Leiomyosarcoma
| Leiomyosarcoma | |
|---|---|
| Other names | LMS |
![]() | |
| Leiomyosarcoma of the adrenal vein. Coronal view of abdominal MRI. Tumor (arrow) extends from the superior pole of the right kidney to the right atrium. | |
| Specialty | Hematology and Oncology |
A leiomyosarcoma (LMS) is a rare malignant (cancerous) smooth muscle tumor.[1] The word is from leio- 'smooth' myo- 'muscle' and sarcoma 'tumor of connective tissue'. The stomach, bladder, uterus, blood vessels, and intestines are examples of hollow organs made up of smooth muscles where LMS can be located; however, the uterus and abdomen are the most common sites.[2]
Although leiomyosarcomas are rare, they belong to the more common types of soft-tissue sarcoma, representing 10–20% of new cases.[2] This type of cancer is more frequently diagnosed in adults as compared to children.[2] When considering LMS specifically in the context of the uterus, it affects approximately 6 individuals per 1 million people in the United States each year.[2] LMSs are resistant cancers, meaning they are generally not very responsive to chemotherapy or radiation. The best outcomes occur when the tumor tissue can be removed surgically at an early stage, while it is small and has not yet spread from the original site (it remains in situ).[3]
Mechanism
Smooth muscle cells make up the involuntary muscles, which are found in most parts of the body, including the uterus, stomach and intestines, the walls of all blood vessels, and the skin. These are the areas where LMSs originate from.[4] LMSs also often develop in the retroperitoneal region[5] which consists of the suprarenal glands, the kidney, and ureter. Just as it is not known what truly causes most sarcomas, LMSs have similarly complex karyotypes and it is suggested that because of the complexity, genomic instability might be the cause.[5]
Uterine leiomyosarcomas come from the smooth muscle in the muscle layer of the uterus.[6] Cutaneous leiomyosarcomas derive from the pilo-erector muscles in the skin. Gastrointestinal leiomyosarcomas might come from smooth muscle in the GI tract, or alternatively, from a blood vessel. At most other primary sites—retroperitoneal extremity (in the abdomen, behind the intestines), truncal, abdominal organs, etc.—leiomyosarcomas appear to grow from the muscle layer of a blood vessel (the tunica media). Thus, a leiomyosarcoma can have a primary site of origin anywhere in the body from a blood vessel.[3]
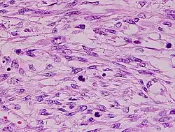
The tumors are usually hemorrhagic and soft and microscopically marked by pleomorphism, abundant (15–30 per 10 high-power fields) abnormal mitotic figures, and coagulative tumor cell necrosis. The differential diagnosis, which includes spindle cell carcinoma, spindle cell melanoma, fibrosarcoma, malignant peripheral nerve sheath tumor and even biphenotypic sinonasal sarcoma, is wide.
Diagnosis


To diagnose LMS, a physical exam may be performed by one’s physician, imaging tests such as MIT, CT and PET scans can be performed, or tissue biopsies can also be completed where the histopathology of the removed tissue sample is examined.[1] Because LMS is a widespread disease, the symptoms vary based on the location of the tumor and also, the size.[2] Some of the symptoms include nausea and vomiting, palpable lumps, pain, bleeding and unintentional weight loss.[2]
Treatment
Surgery, with as wide a margin of removal as possible, has generally been the most effective and preferred way to attack LMS. If surgical margins are narrow or not clear of tumor, however, or in some situations where tumor cells were left behind, chemotherapy or radiation has been shown to give a clear survival benefit.[8] While LMS tends to be resistant to radiation and chemotherapy, each case is different and results can vary widely.
