non-invasive diagnostic tests.
Diagnosing Sjögren's disease (SjD) is complicated by the range of symptoms that a patient may manifest, and the similarity between symptoms of Sjögren's disease and those of other conditions. Also, patients with SS symptoms approach different specialities for treatment, which can make diagnosis difficult. Since dry eyes and dry mouth are very common symptoms, and frequently occur in people over 40, affected people may believe that the symptoms are age-related, so they ignore them. Some medications can cause symptoms similar to those of Sjögren's disease.
Tests
The combination of several tests, which can be done in a series, can eventually diagnose Sjögren's disease.[37][56]
Blood tests

Blood tests can be done to determine if a patient has high levels of antibodies that are indicative of the condition, such as antinuclear antibody (ANA) and rheumatoid factor (because Sjögren's disease frequently occurs secondary to rheumatoid arthritis), which are associated with autoimmune diseases. Typical SS ANA patterns are SSA/Ro and SSB/La, of which anti-SSB/La is far more specific; anti-SSA/Ro is associated with numerous other autoimmune conditions, but is often present in SS. However, anti-SSA and anti-SSB tests are frequently not positive in SS.[59]
Rose bengal test
The rose bengal test uses a stain that measures the state and function of the lacrimal glands. This test involves placing the nontoxic dye rose bengal on the eyes. The dye's distinctive colour helps in determining the state and functioning of the tear film and the rate of tear evaporation. Any distinctive colour change can indicate SS, but confirming the condition requires many related diagnostic tools.[56]
Schirmer test
Schirmer's test measures the production of tears: a strip of filter paper is held inside the lower eyelid for five minutes, and its wetness is then measured with a ruler. Producing less than 5 mm (0.20 in) of liquid is usually indicative of SS. This measurement analysis varies among people depending on other eye-related conditions and medications in use when the test is taken.[56] A slit-lamp examination can reveal dryness on the surface of the eye.[60]
The use of Schirmer strips to test oral dryness is possible.[61][62]
Saliva flow tests
Symptoms of dry mouth and dryness in the oral cavity are caused by the reduced production of saliva from the salivary glands (parotid gland, submandibular gland, and sublingual gland). In unstimulated whole saliva flow collection, the person spits into a test tube every minute for approximately 15 minutes. A resultant collection of less than 1.5 ml (0.053 imp fl oz; 0.051 US fl oz) is considered a positive result.[63] [56] In a stimulated saliva flow test the person sucks on a sugar-free sweet, whilst collecting saliva. An unstimulated salivary flow rate of 0.1 to 0.2 ml/min and a stimulated flow rate of 0.7 ml/min or less is considered to be abnormally low flow rates indicative of salivary gland hypofunction.[64]
Unstimulated saliva production reduces by 40 to 70% between the ages of 20 and 80 years, but stimulated saliva production is not affected.[65]
Lip biopsy
A lip/salivary gland biopsy takes a tissue sample that can reveal lymphocytes clustered around salivary glands, and damage to these glands from inflammation. This test involves removing a sample of tissue from a person's inner lip/salivary gland and examining it under a microscope. On such biopsies, the single most important test result in the diagnosis of the oral component of Sjögren syndrome is likely the focus score, which is the number of mononuclear cell infiltrates containing at least 50 inflammatory cells in a 4 mm2 glandular section.[66] The Chisholm-Mason grades are also widely used for salivary gland biopsies (see table).[67]
Ultrasound
Salivary gland ultrasonography is not invasive and may help reduce unnecessary biopsies in anti-SSA-negative patients. [68][69][70][71]
Other tests
A radiological procedure is available as a reliable and accurate test for Sjögren's disease, in the form of a sialogram. A contrast agent is injected into the parotid duct, which opens from the cheek into the vestibule of the mouth opposite the neck of the upper second molar tooth. The test is intended to detect any blockage in the salivary gland ducts (i.e., parotid duct) and the amount of saliva that flows into the mouth.[56]
For Sjögren's disease, sudomotor function through electrochemical skin conductance may help in the diagnosis process.[72][73]
Autoimmune comorbidity
People with Sjögren's may also have other autoimmune conditions.[74][75][76]
Exclusions
Sjögren's disease may be excluded in people with past head and neck radiation therapy, acquired immunodeficiency syndrome, pre-existing lymphoma, sarcoidosis, graft-versus-host disease, and use of anticholinergic drugs.
Prevention
No prevention mechanism exists for Sjögren's disease (SjD) because of its complexity as an autoimmune disorder. However, lifestyle changes can reduce the risk factors related to developing SS or reduce the severity of the condition for patients who have already been diagnosed.
Diet is strongly associated with the inflammation seen in many autoimmune-related diseases, including SS. An experimental study concluded that SS patients often show high sensitivity to gluten that directly relates to inflammation.[77]
Moderate exercise is also helpful in SS patients, mainly reducing the effect of lung inflammation.[78]
Treatment
Overview
Treatment is directed at managing the person's symptoms.[4] For dry eyes, artificial tears; medications to reduce inflammation; punctal plugs or other surgery to shut the tear ducts may be tried.[4] For a dry mouth, chewing gum (preferably sugar-free); sipping water; or a saliva substitute may be used.[4] In those with joint or muscle pain, ibuprofen may be used.[4] Medications that can cause dryness, such as antihistamines, may also be stopped.[4] The most specific extant diagnostic test requires a lip biopsy.[79]
Treatments
Neither a cure nor a specific treatment for Sjögren's disease is known to permanently restore gland secretion. Instead, treatment is generally symptomatic and supportive.[80][81]
Eye care
Moisture replacement therapies such as artificial tears may ease the symptoms of dry eyes. Some patients with more severe problems use goggles to increase local humidity or have punctal plugs inserted to help retain tears on the ocular surface for a longer time.[82]
Additionally, cyclosporine (Restasis) is available by prescription to treat chronic dry eye by suppressing the inflammation that disrupts tear secretion. Prescription drugs are also available that help to stimulate salivary flow, such as cevimeline (Evoxac) and pilocarpine. Salagen, a manufactured form of pilocarpine, can be used to help produce tears, as well as saliva in the mouth and intestines.[83] It is derived from the jaborandi plant.[84]
Vaginal dryness
In women with Sjögren's disease, vaginal dryness, vulvodynia and dyspareunia (painful sexual intercourse) are often reported; personal lubricants are recommended to help lessen irritation or pain that may result from dryness in the vaginal and vulval areas.[56]
Musculoskeletal
Nonsteroidal anti-inflammatory drugs (NSAIDs) may be used to treat musculoskeletal symptoms. For individuals with severe complications, corticosteroids or immunosuppressive drugs may be prescribed, and sometimes intravenous immunoglobulins. Also, disease-modifying antirheumatic drugs such as methotrexate may be helpful. Hydroxychloroquine (Plaquenil) is another option and is generally considered safer than methotrexate. However, these prescribed drugs have a range of side effects such as nausea, loss of appetite, dizziness, hair loss, stomach aches/cramps, headache, liver toxicity and increased risk of infections.
