Lymphoma

Lymphoma
Illustration depicting lymphoma developing in the lymphatic system
SpecialtyHematology and oncology
SymptomsEnlarged lymph nodes, fever, sweats, unintended weight loss, itching, feeling tired[1][2]
Risk factorsEpstein–Barr virus, autoimmune diseases, HIV/AIDS, tobacco smoking[2][3]
Diagnostic methodLymph node biopsy[1][2]
TreatmentChemotherapy, radiation therapy, proton therapy, targeted therapy, surgery[1][2]
PrognosisAverage five year survival 85% (USA)[4]
Frequency4.9 million (2015)[5]
Deaths204,700 (2015)[6]

Lymphoma is a group of blood and lymph tumors that develop from lymphocytes (a type of white blood cell).[7] The name typically refers to just the cancerous versions rather than all such tumours.[7] Signs and symptoms may include enlarged lymph nodes, fever, drenching sweats, unintended weight loss, itching, and constantly feeling tired.[1][2] The enlarged lymph nodes are usually painless.[1] The sweats are most common at night.[1][2]

Many subtypes of lymphomas are known.[8] The two main categories of lymphomas are the non-Hodgkin lymphoma (NHL) (90% of cases)[9][10] and Hodgkin lymphoma (HL) (10%).[9] Lymphomas, leukemias and myelomas are a part of the broader group of tumors of the hematopoietic and lymphoid tissues.[11]

Risk factors for Hodgkin lymphoma include infection with Epstein–Barr virus and a history of the disease in the family.[1] Risk factors for common types of non-Hodgkin lymphomas include autoimmune diseases, HIV/AIDS, infection with human T-lymphotropic virus, immunosuppressant medications, and some pesticides.[2][12] Eating large amounts of red meat and tobacco smoking may also increase the risk.[3][13][14] Diagnosis, if enlarged lymph nodes are present, is usually by lymph node biopsy.[1][2] Blood, urine, and bone marrow testing may also be useful in the diagnosis.[2] Medical imaging may then be done to determine if and where the cancer has spread.[1][2] Lymphoma most often spreads to the lungs, liver, and brain.[1][2]

Treatment may involve one or more of the following: chemotherapy, radiation therapy, proton therapy, targeted therapy, and surgery.[1][2] In some non-Hodgkin lymphomas, an increased amount of protein produced by the lymphoma cells causes the blood to become so thick that plasmapheresis is performed to remove the protein.[2] Watchful waiting may be appropriate for certain types.[2] The outcome depends on the subtype, with some being curable and treatment prolonging survival in most.[9] The five-year survival rate in the United States for all Hodgkin lymphoma subtypes is 85%,[4] while that for non-Hodgkin lymphomas is 69%.[15] Worldwide, lymphomas developed in 566,000 people in 2012 and caused 305,000 deaths.[16] They make up 3–4% of all cancers, making them as a group the seventh-most-common form.[16][17] In children, they are the third-most-common cancer.[18] They occur more often in the developed world than in the developing world.[16]

Signs and symptoms

The lymph nodes where lymphoma most commonly develops

Lymphoma may present with certain nonspecific symptoms; if the symptoms are persistent, an evaluation to determine their cause, including possible lymphoma, should be undertaken.

Diagnosis

An initial evaluation of a suspected lymphoma is to make a "touch prep" wherein a glass slide is lightly pressed against excised lymphoid tissue, and subsequently stained (usually H&E stain) for evaluation under light microscopy.

Lymphoma is definitively diagnosed by a lymph-node biopsy, meaning a partial or total excision of a lymph node examined under the microscope.[22] This examination reveals histopathological features that may indicate lymphoma. After lymphoma is diagnosed, a variety of tests may be carried out to look for specific features characteristic of different types of lymphoma. These include:

Classification

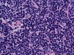
Lymph node with mantle cell lymphoma (low-power view, H&E)

According to the World Health Organization (WHO), lymphoma classification should reflect in which lymphocyte population the neoplasm arises.[23] Thus, neoplasms that arise from precursor lymphoid cells are distinguished from those that arise from mature lymphoid cells.[23] Most mature lymphoid neoplasms comprise the non-Hodgkin lymphomas.[23] Historically, mature histiocytic and dendritic cell (HDC) neoplasms have been considered mature lymphoid neoplasms, since these often involve lymphoid tissue.[23]

Lymphoma can also spread to the central nervous system, often around the brain in the meninges, known as lymphomatous meningitis (LM).[24]

Hodgkin lymphoma

Hodgkin lymphoma accounts for about 15% of lymphomas.[25] It differs from other forms of lymphomas in its prognosis and several pathological characteristics. A division into Hodgkin and non-Hodgkin lymphomas is used in several of the older classification systems. A Hodgkin lymphoma is marked by the presence of a type of cell called the Reed–Sternberg cell.[26][27]

Non-Hodgkin lymphomas

Non-Hodgkin lymphomas, which are defined as being all lymphomas except Hodgkin lymphoma, are more common than Hodgkin lymphoma. A wide variety of lymphomas are in this class, and the causes, the types of cells involved, and the prognoses vary by type. The number of cases per year of non-Hodgkin lymphoma increases with age. It is further divided into several subtypes.[28]

Epstein–Barr virus-associated lymphoproliferative diseases

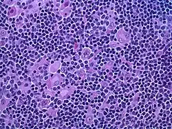
Follicular lymphoma replacing a lymph node