For metastatic (widespread) disease, chemotherapy and targeted therapies are the first choices. Chemotherapy regimens include: doxorubicin/ifosfamide and doxorubicin combination/gemcitabine and docetaxel/trabectedin;[9] pazopanib is the targeted therapy used in metastatic leiomyosarcoma as second line and is well tolerated.[10]
LMS of uterine origin often responds to hormonal treatments.[11][12] As of 2020, several clinical trials for uterine LMS are active.[13]
Uterine leiomyomas vs uterine leiomyosarcomas
Leiomyomas are benign smooth muscle tumors that have overlapping features with leiomyosarcomas. Although both originate from smooth muscle, it is important to note that leiomyomas do not mature to become leiomyosarcomas.[14] Leiomyomas are seen in pre-menopausal women and are symptomatic 20–50% of the time, while leiomyosarcomas, the most common uterine sarcomas, are seen in older post-menopausal women[15] with 40-60 being the peak age incidence.[16] Since leiomyomas are benign and mostly asymptomatic, minimally invasive treatment modalities are used to treat them.[15] For this same reason, it is crucial to distinguish them from LMSs before surgical procedures to ensure that laparoscopic procedures or diagnosis delay will not lead to heightened morbidity given the poor prognosis of LMS.[15] For example, the FDA has warned against using morcellation for benign leiomyomas as those with unsuspected sarcomas are at risk of cancer spread.[17]
Notable cases
People who have had leiomyosarcoma include:
- Irene Hirano, fundraiser for charitable causes and second wife of Daniel Inouye[18]
- Leicester City footballer Keith Weller, who made over 300 appearances for the Foxes, scored 47 goals. Also, he made four appearances for England, scoring one goal.[19]
- Katie Price[20]
- Canadian public-health physician Sheela Basrur (1956–2008) developed uterine leiomyosarcoma in 2006.[21]
- American actress Diana Sands[22]
- The first year of treatment for leiomyosarcoma of Canadian comedian Irwin Barker was the subject of a 2008 television documentary, That's My Time; he died in 2010.[23]
- Linda Uttley (1966–2009), English rugby union footballer in the Women's England Team, was diagnosed with leiomyosarcoma in 2007 and died in 2009 at the age of 43.[24]
- Deborah Finck (1967-2025), Tiktoker and Nanny 911 star, was diagnosed with leiomyosarcoma in 2020 and died on January 14, 2025 at the age of 57.[25]
See also
References
- ^ a b "Leiomyosarcoma – Overview – Mayo Clinic". www.mayoclinic.org. Retrieved 2023-10-04.
- ^ a b c d e f "Leiomyosarcoma – NCI". www.cancer.gov. 2020-06-22. Retrieved 2023-10-04.
- ^ a b "Basic info". Leiomyosarcoma.info. Archived from the original on 2009-04-30.
- ^ Kumar, Vinay; Abbas, Abul K.; Aster, Jon C. (2021). "Chapter 26: Bones, Joints, and Soft Tissue Tumors". Robbins & Cotran Pathologic Basis of Disease (10th ed.). Jeremy Bowes. p.1213. ISBN 978-0-323-53113-9.
- ^ a b Kumar, Vinay; Abbas, Abul K.; Aster, Jon C. (2021). "Chapter 26: Bones, Joints, and Soft Tissue Tumors". Robbins & Cotran Pathologic Basis of Disease (10th ed.). Jeremy Bowes. p. 1208. ISBN 978-0-323-53113-9.
- ^ Sue Ghosh; Jonathan Hecht; Tanaz Ferzandi; Christopher Awtrey (2007). "Leiomyosarcoma of the Uterus (ULMS): A Review". The Liddy Shriver Sarcoma Initiative. Retrieved 1 February 2016.
- ^ Vijay Shankar, M.D. "Soft tissue - Smooth muscle - Leiomyosarcoma - general". Pathology Outlines. Topic Completed: 1 November 2012. Revised: 11 September 2019
- ^ "About Chemotherapy". Leiomyosarcoma.info. August 2002. Archived from the original on 2009-06-25.
- ^ Rastogi, Sameer; Bakhshi, Sameer (2016). "Trabectedin in Soft Tissue Sarcoma: Have We Hit the Bull's-eye?". Journal of Clinical Oncology. 34 (29): 3582–3583. doi:10.1200/jco.2015.65.7130. PMID 27458287.