Systemic
For systemic symptoms, including fatigue, joint pain, myositis, and neuropathy, biologic immunosuppressant drugs such as rituximab and belimumab that work via B-cell pathology are often used and have less toxic profiles than traditional immunosuppressive regimens.
Dental care
Preventive dental treatment is also necessary (and often overlooked by the patient), as the lack of saliva associated with xerostomia creates an ideal environment for the proliferation of bacteria that cause cavities.[85] Treatments include at-home topical fluoride application to strengthen tooth enamel and frequent teeth cleanings by a dental hygienist. Existing cavities must also be treated, as cavities that extend into the tooth cannot be effectively treated by teeth cleaning alone, and are at a high risk of spreading into the pulp of the tooth, leading to the loss of vitality and need for extraction or root canal therapy. This treatment regimen is the same as for all xerostomia patients, such as for those undergoing head and neck radiation therapy, which often damages the salivary glands; these glands are more susceptible to radiation than other body tissues.
Fatigue
Fatigue, depression, and aerobic capacity all showed a significant difference after a 12-week exercise program compared with controls, in favor of the exercise intervention.[86] A small study showed possible efficacy of vagus nerve stimulation for Sjogren's fatigue reduction.[87]
Prognosis
Organ-related impacts
Non-Hodgkin lymphoma
Results from several studies indicate that, compared to other autoimmune diseases, Sjögren's disease is associated with a notably high incidence of non-Hodgkin lymphoma, a cancer of white blood cells.[35] About 5% of patients with SS develop some form of lymphoid malignancy.[88] Patients with severe cases are much more likely to develop lymphomas than patients with mild or moderate cases.[89] The most common lymphomas are salivary extranodal marginal zone B cell lymphomas (MALT lymphomas in the salivary glands)[90] and diffuse large B-cell lymphoma.[89]
Lymphomagenesis in primary Sjögren's disease patients is considered a multistep process, with the first step being chronic stimulation of autoimmune B cells, especially B cells that produce rheumatoid factor at sites targeted by the disease.[91][92] This increases the frequency of oncogenic mutation, leading to any dysfunction at checkpoints of autoimmune B-cell activation to transform into malignancy. A study's findings concluded that continuous stimulation of autoimmune B cells leads to subtle germinal abnormalities in genes having specific consequences in B cells, which underlie the susceptibility to lymphoma.[93]
Other organs
Apart from the notably higher incidence of malignant NHL, Sjögren's patients show only modest or clinically insignificant deterioration in specific organ-related function.
Burden of illness
Sjögren's disease is associated with a high burden of illness,[94] and has been shown to markedly reduce quality of life (QoL),[95] with a significant impact on ability to work resulting from increased rates of disability.[96][97][98] The reduction in QoL is similar to that seen in other chronic conditions such as rheumatoid arthritis, lupus and fibromyalgia.[97]
Mortality
Published studies on the survival of Sjögren's disease patients have been limited in various respects, perhaps owing to the relatively small sample sizes and the fact that secondary Sjögren's disease is associated with other autoimmune diseases. A 2010 study found a slight increase in mortality rates of Sjögren's patients in comparison with the remainder of the population.[35] A 2016 study found that primary Sjögren's was not associated with an increase in all-cause mortality as compared with the general population, but that a subset of patients with extraglandular involvement, vasculitis, hypocomplementaemia, and cryoglobulinaemia may be at increased risk of mortality.[99] A 2021 metaanalysis showed a 46% increase in mortality, with significantly greater mortality risk in patients with older age, male gender, vasculitis, interstitial lung disease, low complements, positive anti-La/SSB and cryoglobulinaemia.[100]
Among those without other autoimmune disorders, life expectancy is unchanged.[6]
Epidemiology
Sjögren's disease (SjD) is the third-most common rheumatic autoimmune disorder, behind rheumatoid arthritis and systemic lupus erythematosus.[21]
There are no geographical differences in the rates of SS.[101] Sjögren's syndrome has been reported in all areas of the world, although regional rates have not been well studied.[101][102]
Depending on the criteria for determining prevalence, studies estimate the prevalence of SS at between 500,000 and two million people in the United States. Broader studies of SS prevalence range widely, with some reports of up to a prevalence of 3% of the population.[21] A few studies have reported that the incidence of the syndrome varies between three and six per 100,000 per year.[21][103] Between 0.2 and 1.2% of the population is affected, with half having the primary form and half the secondary form.[7] It is around 10 times more common in women than in men.[3] Though the disease commonly begins in middle age, people of any age can be affected.[2][3]
Nine out of 10 SjD patients are women.[33][102] In addition to prevalence in women, having a first-degree relative with an autoimmune disease and previous pregnancies have been identified as epidemiological risk factors.[104] Despite the lower risk for men, primary SS in men tends to represent a more severe form of the disease.[105] The role of race and ethnicity in the prevalence of the disease is unknown.
Although Sjögren's disease occurs in all age groups, the average age of onset is between ages 40 and 60, although as many as half of all cases may be left undiagnosed or unreported.[33][21][106][107] The prevalence of SS generally increases with age.[21]
Sjögren's disease is reported in 30-50% of people with rheumatoid arthritis and 10-25% with systemic lupus erythematosus.[33]
History
The disease was described in 1933 by Henrik Sjögren, after whom it is named, but several earlier descriptions of people with the symptoms exist.[3]
Jan Mikulicz-Radecki (1850–1905) is generally credited with the first description of SS. In 1892, he described a 42-year-old man with enlargement of the parotid and lacrimal glands associated with a round-cell infiltrate and acinar atrophy.[56][108] However, the criteria that Mikulicz established for diagnosis often led to misdiagnosis of Mikulicz's syndrome. Many conditions, such as tuberculosis, infections, sarcoidosis, and lymphoma present with similar conditions to those ascribed to Mikulicz's syndrome.[56] Nevertheless, the term "Mikulicz's syndrome" is still used occasionally to describe the appearance of lymphocytic infiltrates on salivary-gland biopsies.[56]
In 1930, Henrik Sjögren (1899–1986), an ophthalmologist in Jönköping, Sweden, observed a patient with low secretions from the lacrimal and salivary glands.[109] Sjögren introduced the term keratoconjunctivitis sicca for the symptom of dry eyes (keratoconjunctivitis). In 1933, he published his doctoral thesis describing 19 females, most of whom were postmenopausal and had arthritis, showing clinical and pathological manifestations of the syndrome.[108] Sjögren clarified that keratoconjunctivitis sicca, resulting from water deficiency, had no relation to xerophthalmia, resulting from vitamin A deficiency.[108] Sjögren's thesis was not well received as the Board of Examiners criticized some clinical aspects.[109]
After extensive research and data collection, Sjögren published an essential paper in 1951, describing 80 patients with keratoconjunctivitis sicca, 50 of whom also had arthritis.[109] His subsequent follow-up conference trips pertaining to his paper led to an international interest in Sjögren's syndrome.[109] The term "keratoconjunctivitis sicca" was coined by Sjögren himself and began to be identified as Sjögren's syndrome in literature,[109] although it can now have more general usage.
