Crohn's disease
| Crohn's disease | |
|---|---|
| Other names | Crohn disease, Crohn syndrome, granulomatous enteritis, regional enteritis, Leśniowski-Crohn disease |
![]() | |
| A preserved section of the terminal ileum, the cecum, and the ascending colon, all of which display signs of severe Crohn's disease | |
![]() | |
| The three most common sites of intestinal involvement in Crohn's disease (left) compared to the areas affected by ulcerative colitis (colitis ulcerosa, right) | |
| Specialty | Gastroenterology |
| Symptoms | Abdominal pain, diarrhea (may be bloody), fever, weight loss,[1] fatigue, mouth sores, reduced appetite[2] |
| Complications | Anemia, skin rashes, arthritis, bowel cancer[1] |
| Usual onset | 20–29 years[3] |
| Duration | Long term[1] |
| Causes | Uncertain |
| Risk factors | Genetic predisposition, living in a developed country,[4] stress,[5] tobacco smoking,[6] having undergone an appendectomy[7][8] or tonsillectomy[9] |
| Diagnostic method | Biopsy, medical imaging[1] |
| Differential diagnosis | Irritable bowel syndrome, celiac disease, Behçet's disease, nonsteroidal anti-inflammatory drug enteropathy, intestinal tuberculosis[1][10] |
| Medication | Corticosteroids, biological therapy, immunosuppressants such as azathioprine, methotrexate[1] |
| Prognosis | Slightly increased risk of death[11] |
| Frequency | 3.2 per 1,000 (developed world)[12] |
| Named after |
|
Crohn's disease is a type of inflammatory bowel disease (IBD) that may affect any segment of the gastrointestinal tract.[3] Symptoms often include abdominal pain, diarrhea, fever, abdominal distension, and weight loss.[1][3] Complications outside of the gastrointestinal tract may include anemia, skin rashes, arthritis, inflammation of the eye, and fatigue.[1] The skin rashes may be due to infections, as well as pyoderma gangrenosum or erythema nodosum.[1] Bowel obstruction may occur as a complication of chronic inflammation, and those with the disease are at greater risk of colon cancer and small bowel cancer.[1]
Although the precise causes of Crohn's disease (CD) are unknown, it is believed to be caused by a combination of environmental, immune, and bacterial factors in genetically susceptible individuals.[3][13][14][15] It results in a chronic inflammatory disorder, in which the body's immune system defends the gastrointestinal tract, possibly targeting microbial antigens.[14][16] Although Crohn's is an immune-related disease, it does not seem to be an autoimmune disease (the immune system is not triggered by the body itself).[17] The exact underlying immune problem is not clear; however, it may be an immunodeficiency state.[16][18][19]
About half of the overall risk is related to genetics, with more than 70 genes involved.[1][20] Tobacco smokers are three times as likely to develop Crohn's disease as non-smokers.[6] Crohn's disease is often triggered after a gastroenteritis episode.[1] Other conditions with similar symptoms include irritable bowel syndrome and Behçet's disease.[1]
There is no known cure for Crohn's disease.[1][3] Treatment options are intended to help with symptoms, maintain remission, and prevent relapse.[1] In those newly diagnosed, a corticosteroid may be used for a brief period of time to improve symptoms rapidly, alongside another medication such as either methotrexate or a thiopurine to prevent recurrence.[1] Cessation of smoking is recommended for people with Crohn's disease.[1] One in five people with the disease is admitted to the hospital each year, and half of those with the disease will require surgery at some time during a ten-year period.[1] Surgery is kept to a minimum whenever possible, but it is sometimes essential for treating abscesses, certain bowel obstructions, and cancers.[1] Checking for bowel cancer via colonoscopy is recommended every 1-3 years, starting eight years after the disease has begun.[1]
Crohn's disease affects about 3.2 per 1,000 people in Europe and North America;[12] it is less common in Asia and Africa.[21][22] It has historically been more common in the developed world.[23] Rates have, however, been increasing, particularly in the developing world, since the 1970s.[22][23] Inflammatory bowel disease resulted in 47,400 deaths in 2015,[24] and those with Crohn's disease have a slightly reduced life expectancy.[1] Onset of Crohn's disease tends to start in adolescence and young adulthood, though it can occur at any age.[25][1][3][26] Males and females are affected roughly equally.[3]
Name controversy
The disease was named after gastroenterologist Burrill Bernard Crohn, who in 1932, together with Leon Ginzburg (1898–1988) and Gordon D. Oppenheimer (1900–1974) at Mount Sinai Hospital in New York, described a series of people with inflammation of the terminal ileum of the small intestine, the area most commonly affected by the illness.[27] The decision to name the disease after Crohn remains controversial.[28][29] While Crohn, in his memoir, describes his original investigation of the disease, Ginzburg provided strong evidence of how he and Oppenheimer were the first to study the disease.[30]
Signs and symptoms
| Crohn's disease | Ulcerative colitis | |
|---|---|---|
| Defecation | Often porridge-like,[31] sometimes steatorrhea |
Often mucus-like and with blood[31] |
| Tenesmus | Less common[31] | More common[31] |
| Fever | Common[31] | Indicates severe disease[31] |
| Fistulae | Common[32] | Seldom |
| Weight loss | Often | More seldom |
Gastrointestinal

Many people with Crohn's disease have symptoms for years before the diagnosis.[33] The usual onset is in the teens and twenties, but can occur at any age.[26][1] People with Crohn's disease experience chronic recurring periods of flare-ups and remission.[34]
Perianal
Perianal discomfort may also be prominent in Crohn's disease. Itchiness or pain around the anus may be suggestive of inflammation of the anus, or perianal complications such as anal fissures, fistulae, or abscesses around the anal area.[1] Perianal skin tags are also common in Crohn's disease, and may appear with or without the presence of colorectal polyps.[35]
Intestines
The intestines, especially the colon and terminal ileum, are the areas of the body affected most commonly. Abdominal pain is a common initial symptom of Crohn's disease,[3] especially in the lower right abdomen.[36] Flatulence, bloating, and abdominal distension are additional symptoms and may also add to the intestinal discomfort. Pain is often accompanied by non-bloody diarrhea, however in some cases the diarrhea can be bloody. Inflammation in different areas of the intestinal tract can affect the quality of the feces. Ileitis typically results in large-volume, watery feces, while colitis may result in a smaller volume of feces of greater frequency. Fecal consistency may range from solid to watery. In severe cases, an individual may have more than 20 bowel movements per day, and may need to awaken at night to defecate.[1][37][38][39] Visible bleeding in the feces is less common in Crohn's disease than in ulcerative colitis, but is not unusual.[1] Bloody bowel movements are usually intermittent, and may be bright red, dark maroon, or even black in color. The color of bloody stool depends on the location of the bleed. In severe Crohn's colitis, bleeding may be copious.[37]
Stomach and esophagus
The stomach is rarely the sole or predominant site of Crohn's disease. To date, there are only a few documented case reports of adults with isolated gastric Crohn's disease and no reports in the pediatric population. Isolated stomach involvement is very unusual presentation accounting for less than 0.07% of all gastrointestinal Crohn's disease.[40] However, the esophagus and stomach are increasingly understood to be affected in people with intestinal Crohn's disease. Recent studies suggest upper GI involvement occurs in 13-16% of cases, typically presenting after distal symptoms.[41][42][43] Upper gastrointestinal symptoms may include difficulty swallowing (dysphagia), painful swallowing (odynophagia), upper abdominal pain, and vomiting.[44][45]