Epstein–Barr virus-associated lymphoproliferative diseases are a group of benign, premalignant, and malignant diseases of lymphoid cells (i.e., B cells, T cells, NK cells, and histiocytic-dendritic cells) in which one or more of these cell types is infected with the Epstein–Barr virus (EBV). The virus may be responsible for the development and/or progression of these diseases. In addition to EBV-positive Hodgkin lymphomas, the World Health Organization (2016) includes the following lymphomas, when associated with EBV infection, in this group of diseases: Burkitt lymphoma; large B cell lymphoma, not otherwise specified; diffuse large B cell lymphoma associated with chronic inflammation; fibrin-associated diffuse large B cell lymphoma; primary effusion lymphoma; plasmablastic lymphoma; extranodal NK/T cell lymphoma, nasal type; peripheral T cell lymphoma, not otherwise specified; angioimmunoblastic T-cell lymphoma; follicular T cell lymphoma; and systemic T cell lymphoma of childhood.[29]

WHO classification

The WHO classification, published in 2001 and updated in 2008, 2017, and 2022,[30] is based upon the foundations laid within the "revised European–American lymphoma classification" (REAL). This system groups lymphomas by cell type (i.e., the normal cell type that most resembles the tumor) and defining phenotypic, molecular, or cytogenetic characteristics. The five groups are shown in the table. Hodgkin lymphoma is considered separately within the WHO and preceding classifications, although it is recognized as being a tumor, albeit markedly abnormal, of lymphocytes of mature B cell lineage.[31]

Of the many forms of lymphoma, some are categorized as indolent (e.g. small lymphocytic lymphoma), compatible with a long life even without treatment, whereas other forms are aggressive (e.g. Burkitt's lymphoma), causing rapid deterioration and death. However, most of the aggressive lymphomas respond well to treatment and are curable. The prognosis, therefore, depends on the correct diagnosis and classification of the disease, which is established after examination of a biopsy by a pathologist (usually a hematopathologist).[32]

Lymphoma subtypes (WHO 2008)
Mature B cell neoplasms
DNA-microarray analysis of Burkitt's lymphoma and diffuse large B-cell lymphoma (DLBCL) showing differences in gene expression patterns. Colors indicate levels of expression; green indicates genes that are underexpressed in lymphoma cells (as compared to normal cells), whereas red indicates genes that are overexpressed in lymphoma cells.
3–4% of lymphomas in adults
Small resting lymphocytes mixed with variable numbers of large activated cells, lymph nodes diffusely effaced
CD5, surface immunoglobulin
5-year survival rate 50%.[33]
Occurs in older adults, usually involves lymph nodes, bone marrow and spleen, most patients have peripheral blood involvement, indolent
About 5% of lymphomas in adults
Variable cell size and differentiation, 40% show plasma cell differentiation, homing of B cells to epithelium creates lymphoepithelial lesions.
CD5, CD10, surface Ig
Frequently occurs outside lymph nodes, very indolent, may be cured by local excision
About 40% of lymphomas in adults
Small "cleaved" [cleft] cells (centrocytes) mixed with large activated cells (centroblasts), usually nodular ("follicular") growth pattern
CD10, surface Ig
About 72–77%[34]
Occurs in older adults, usually involves lymph nodes, bone marrow and spleen, associated with t(14;18) translocation overexpressing Bcl-2, indolent
About 3–4% of lymphomas in adults
Lymphocytes of small to intermediate size growing in diffuse pattern
CD5
About 50[35] to 70%[35]
Occurs mainly in adult males, usually involves lymph nodes, bone marrow, spleen and GI tract, associated with t(11;14) translocation overexpressing cyclin D1, moderately aggressive
About 40–50% of lymphomas in adults
Variable, most resemble B cells of large germinal centers, diffuse growth pattern
Variable expression of CD10 and surface Ig
Five-year survival rate 60%[36]
Occurs in all ages, but most commonly in older adults, may occur outside lymph nodes, aggressive
< 1% of lymphomas in the United States
Round lymphoid cells of intermediate size with several nucleoli, starry-sky appearance by diffuse spread with interspersed apoptosis
CD10, surface Ig
Five-year survival rate 50%[37]
Endemic in Africa, sporadic elsewhere, more common in immunocompromised and children, often visceral involvement, highly aggressive
Mature T cell and natural killer (NK) cell neoplasms
Most common cutaneous lymphoid malignancy
Usually small lymphoid cells with convoluted nuclei that often infiltrate the epidermis, creating Pautrier microabscesseses
CD4
5-year survival 75%[38]
Localized or more generalized skin symptoms, generally indolent, in a more aggressive variant, Sézary's disease, skin erythema and peripheral blood involvement
Most common T cell lymphoma
Variable, usually a mix small to large lymphoid cells with irregular nuclear contours
CD3
Probably consists of several rare tumor types, often disseminated and generally aggressive
Precursor lymphoid neoplasms
15% of childhood acute lymphoblastic leukemia and 90% of lymphoblastic lymphoma.[39]: 635 
Lymphoblasts with irregular nuclear contours, condensed chromatin, small nucleoli and scant cytoplasm without granules
TdT, CD2, CD7
It often presents as a mediastinal mass because of involvement of the thymus. It is highly associated with NOTCH1 mutations, and is most common in adolescent males.
Hodgkin lymphoma
Most common type of Hodgkin lymphoma
Reed–Sternberg cell variants and inflammation, usually broad sclerotic bands that consist of collagen
CD15, CD30
Most common in young adults, often arises in the mediastinum or cervical lymph nodes
    • Mixed cellularity Hodgkin lymphoma
Second-most common form of Hodgkin lymphoma
Many classic Reed–Sternberg cells and inflammation
CD15, CD30
Most common in men, more likely to be diagnosed at advanced stages than the nodular sclerosis form Epstein–Barr virus involved in 70% of cases
Immunodeficiency-associated lymphoproliferative disorders
  • Associated with a primary immune disorder
  • Associated with the human immunodeficiency virus (HIV)
  • Post-transplant
  • Associated with methotrexate therapy
  • Primary central nervous system lymphoma occurs most often in immunocompromised patients, in particular those with AIDS, but it can occur in the immunocompetent, as well. It has a poor prognosis, particularly in those with AIDS. Treatment can consist of corticosteroids, radiotherapy, and chemotherapy, often with methotrexate.