Research

Research into multifactorial autoimmune diseases such as SS focuses on expanding the knowledge surrounding the disorder, improving diagnostic tools and finding ways to prevent, manage and cure the disorder. The United Kingdom Primary Sjögren's Syndrome Registry, a tissue biobank of samples taken for research, supported by the Medical Research Council, UK, was established in 2010. It supports clinical trials and genetic studies of Sjögren's syndrome and is open to those wishing to participate in research studies and to researchers studying the disease.[110]
As with other autoimmune diseases, susceptibility to Sjögren's disease is greatly influenced by the human leukocyte antigen.[111] DQA1*05:01, DQB1*02:01, and DRB1*03:01 alleles were identified as risk factors, while DQA1*02:01, DQA1*03:01 and DQB1*05:01 alleles were found to be protective factors for the disease.[112] The relationship between alleles and specific race was also established.[113] HLA-DQ2 and HLA-B8 are generally found in Caucasian patients, while HLA-DR5 is related to Greek and Israeli patients.[113] Multiple genome-wide association scans may be conducted in the future to identify key risk variants.[111]
Viruses that have been associated with Sjögren's disease include human T-lymphotropic virus type 1 (HTLV-1), Epstein-Barr virus (EBV), human immunodeficiency virus (HIV), hepatitis delta virus (HDV) and hepatitis C virus (HCV).[113][114][115]
Some research has shown that deficiencies of vitamin A and vitamin D are associated with the disease.[113] Vitamin D deficiency was found to be related to neurological manifestations and the presence of lymphoma among patients. Vitamin A levels were inversely associated with extraglandular manifestations of the disease.[113]
Saliva is a potential diagnostic tool for Sjögren's disease because the salivary component is changed after the onset of the disease.[116] With the new miniaturization technology, called lab on a chip, the diagnosis can be more convenient.[116]
Concerning therapeutics, multiple monoclonal antibodies were under investigation in 2007.[117] The most promising seemed to be the anti-CD20 rituximab and the anti-CD22 epratuzumab, while the anti-TNF-α and IFN-α seemed less effective.[117]
In 2014, the Sjögren's Foundation (previously the Sjögren's Syndrome Foundation) announced a five-year goal to halve the disease's average time to diagnosis.[118]
Society and culture
Notable cases
- Shannon Boxx (U.S. Olympic soccer player) has both Sjögren's disease and lupus.[119]
- Carrie Ann Inaba (singer-actress) is the national awareness ambassador and spokesperson for the Sjögren's Foundation (previously the Sjögren's Syndrome Foundation).[120]
- Venus Williams (world champion tennis player) has been diagnosed with Sjögren's disease and said she had struggled with fatigue for years.[121]
- Stephen McPhail (professional soccer player for Ireland, Leeds, and Cardiff City) was diagnosed with lymphoma and Sjögren's disease at age 29.[122]
- Halsey (singer) was diagnosed with Sjogren's, Ehlers-Danlos syndrome, mast cell activation syndrome, and postural orthostatic tachycardia syndrome.[123]
- Slađana Milošević (Serbian singer) died after struggling with Sjögren's disease.[124]
References
- ^ Elsevier, Dorland's Illustrated Medical Dictionary, Elsevier, archived from the original on 2014-01-11, retrieved 2014-06-17.
- ^ a b c d e f g h i Brito-Zerón P, Baldini C, Bootsma H, Bowman SJ, Jonsson R, Mariette X, Sivils K, Theander E, Tzioufas A, Ramos-Casals M (7 July 2016). "Sjögren syndrome". Nature Reviews Disease Primers. 2 (1): 16047. doi:10.1038/nrdp.2016.47. hdl:11568/809074. PMID 27383445. S2CID 4049076.
- ^ a b c d e Ng WF (2016). Sjögren's Syndrome. Oxford University Press. pp. 10–11. ISBN 978-0-19-873695-0. Archived from the original on 15 August 2016.
- ^ a b c d e f g h i j k "What Is Sjögren's Syndrome? Fast Facts". NIAMS. November 2014. Archived from the original on 4 July 2016. Retrieved 15 July 2016.
- ^ Ferri FF (2010). Ferri's differential diagnosis: a practical guide to the differential diagnosis of symptoms, signs, and clinical disorders (2nd ed.). Philadelphia, PA: Elsevier/Mosby. p. Chapter S. ISBN 978-0-323-07699-9.
- ^ a b Singh AG, Singh S, Matteson EL (March 2016). "Rate, risk factors and causes of mortality in patients with Sjögren's syndrome: a systematic review and meta-analysis of cohort studies". Rheumatology. 55 (3): 450–60. doi:10.1093/rheumatology/kev354. PMC 5009445. PMID 26412810.
- ^ a b c d John H K (2008). Primer on the rheumatic diseases (13th ed.). New York, New York: Springer. p. 389. ISBN 978-0-387-68566-3. Archived from the original on 15 August 2016. Retrieved 15 July 2016.
- ^ Baer AN, Hammitt KM (July 2021). "Sjögren's Disease, Not Syndrome". Arthritis & Rheumatology. 73 (7): 1347–1348. doi:10.1002/art.41676. ISSN 2326-5191. PMID 33559389.
- ^ Ramos-Casals M, Baer AN, Brito-Zerón Md, Hammitt KM, Bouillot C, Retamozo S, Mackey A, Yarowsky D, Turner B, Blanck J, Fisher BA, Akpek EK, Baldini C, Bootsma H, Bowman SJ (July 2025). "2023 International Rome consensus for the nomenclature of Sjögren disease". Nature Reviews Rheumatology. 21 (7): 426–437. doi:10.1038/s41584-025-01268-z. ISSN 1759-4804.
- ^ "Sjögren's Syndrome to Sjögren's Disease: Why the Name Changed". Sjögren's Foundation. Retrieved 2024-10-18.
- ^ Mavragani CP, Moutsopoulos HM (2014-10-21). "Sjögren syndrome". Canadian Medical Association Journal. 186 (15): E579 – E586. doi:10.1503/cmaj.122037. ISSN 0820-3946. PMC 4203623. PMID 24566651.
- ^ Holdgate N, St Clair EW (17 June 2016). "Recent advances in primary Sjogren's syndrome". F1000Research. 5: 1412. doi:10.12688/f1000research.8352.1. PMC 4916986. PMID 27347394.
- ^ Saldanha IJ, Bunya VY, McCoy SS, Makara M, Baer AN, Akpek EK (2020). "Ocular Manifestations and Burden Related to Sjögren Syndrome: Results of a Patient Survey". American Journal of Ophthalmology. 219: 40–48. doi:10.1016/j.ajo.2020.05.043. PMC 7606749. PMID 32569739.