Oropharynx (mouth)
The mouth may be affected by recurrent canker sores (aphthous ulcers). Recurrent aphthous ulcers are common; however, it is not clear whether this is due to Crohn's disease or simply that they are common in the general population. Other findings may include diffuse or nodular swelling of the mouth, a cobblestone appearance inside the mouth, granulomatous ulcers, or pyostomatitis vegetans. Medications that are commonly prescribed to treat Crohn's disease, such as anti-inflammatory and sulfa-containing drugs, may cause lichenoid drug reactions in the mouth. Fungal infection such as candidiasis is also common due to the immunosuppression required in the treatment of the disease. Signs of anemia such as pallor and angular cheilitis or glossitis are also common due to nutritional malabsorption.[46]
People with Crohn's disease are also susceptible to angular stomatitis, an inflammation of the corners of the mouth, and pyostomatitis vegetans.[47]
Systemic
Like many other chronic, inflammatory diseases, Crohn's disease can cause a variety of systemic symptoms.[1] Among children, growth failure is common. Many children are first diagnosed with Crohn's disease based on inability to maintain growth.[48] As it may manifest at the time of the growth spurt in puberty, as many as 30% of children with Crohn's disease may have retardation of growth.[49] Fever may also be present, though fevers greater than 38.5 °C (101.3 °F) are uncommon unless there is a complication such as an abscess.[1] Among older individuals, Crohn's disease may manifest as weight loss, usually related to decreased food intake, since individuals with intestinal symptoms from Crohn's disease often feel better when they do not eat and might lose their appetite.[48] People with extensive small intestine disease may also have malabsorption of carbohydrates or lipids, which can further exacerbate weight loss.[50]
Extraintestinal
Crohn's disease can affect many organ systems beyond the gastrointestinal tract.[51]
| Crohn's disease |
Ulcerative colitis | ||
|---|---|---|---|
| Nutrient deficiency | Higher risk | ||
| Colon cancer risk | Slight | Considerable | |
| Prevalence of extraintestinal complications[52][53][54] | |||
| Iritis/uveitis | Females | 2.2% | 3.2% |
| Males | 1.3% | 0.9% | |
| Primary sclerosing cholangitis |
Females | 0.3% | 1% |
| Males | 0.4% | 3% | |
| Ankylosing spondylitis |
Females | 0.7% | 0.8% |
| Males | 2.7% | 1.5% | |
| Pyoderma gangrenosum |
Females | 1.2% | 0.8% |
| Males | 1.3% | 0.7% | |
| Erythema nodosum | Females | 1.9% | 2% |
| Males | 0.6% | 0.7% | |
Visual
Inflammation of the interior portion of the eye, known as uveitis, can cause blurred vision and eye pain, especially when exposed to light (photophobia).[55] Uveitis can lead to loss of vision if untreated.[51]
Inflammation may also involve the white part of the eye (sclera) or the overlying connective tissue (episclera), which causes conditions called scleritis and episcleritis, respectively.[55]
Other very rare ophthalmological manifestations include: conjunctivitis, glaucoma, and retinal vascular disease.[56]
The pathophysiology of ocular inflammation in people with Crohn's disease is complex and remains uncertain. The association between inflammatory conditions of the eye and Crohn's disease is due to many people with Crohn's disease having genetic markers such as HLA-B07, HLA-B27 and HLA-DRB1*0103.[57] Additionally, cytokines IL-6, IL-10, and IL-17 which are produced in the bowel enter the circulatory system and travel to the eyes to trigger inflammation.[58]
Gallbladder and liver
Crohn's disease that affects the ileum may result in an increased risk of gallstones. This is due to a decrease in bile acid resorption in the ileum, resulting in bile excretion in the stool. As a result, the cholesterol/bile ratio increases in the gallbladder, resulting in an increased risk for gallstones.[55] Although the association is greater in the context of ulcerative colitis, Crohn's disease may also be associated with primary sclerosing cholangitis, a type of inflammation of the bile ducts.[59] Specifically, 0.96% of people with Crohn's disease also have primary sclerosing cholangitis.[60]
Liver involvement of Crohn's disease can include cirrhosis and steatosis. Nonalcoholic fatty liver disease (nonalcoholic steatohepatitis, NAFLD) are relatively common and can slowly progress to end-stage liver disease. NAFLD sensitizes the liver to injury and increases the risk of developing acute or chronic liver failure following another liver injury.[56]
Other rare hepatobiliary manifestations of Crohn's disease include: cholangiocarcinoma, granulomatous hepatitis, cholelithiasis, autoimmune hepatitis, hepatic abscess, and pericholangitis.[56]
Renal and urological
Nephrolithiasis, obstructive uropathy, and fistulization of the urinary tract directly result from the underlying disease process. Nephrolithiasis is due to calcium oxalate or uric acid stones. Calcium oxalate stones due to hyperoxaluria are typically associated with either distal ileal Crohn's disease or ileal resection. Oxalate absorption increases in the presence of unabsorbed fatty acids in the colon. The fatty acids compete with oxalate to bind calcium, displacing the oxalate, which can then be absorbed as unbound sodium oxalate across colonocytes and excreted into the urine. Because sodium oxalate is only absorbed in the colon, calcium oxalate stones form only in people with an intact colon. People with an ileostomy are prone to formation of uric acid stones because of frequent dehydration. The sudden onset of severe abdominal, back, or flank pain in patients with IBD, particularly if different from the usual discomfort, should lead to inclusion of a renal stone in the differential diagnosis.[56]
Urological manifestations in people with IBD may include ureteral calculi, enterovesical fistula, perivesical infection, perinephric abscess, and obstructive uropathy with hydronephrosis. Ureteral compression is associated with retroperitoneal extension of the phlegmonous inflammatory process involving the terminal ileum and cecum, and may result in hydronephrosis severe enough to cause hypertension.[56]
Immune complex glomerulonephritis presenting with proteinuria and hematuria has been described in children and adults with Crohn's disease or ulcerative colitis. Diagnosis is by renal biopsy, and treatment parallels the underlying IBD.[56]
Amyloidosis (see endocrinological involvement) secondary to Crohn's disease has been described and is known to affect the kidneys.[56]
Pancreatic
Pancreatitis may be associated with both ulcerative colitis and Crohn's disease. The most common cause is iatrogenic and involves sensitivity to medications used to treat IBD, including sulfasalazine, mesalamine, 6-mercaptopurine, and azathioprine. Pancreatitis may present as symptomatic or more commonly asymptomatic disease in adults with IBD.[56]
Cardiovascular and circulatory
Children and adults with IBD have been rarely (<1%) reported developing pleuropericarditis either at initial presentation or during active or quiescent disease. The pathogenesis of pleuropericarditis is unknown, although certain medications (e.g., sulfasalazine and mesalamine derivatives) have been implicated in some cases. The clinical presentation may include chest pain, dyspnea, or in severe cases pericardial tamponade requiring rapid drainage. Nonsteroidal anti-inflammatory drugs have been used as therapy, although this should be weighed against the hypothetical risk of exacerbating the underlying IBD.[56]
In rare cases, cardiomyopathy, endocarditis, and myocarditis have been described.[56]
Crohn's disease also increases the risk of blood clots;[55] painful swelling of the lower legs can be a sign of deep venous thrombosis, while difficulty breathing may be a result of pulmonary embolism.