Previous classifications

Several previous classifications have been used, including Rappaport 1956, Lennert/Kiel 1974, BNLI, Working formulation (1982), and REAL (1994).

The Working Formulation of 1982 was a classification of non-Hodgkin lymphoma. It excluded the Hodgkin lymphomas and divided the remaining lymphomas into four grades (low, intermediate, high, and miscellaneous) related to prognosis, with some further subdivisions based on the size and shape of affected cells. This purely histological classification included no information about cell surface markers or genetics and made no distinction between T-cell lymphomas and B-cell lymphomas. It was widely accepted at the time of its publication but by 2004 was obsolete.[40]

In 1994, the Revised European-American Lymphoma (REAL) classification applied immunophenotypic and genetic features in identifying distinct clinicopathologic entities among all the lymphomas except Hodgkin lymphoma.[41] For coding purposes, the ICD-O (codes 9590–9999)[42] and ICD-10 (codes C81-C96)[43] are available.

Staging

Diagram showing common sites where lymphoma spreads

After a diagnosis and before treatment, cancer is staged. This refers to determining if the cancer has spread, and if so, whether locally or to distant sites. Staging is reported as a grade between I (confined) and IV (spread). The stage of a lymphoma helps predict a patient's prognosis and is used to help select the appropriate therapy.[44]

The Ann Arbor staging system is routinely used for staging of both HL and NHL. In this staging system, stage I represents localized disease contained within a lymph node group, II represents the presence of lymphoma in two or more lymph nodes groups, III represents spread of the lymphoma to lymph nodes groups on both sides of the diaphragm, and IV indicates spread to tissue outside the lymphatic system. Different suffixes imply the involvement of different organs, for example, S for the spleen and H for the liver. Extra-lymphatic involvement is expressed with the letter E. In addition, the presence of B symptoms (one or more of the following: unintentional loss of 10% body weight in the last 6 months, night sweats, or persistent fever of 38 °C or more) or their absence is expressed with B or A, respectively.[45]

CT scan or PET scan imaging modalities are used to stage cancer. PET scanning is advised for fluorodeoxyglucose-avid lymphomas, such as Hodgkin lymphoma, as a staging tool that can even replace bone marrow biopsy. For other lymphomas, CT scanning is recommended for staging.[44]

Age and poor performance status are other established poor prognostic factors.[46] This means that people who are elderly or too sick to take care of themselves are more likely to be killed by lymphoma than others.

Differential diagnosis

Certain lymphomas (extranodal NK/T-cell lymphoma, nasal type and type II enteropathy-associated T-cell lymphoma) can be mimicked by two benign diseases that involve the excessive proliferation of nonmalignant NK cells in the GI tract, natural killer cell enteropathy, a disease wherein NK cell infiltrative lesions occur in the intestine, colon, stomach, or esophagus, and lymphomatoid gastropathy, a disease wherein these cells' infiltrative lesions are limited to the stomach. These diseases do not progress to cancer, may regress spontaneously and do not respond to, and do not require, chemotherapy or other lymphoma treatments.[47]

Treatment

Prognoses and treatments are different for HL and between all the different forms of NHL,[48] and also depend on the grade of tumour, referring to how quickly a cancer replicates. Paradoxically, high-grade lymphomas are more readily treated and have better prognoses:[49] Burkitt lymphoma, for example, is a high-grade tumour known to double within days, and is highly responsive to treatment.

Low-grade

Many low-grade lymphomas remain indolent (growing slowly or not at all) for many years – sometimes, for the rest of the person's life. With an indolent lymphoma, such as follicular lymphoma, watchful waiting is often the initial course of action, because monitoring is less risky and less harmful than early treatment.[50]

If a low-grade lymphoma becomes symptomatic, radiotherapy or chemotherapy are the treatments of choice. Although these treatments do not permanently cure the lymphoma, they can alleviate the symptoms, particularly painful lymphadenopathy. People with these types of lymphoma can live near-normal lifespans, even though the disease is technically incurable.

Some centers advocate the use of single agent rituximab in the treatment of follicular lymphoma rather than the wait-and-watch approach. Watchful waiting is not a desirable strategy for everyone, as it leads to significant distress and anxiety in some people. It has been called "watch and worry".[51]

High-grade

Treatment of some other, more aggressive, forms of lymphoma can result in a cure in the majority of cases, but the prognosis for people with a poor response to therapy is worse.[52] Treatment for these types of lymphoma typically consists of aggressive chemotherapy, including the CHOP or R-CHOP regimen. A number of people are cured with first-line chemotherapy. Most relapses occur within the first two years, and the relapse risk drops significantly thereafter.[53] For people who relapse, high-dose chemotherapy followed by autologous stem cell transplantation is a proven approach.[54]

The treatment of side effects is also important as they can occur due to the chemotherapy or the stem cell transplantation. It was evaluated whether mesenchymal stromal cells can be used for the treatment and prophylaxis of graft-versus-host diseases. The evidence is very uncertain about the therapeutic effect of mesenchymal stromal cells to treat graft-versus-host diseases on the all-cause mortality and complete disappear of chronic acute graft-versus-host diseases. Mesenchymal stromal cells may result in little to no difference in the all-cause mortality, relapse of malignant disease and incidence of acute and chronic graft-versus-host diseases if they are used for prophylactic reason.[55] Moreover, it was seen that platelet transfusions for people undergoing a chemotherapy or a stem cell transplantation for the prevention of bleeding events had different effects on the number of participants with a bleeding event, the number of days on which a bleeding occurred, the mortality secondary to bleeding and the number of platelet transfusions depending on the way they were used (therapeutic, depending on a threshold, different dose schedules or prophylactic).[56][57]