- ^ McCoy SS, Woodham M, Bartels CM, Saldanha IJ, Bunya VY, Maerz N, Akpek EK, Makara MA, Baer AN (2022). "Symptom-Based Cluster Analysis Categorizes Sjögren's Disease Subtypes: An International Cohort Study Highlighting Disease Severity and Treatment Discordance". Arthritis & Rheumatology. 74 (9): 1569–1579. doi:10.1002/art.42238. PMC 9427679. PMID 35594474.
- ^ McCoy SS, Woodham M, Bunya VY, Saldanha IJ, Akpek EK, Makara MA, Baer AN (2022). "A comprehensive overview of living with Sjögren's: Results of a National Sjögren's Foundation survey". Clinical Rheumatology. 41 (7): 2071–2078. doi:10.1007/s10067-022-06119-w. PMC 9610846. PMID 35257256.
- ^ Cornec D, Devauchelle-Pensec V, Mariette X, Jousse-Joulin S, Berthelot JM, Perdriger A, Puéchal X, Le Guern V, Sibilia J, Gottenberg JE, Chiche L, Hachulla E, Yves Hatron P, Goeb V, Hayem G, Morel J, Zarnitsky C, Dubost JJ, Saliou P, Pers JO, Seror R, Saraux A (April 2017). "Severe Health-Related Quality of Life Impairment in Active Primary Sjögren's Syndrome and Patient-Reported Outcomes: Data From a Large Therapeutic Trial". Arthritis Care & Research. 69 (4): 528–535. doi:10.1002/acr.22974. PMID 27390310. S2CID 22904103.
- ^ a b c "Sjögren's Syndrome Information Page". nih.gov. Archived from the original on 19 May 2018. Retrieved 18 May 2018.
- ^ Sandhya P, Jeyaseelan L, Scofield RH, Danda D (26 June 2015). "Clinical Characteristics and Outcome of Primary Sjogren's Syndrome: A Large Asian Indian Cohort". The Open Rheumatology Journal. 9 (1): 36–45. doi:10.2174/1874312901409010036. PMC 4493630. PMID 26161156.
- ^ "Indian Rheumatology Association | IRA E-NEWSLETTER". www.indianrheumatology.org. Archived from the original on July 6, 2020. Retrieved 6 July 2020.
- ^ a b "Symptoms". Sjögren's Foundation. Archived from the original on 19 April 2020. Retrieved 14 April 2020.
- ^ a b c d e f Fox RI, Stern M, Michelson P (September 2000). "Update in Sjögren syndrome". Curr Opin Rheumatol. 12 (5): 391–8. doi:10.1097/00002281-200009000-00007. PMID 10990175.
- ^ "Indian Rheumatology Association | IRA E-NEWSLETTER". www.indianrheumatology.org. Archived from the original on 6 July 2020. Retrieved 6 July 2020.
- ^ Manthorpe R, Svensson A, Wirestrand LE (November 2004). "Late neonatal lupus erythematosus onset in a child born of a mother with primary Sjögren's syndrome". Ann. Rheum. Dis. 63 (11): 1496–7. doi:10.1136/ard.2003.014944. PMC 1754813. PMID 15479901.
- ^ Ramos-Casals M, Cervera R, Yagüe J, García-Carrasco M, Trejo O, Jiménez S, Morlà RM, Font J, Ingelmo M (December 1998). "Cryoglobulinemia in primary Sjögren's syndrome: prevalence and clinical characteristics in a series of 115 patients". Semin Arthritis Rheum. 28 (3): 200–5. doi:10.1016/S0049-0172(98)80037-1. PMID 9872481.
- ^ Lundin KE, Wijmenga C (Sep 2015). "Coeliac disease and autoimmune disease–genetic overlap and screening". Nat Rev Gastroenterol Hepatol (Review). 12 (9): 507–15. doi:10.1038/nrgastro.2015.136. PMID 26303674. S2CID 24533103.
- ^ Denham JM, Hill ID (August 2013). "Celiac disease and autoimmunity: review and controversies". Curr Allergy Asthma Rep (Review). 13 (4): 347–53. doi:10.1007/s11882-013-0352-1. PMC 3725235. PMID 23681421.
- ^ a b Gabriel SE, Michaud K (2009). "Epidemiological studies in incidence, prevalence, mortality, and comorbidity of the rheumatic diseases". Arthritis Res Ther (Review). 11 (3): 229. doi:10.1186/ar2669. PMC 2714099. PMID 19519924.
- ^ Papageorgiou A, Voulgarelis M, Tzioufas AG (Jul 2015). "Clinical picture, outcome and predictive factors of lymphoma in Sjӧgren syndrome". Autoimmun Rev (Review). 14 (7): 641–9. doi:10.1016/j.autrev.2015.03.004. PMID 25808075.
- ^ Davies K, Ng WF (2021). "Autonomic Nervous System Dysfunction in Primary Sjögren's Syndrome". Frontiers in Immunology. 12. doi:10.3389/fimmu.2021.702505. PMC 8350514. PMID 34381453.
- ^ Imrich R, Alevizos I, Bebris L, Goldstein DS, Holmes CS, Illei GG, Nikolov NP (2015). "Predominant Glandular Cholinergic Dysautonomia in Patients with Primary Sjögren's Syndrome". Arthritis & Rheumatology. 67 (5): 1345–1352. doi:10.1002/art.39044. PMC 4414824. PMID 25622919.
- ^ "Dysautonomia: Malfunctions in Your Body's Automatic Functions".
- ^ "Dysautonomia in Sjögren's". 26 October 2023.
- ^ a b c d e Borchers AT, Naguwa SM, Keen CL, Gershwin ME (August 2003). "Immunopathogenesis of Sjögren's syndrome". Clin Rev Allergy Immunol. 25 (1): 89–104. doi:10.1385/CRIAI:25:1:89. PMID 12794264. S2CID 7098743.
- ^ Martín-Nares E, Hernández-Molina G (February 2019). "Novel autoantibodies in Sjögren's syndrome: A comprehensive review". Autoimmunity Reviews. 18 (2): 192–198. doi:10.1016/j.autrev.2018.09.003. PMID 30572138. S2CID 58656692.
- ^ a b c d e f g h i j Voulgarelis M., Tzioufas A. G. (2010). "Pathogenetic mechanisms in the initiation and perpetuation of Sjögren's syndrome". Nature Reviews. Rheumatology. 6 (9): 529–537. doi:10.1038/nrrheum.2010.118. PMID 20683439. S2CID 8755126.
- ^ a b c d e f Delaleu N, Jonsson R, Koller MM (April 2005). "Sjögren's syndrome". Eur. J. Oral Sci. 113 (2): 101–13. doi:10.1111/j.1600-0722.2004.00183.x. PMID 15819815.
- ^ a b Whitacre C. C. (2001). "Sex differences in autoimmune disease". Nat. Immunol. 2 (9): 777–780. doi:10.1038/ni0901-777. PMID 11526384. S2CID 6743550.