Respiratory
Laryngeal involvement in inflammatory bowel disease is extremely rare. Only 12 cases of laryngeal involvement in Crohn's disease have been reported as of 2019. Moreover, only one case of laryngeal manifestations in ulcerative colitis has been reported as of the same date.[61] Nine people complained of difficulty in breathing due to edema and ulceration from the larynx to the hypopharynx.[62] Hoarseness, sore throat, and odynophagia are other symptoms of laryngeal involvement of Crohn's disease.[63]
Considering extraintestinal manifestations of Crohn's disease, those involving the lung are relatively rare. However, there is a wide array of lung manifestations, ranging from subclinical alterations, airway diseases and lung parenchymal diseases to pleural diseases and drug-related diseases. The most frequent manifestation is bronchial inflammation and suppuration with or without bronchiectasis. There are a number of mechanisms by which the lungs may become involved in Crohn's disease. These include the same embryological origin of the lung and gastrointestinal tract by ancestral intestine, similar immune systems in the pulmonary and intestinal mucosa, the presence of circulating immune complexes and auto-antibodies, and the adverse pulmonary effects of some drugs.[64] A complete list of known pulmonary manifestations include: fibrosing alveolitis, pulmonary vasculitis, apical fibrosis, bronchiectasis, bronchitis, bronchiolitis, tracheal stenosis, granulomatous lung disease, and abnormal pulmonary function.[56]
Musculoskeletal
Crohn's disease is associated with a type of rheumatologic disease known as seronegative spondyloarthropathy.[55] This group of diseases is characterized by inflammation of one or more joints (arthritis) or muscle insertions (enthesitis).[55] The arthritis in Crohn's disease can be divided into two types. The first type affects larger weight-bearing joints such as the knee (most common), hips, shoulders, wrists, or elbows.[55] The second type symmetrically involves five or more of the small joints of the hands and feet.[55] The arthritis may also involve the spine, leading to ankylosing spondylitis if the entire spine is involved, or simply sacroiliitis if only the sacroiliac joint is involved.[55]
Crohn's disease increases the risk of osteoporosis or thinning of the bones.[55][65][66] Individuals with osteoporosis are at increased risk of bone fractures.[67]
Dermatological
Crohn's disease may also involve the skin, blood, and endocrine system. Erythema nodosum is the most common type of skin problem, occurring in around 8% of people with Crohn's disease, producing raised, tender red nodules usually appearing on the shins.[55][68][69] Erythema nodosum is due to inflammation of the underlying subcutaneous tissue, and is characterized by septal panniculitis.[68]
Pyoderma gangrenosum is a less common skin problem, occurring in under 2%,[69] and is typically a painful ulcerating nodule.[68][51]
Clubbing, a deformity of the ends of the fingers, may also be a result of Crohn's disease.[70][71]
Other very rare dermatological manifestations include: pyostomatitis vegetans, erythema multiforme, epidermolysis bullosa acquista (described in a case report), and metastatic Crohn's disease (the spread of Crohn's inflammation to the skin[47]).[56] It is unknown if Sweet's syndrome is connected to Crohn's disease.[56]
Neurological
Crohn's disease can also cause neurological complications (reportedly in up to 15% of cases).[72] The most common of these are seizures, stroke, myopathy, peripheral neuropathy, headache, and depression.[72]
Central and peripheral neurological disorders are described in people with IBD and include peripheral neuropathies, myopathies, focal central nervous system defects, convulsions, confusional episodes, meningitis, syncope, optic neuritis, and sensorineural loss. Autoimmune mechanisms are proposed for involvement with IBD. Nutritional deficiencies associated with neurological manifestations, such as vitamin B12 deficiency, should be investigated. Spinal abscess has been reported in both a child and an adult with initial complaints of severe back pain due to extension of a psoas abscess from the epidural space to the subarachnoid space.[56]
Psychiatric and psychological
Crohn's disease is linked to many psychological disorders, including depression and anxiety, denial of one's disease, the need for dependence or dependent behaviors, feeling overwhelmed, and having a poor self-image.[73]
Many studies have found that people with IBD report a higher frequency of depressive and anxiety disorders than the general population; most studies confirm that women with IBD are more likely than men to develop affective disorders and show that up to 65% of them may have depression and anxiety disorder.[74][75]
Endocrinological or hematological
Leukocytosis and thrombocytopenia are usually due to immunosuppressant treatments or sulfasalazine. Plasma erythropoietin levels often are lower in patients with IBD than expected, in conjunction with severe anemia.[56]
Thrombocytosis and thromboembolic events resulting from a hypercoagulable state in people with IBD can lead to pulmonary embolism or thrombosis elsewhere in the body. Thrombosis has been reported in 1.8% of people with ulcerative colitis and 3.1% of people with Crohn's disease. Thromboembolism and thrombosis are less frequently reported among children, with three people with ulcerative colitis and one with Crohn's disease described in case reports.[56]
In rare cases, hypercoagulation disorders and portal vein thrombosis have been described.[56]
Malnutrition symptoms
People with Crohn's disease may develop anemia due to vitamin B12, folate, iron deficiency, or due to anemia of chronic disease.[76][77] The most common is iron deficiency anemia from chronic blood loss,[76] reduced dietary intake, and persistent inflammation leading to increased hepcidin levels, restricting iron absorption in the duodenum.[77] As Crohn's disease most commonly affects the terminal ileum where the vitamin B12/intrinsic factor complex is absorbed, B12 deficiency may be seen.[77] This is particularly common after one has had a surgical procedure to remove the ileum.[76] Involvement of the duodenum and jejunum can impair the absorption of many other nutrients including folate. People with Crohn's often also have issues with small bowel bacterial overgrowth syndrome, which can produce micronutrient deficiencies.[78][79]
Complications
Intestinal damage

Crohn's disease can lead to several mechanical complications within the intestines, including obstruction,[80] fistulae,[81] and abscesses.[82] Obstruction typically occurs from strictures or adhesions that narrow the lumen, blocking the passage of the intestinal contents. A fistula can develop between two loops of bowel, between the bowel and bladder, between the bowel and vagina, and between the bowel and skin. Abscesses are walled-off concentrations of infection, which can occur in the abdomen or in the perianal area. Crohn's is responsible for 10% of vesicoenteric fistulae, and is the most common cause of ileovesical fistulae.[83]
Symptoms caused by intestinal stenosis, or the tightening and narrowing of the bowel, are also common in Crohn's disease. Abdominal pain is often most severe in areas of the bowel with stenosis. Persistent vomiting and nausea may indicate stenosis from small bowel obstruction or disease involving the stomach, pylorus, or duodenum.[37]
Intestinal granulomas are a walled-off portions of the intestine by macrophages in order to isolate infections. Granuloma formation is more often seen in younger people, and mainly in the severe, active penetrating disease.[84] Granuloma is considered the hallmark of microscopic diagnosis in Crohn's disease, but granulomas can be detected in only 21–60% of people with Crohn's disease.[84]
Cancer
Crohn's disease also increases the risk of cancer in the area of inflammation. For example, individuals with Crohn's disease involving the small bowel are at higher risk for small intestinal cancer.[85] Similarly, people with Crohn's colitis have a relative risk of 5.6 for developing colon cancer.[86] Screening for colon cancer with colonoscopy is recommended for anyone who has had Crohn's colitis for at least eight years.[87]
Some studies suggest there is a role for chemoprotection in the prevention of colorectal cancer in Crohn's involving the colon; two agents have been suggested, folate and mesalamine preparations.[88] Also, immunomodulators and biologic agents used to treat this disease may promote the development of extra-intestinal cancers.[89]
Some cancers, such as acute myelocytic leukaemia have been described in cases of Crohn's disease.[56] Hepatosplenic T-cell lymphoma (HSTCL) is a rare, lethal disease generally seen in young males with inflammatory bowel disease. TNF-α Inhibitor treatments (infliximab, adalimumab, certolizumab, natalizumab, and etanercept) are thought to be the cause of this rare disease.[90]

Major complications
Major complications of Crohn's disease include bowel obstruction, abscesses, free perforation, and hemorrhage, which in rare cases may be fatal.[91]
Other complications
Individuals with Crohn's disease are at risk of malnutrition for many reasons, including decreased food intake and malabsorption. The risk increases following resection of the small bowel. Such individuals may require oral supplements to increase their caloric intake, or in severe cases, total parenteral nutrition (TPN). Most people with moderate or severe Crohn's disease are referred to a dietitian for assistance with nutrition.[92]