- ^ Rastogi, Sameer; Sharma, Aparna; Vanidassane, Ilavarasi; Aggarwal, Aditi; Mridha, Asitranjan; Pandey, Rambha; Dhamija, Ekta; Barwad, Adarsh (2019). "Pazopanib efficacy and toxicity in a metastatic sarcoma cohort: Are Indian patients different?". Indian Journal of Cancer. 56 (3): 207–210. doi:10.4103/ijc.IJC_105_18. PMID 31389382. S2CID 198168573.
- ^ Abu-Rustum, N. R.; Curtin, J. P.; Burt, M.; Jones, W. B. (1997). "Regression of uterine low-grade smooth-muscle tumors metastatic to the lung after oophorectomy". Obstetrics and Gynecology. 89 (5 Pt 2): 850–852. doi:10.1016/S0029-7844(97)00033-1. PMID 9166348. S2CID 23049718.
- ^ Hardman, M. P.; Roman, J. J.; Burnett, A. F.; Santin, A. D. (2007). "Metastatic Uterine Leiomyosarcoma Regression Using an Aromatase Inhibitor". Obstetrics & Gynecology. 110 (2 Pt 2): 518–520. doi:10.1097/01.AOG.0000267533.56546.c2. PMID 17666649. S2CID 24257210.
- ^ "Uterine Sarcoma Clinical Trials". National Cancer Institute.
- ^ Kumar, Vinay; Abbas, Abul K.; Aster, Jon C. (2021). "Chapter 26: Bones, Joints, and Soft Tissue Tumors". Robbins & Cotran Pathologic Basis of Disease (10th ed.). Jeremy Bowes. p.1014. ISBN 978-0-323-53113-9
- ^ a b c Sun, S.; Bonaffini, P. A.; Nougaret, S.; Fournier, L.; Dohan, A.; Chong, J.; Smith, J.; Addley, H.; Reinhold, C. (October 2019). "How to differentiate uterine leiomyosarcoma from leiomyoma with imaging". Diagnostic and Interventional Imaging. 100 (10): 619–634. doi:10.1016/j.diii.2019.07.007. ISSN 2211-5684. PMID 31427216.
- ^ Kumar, Vinay; Abbas, Abul K.; Aster, Jon C. (2021). "Chapter 26: Bones, Joints, and Soft Tissue Tumors". Robbins & Cotran Pathologic Basis of Disease (10th ed.). Jeremy Bowes. p.1015.ISBN 978-0-323-53113-9
- ^ Health, Center for Devices and Radiological (2020-12-30). "UPDATE: Perform Only Contained Morcellation When Laparoscopic Power Morcellation Is Appropriate: FDA Safety Communication". FDA. Archived from the original on December 29, 2020.
- ^ "Irene Hirano Inouye, widow of US senator from Hawaii, dies". Associated Press News. 8 April 2020.
- ^ "Leicester legend Weller mourned". BBC Online. 2004-11-13. Retrieved 2010-05-14.
- ^ "Jordan treated for cancer". BBC Online. 2002-08-11. Retrieved 2009-10-30.
- ^ Gillespie, Kerry (2008-04-12). "'Can't ever give up hope,' Basrur says". The Toronto Star. Retrieved 2010-01-08.
- ^ Brown, Stacia. "Diana Sands: What Was and What Could've Been". Archived from the original on 6 December 2017. Retrieved 25 May 2017.
- ^ "That's My Time". Irwinbarker.com. Archived from the original on 2008-10-02. Retrieved 5 March 2015.
In Irwin's own words: 'Cancer has my body but not my spirit, and I'll continue to make jokes, not so much about cancer, but in spite of it.'
- ^ Fiona Hackett (2009-11-27). "Former player Linda Uttley". waspsfc.co.uk. Retrieved 2022-02-28.
- ^ Zoe Lyttle (2025-01-15). "Tiktoker Deborah Finck". people.com. Retrieved 2025-01-15.