- ^ Mohammad Dezfulian, Tomasz Kula, Thomas Pranzatelli, Nolan Kamitaki, Qingda Meng, Bhuwan Khatri, Paola Perez et al. "TScan-II: A genome-scale platform for the de novo identification of CD4+ T cell epitopes." Cell 186, no. 25 (2023): 5569-5586. DOI: 10.1016/j.cell.2023.10.024
- ^ Harboe E, Tjensvoll AB, Vefring HK, Gøransson LG, Kvaløy JT, Omdal R (2009). "Fatigue in primary Sjögren's disease – A link to sickness behaviour in animals?". Brain, Behavior, and Immunity. 23 (8): 1104–8. doi:10.1016/j.bbi.2009.06.151. PMID 19560535. S2CID 43828817.
- ^ Perrier S, Coussediere C, Dubost JJ, Albuisson E, Sauvezie B (1998). "IL-1 receptor antagonist (IL-1RA) gene polymorphism in Sjögren's disease and rheumatoid arthritis". Clinical Immunology and Immunopathology. 87 (3): 309–13. doi:10.1006/clin.1998.4520. PMID 9646842.
- ^ Reveille JD (October 1992). "The molecular genetics of systemic lupus erythematosus and Sjögren's disease". Current Opinion in Rheumatology. 4 (5): 644–56. PMID 1419498.
- ^ Lessard CJ, Li H, Ice JA, Adrianto I, Jonsson R, Illei GG, Rischmueller M, Nordmark G, Mariette X, Miceli-Richard C, Wahren Herlenius M, Witte T, Brennan M, Omdal R, Gaffney PM, Lessard JA, Rönnblom L, Ng WF, Rhodus N, Segal B, Scofield RH, James JA, Anaya JM, Montgomery CG, Harley JB, Moser Sivils K (June 2013). "OP0020 Identification of Multiple Sjögren's Syndrome Susceptibility Loci". Annals of the Rheumatic Diseases. 72 (Suppl 3): A54.3–A55. doi:10.1136/annrheumdis-2013-eular.225. S2CID 84998601.
- ^ Kang HI, Fei HM, Saito I, Sawada S, Chen SL, Yi D, Chan E, Peebles C, Bugawan TL, Erlich HA (April 1993). "Comparison of HLA class II genes in Caucasoid, Chinese, and Japanese patients with primary Sjögren's syndrome". J. Immunol. 150 (8 Pt 1): 3615–23. doi:10.4049/jimmunol.150.8.3615. PMID 8468491. S2CID 1453558.
- ^ Bolstad AI, Wassmuth R, Haga HJ, Jonsson R (July 2001). "HLA markers and clinical characteristics in Caucasians with primary Sjögren's syndrome". J. Rheumatol. 28 (7): 1554–62. PMID 11469461.
- ^ Fei HM, Kang H, Scharf S, Erlich H, Peebles C, Fox R (1991). "Specific HLA-DQA and HLA-DRB1 alleles confer susceptibility to Sjögren's disease and autoantibody production". J. Clin. Lab. Anal. 5 (6): 382–91. doi:10.1002/jcla.1860050604. PMID 1685512. S2CID 39754064.
- ^ Lu Q (2013). "The critical importance of epigenetics in autoimmunity". J. Autoimmun. 41: 1–5. doi:10.1016/j.jaut.2013.01.010. PMID 23375849.
- ^ Takeda K, Kaisho T, Akira S (2003). "Toll-like receptors". Annu. Rev. Immunol. 21: 335–76. doi:10.1146/annurev.immunol.21.120601.141126. PMID 12524386.
- ^ Pflugfelder SC, Crouse CA, Monroy D, Yen M, Rowe M, Atherton SS (July 1993). "Epstein-Barr virus and the lacrimal gland pathology of Sjögren's syndrome". Am. J. Pathol. 143 (1): 49–64. PMC 1886957. PMID 8391219.
- ^ Manoussakis MN, Boiu S, Korkolopoulou P, Kapsogeorgou EK, Kavantzas N, Ziakas P, Patsouris E, Moutsopoulos HM (December 2007). "Rates of infiltration by macrophages and dendritic cells and expression of interleukin-18 and interleukin-12 in the chronic inflammatory lesions of Sjögren's syndrome: correlation with certain features of immune hyperactivity and factors associated with high risk of lymphoma development". Arthritis Rheum. 56 (12): 3977–88. doi:10.1002/art.23073. PMID 18050195.
- ^ Ohlsson M, Szodoray P, Loro LL, Johannessen AC, Jonsson R (December 2002). "CD40, CD154, Bax and Bcl-2 expression in Sjögren's syndrome salivary glands: a putative anti-apoptotic role during its effector phases". Scand. J. Immunol. 56 (6): 561–71. doi:10.1046/j.1365-3083.2002.01168.x. PMID 12472667. S2CID 39543376.
- ^ Ohlsson M, Skarstein K, Bolstad AI, Johannessen AC, Jonsson R (January 2001). "Fas-induced apoptosis is a rare event in Sjögren's syndrome". Lab. Invest. 81 (1): 95–105. doi:10.1038/labinvest.3780215. PMID 11204278.
- ^ Cutolo M, Sulli A, Capellino S, Villaggio B, Montagna P, Seriolo B, Straub RH (2004). "Sex hormones influence on the immune system: basic and clinical aspects in autoimmunity". Lupus. 13 (9): 635–8. doi:10.1191/0961203304lu1094oa. PMID 15485092. S2CID 23941507.
- ^ Mavragani CP, Fragoulis GE, Moutsopoulos HM (Dec 2012). "Endocrine alterations in primary Sjögren's disease: an overview". J Autoimmun (Review). 39 (4): 354–8. doi:10.1016/j.jaut.2012.05.011. PMID 22695186.
- ^ Sullivan DA, Wickham LA, Rocha EM, Krenzer KL, Sullivan BD, Steagall R, Cermak JM, Dana MR, Ullman MD, Sato EH, Gao J, Rocha FJ, Ono M, Silveira LA, Lambert RW, Kelleher RS, Tolls DB, Toda I (1999). "Androgens and dry eye in Sjögren's syndrome". Ann N Y Acad Sci. 876 (1): 312–24. Bibcode:1999NYASA.876..312S. doi:10.1111/j.1749-6632.1999.tb07656.x. PMID 10415627. S2CID 33718591.
- ^ "Sjögren's syndrome treatment – NHS". nhs.uk. 2017-10-23. Retrieved 2020-10-03.
- ^ a b c d e f g h i Fox R. I. (2005). "Sjögren's syndrome". Lancet. 366 (9482): 321–331. doi:10.1016/s0140-6736(05)66990-5. PMID 16039337. S2CID 16426363.
- ^ Al-Mughales JA (2022). "Anti-Nuclear Antibodies Patterns in Patients With Systemic Lupus Erythematosus and Their Correlation With Other Diagnostic Immunological Parameters". Front Immunol. 13: 850759. doi:10.3389/fimmu.2022.850759. PMC 8964090. PMID 35359932.
Minor edits by Mikael Häggström, MD
- Attribution 4.0 International (CC BY 4.0) license - ^ "Blood and Urine Tests". Johns Hopkins School of Medicine. Retrieved 2023-05-28.