Small intestinal bacterial overgrowth (SIBO) is characterized by excessive proliferation of colonic bacterial species in the small bowel. Potential causes of SIBO include fistulae, strictures, or motility disturbances. Hence, people with Crohn's disease are especially predisposed to develop SIBO. As a result, people with Crohn's disease may experience malabsorption and report symptoms such as weight loss, watery diarrhea, meteorism, flatulence, and abdominal pain, mimicking acute flare.[79]
Pregnancy
Crohn's disease can be problematic during pregnancy, and some medications can cause adverse outcomes for the fetus or mother. Consultation with an obstetrician and gastroenterologist about Crohn's disease and all medications facilitates preventive measures. In some cases, remission occurs during pregnancy. Certain medications can also lower sperm count or otherwise adversely affect a man's fertility.[93]
Ostomy-related complications
Common complications of an ostomy (a common surgery in Crohn's disease) are: mucosal edema, peristomal dermatitis, retraction, ostomy prolapse, mucosal/skin detachment, hematoma, necrosis, parastomal hernia, and stenosis.[94]
Etiology
The etiology, or cause, of Crohn's disease is unknown. There are three main hypotheses concerning the primary mechanism of Crohn's disease. In autoimmune diseases, antibodies and T lymphocytes are the primary mode of inflammation. These cells and bodies are part of the adaptive immune system, or the part of the immune system that learns to fight foreign bodies when first identified.[95] However, auto-antibodies that are diagnostic of Crohn's disease have not been reported.[96] Autoinflammatory diseases are diseases where the innate immune system, or the immune system we are genetically coded with, is designed to attack our own cells.[97] Crohn's disease likely has involvement of both the adaptive and innate immune systems.[98] The other hypothesis is a form of immune deficiency.[99]
Autoinflammatory theory
Crohn's disease can be described as a multifactorial autoinflammatory disease. The etiopathogenesis of Crohn's disease is still unknown, but a loss of immune regulation can be implicated in the onset of the disease. People with Crohn's disease have more frequent NOD2 gene mutations than the background population, making those mutations a risk factor. In contrast, a person with Blau's disease and a NOD2 mutation is likely to have the syndrome directly from that mutation, in addition to the mutation making them more susceptible to Crohn's. This pathogenesis of Crohn's disease allows it to be placed in the group of autoinflammatory syndromes.[97]
Some examples of how the innate immune system affects bowel inflammation have been described.[98] A meta-analysis of Crohn's disease genome-wide association studies revealed 71 distinct Crohn's disease-susceptibility loci. Interestingly, three very important Crohn's disease-susceptibility genes (the intracellular pathogen-recognition receptor, NOD2; the autophagy-related 16-like 1, ATG16L1 and the immunity-related GTPase M, IRGM) are involved in innate immune responses against gut microbiota, while one (the X-box binding protein 1) is involved in regulation of the [adaptive] immune pathway via MHC class II,[100] resulting in autoinflammatory inflammation. Studies have also found that increased ILC3 can overexpress major histocompatibility complex (MHC) II. MHC class II can induce CD4+ T cell apoptosis, thus avoiding the T cell response to normal bowel micro bacteria. Further studies of people with IBD compared with people without IBD found that the expression of MHC II by ILC3 was significantly reduced in people with IBD, thus causing an immune reaction against intestinal cells or normal bowel bacteria and damaging the intestines. This can also make the intestines more susceptible to environmental factors, such as food or bacteria.[98]
The thinking is that because Crohn's disease has strong innate immune system involvement and has NOD2 mutations as a predisposition, Crohn's disease is more likely an autoinflammatory disease than an autoimmune disease.[98]
Immunodeficiency theory
A substantial body of data has emerged in recent years to suggest that the primary defect in Crohn's disease is actually one of relative immunodeficiency.[101] This view has been bolstered recently by novel immunological and clinical studies that have confirmed gross aberrations in this early response, consistent with subsequent genetic studies that have highlighted molecules important for innate immune function. The suggestion therefore is that Crohn's pathogenesis actually results from partial immunodeficiency, a theory that coincides with the frequent recognition of a virtually identical, non-infectious inflammatory bowel disease arising in people with congenital monogenic disorders impairing phagocyte function.[101]
Risk factors
| Crohn's disease | Ulcerative colitis | |
|---|---|---|
| Smoking | Higher risk for smokers | Lower risk for smokers[102] |
| Age | Usual onset between 15 and 30 years[103] |
Peak incidence between 15 and 25 years |
While the exact cause or causes are unknown, Crohn's disease seems to be due to a combination of environmental factors and genetic predisposition.[104] Crohn's is the first genetically complex disease in which the relationship between genetic risk factors and the immune system is understood in considerable detail.[105] Each individual risk mutation makes a small contribution to the overall risk of Crohn's (approximately 1:200). The genetic data, and direct assessment of immunity, indicates a malfunction in the innate immune system.[106] In this view, the chronic inflammation of Crohn's is caused when the adaptive immune system tries to compensate for a deficient innate immune system.[107]
Genetics

Crohn's has a genetic component.[109] Because of this, siblings of known people with Crohn's are 30 times more likely to develop Crohn's than the general population.[110]
The first mutation found to be associated with Crohn's was a frameshift in the NOD2 gene (also known as the CARD15 gene),[111] followed by the discovery of point mutations.[112] Over 30 genes have been associated with Crohn's; a biological function is known for most of them. For example, one association is with mutations in the XBP1 gene, which is involved in the unfolded protein response pathway of the endoplasmic reticulum.[113][114] The gene variants of NOD2/CARD15 seem to be related with small-bowel involvement.[115] Other well documented genes which increase the risk of developing Crohn's disease are ATG16L1,[116] IL23R,[117] IRGM,[118] and SLC11A1.[119] There is considerable overlap between susceptibility loci for IBD and mycobacterial infections.[120] Genome-wide association studies have shown that Crohn's disease is genetically linked to coeliac disease.[121]
Crohn's has been linked to the gene LRRK2 with one variant potentially increasing the risk of developing the disease by 70%, while another lowers it by 25%. The gene is responsible for making a protein, which collects and eliminates waste product in cells, and is also associated with Parkinson's disease.[122]
Immune system
There was a prevailing view that Crohn's disease is a primary T cell autoimmune disorder; however, a newer theory hypothesizes that Crohn's results from an impaired innate immunity.[123] The later hypothesis describes impaired cytokine secretion by macrophages, which contributes to impaired innate immunity and leads to a sustained microbial-induced inflammatory response in the colon, where the bacterial load is high.[14][106] Another theory is that the inflammation of Crohn's was caused by an overactive Th1 and Th17 cytokine response.[124][125]
In 2007, the ATG16L1 gene was implicated in Crohn's disease, which may induce autophagy and hinder the body's ability to attack invasive bacteria.[116] Another study theorized that the human immune system traditionally evolved with the presence of parasites inside the body and that the lack thereof due to modern hygiene standards has weakened the immune system. Test subjects were reintroduced to harmless parasites, with positive responses.[126]
Microbes
It is hypothesized that maintenance of commensal microorganism growth in the GI tract is dysregulated, either as a result or cause of immune dysregulation.[127][128]
There is an apparent connection between Crohn's disease, Mycobacterium, other pathogenic bacteria, and genetic markers.[129][130] For instance, the genetic predisposition to Crohn’s disease overlaps with susceptibility to leprosy, a mycobacterial disease.[131] A number of studies have suggested a causal role for Mycobacterium avium subspecies paratuberculosis (MAP), which causes a similar disease, Johne's disease, in cattle.[132][133] In many individuals, genetic factors predispose individuals to Mycobacterium avium subsp. paratuberculosis infection. This bacterium may produce certain compounds containing mannose, which may protect both itself and various other bacteria from phagocytosis, thereby possibly causing a variety of secondary infections.[134]
Other studies have linked Adherent-invasive Escherichia coli (AIEC) to the disease.[135]
