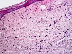
Pleomorphic fibroma

Pleomorphic fibromas of the skin usually present in adults, with a slight preponderance in women.[1]
See also
References
- ^ Rapini, Ronald P.; Bolognia, Jean L.; Jorizzo, Joseph L. (2007). Dermatology: 2-Volume Set. St. Louis: Mosby. ISBN 978-1-4160-2999-1.