- ^ "Sjögren Syndrome (SS) Laboratory Testing | Beutner Labs". Beutner Laboratories. Retrieved 2025-05-30.
- ^ "Schirmer test Information | Mount Sinai - New York". Mount Sinai Health System. Retrieved 2025-05-30.
- ^ Schoppmeier CM, Helpap J, Hagemeier A, Wicht MJ, Barbe AG (August 2022). "Using the modified Schirmer test for dry mouth assessment: A cross-sectional study". European Journal of Oral Sciences. 130 (4): e12880. doi:10.1111/eos.12880. PMID 35692181. S2CID 249622808.
- ^ Wróbel-Dudzińska D, Kubik-Komar A, Rykwa D, Kosior-Jarecka E, Żarnowski T, Chałas R (2021). "The use of Schirmer strips to measure salivary and lacrimal flow in non-Sjögren patients". Clinical Oral Investigations. 25 (6): 4107–4114. doi:10.1007/s00784-020-03741-3. PMC 8137574. PMID 33389133.
- ^ Dr. J. Parks, Ancaster ON Canada
- ^ "How to Perform a Salivary Gland and Salivary Flow Exam". 15 June 2020.
- ^ Lacombe V, Lacout C, Lozac'h P, Ghali A, Gury A, Lavigne C, Urbanski G (December 2020). "Unstimulated whole saliva flow for diagnosis of primary Sjögren's disease: time to revisit the threshold?". Arthritis Research & Therapy. 22 (1): 38. doi:10.1186/s13075-020-2132-3. PMC 7041275. PMID 32093745. S2CID 211265587.
- ^ Segerberg-Konttinen M, Konttinen YT, Bergroth V (1986). "Focus score in the diagnosis of Sjögren's disease". Scand J Rheumatol Suppl. 61: 47–51. doi:10.1080/15027732.1986.12461378. PMID 3473649.
{{cite journal}}: CS1 maint: multiple names: authors list (link) - ^ Costa S, Quintin-Roué I, Lesourd A, Jousse-Joulin S, Berthelot JM, Hachulla E, et al. (2015). "Reliability of histopathological salivary gland biopsy assessment in Sjögren's syndrome: a multicentre cohort study". Rheumatology (Oxford). 54 (6): 1056–64. doi:10.1093/rheumatology/keu453. PMID 25433039.
{{cite journal}}: CS1 maint: multiple names: authors list (link) - ^ Tang G, Luo Y, Mo Y, Yao J, Yang H, Hao S (2023). "Diagnostic value of ultrasound evaluation of major salivary glands for Sjögren's disease based on the novel OMERACT scoring system". European Journal of Radiology. 162. doi:10.1016/j.ejrad.2023.110765. PMID 36893528. S2CID 257370253.
- ^ "Salivary gland ultrasound may help diagnose Sjögren's disease: Study | Ultrasound may be as effective as salivary gland biopsy for diagnosis: Study | Sjogren's Syndrome News". 10 March 2023.
- ^ Lorenzon M, Spina E, Tulipano Di Franco F, Giovannini I, De Vita S, Zabotti A (2022). "Salivary Gland Ultrasound in Primary Sjögren's Syndrome: Current and Future Perspectives". Open Access Rheumatology: Research and Reviews. 14: 147–160. doi:10.2147/OARRR.S284763. PMC 9444027. PMID 36072437.
- ^ "Sjögren's Syndrome". National Institute of Arthritis and Musculoskeletal and Skin Diseases. 7 April 2017. Archived from the original on 19 July 2024. Retrieved 29 October 2023.
- ^ Zouari HG, Wahab A, Ng Wing Tin S, Sène D, Lefaucheur JP (April 2019). "The Clinical Features of Painful Small-Fiber Neuropathy Suggesting an Origin Linked to Primary Sjögren's Syndrome". Pain Practice. 19 (4): 426–434. doi:10.1111/papr.12763. PMID 30636091. S2CID 58646701.
- ^ Ng Wing Tin S, Zouari HG, Wahab A, Sène D, Lefaucheur JP (1 May 2019). "Characterization of Neuropathic Pain in Primary Sjögren's Syndrome with Respect to Neurophysiological Evidence of Small-Fiber Neuropathy". Pain Medicine. 20 (5): 979–987. doi:10.1093/pm/pny183. PMID 30247738.
- ^ Murphy MJ, Edemobi P, Leasure AC, Gulati M, Miller EJ, Damsky W, Cohen JM (2023). "Autoimmune comorbidities associated with sarcoidosis: A case-control study in the All of Us research program". Rheumatology Advances in Practice. pp. rkad030. doi:10.1093/rap/rkad030. PMC 11007907. PMID 38606002. Archived from the original on 2024-07-19. Retrieved 2023-10-29.
- ^ Bao YK, Weide LG, Ganesan VC, Jakhar I, McGill JB, Sahil S, Cheng AL, Gaddis M, Drees BM (2019). "High prevalence of comorbid autoimmune diseases in adults with type 1 diabetes from the HealthFacts database". Journal of Diabetes. 11 (4): 273–279. doi:10.1111/1753-0407.12856. PMID 30226016. S2CID 52287975.
- ^ Serraino C (29 December 2022). "Comorbidities in Autoimmune Disease & Multiple Autoimmune Syndrome". Global Autoimmune Institute. Archived from the original on June 6, 2023.
- ^ Lidén M, Kristjánsson G, Valtýsdóttir S, Hällgren R (August 2007). "Gluten sensitivity in patients with primary Sjögren's syndrome". Scand. J. Gastroenterol. 42 (8): 962–7. doi:10.1080/00365520701195345. PMID 17613926. S2CID 26333122.
- ^ Strömbeck BE, Theander E, Jacobsson LT (May 2007). "Effects of exercise on aerobic capacity and fatigue in women with primary Sjogren's syndrome". Rheumatology (Oxford). 46 (5): 868–71. doi:10.1093/rheumatology/kem004. PMID 17308315.
- ^ Giovelli RA, Santos MC, Serrano ÉV, Valim V (2015-02-15). "Clinical characteristics and biopsy accuracy in suspected cases of Sjögren's disease referred to labial salivary gland biopsy". BMC Musculoskelet Disord. 16 30. doi:10.1186/s12891-015-0482-9. PMC 4332430. PMID 25887888.
- ^ "Sjogren syndrome: MedlinePlus Medical Encyclopedia". medlineplus.gov. Archived from the original on 2024-07-19. Retrieved 2022-11-18.
- ^ "Sjogren's Syndrome". www.rheumatology.org. Archived from the original on 2024-07-19. Retrieved 2022-11-18.
- ^ "Sjögren's Syndrome". National Institute of Arthritis and Musculoskeletal and Skin Diseases. 2017-04-07. Archived from the original on 2018-06-27. Retrieved 2024-03-11.
- ^ Vivino FB (2009). "The treatment of Sjögren's syndrome patients with Pilocarpine-tablets". Scandinavian Journal of Rheumatology. 30 (115): 1–13. doi:10.1080/030097401300232583. PMID 11469515. S2CID 21260961.