The "cold-chain" hypothesis is that psychrotrophic bacteria such as Yersinia and Listeria species contribute to the disease. A statistical correlation was found between the advent of the use of refrigeration in the United States and various parts of Europe and the rise of the disease.[136][137][138]
There is also a tentative association between Candida colonization and Crohn's disease.[139]
Still, these relationships between specific pathogens and Crohn's disease remain unclear.[140][141]
Environmental factors
The increased incidence of Crohn's disease in the industrialized world indicates an environmental component. Crohn's is associated with an increased intake of animal protein, milk protein, and an increased ratio of omega-6 to omega-3 polyunsaturated fatty acids.[142] Those who consume vegetable proteins appear to have a lower incidence of Crohn's disease. Consumption of fish protein has no association.[142] Smoking increases the risk of the return of active disease (flares).[6] The introduction of hormonal contraception in the United States in the 1960s is associated with a dramatic increase in incidence, and one hypothesis is that these drugs work on the digestive system in ways similar to smoking.[143] Isotretinoin is associated with Crohn's.[144][145][146]
Although stress is sometimes claimed to exacerbate Crohn's disease, there is no concrete evidence to support such claim.[3] Still, it is well known that immune function is related to stress.[147] Dietary microparticles, such as those found in toothpaste, have been studied as they produce effects on immunity, but they were not consumed in greater amounts in people with Crohn's.[148][149] The use of doxycycline has also been associated with increased risk of developing inflammatory bowel diseases.[150][151][152] In one large retrospective study, participants who were prescribed doxycycline for their acne had a 2.25-fold greater risk of developing Crohn's disease.[151]
Pathophysiology
| Crohn's disease | Ulcerative colitis | |
|---|---|---|
| Cytokine response | Associated with Th17[153] | Vaguely associated with Th2 |
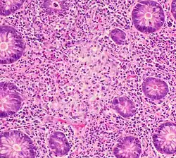
During a colonoscopy, biopsies of the colon are often taken to confirm the diagnosis. Certain characteristic features of the pathology seen point toward Crohn's disease. Common features include a transmural pattern of inflammation, meaning the inflammation may span the entire depth of the intestinal wall.[1] Granulomas, aggregates of macrophage derivatives known as giant cells, are found in 50% of cases and are most specific for Crohn's disease. The granulomas of Crohn's disease do not show "caseation", a cheese-like appearance on microscopic examination characteristic of granulomas associated with infections, such as tuberculosis. Biopsies may also show chronic mucosal damage, as evidenced by blunting of the intestinal villi, atypical branching of the crypts, and a change in the tissue type (metaplasia). One example of such metaplasia, Paneth cell metaplasia, involves the development of Paneth cells (typically found in the small intestine and a key regulator of intestinal microbiota) in other parts of the gastrointestinal system.[154][155]
Diagnosis
The diagnosis of Crohn's disease can sometimes be challenging,[33] and many tests are often required to assist the physician in making the diagnosis.[37] Even with a full battery of tests, it may not be possible to diagnose Crohn's with complete certainty; a colonoscopy is approximately 70% effective in diagnosing the disease, with further tests being less effective. Disease in the small bowel is particularly difficult to diagnose, as a traditional colonoscopy allows access to only the colon and lower portions of the small intestines; introduction of the capsule endoscopy[156] aids in endoscopic diagnosis. Intestinal ultrasound should be considered an early step in the diagnosis and follow-up of people with Crohn's disease even in people with a proximal small bowel localization of the disease.[157][158] Giant (multinucleate) cells, a common finding in the lesions of Crohn's disease, are less common in the lesions of lichen nitidus.[159]
-
Endoscopic image of Crohn's colitis showing deep ulceration -
CT scan showing Crohn's disease in the fundus of the stomach -
Section of colectomy showing transmural inflammation -
Resected ileum from a person with Crohn's disease
Classification

Crohn's disease is one type of inflammatory bowel disease (IBD). It typically manifests in the gastrointestinal tract and can be categorized by the specific tract region affected.
Gastroduodenal Crohn's disease causes inflammation in the stomach and the first part of the small intestine called the duodenum. Jejunoileitis causes spotty patches of inflammation in the top half of the small intestine, called the jejunum.[160] The disease can attack any part of the digestive tract, from the mouth to the anus. However, individuals affected by the disease rarely fall outside these three classifications, with presentations in other areas.[1]
Crohn's disease may also be categorized by the behavior of the disease as it progresses. These categorizations formalized in the Vienna classification of the disease.[161] There are three categories of disease presentation in Crohn's disease: stricturing, penetrating, and inflammatory. Stricturing disease causes narrowing of the bowel that may lead to bowel obstruction or changes in the caliber of the feces. Penetrating disease creates abnormal passageways (fistulae) between the bowel and other structures, such as the skin. Inflammatory disease (or nonstricturing, nonpenetrating disease) causes inflammation without causing strictures or fistulae.[161][162]
Endoscopy
A colonoscopy is the best test for making the diagnosis of Crohn's disease, as it allows direct visualization of the colon and the terminal ileum, identifying the pattern of disease involvement. On occasion, the colonoscope can travel past the terminal ileum, but it varies from person to person. During the procedure, the gastroenterologist can also perform a biopsy, taking small samples of tissue for laboratory analysis, which may help confirm a diagnosis. As 30% of Crohn's disease involves only the ileum,[1] cannulation of the terminal ileum is required in making the diagnosis. Finding a patchy distribution of disease, with involvement of the colon or ileum, but not the rectum, is suggestive of Crohn's disease, as are other endoscopic stigmata.[163] The utility of capsule endoscopy for this, however, is still uncertain.[164] A 2025 clinical guideline indicated that video capsule endoscopy is a useful adjunct in the diagnosis of people with small bowel Crohn's disease.[165]
Radiologic tests
A small bowel follow-through may suggest the diagnosis of Crohn's disease and is useful when the disease involves only the small intestine. Because colonoscopy and gastroscopy allow direct visualization of only the terminal ileum and beginning of the duodenum, they cannot be used to evaluate the remainder of the small intestine. As a result, a barium follow-through X-ray, wherein barium sulfate suspension is ingested and fluoroscopic images of the bowel are taken over time, is useful for looking for inflammation and narrowing of the small bowel.[163][166] Barium enemas, in which barium is inserted into the rectum and fluoroscopy is used to image the bowel, are rarely used in the work-up of Crohn's disease due to the advent of colonoscopy. They remain useful for identifying anatomical abnormalities when strictures of the colon are too small for a colonoscope to pass through, or in the detection of colonic fistulae (in this case contrast should be performed with iodate substances).[167]
CT and MRI scans are useful for evaluating the small bowel with enteroclysis protocols.[168] They are also useful for looking for intra-abdominal complications of Crohn's disease, such as abscesses, small bowel obstructions, or fistulae.[169] Magnetic resonance imaging (MRI) is another option for imaging the small bowel as well as looking for complications, though it is more expensive and less readily available.[170] MRI techniques such as diffusion-weighted imaging and high-resolution imaging are more sensitive in detecting ulceration and inflammation compared to CT.[171][172]
Pediatrics considerations
Imaging in pediatric Crohn's disease requires careful consideration to minimize radiation exposure while ensuring accurate diagnosis and monitoring. Magnetic Resonance Enterography (MRE) is favored over Computed Tomography Enterography (CTE) due to its lack of ionizing radiation and superior soft tissue contrast. MRE effectively assesses bowel wall thickening, inflammation, and complications such as strictures or fistulas. However, it demands longer scan times and patient cooperation, which can be challenging for younger children.[173]
Ultrasound (US), particularly contrast-enhanced ultrasound, serves as a valuable, radiation-free alternative for evaluating bowel wall thickness, vascularity, and inflammatory changes. It is especially useful for initial assessments and ongoing disease monitoring, though its effectiveness can be operator-dependent.[174]
In urgent situations where rapid imaging is necessary to evaluate severe disease complications, such as bowel perforation or abscess formation, CTE may be utilized despite its associated radiation exposure.[175]
Regular imaging follow-ups should be guided by clinical symptoms and biomarkers to minimize unnecessary scans.[176] Emerging imaging techniques continue to improve the safety and efficacy of pediatric Crohn's disease evaluation.