Four chimeric antigen receptor T cell therapies are FDA-approved for non-Hodgkin lymphoma, including lisocabtagene maraleucel (for relapsed or refractory large B-cell lymphoma with two failed systemic treatments), axicabtagene ciloleucel, tisagenlecleucel (for large B-cell lymphoma), and brexucabtagene autoleucel (for mantle cell lymphoma). These therapies come with certification and other restrictions.[58]

Hodgkin lymphoma

Hodgkin lymphoma typically is treated with radiotherapy alone, as long as it is localized.[59]

Advanced Hodgkin disease requires systemic chemotherapy, sometimes combined with radiotherapy.[60] Chemotherapy used includes the ABVD regimen, which is commonly used in the United States. Other regimens used in the management of Hodgkin lymphoma include BEACOPP and Stanford V. Considerable controversy exists regarding the use of ABVD or BEACOPP. Briefly, both regimens are effective, but BEACOPP is associated with more toxicity. Encouragingly, a significant number of people who relapse after ABVD can still be salvaged by stem cell transplant.[61]

Scientists evaluated whether positron emission tomography scans between the chemotherapy cycles can be used to make assumptions about the survival. The evidence is very uncertain about the effect of negative (= good prognosis) or positive (= bad prognosis) interim PET scan results on the progression-free survival. Negative interim PET scan results may result in an increase in progression-free survival compared if the adjusted result was measured. Negative interim PET scan results probably result in a large increase in the overall survival compared to those with a positive interim PET scan result.[62]

Current research evaluated whether Nivolumab can be used for the treatment of a Hodgkin's lymphoma. The evidence is very uncertain about the effect of Nivolumab for patients with a Hodgkin's lymphoma on the overall survival, the quality of life, the survival without a progression, the response rate (=complete disappear) and grade 3 or 4 serious adverse events.[63]

Palliative care

Palliative care, a specialized medical care focused on the symptoms, pain, and stress of a serious illness, is recommended by multiple national cancer treatment guidelines as an accompaniment to curative treatments for people with lymphoma.[64][65] It is used to address both the direct symptoms of lymphoma and many unwanted side effects that arise from treatments.[66][67] Palliative care can be especially helpful for children who develop lymphoma, helping both children and their families deal with the physical and emotional symptoms of the disease.[66][68][69][70] For these reasons, palliative care is especially important for people requiring bone marrow transplants.[71][72]

Supportive treatment

Adding physical exercises to the standard treatment for adult patients with haematological malignancies like lymphomas may result in little to no difference in the mortality, the quality of life and the physical functioning. These exercises may result in a slight reduction in depression. Furthermore, aerobic physical exercises probably reduce fatigue. The evidence is very uncertain about the effect on anxiety and serious adverse events.[73]

Prognosis

Five-year relative survival by stage at diagnosis[74]
Stage at diagnosis Five-year relative
survival (%)
Percentage
of cases (%)
Localized (confined to primary site) 82.3 26
Regional (spread to regional lymph nodes) 78.3 19
Distant (cancer has metastasized) 62.7 47
Unknown (unstaged) 68.6 8

Epidemiology

Deaths from lymphomas and multiple myeloma per million persons in 2012
  0–13
  14–18
  19–22
  23–28
  29–34
  35–42
  43–57
  58–88
  89–121
  122–184

Lymphoma is the most common form of hematological malignancy, or "blood cancer", in the developed world.

Taken together, lymphomas represent 5.3% of all cancers (excluding simple basal cell and squamous cell skin cancers) in the United States and 55.6% of all blood cancers.[75]

According to the U.S. National Institutes of Health, lymphomas account for about 5%, and Hodgkin lymphoma in particular accounts for less than 1% of all cases of cancer in the United States.[76]

Because the whole lymphatic system is part of the body's immune system, people with a weakened immune system such as from HIV infection or from certain drugs or medication also have a higher number of cases of lymphoma.[77]

History

Thomas Hodgkin

Thomas Hodgkin published the first description of lymphoma in 1832, specifically of the form named after him.[78] Since then, many other forms of lymphoma have been described.

The term "lymphoma" is from Latin lympha ("water") and from Greek -oma ("morbid growth, tumor").[79]

Research

The two types of lymphoma research are clinical or translational research and basic research. Clinical/translational research focuses on studying the disease in a defined and generally immediately applicable way, such as testing a new drug in people. Studies may focus on effective means of treatment, better ways of treating the disease, improving the quality of life for people, or appropriate care in remission or after cures. Hundreds of clinical trials are being planned or conducted at any given time.[80]

Basic science research studies the disease process at a distance, such as seeing whether a suspected carcinogen can cause healthy cells to turn into lymphoma cells in the laboratory or how the DNA changes inside lymphoma cells as the disease progresses. The results from basic research studies are generally less immediately useful to people with the disease,[81] but can improve scientists' understanding of lymphoma and form the foundation for future, more effective treatments.