- ^ de Abreu IN (2005). "Production of pilocarpine in callus of jaborandi (pilocarpus microphyllus stapf)". In Vitro Cellular & Developmental Biology – Plant. 41 (6): 806–811. Bibcode:2005IVCDB..41..806A. doi:10.1079/IVP2005711. S2CID 26058596.
- ^ Xin W, Leung KC, Lo EC, Mok MY, Leung MH (2016). "A randomized, double-blind, placebo-controlled clinical trial of fluoride varnish in preventing dental caries of Sjögren's disease patients". BMC Oral Health. 16 (1): 102. doi:10.1186/s12903-016-0296-7. PMC 5034648. PMID 27664129.
- ^ Strömbeck BE, Theander E, Jacobsson LT (May 2007). "Effects of exercise on aerobic capacity and fatigue in women with primary Sjogren's syndrome". Rheumatology. 46 (5): 868–871. doi:10.1093/rheumatology/kem004. ISSN 1462-0324. PMID 17308315.
- ^ Tarn J, Evans E, Traianos E, Collins A, Stylianou M, Parikh J, Bai Y, Guan Y, Frith J, Lendrem D, Macrae V, McKinnon I, Simon BS, Blake J, Baker MR, Taylor JP, Watson S, Gallagher P, Blamire A, Newton J, Ng WF (1 April 2023). "The Effects of Noninvasive Vagus Nerve Stimulation on Fatigue in Participants With Primary Sjögren's Syndrome". Neuromodulation: Technology at the Neural Interface. 26 (3): 681–689. doi:10.1016/j.neurom.2022.08.461. ISSN 1094-7159. PMID 37032583. S2CID 253172246.
- ^ Tzioufas AG, Voulgarelis M (2007). "Update on Sjögren's syndrome autoimmune epithelitis: from classification to increased neoplasias". Best Pract Res Clin Rheumatol. 21 (6): 989–1010. doi:10.1016/j.berh.2007.09.001. PMID 18068857.
- ^ a b Smedby KE, Baecklund E, Askling J (2006). "Malignant lymphomas in autoimmunity and inflammation: a review of risks, risk factors, and lymphoma characteristics". Cancer Epidemiol. Biomarkers Prev. 15 (11): 2069–77. doi:10.1158/1055-9965.EPI-06-0300. PMID 17119030.
- ^ Voulgarelis M, Skopouli FN (2007). "Clinical, immunologic, and molecular factors predicting lymphoma development in Sjogren's syndrome patients". Clin Rev Allergy Immunol. 32 (3): 265–74. doi:10.1007/s12016-007-8001-x. PMID 17992593. S2CID 19070113.
- ^ Martin T, Weber JC, Levallois H, Labouret N, Soley A, Koenig S, Korganow AS, Pasquali JL (April 2000). "Salivary gland lymphomas in patients with Sjögren's syndrome may frequently develop from rheumatoid factor B cells". Arthritis Rheum. 43 (4): 908–16. doi:10.1002/1529-0131(200004)43:4<908::AID-ANR24>3.0.CO;2-K. PMID 10765938.
- ^ Bende RJ, Aarts WM, Riedl RG, de Jong D, Pals ST, van Noesel CJ (April 2005). "Among B cell non-Hodgkin's lymphomas, MALT lymphomas express a unique antibody repertoire with frequent rheumatoid factor reactivity". J. Exp. Med. 201 (8): 1229–41. doi:10.1084/jem.20050068. PMC 2213160. PMID 15837810.
- ^ Nocturne G, Boudaoud S, Miceli Richard C, Viengchareun S, Lazure T, Nititham J, Taylor KE, Criswell LA, Ma A, Busato F, Melki J, Dubost JJ, Hachulla E, Gottenberg JE, Lombes M, Tost J, Mariette X (June 2013). "OP0023 Germinal and Somatic Genetic Variants of TNFAIP3 Promote Lymphomagenesis Process Complicating Primary Sjögren's Syndrome". Annals of the Rheumatic Diseases. 72 (Suppl 3): A55.3–A56. doi:10.1136/annrheumdis-2013-eular.228. S2CID 75620379.
- ^ Vivino FB (September 2017). "Sjogren's syndrome: Clinical aspects". Clinical Immunology. 182: 48–54. doi:10.1016/j.clim.2017.04.005. PMID 28428095.
- ^ "Patient Survey Results".
- ^ Meijer JM, Meiners PM, Huddleston Slater JJ, Spijkervet FK, Kallenberg CG, Vissink A, Bootsma H (September 2009). "Health-related quality of life, employment and disability in patients with Sjögren's disease". Rheumatology. 48 (9): 1077–1082. doi:10.1093/rheumatology/kep141. PMID 19553376.
- ^ a b Miyamoto ST, Valim V, Fisher BA (18 June 2021). "Health-related quality of life and costs in Sjögren's syndrome" (PDF). Rheumatology. 60 (6): 2588–2601. doi:10.1093/rheumatology/key370. PMID 30770918.
- ^ Zhang Q, Wang X, Chen H, Shen B (10 May 2017). "Sjögren's syndrome is associated with negatively variable impacts on domains of health-related quality of life: evidence from Short Form 36 questionnaire and a meta-analysis". Patient Preference and Adherence. 11: 905–911. doi:10.2147/PPA.S132751. PMC 5436777. PMID 28546741.
- ^ Singh AG, Singh S, Matteson EL (27 September 2015). "Rate, risk factors and causes of mortality in patients with Sjögren's syndrome: a systematic review and meta-analysis of cohort studies". Rheumatology. 55 (3): 450–460. doi:10.1093/rheumatology/kev354. PMC 5009445. PMID 26412810.
- ^ Huang H, Xie W, Geng Y, Fan Y, Zhang Z (1 September 2021). "Mortality in patients with primary Sjögren's syndrome: a systematic review and meta-analysis". Rheumatology. 60 (9): 4029–4038. doi:10.1093/rheumatology/keab364. PMID 33878179.
- ^ a b Mavragani C. P., Moutsopoulos H. M. (2010). "The geoepidemiology of Sjogren's syndrome". Autoimmunity Reviews. 9 (5): A305 – A310. doi:10.1016/j.autrev.2009.11.004. PMID 19903539.
- ^ a b Jonsson R, Vogelsang P, Volchenkov R, Espinosa A, Wahren-Herlenius M, Appel S (December 2011). "The complexity of Sjögren's syndrome: novel aspects on pathogenesis". Immunol. Lett. 141 (1): 1–9. doi:10.1016/j.imlet.2011.06.007. PMID 21777618.
- ^ Alamanos Y, Tsifetaki N, Voulgari PV, Venetsanopoulou AI, Siozos C, Drosos AA (February 2006). "Epidemiology of primary Sjögren's syndrome in north-west Greece, 1982–2003". Rheumatology (Oxford). 45 (2): 187–91. doi:10.1093/rheumatology/kei107. PMID 16332955.