Blood tests
A complete blood count may reveal anemia, which commonly is caused by blood loss leading to iron deficiency or by vitamin B12 deficiency, usually caused by ileal disease impairing vitamin B12 absorption. Rarely autoimmune hemolysis may occur.[177] Ferritin levels help assess if iron deficiency is contributing to the anemia. Erythrocyte sedimentation rate (ESR) and C-reactive protein help assess the degree of inflammation, which is important as ferritin can also be raised in inflammation.[178]
Other causes of anemia include medication used in the treatment of inflammatory bowel disease, like azathioprine, which can lead to cytopenia, and sulfasalazine, which can also result in folate deficiency. Testing for Saccharomyces cerevisiae antibodies (ASCA) and antineutrophil cytoplasmic antibodies (ANCA) has been evaluated to identify inflammatory diseases of the intestine[179] and to differentiate Crohn's disease from ulcerative colitis.[180] Furthermore, increasing amounts and levels of serological antibodies such as ASCA, antilaminaribioside [Glc(β1,3)Glb(β); ALCA], antichitobioside [GlcNAc(β1,4)GlcNAc(β); ACCA], antimannobioside [Man(α1,3)Man(α)AMCA], antiLaminarin [(Glc(β1,3))3n(Glc(β1,6))n; anti-L] and antichitin [GlcNAc(β1,4)n; anti-C] associate with disease behavior and surgery, and may aid in the prognosis of Crohn's disease.[181][182][183][184]
Low serum levels of vitamin D are associated with Crohn's disease.[185] Further studies are required to determine the significance of this association.[185]
Comparison with ulcerative colitis
The most common disease that mimics the symptoms of Crohn's disease is ulcerative colitis, as both are inflammatory bowel diseases that can affect the colon with similar symptoms. It is important to differentiate these diseases, since the course of the diseases and treatments may be different. In some cases, however, it may not be possible to tell the difference, in which case the disease is classified as indeterminate colitis.[1][37][38]
| Crohn's disease | Ulcerative colitis | |
|---|---|---|
| Terminal ileum involvement | Commonly | Seldom |
| Colon involvement | Usually | Always |
| Rectum involvement | Seldom | Usually (95%)[102] |
| Involvement around the anus |
Common[186] | Seldom |
| Bile duct involvement | No increase in rate of primary sclerosing cholangitis | Higher rate[187] |
| Distribution of disease | Patchy areas of inflammation (skip lesions) | Continuous area of inflammation[102] |
| Endoscopy | Deep geographic and serpiginous (snake-like) ulcers | Continuous ulcer |
| Depth of inflammation | May be transmural, deep into tissues[186][188] | Shallow, mucosal |
| Stenosis | Common | Seldom |
| Granulomas on biopsy | May have non-necrotizing non-peri-intestinal crypt granulomas[186][189][190] | Non-peri-intestinal crypt granulomas not seen[191] |
Differential diagnosis
Other conditions with similar symptoms as Crohn's disease includes intestinal tuberculosis, Behçet's disease, ulcerative colitis, nonsteroidal anti-inflammatory drug enteropathy, irritable bowel syndrome and celiac disease.[10] Irritable bowel syndrome is excluded when there are inflammatory changes.[10] Celiac disease cannot be excluded if specific antibodies (anti-transglutaminase antibodies) are negative,[192][193] nor in the absence of intestinal villi atrophy.[194][195]
Management
| Crohn's disease | Ulcerative colitis | |
|---|---|---|
| Mesalazine | Less useful[196] | More useful[196] |
| Antibiotics | Effective in long-term[197] | Generally not useful[198] |
| Surgery | Often returns following removal of affected part |
Usually cured by removal of colon |
There is no cure for Crohn's disease and remission may not be possible or prolonged if achieved. In cases where remission is possible, relapse can be prevented and symptoms controlled with medication, lifestyle and dietary changes, changes to eating habits (eating smaller amounts more often), reduction of stress, moderate activity, and exercise. Surgery is generally contraindicated and has not been shown to prevent relapse. Adequately controlled, Crohn's disease may not significantly restrict daily living.[199] Treatment for Crohn's disease involves first treating the acute problem and its symptoms, then maintaining remission of the disease.
Lifestyle changes
Certain lifestyle changes can reduce symptoms, including dietary adjustments, elemental diet, proper hydration, and smoking cessation. Some reviews underlined the importance to adopt diets that are best supported by evidence, even if little is known about the impact of diets on these people.[200][201] Diets that include higher levels of fiber and fruit are associated with reduced risk, while diets rich in total fats, polyunsaturated fatty acids, meat, and omega-6 fatty acids may increase the risk of Crohn's.[202] Maintaining a balanced diet with proper portion control can help manage symptoms of the disease. Eating small meals frequently instead of big meals may also help with a low appetite. A food diary may help with identifying foods that trigger symptoms. Despite the recognized importance of dietary fiber for intestinal health, some people should follow a low residue diet to control acute symptoms especially if foods high in insoluble fiber cause symptoms, e.g., due to obstruction or irritation of the bowel.[199] Some find relief in eliminating casein (a protein found in cow's milk) and gluten (a protein found in wheat, rye and barley) from their diets. They may have specific dietary intolerances (not allergies), for example, lactose.[203] Fatigue can be helped with regular exercise, a healthy diet, and enough sleep, and for those with malabsorption of vitamin B12 due to disease or surgical resection of the terminal ileum, cobalamin injections. Smoking may worsen symptoms and the course of the disease, and stopping is recommended. Alcohol consumption can also worsen symptoms, and moderation or cessation is advised.[199]
Medication
Acute treatment uses medications to treat any infection (normally antibiotics) and to reduce inflammation (normally corticosteroids). When symptoms are in remission, treatment enters maintenance, intending to avoid the recurrence of symptoms. Prolonged use of corticosteroids has significant side-effects; as a result, they are, in general, not used for long-term treatment. Alternatives include aminosalicylates alone, though only a minority can maintain the treatment, and many require immunosuppressive drugs.[186] It has also been suggested that antibiotics change the enteric flora, and their continuous use may pose the risk of overgrowth with pathogens such as Clostridioides difficile.[204]
Medications used to treat the symptoms of Crohn's disease include 5-aminosalicylic acid (5-ASA) formulations, prednisone, immunomodulators such as azathioprine (given as the prodrug for 6-mercaptopurine), methotrexate,[205] and anti-TNF therapies and monoclonal antibodies, such as infliximab, adalimumab,[38] certolizumab,[206] vedolizumab, ustekinumab,[207] natalizumab,[208][209]risankizumab-rzaa, and upadacitinib[210] Hydrocortisone should be used in severe attacks of Crohn's disease.[211] Biological therapies are medications used to avoid long-term steroid use, decrease inflammation, and treat people who have fistulas with abscesses.[36] The monoclonal antibody ustekinumab appears to be a safe treatment option, and may help people with moderate to severe active Crohn's disease.[212] The long term safety and effectiveness of monoclonal antibody treatment is not known.[212] The monoclonal antibody briakinumab is not effective for people with active Crohn's disease and it is no longer being manufactured.[212]
The gradual loss of blood from the gastrointestinal tract, as well as chronic inflammation, often leads to anemia, and professional guidelines suggest routine monitoring for this.[213][214][215]
Immunosuppressant therapies, infection risks and vaccinations
Many people affected by Crohn's disease need immunosuppressant therapies, which are known to be associated with a higher risk of contracting opportunistic infectious diseases and of pre-neoplastic or neoplastic lesions such as cervical high-grade dysplasia and cancer.[216][217] Many of these potentially harmful diseases, such as Hepatitis B, Influenza, herpes zoster virus, pneumococcal pneumonia, or human papilloma virus, can be prevented by vaccines.[218] Compared to the rest of the population, people affected by IBD are known to be at higher risk of contracting some vaccine-preventable diseases such as the flu and pneumonia.[219] Nevertheless, despite the increased risk of infections, vaccination rates in people with IBD are known to be suboptimal and may also be lower than vaccination rates in the general population.[220][221]