Other animals

References

  1. ^ a b c d e f g h i j k "General Information About Adult Hodgkin Lymphoma". National Cancer Institute. 2014-04-23. Archived from the original on 5 July 2014. Retrieved 20 June 2014.
  2. ^ a b c d e f g h i j k l m n "General Information About Adult Non-Hodgkin Lymphoma". National Cancer Institute. 2014-04-25. Archived from the original on 5 July 2014. Retrieved 20 June 2014.
  3. ^ a b Kamper-Jørgensen M, Rostgaard K, Glaser SL, Zahm SH, Cozen W, Smedby KE, et al. (September 2013). "Cigarette smoking and risk of Hodgkin lymphoma and its subtypes: a pooled analysis from the International Lymphoma Epidemiology Consortium (InterLymph)". Annals of Oncology. 24 (9): 2245–2255. doi:10.1093/annonc/mdt218. PMC 3755332. PMID 23788758.
  4. ^ a b "Hodgkin Lymphoma—SEER Stat Fact Sheets". Seer.cancer.gov. Archived from the original on 2012-10-17. Retrieved 2012-08-26.
  5. ^ Allen C, Arora M, Barber RM, Bhutta ZA, Brown A, Carter A, et al. (GBD 2015 Disease and Injury Incidence and Prevalence Collaborators) (October 2016). "Global, regional, and national incidence, prevalence, and years lived with disability for 310 diseases and injuries, 1990–2015: a systematic analysis for the Global Burden of Disease Study 2015". Lancet. 388 (10053): 1545–1602. doi:10.1016/S0140-6736(16)31678-6. PMC 5055577. PMID 27733282.
  6. ^ Wang H, et al. (October 2016). "Global, regional, and national life expectancy, all-cause mortality, and cause-specific mortality for 249 causes of death, 1980–2015: a systematic analysis for the Global Burden of Disease Study 2015". Lancet. 388 (10053): 1459–1544. doi:10.1016/s0140-6736(16)31012-1. PMC 5388903. PMID 27733281.
  7. ^ a b Taylor EJ (2000). Dorland's Illustrated medical dictionary (29th ed.). Philadelphia: Saunders. p. 1038. ISBN 0-7216-6254-4.
  8. ^ Aditya Bardia (2010). Johns Hopkins Patients' Guide to Lymphoma. Jones & Bartlett Learning. p. 6. ISBN 978-1-4496-3141-3. Archived from the original on 2017-09-10.
  9. ^ a b c "The Lymphoma Guide Information for Patients and Caregivers" (PDF). Leukemia and Lymphoma Society. 2013. Archived (PDF) from the original on 14 July 2014. Retrieved 20 June 2014.
  10. ^ "Lymphoma". NCI. 2011-02-02. Archived from the original on 5 July 2014. Retrieved 13 June 2014.
  11. ^ Vardiman JW, Thiele J, Arber DA, Brunning RD, Borowitz MJ, Porwit A, et al. (July 2009). "The 2008 revision of the World Health Organization (WHO) classification of myeloid neoplasms and acute leukemia: rationale and important changes". Blood. 114 (5): 937–951. doi:10.1182/blood-2009-03-209262. PMID 19357394. S2CID 3101472.
  12. ^ Hu L, Luo D, Zhou T, Tao Y, Feng J, Mei S (December 2017). "The association between non-Hodgkin lymphoma and organophosphate pesticides exposure: A meta-analysis". Environmental Pollution. 231 (Pt 1): 319–328. Bibcode:2017EPoll.231..319H. doi:10.1016/j.envpol.2017.08.028. PMID 28810201.
  13. ^ Yang L, Dong J, Jiang S, Shi W, Xu X, Huang H, et al. (November 2015). "Red and Processed Meat Consumption Increases Risk for Non-Hodgkin Lymphoma: A PRISMA-Compliant Meta-Analysis of Observational Studies". Medicine. 94 (45): e1729. doi:10.1097/MD.0000000000001729. PMC 4912242. PMID 26559248.
  14. ^ Solimini AG, Lombardi AM, Palazzo C, De Giusti M (May 2016). "Meat intake and non-Hodgkin lymphoma: a meta-analysis of observational studies". Cancer Causes & Control. 27 (5): 595–606. doi:10.1007/s10552-016-0745-2. hdl:11573/865541. PMID 27076059. S2CID 17430078.
  15. ^ "SEER Stat Fact Sheets: Non-Hodgkin Lymphoma". NCI. Archived from the original on 6 July 2014. Retrieved 18 June 2014.
  16. ^ a b c World Cancer Report 2014. World Health Organization. 2014. pp. Chapter 5.13. ISBN 978-92-832-0429-9.
  17. ^ Marcus R (2013). Lymphoma : pathology, diagnosis and treatment (Second ed.). Cambridge University Press. p. 1. ISBN 978-1-107-01059-8. Archived from the original on 2015-09-06.
  18. ^ Tepper John E. Niederhuber, James O. Armitage, James H. Doroshow, Michael B. Kastan, Joel E. (2014). "Childhood lymphoma". Abeloff's clinical oncology (Fifth ed.). Elsevier. p. Chapter 97. ISBN 978-1-4557-2865-7.{{cite book}}: CS1 maint: multiple names: authors list (link)
  19. ^ a b c d e f "About Lymphoma". Lymphoma Research Foundation. Archived from the original on 2 December 2012. Retrieved 22 December 2012.
  20. ^ a b c d e f g h "Warning Signs of Lymphoma — First Signs of Lymphoma". Lymphoma.about.com. Archived from the original on 2012-11-18. Retrieved 2012-12-01.
  21. ^ "Primary CNS Lymphoma: Overview, Etiology, Epidemiology". Medscape. 2019-11-09. Archived from the original on 2020-01-30. Retrieved 2020-01-30.
  22. ^ Mallick I. "How Is Lymphoma Diagnosed?". lymphoma.about.com. Archived from the original on 16 January 2013. Retrieved 22 December 2012.