- ^ Priori R, Medda E, Conti F, Cassarà EA, Sabbadini MG, Antonioli CM, Gerli R, Danieli MG, Giacomelli R, Pietrogrande M, Valesini G, Stazi MA (2007). "Risk factors for Sjögren's syndrome: a case-control study". Clin. Exp. Rheumatol. 25 (3): 378–84. PMID 17631733.
- ^ Ramírez Sepúlveda JI, Kvarnström M, Brauner S, Baldini C, Wahren-Herlenius M (December 2017). "Difference in clinical presentation between women and men in incident primary Sjögren's syndrome". Biology of Sex Differences. 8 (1): 16. doi:10.1186/s13293-017-0137-7. PMC 5427625. PMID 28507729. S2CID 2500540.
- ^ Haugen AJ, Peen E, Hultén B, Johannessen AC, Brun JG, Halse AK, Haga HJ (2008). "Estimation of the prevalence of primary Sjögren's syndrome in two age-different community-based populations using two sets of classification criteria: the Hordaland Health Study". Scand. J. Rheumatol. 37 (1): 30–4. doi:10.1080/03009740701678712. PMID 18189192. S2CID 42392790.
- ^ García-Carrasco M, Ramos-Casals M, Rosas J, Pallarés L, Calvo-Alen J, Cervera R, Font J, Ingelmo M (July 2002). "Primary Sjögren syndrome: clinical and immunologic disease patterns in a cohort of 400 patients". Medicine (Baltimore). 81 (4): 270–80. doi:10.1097/00005792-200207000-00003. PMID 12169882. S2CID 8279532.
- ^ a b c Parke AL, Buchanan WW (1998). "Sjögren's syndrome: History, clinical and pathological features". Inflammopharmacology. 6 (4): 271–87. doi:10.1007/s10787-998-0012-6. PMID 17657625. S2CID 12580734.
- ^ a b c d e Murube, J. Henrik Sjögren, 1899–1986. The ocular surface 8, 2–2 (2010)
- ^ Ng WF, Bowman SJ, Griffiths B (January 2011). "United Kingdom Primary Sjogren's Syndrome Registry—a united effort to tackle an orphan rheumatic disease". Rheumatology (Oxford). 50 (1): 32–9. doi:10.1093/rheumatology/keq240. PMID 20693261.
- ^ a b Ice JA, Li H, Adrianto I, Lin PC, Kelly JA, Montgomery CG, Lessard CJ, Moser KL (August 2012). "Genetics of Sjögren's syndrome in the genome-wide association era". J. Autoimmun. 39 (1–2): 57–63. doi:10.1016/j.jaut.2012.01.008. PMC 3518871. PMID 22289719.
- ^ Cruz-Tapias P, Rojas-Villarraga A, Maier-Moore S, Anaya JM (February 2012). "HLA and Sjögren's syndrome susceptibility. A meta-analysis of worldwide studies". Autoimmun Rev. 11 (4): 281–7. doi:10.1016/j.autrev.2011.10.002. PMID 22001416.
- ^ a b c d e Peri Y, Agmon-Levin N, Theodor E, Shoenfeld Y (February 2012). "Sjögren's syndrome, the old and the new". Best Pract Res Clin Rheumatol. 26 (1): 105–17. doi:10.1016/j.berh.2012.01.012. PMID 22424197.
- ^ Igoe A, Scofield RH (July 2013). "Autoimmunity and infection in Sjögren's syndrome". Current Opinion in Rheumatology. 25 (4): 480–487. doi:10.1097/BOR.0b013e32836200d2. PMC 4410971. PMID 23719365.
- ^ Weller ML, Gardener MR, Bogus ZC, Smith MA, Astorri E, Michael DG, Michael DA, Zheng C, Burbelo PD, Lai Z, Wilson PA, Swaim W, Handelman B, Afione SA, Bombardieri M, Chiorini JA (23 May 2016). "Hepatitis Delta Virus Detected in Salivary Glands of Sjögren's Syndrome Patients and Recapitulates a Sjögren's Syndrome-Like Phenotype in Vivo". Pathogens and Immunity. 1 (1): 12–40. doi:10.20411/pai.v1i1.72. PMC 4902173. PMID 27294212. S2CID 13763999.
- ^ a b Liu J, Duan Y (July 2012). "Saliva: a potential media for disease diagnostics and monitoring". Oral Oncol. 48 (7): 569–77. doi:10.1016/j.oraloncology.2012.01.021. PMID 22349278.
- ^ a b Meijer JM, Pijpe J, Bootsma H, Vissink A, Kallenberg CG (June 2007). "The future of biologic agents in the treatment of Sjögren's syndrome". Clin Rev Allergy Immunol. 32 (3): 292–7. doi:10.1007/s12016-007-8005-6. PMC 2071970. PMID 17992596.
- ^ ""Breakthrough Goal" SSF Launches 5-Year Breakthrough Goal/"To shorten the time to diagnose Sjögren's by 50% in 5 years!"". Sjögren's Syndrome Foundation. August 2016. Archived from the original on 13 August 2014.
- ^ "Olympic soccer player Shannon Boxx's battle with lupus". CNN. 2012. Archived from the original on 22 February 2014. Retrieved 18 February 2014.
- ^ "Carrie Ann Inaba doesn't let Sjögren's syndrome stand in her way". MedlinePlus. Archived from the original on November 13, 2021.
- ^ "Williams Says She Struggled With Fatigue for Years". NY Times. 2011. Archived from the original on 10 September 2012. Retrieved 18 February 2014.
- ^ "How Venus Williams got Stephen McPhail back on track after autoimmune disease diagnosis". Irish Examiner. 2020-03-03. Retrieved 2020-10-03.
- ^ "Halsey Reveals They've Developed Multiple Health Problems Since Giving Birth to Son Ender". Vanity Fair. 11 May 2022. Archived from the original on 19 July 2024. Retrieved 20 June 2022.
- ^ "Jutarnji list - Slađana Milošević je bolovala od opakog sindroma: 'Napada sve sustave, ni doktori ne znaju...'". www.jutarnji.hr (in Croatian). 2024-03-26. Archived from the original on 2024-07-19. Retrieved 2024-03-27.
- Some of the original text for this article was obtained from a public domain resource at NIH
Further reading
- Price EJ, Rauz S, Tappuni AR, Sutcliffe N, Hackett KL, Barone F, Granata G, Ng WF, Fisher BA, Bombardieri M, Astorri E, Empson B, Larkin G, Crampton B, Bowman SJ, British Society for Rheumatology Standards, Guideline and Audit Working Group (1 October 2017). "The British Society for Rheumatology guideline for the management of adults with primary Sjögren's Syndrome". Rheumatology. 56 (10): e24 – e48. doi:10.1093/rheumatology/kex166. PMID 28957550.
External links
- Sjögren syndrome at NHS Choices
- Sjögren syndrome – US National Institute of Arthritis and Musculoskeletal and Skin Diseases
- US Sjögren's Foundation
.jpg)