Surgery
Crohn's cannot be cured by surgery, as the disease eventually recurs, though it is used in the case of partial or full blockage of the intestine.[222] Surgery may also be required for complications such as obstructions, fistulas, or abscesses, or if the disease does not respond to drugs. After the first surgery, Crohn's usually comes back at the site where the diseased intestine was removed and the healthy ends were rejoined; it can also come back in other locations. After a resection, scar tissue builds up, which can cause strictures, which form when the intestines become too small to allow excrement to pass through easily, which can lead to a blockage. After the first resection, another resection may be necessary within five years. For people with an obstruction due to a stricture, two options for treatment are strictureplasty and resection of that portion of the bowel. There is no statistical significance between strictureplasty alone versus strictureplasty and resection in cases of duodenal involvement. In these cases, re-operation rates were 31% and 27%, respectively, indicating that strictureplasty is a safe and effective treatment for selected people with duodenal involvement.[223]
Postsurgical recurrence of Crohn's disease is relatively common. Crohn's lesions are nearly always found at the site of the resected bowel. The join (or anastomosis) after surgery may be inspected, usually during a colonoscopy, and disease activity graded. The "Rutgeerts score" is an endoscopic scoring system for postoperative disease recurrence in Crohn's disease. Postsurgical remission per the Rutgeerts score is graded as i0; while mild postsurgical recurrences are graded i1 and i2, and moderate to severe recurrences are graded i3 and i4.[224] Fewer lesions result in a lower grade. Based on the score, treatment plans can be designed to give the patient the best chance of managing the recurrence of the disease.[225]
Short bowel syndrome (SBS, also short gut syndrome or simply short gut) is caused by the surgical removal of part of the small intestine. It usually develops in those people who have had half or more of their small intestines removed.[226] Diarrhea is the main symptom, but others may include weight loss, cramping, bloating, and heartburn. Short bowel syndrome is treated with changes in diet, intravenous feeding, vitamin and mineral supplements, and treatment with medications. In some cases of SBS, intestinal transplant surgery may be considered; though the number of transplant centres offering this procedure is quite small and it comes with a high risk due to the chance of infection and rejection of the transplanted intestine.[227]
Bile acid diarrhea is another complication following surgery for Crohn's disease in which the terminal ileum has been removed. This leads to the development of excessive watery diarrhea. It is usually thought to be due to an inability of the ileum to reabsorb bile acids after resection of the terminal ileum and was the first type of bile acid malabsorption recognized.[228]
Microbiome modification
The use of oral probiotic supplements to modify the composition and behaviour of the gastrointestinal microbiome has been researched to understand whether it may help to improve remission rates in people with Crohn's disease. However, only two controlled trials were available in 2020, with no clear overall evidence of higher remission nor lower adverse effects, in people with Crohn's disease receiving probiotic supplementation.[229]
Mental health
Crohn's may result in anxiety or mood disorders, especially in young people who may have stunted growth or embarrassment from fecal incontinence.[230] Counselling as well as antidepressant or anxiolytic medication may help some people manage.[230]
As of 2017 there is a small amount of research looking at mindfulness-based therapies, hypnotherapy, and cognitive behavioural therapy.[231] A meta analysis of interventions to improve mood (including talking therapy, antidepressants, and exercise) in people with inflammatory bowel disease found that they reduced inflammatory markers such as C-reactive protein and faecal calprotectin. Psychological therapies reduced inflammation more than antidepressants or exercise.[232][233]
Alternative medicine
It is common for people with Crohn's disease to try complementary or alternative therapy.[234] These include diets, probiotics, fish oil, and other herbal and nutritional supplements. A 2006 survey in Germany found that about half of people with IBD used some form of alternative medicine, with the most common being homeopathy, and a study in France found that about 30% used alternative medicine.[235]
- There is insufficient evidence to recommend the use of acupuncture.[234]
- Homeopathic preparations are of no benefit with this or any other condition.[236]
- There is no good evidence that cannabis or cannabis oil are an effective or safe treatment.[237]
Prognosis
Crohn's disease is a chronic condition for which there is no known cure. It is characterised by periods of improvement followed by episodes when symptoms flare up. With treatment, most people achieve a healthy weight, and the mortality rate for the disease is relatively low. It can vary from being benign to very severe, and people with CD could experience just one episode or have continuous symptoms. It usually reoccurs, although some people can remain disease-free for years or decades. Up to 80% of people with Crohn's disease are hospitalized at some point during the course of their disease, with the highest rate occurring in the first year after diagnosis.[11] Most people diagnosed with Crohn's require surgery for complications or symptoms of the disease within their lifetime, although the rate associated with this is decreasing with better access to modern treatments.[238] Most people with Crohn's live a normal lifespan.[239] However, Crohn's disease is associated with a small increase in risk of small bowel and colorectal carcinoma (bowel cancer).[240]
Epidemiology
The percentage of people with Crohn's disease has been determined in Norway and the United States and is similar at 6 to 7.1:100,000. The Crohn's & Colitis Foundation of America cites this number as approx 149:100,000; NIH cites 28 to 199 per 100,000.[241][242] Crohn's disease is more common in northern countries, and with higher rates still in the northern areas of these countries.[243] The incidence of Crohn's disease is thought to be similar in Europe but lower in Asia and Africa.[241] It also has a higher incidence in Ashkenazi Jews[1][244] and smokers.[245]
Crohn's disease begins most commonly in people in their teens and 20s, and people in their 50s through to their 70s.[1][37][26] It is rarely diagnosed in early childhood. It usually affects female children more severely than males.[246] However, only slightly more women than men have Crohn's disease.[247] Parents, siblings or children of people with Crohn's disease are 3 to 20 times more likely to develop the disease.[248] Twin studies find that if one has the disease there is a 55% chance the other will too.[249]
The incidence of Crohn's disease is increasing in Europe[250] and in newly industrialised countries.[251] For example, in Brazil, there has been an annual increase of 11% in the incidence of Crohn's disease since 1990.[251]
History
Inflammatory bowel diseases were described by Giovanni Battista Morgagni (1682–1771) and by Scottish physician Thomas Kennedy Dalziel in 1913.[252]
Ileitis terminalis was first described by Polish surgeon Antoni Leśniowski in 1904, although it was not conclusively distinguished from intestinal tuberculosis.[253] In Poland, it is still called Leśniowski-Crohn's disease (Polish: choroba Leśniowskiego-Crohna). Burrill Bernard Crohn, an American gastroenterologist at New York City's Mount Sinai Hospital, described fourteen cases in 1932, and submitted them to the American Medical Association under the rubric of "Terminal ileitis: A new clinical entity". Later that year, he, along with colleagues Leon Ginzburg and Gordon Oppenheimer, published the case series "Regional ileitis: a pathologic and clinical entity". However, due to the precedence of Crohn's name in the alphabet, it later became known in the worldwide literature as Crohn's disease.[27]
References
- ^ a b c d e f g h i j k l m n o p q r s t u v w x y z aa ab ac ad ae af ag ah Baumgart DC, Sandborn WJ (November 2012). "Crohn's disease". Lancet. 380 (9853): 1590–1605. doi:10.1016/S0140-6736(12)60026-9. PMID 22914295.