  23. ^ a b c d Manli Jiang, N. Nora Bennani, and Andrew L. Feldman. Lymphoma classification update: T-cell lymphomas, Hodgkin lymphoma, and histiocytic/dendritic cell neoplasms. Expert Rev Hematol. 2017 Mar; 10(3): 239–249. Author Manuscript.
  24. ^ Canova F, Marino D, Trentin C, Soldà C, Ghiotto C, Aversa SM (August 2011). "Intrathecal chemotherapy in lymphomatous meningitis". Critical Reviews in Oncology/Hematology. 79 (2): 127–134. doi:10.1016/j.critrevonc.2010.07.005. PMID 20696592.
  25. ^ "Hodgkins Lymphoma Incidence". 2015-05-14. Archived from the original on 2017-09-29. Retrieved 2 October 2017.
  26. ^ National Cancer Institute, "Hodgkin Lymphoma", "Lymphoma—Patient Version". Archived from the original on 2013-08-02. Retrieved 2013-08-05., accessed on 2013-08-05
  27. ^ National Cancer Institute. "What You Need To Know About Hodgkin Lymphoma". U.S. Dept of Health and Human Services, (online at "Archived copy" (PDF). Archived from the original (PDF) on 2014-01-24. Retrieved 2013-08-05.{{cite web}}: CS1 maint: archived copy as title (link)), pg 4.
  28. ^ Britto TI, Fattah SA, Rahman MA, Chowdhury MA, Britto TI, Fattah SA, Rahman MA, Chowdhury MA (2023-09-25). "A Systematic Review on Childhood Non-Hodgkin Lymphoma: An Overlooked Phenomenon in the Health and Research Sector of Bangladesh". Cureus. 15 (9): e45937. doi:10.7759/cureus.45937. ISSN 2168-8184. PMC 10601349. PMID 37900448.
  29. ^ Rezk SA, Zhao X, Weiss LM (September 2018). "Epstein-Barr virus (EBV)-associated lymphoid proliferations, a 2018 update". Human Pathology. 79: 18–41. doi:10.1016/j.humpath.2018.05.020. PMID 29885408. S2CID 47010934.
  30. ^ Naresh KN, Medeiros LJ (December 2023). "Introduction to the Fifth Edition of the World Health Organization Classification of Tumors of Hematopoietic and Lymphoid Tissues". Modern Pathology. 36 (12): 100330. doi:10.1016/j.modpat.2023.100330. PMID 37716508.
  31. ^ Britto TI, Fattah SA, Rahman M, Chowdhury M (2023-09-25). "A Systematic Review on Childhood Non-Hodgkin Lymphoma: An Overlooked Phenomenon in the Health and Research Sector of Bangladesh". Cureus. 15 (9): e45937. doi:10.7759/cureus.45937. PMC 10601349. PMID 37900448.
  32. ^ Wagman LD. (2008). "Principles of Surgical Oncology". In Pazdur R, Wagman LD, Camphausen KA, Hoskins WJ (eds.). Cancer Management: A Multidisciplinary Approach (11th ed.). CMPMedica. ISBN 978-1-891483-62-2. Archived from the original on 2013-10-04.
  33. ^ "Chronic Leukemias". The Merck Manual of Geriatrics. Archived from the original on 2010-07-04.
  34. ^ Lymphoma, Follicular at eMedicine
  35. ^ a b
    50% for limited stage: Leitch HA, Gascoyne RD, Chhanabhai M, Voss NJ, Klasa R, Connors JM (October 2003). "Limited-stage mantle-cell lymphoma". Annals of Oncology. 14 (10): 1555–1561. doi:10.1093/annonc/mdg414. PMID 14504058.
    70% for advanced stage: Herrmann A, Hoster E, Zwingers T, Brittinger G, Engelhard M, Meusers P, et al. (February 2009). "Improvement of overall survival in advanced stage mantle cell lymphoma". Journal of Clinical Oncology. 27 (4): 511–518. doi:10.1200/JCO.2008.16.8435. PMID 19075279. S2CID 32350562.
  36. ^ Turgeon ML (2005). Clinical Hematology: Theory and Procedures. Vol. 936 (4 ed.). Lippincott Williams & Wilkins. pp. 285–6. ISBN 978-0-7817-5007-3. Archived from the original on 2015-09-06.
  37. ^ Diviné M, Casassus P, Koscielny S, Bosq J, Sebban C, Le Maignan C, et al. (December 2005). "Burkitt lymphoma in adults: a prospective study of 72 patients treated with an adapted pediatric LMB protocol". Annals of Oncology. 16 (12): 1928–1935. doi:10.1093/annonc/mdi403. PMID 16284057.
  38. ^ Kirova YM, Piedbois Y, Haddad E, Levy E, Calitchi E, Marinello G, Le Bourgeois JP (May 1999). "Radiotherapy in the management of mycosis fungoides: indications, results, prognosis. Twenty years experience". Radiotherapy and Oncology. 51 (2): 147–151. doi:10.1016/S0167-8140(99)00050-X. PMID 10435806.
  39. ^ Jaffe ES, Harris NL, Vardiman JW, Campo E, Arber D (2011). Hematopathology (1st ed.). Elsevier Saunders. ISBN 978-0-7216-0040-6.
  40. ^ Clarke CA, Glaser SL, Dorfman RF, Bracci PM, Eberle E, Holly EA (January 2004). "Expert review of non-Hodgkin's lymphomas in a population-based cancer registry: reliability of diagnosis and subtype classifications". Cancer Epidemiology, Biomarkers & Prevention. 13 (1): 138–143. doi:10.1158/1055-9965.EPI-03-0250. PMID 14744745.
  41. ^ Non-Hodgkin Lymphoma at eMedicine
  42. ^ "Archived copy". Archived from the original on June 27, 2004. Retrieved 2005-11-07.{{cite web}}: CS1 maint: archived copy as title (link) CS1 maint: bot: original URL status unknown (link)
  43. ^ "2022 ICD-10-CM Codes C81-C96: Malignant neoplasms of lymphoid, hematopoietic and related tissue". www.icd10data.com. Archived from the original on 2022-01-17. Retrieved 2022-02-02.
  44. ^ a b Cheson BD, Fisher RI, Barrington SF, Cavalli F, Schwartz LH, Zucca E, Lister TA (September 2014). "Recommendations for initial evaluation, staging, and response assessment of Hodgkin and non-Hodgkin lymphoma: the Lugano classification". Journal of Clinical Oncology. 32 (27): 3059–3068. doi:10.1200/JCO.2013.54.8800. PMC 4979083. PMID 25113753.
  45. ^ Carbone PP, Kaplan HS, Musshoff K, Smithers DW, Tubiana M (November 1971). "Report of the Committee on Hodgkin's Disease Staging Classification". Cancer Research. 31 (11): 1860–1861. PMID 5121694.
  46. ^ International Non-Hodgkin's Lymphoma Prognostic Factors Project (September 1993). "A predictive model for aggressive non-Hodgkin's lymphoma". The New England Journal of Medicine. 329 (14): 987–994. doi:10.1056/NEJM199309303291402. PMID 8141877.
  47. ^ Xia D, Morgan EA, Berger D, Pinkus GS, Ferry JA, Zukerberg LR (January 2019). "NK-Cell Enteropathy and Similar Indolent Lymphoproliferative Disorders: A Case Series With Literature Review". American Journal of Clinical Pathology. 151 (1): 75–85. doi:10.1093/ajcp/aqy108. PMID 30212873. S2CID 52272766.
  48. ^ Sweetenham JW (November 2009). "Treatment of lymphoblastic lymphoma in adults". Oncology. 23 (12): 1015–1020. PMID 20017283.
  49. ^ Britto TI, Fattah SA, Rahman MA, Chowdhury MA (2023). "A Systematic Review on Childhood Non-Hodgkin Lymphoma: An Overlooked Phenomenon in the Health and Research Sector of Bangladesh". Cureus. 15 (9): e45937. doi:10.7759/cureus.45937. ISSN 2168-8184. PMC 10601349. PMID 37900448.
  50. ^ Elphee EE (May 2008). "Understanding the concept of uncertainty in patients with indolent lymphoma". Oncology Nursing Forum. 35 (3): 449–454. doi:10.1188/08.ONF.449-454. PMID 18467294. S2CID 25207677.
  51. ^ Ansell SM (April 2014). "Follicular lymphoma: watch and wait is watch and worry". The Lancet. Oncology. 15 (4): 368–369. doi:10.1016/S1470-2045(14)70066-X. PMID 24602759.
  52. ^ Bernstein SH, Burack WR (2009). "The incidence, natural history, biology, and treatment of transformed lymphomas". Hematology. American Society of Hematology. Education Program. 2009: 532–541. doi:10.1182/asheducation-2009.1.532. PMID 20008238. S2CID 12185761.
  53. ^ Jenkins EC (January 1972). "Wire-loop application of liquid emulsion to slides for autoradiography in light microscopy". Stain Technology. 47 (1): 23–26. doi:10.3109/10520297209116530. PMID 4550425.
  54. ^ Philip T, Guglielmi C, Hagenbeek A, Somers R, Van der Lelie H, Bron D, et al. (December 1995). "Autologous bone marrow transplantation as compared with salvage chemotherapy in relapses of chemotherapy-sensitive non-Hodgkin's lymphoma". The New England Journal of Medicine. 333 (23): 1540–1545. doi:10.1056/nejm199512073332305. PMID 7477169.
  55. ^ Fisher SA, Cutler A, Doree C, Brunskill SJ, Stanworth SJ, Navarrete C, Girdlestone J (January 2019). Cochrane Haematological Malignancies Group (ed.). "Mesenchymal stromal cells as treatment or prophylaxis for acute or chronic graft-versus-host disease in haematopoietic stem cell transplant (HSCT) recipients with a haematological condition". The Cochrane Database of Systematic Reviews. 1 (1): CD009768. doi:10.1002/14651858.CD009768.pub2. PMC 6353308. PMID 30697701.
  56. ^ Estcourt L, Stanworth S, Doree C, Hopewell S, Murphy MF, Tinmouth A, Heddle N (May 2012). Cochrane Haematological Malignancies Group (ed.). "Prophylactic platelet transfusion for prevention of bleeding in patients with haematological disorders after chemotherapy and stem cell transplantation". The Cochrane Database of Systematic Reviews (5): CD004269. doi:10.1002/14651858.CD004269.pub3. PMC 4338578. PMID 22592695.
  57. ^ Estcourt LJ, Stanworth SJ, Doree C, Hopewell S, Trivella M, Murphy MF (November 2015). Cochrane Haematological Malignancies Group (ed.). "Comparison of different platelet count thresholds to guide administration of prophylactic platelet transfusion for preventing bleeding in people with haematological disorders after myelosuppressive chemotherapy or stem cell transplantation". The Cochrane Database of Systematic Reviews. 2015 (11): CD010983. doi:10.1002/14651858.CD010983.pub2. PMC 4717525. PMID 26576687.
  58. ^ Ingram I (2021-02-05). "New CAR-T for Aggressive B-Cell Lymphoma Wins FDA Nod". www.medpagetoday.com. Archived from the original on 2021-02-08. Retrieved 2021-02-09.
  59. ^ Martin NE, Ng AK (November 2009). "Good things come in small packages: low-dose radiation as palliation for indolent non-Hodgkin lymphomas". Leukemia & Lymphoma. 50 (11): 1765–1772. doi:10.3109/10428190903186510. PMID 19883306. S2CID 11004437.
  60. ^ Kuruvilla J (2009). "Standard therapy of advanced Hodgkin lymphoma". Hematology. American Society of Hematology. Education Program. 2009: 497–506. doi:10.1182/asheducation-2009.1.497. PMID 20008235.
  61. ^ Viviani S, Zinzani PL, Rambaldi A, Brusamolino E, Levis A, Bonfante V, et al. (July 2011). "ABVD versus BEACOPP for Hodgkin's lymphoma when high-dose salvage is planned". The New England Journal of Medicine. 365 (3): 203–212. doi:10.1056/NEJMoa1100340. PMID 21774708. S2CID 10038896.
  62. ^ Aldin A, Umlauff L, Estcourt LJ, Collins G, Moons KG, Engert A, et al. (January 2020). Cochrane Haematology Group (ed.). "Interim PET-results for prognosis in adults with Hodgkin lymphoma: a systematic review and meta-analysis of prognostic factor studies". The Cochrane Database of Systematic Reviews. 1 (8): CD012643. doi:10.1002/14651858.CD012643.pub3. PMC 6984446. PMID 31930780.
  63. ^ Goldkuhle M, Dimaki M, Gartlehner G, Monsef I, Dahm P, Glossmann JP, et al. (July 2018). Cochrane Haematological Malignancies Group (ed.). "Nivolumab for adults with Hodgkin's lymphoma (a rapid review using the software RobotReviewer)". The Cochrane Database of Systematic Reviews. 2018 (7): CD012556. doi:10.1002/14651858.CD012556.pub2. PMC 6513229. PMID 30001476.
  64. ^ Ferrell B, Connor SR, Cordes A, Dahlin CM, Fine PG, Hutton N, et al. (June 2007). "The national agenda for quality palliative care: the National Consensus Project and the National Quality Forum". Journal of Pain and Symptom Management. 33 (6): 737–744. doi:10.1016/j.jpainsymman.2007.02.024. PMID 17531914.
  65. ^ *The American Society of Clinical Oncology made this recommendation based on various cancers. See American Society of Clinical Oncology, "Five Things Physicians and Patients Should Question" (PDF), Choosing Wisely: an initiative of the ABIM Foundation, American Society of Clinical Oncology, archived from the original (PDF) on July 31, 2012, retrieved August 14, 2012
  66. ^ a b Higginson IJ, Evans CJ (2010). "What is the evidence that palliative care teams improve outcomes for cancer patients and their families?". Cancer Journal. 16 (5): 423–435. doi:10.1097/PPO.0b013e3181f684e5. PMID 20890138. S2CID 39881122.
  67. ^ "Palliative Care: It's for Caregivers Too, Says Study". Archived from the original on 2014-06-01. Retrieved 2014-08-21.
  68. ^ Heath JA, Clarke NE, Donath SM, McCarthy M, Anderson VA, Wolfe J (January 2010). "Symptoms and suffering at the end of life in children with cancer: an Australian perspective". The Medical Journal of Australia. 192 (2): 71–75. doi:10.5694/j.1326-5377.2010.tb03420.x. PMID 20078405. S2CID 8355159.
  69. ^ Schmidt P, Otto M, Hechler T, Metzing S, Wolfe J, Zernikow B (September 2013). "Did increased availability of pediatric palliative care lead to improved palliative care outcomes in children with cancer?". Journal of Palliative Medicine. 16 (9): 1034–1039. doi:10.1089/jpm.2013.0014. PMID 23901834.
  70. ^ Tang ST, Chang WC, Chen JS, Wang HM, Shen WC, Li CY, Liao YC (June 2013). "Course and predictors of depressive symptoms among family caregivers of terminally ill cancer patients until their death". Psycho-Oncology. 22 (6): 1312–1318. doi:10.1002/pon.3141. PMID 22836818. S2CID 31552330.
  71. ^ Chung HM, Lyckholm LJ, Smith TJ (February 2009). "Palliative care in BMT". Bone Marrow Transplantation. 43 (4): 265–273. doi:10.1038/bmt.2008.436. PMID 19151797. S2CID 20112284.
  72. ^ "Providing Palliative Care to Family Caregivers Throughout the Bone Marrow Transplantation Trajectory". Archived from the original on 2013-08-12. Retrieved 2014-08-21.
  73. ^ Knips L, Bergenthal N, Streckmann F, Monsef I, Elter T, Skoetz N (January 2019). Cochrane Haematological Malignancies Group (ed.). "Aerobic physical exercise for adult patients with haematological malignancies". The Cochrane Database of Systematic Reviews. 1 (1): CD009075. doi:10.1002/14651858.CD009075.pub3. PMC 6354325. PMID 30702150.
  74. ^ "SEER Stat Fact Sheets: Lymphoma". Archived from the original on 2013-10-10.
  75. ^ Horner MJ, Ries LG, Krapcho M, Neyman N. "SEER Cancer Statistics Review, 1975–2006". Surveillance Epidemiology and End Results (SEER). Bethesda, MD: National Cancer Institute. Archived from the original on 26 September 2009. Retrieved 3 November 2009. Table 1.4: Age-Adjusted SEER Incidence and U.S. Death Rates and 5-Year Relative Survival Rates By Primary Cancer Site, Sex and Time Period
  76. ^ "Hodgkin Lymphoma". American Cancer Society. Archived from the original on 2024-04-22. Retrieved 2024-04-22.
  77. ^ Tran H, Nourse J, Hall S, Green M, Griffiths L, Gandhi MK (September 2008). "Immunodeficiency-associated lymphomas". Blood Reviews. 22 (5): 261–281. doi:10.1016/j.blre.2008.03.009. PMID 18456377.
  78. ^ Hellman S, Mauch, P.M. Ed. (1999). "Chapter 1". Hodgkin's Disease. Lippincott Williams & Wilkins. p. 5. ISBN 0-7817-1502-4.
  79. ^ "-oma". Online Etymology Dictionary. Archived from the original on 2020-10-30. Retrieved 2020-03-25.
  80. ^ "Search of: Lymphoma – List Results – ClinicalTrials.gov". Archived from the original on 2013-01-06. Retrieved 2012-10-30.
  81. ^ "Understanding Clinical Trials for Blood Cancers" (PDF). The Leukemia & Lymphoma Society. Leukemia and Lymphoma Society. Archived from the original (PDF) on 5 January 2011. Retrieved 19 May 2010.

hidden