- ^ "Crohn's disease". Autoimmune Registry Inc. Archived from the original on June 15, 2022. Retrieved June 15, 2022.
- ^ a b c d e f g h i "Crohn's Disease". National Institute of Diabetes and Digestive and Kidney Diseases (NIDDK). Archived from the original on December 8, 2019. Retrieved December 8, 2019.
- ^ Baumgart DC, Carding SR (May 2007). "Inflammatory bowel disease: cause and immunobiology". Lancet. 369 (9573): 1627–1640. doi:10.1016/S0140-6736(07)60750-8. PMID 17499605.
- ^ Mawdsley JE, Rampton DS (October 2005). "Psychological stress in IBD: new insights into pathogenic and therapeutic implications". Gut. 54 (10): 1481–1491. doi:10.1136/gut.2005.064261. PMC 1774724. PMID 16162953.
- ^ a b c Cosnes J (June 2004). "Tobacco and IBD: relevance in the understanding of disease mechanisms and clinical practice". Best Practice & Research. Clinical Gastroenterology. 18 (3): 481–496. doi:10.1016/j.bpg.2003.12.003. PMID 15157822.
- ^ Koutroubakis IE, Vlachonikolis IG, Kapsoritakis A, Spanoudakis S, Roussomoustakaki M, Mouzas IA, et al. (February 1999). "Appendectomy, tonsillectomy, and risk of inflammatory bowel disease: case-controlled study in Crete". Diseases of the Colon and Rectum. 42 (2): 225–230. doi:10.1007/BF02237133. PMID 10211500. S2CID 31528819. Archived from the original on June 13, 2019.
- ^ Frisch M, Gridley G (October 2002). "Appendectomy in adulthood and the risk of inflammatory bowel diseases". Scandinavian Journal of Gastroenterology. 37 (10): 1175–1177. doi:10.1080/003655202760373380. PMID 12408522.
- ^ Sun W, Han X, Wu S, Yang C (June 2016). "Tonsillectomy and the risk of inflammatory bowel disease: A systematic review and meta-analysis". Journal of Gastroenterology and Hepatology. 31 (6): 1085–1094. doi:10.1111/jgh.13273. PMID 26678358. S2CID 2625962. Archived from the original on August 16, 2017. Retrieved February 9, 2024.
- ^ a b c "Inflammatory Bowel Disease" (PDF). World Gastroenterology Organization. August 2015. Archived from the original (PDF) on March 14, 2016. Retrieved March 13, 2016.
- ^ a b Lichtenstein GR, Loftus EV, Isaacs KL, Regueiro MD, Gerson LB, Sands BE (April 2018). "ACG Clinical Guideline: Management of Crohn's Disease in Adults". The American Journal of Gastroenterology. 113 (4): 481–517. doi:10.1038/ajg.2018.27. PMID 29610508. S2CID 4568430.
- ^ a b Molodecky NA, Soon IS, Rabi DM, Ghali WA, Ferris M, Chernoff G, et al. (January 2012). "Increasing incidence and prevalence of the inflammatory bowel diseases with time, based on systematic review". Gastroenterology. 142 (1): 46–54.e42, quiz e30. doi:10.1053/j.gastro.2011.10.001. PMID 22001864. S2CID 206223870. Archived from the original on October 7, 2022. Retrieved October 7, 2022.
- ^ Cho JH, Brant SR (May 2011). "Recent insights into the genetics of inflammatory bowel disease". Gastroenterology. 140 (6): 1704–1712. doi:10.1053/j.gastro.2011.02.046. PMC 4947143. PMID 21530736.
- ^ a b c Dessein R, Chamaillard M, Danese S (September 2008). "Innate immunity in Crohn's disease: the reverse side of the medal". Journal of Clinical Gastroenterology. 42 (Suppl 3 Pt 1): S144 – S147. doi:10.1097/MCG.0b013e3181662c90. PMID 18806708.
- ^ Stefanelli T, Malesci A, Repici A, Vetrano S, Danese S (May 2008). "New insights into inflammatory bowel disease pathophysiology: paving the way for novel therapeutic targets". Current Drug Targets. 9 (5): 413–418. doi:10.2174/138945008784221170. PMID 18473770.
- ^ a b Marks DJ, Rahman FZ, Sewell GW, Segal AW (February 2010). "Crohn's disease: an immune deficiency state". Clinical Reviews in Allergy & Immunology. 38 (1): 20–31. doi:10.1007/s12016-009-8133-2. PMC 4568313. PMID 19437144.
- ^ Casanova JL, Abel L (August 2009). "Revisiting Crohn's disease as a primary immunodeficiency of macrophages". The Journal of Experimental Medicine. 206 (9): 1839–1843. doi:10.1084/jem.20091683. PMC 2737171. PMID 19687225.
- ^ Lalande JD, Behr MA (July 2010). "Mycobacteria in Crohn's disease: how innate immune deficiency may result in chronic inflammation". Expert Review of Clinical Immunology. 6 (4): 633–641. doi:10.1586/eci.10.29. PMID 20594136. S2CID 25402952.
- ^ Yamamoto-Furusho JK, Korzenik JR (November 2006). "Crohn's disease: innate immunodeficiency?". World Journal of Gastroenterology. 12 (42): 6751–6755. doi:10.3748/wjg.v12.i42.6751. PMC 4087427. PMID 17106921.
- ^ Barrett JC, Hansoul S, Nicolae DL, Cho JH, Duerr RH, Rioux JD, et al. (August 2008). "Genome-wide association defines more than 30 distinct susceptibility loci for Crohn's disease". Nature Genetics. 40 (8): 955–962. doi:10.1038/ng.175. PMC 2574810. PMID 18587394.
- ^ Prideaux L, Kamm MA, De Cruz PP, Chan FK, Ng SC (August 2012). "Inflammatory bowel disease in Asia: a systematic review". Journal of Gastroenterology and Hepatology. 27 (8): 1266–1280. doi:10.1111/j.1440-1746.2012.07150.x. PMID 22497584. S2CID 205468282.
- ^ a b Hovde Ø, Moum BA (April 2012). "Epidemiology and clinical course of Crohn's disease: results from observational studies". World Journal of Gastroenterology. 18 (15): 1723–1731. doi:10.3748/wjg.v18.i15.1723. PMC 3332285. PMID 22553396.
- ^ a b Burisch J, Munkholm P (July 2013). "Inflammatory bowel disease epidemiology". Current Opinion in Gastroenterology. 29 (4): 357–362. doi:10.1097/MOG.0b013e32836229fb. PMID 23695429. S2CID 9538639.
- ^ Wang H, Naghavi M, Allen C, Barber RM, Bhutta ZA, Carter A, et al. (GBD 2015 Mortality and Causes of Death Collaborators) (October 2016). "Global, regional, and national life expectancy, all-cause mortality, and cause-specific mortality for 249 causes of death, 1980-2015: a systematic analysis for the Global Burden of Disease Study 2015". Lancet. 388 (10053): 1459–1544. doi:10.1016/S0140-6736(16)31012-1. PMC 5388903. PMID 27733281.
- ^ Shih IL, Lee TC, Tu CH, Chang CC, Wang YF, Tseng YH, et al. (December 2016). "Intraobserver and interobserver agreement for identifying extraluminal manifestations of Crohn's disease with magnetic resonance enterography". Advances in Digestive Medicine. 3 (4): 174–180. doi:10.1016/j.aidm.2015.05.004. S2CID 70796090.
- ^ a b c "Crohn's Disease: Get Facts on Symptoms and Diet". eMedicineHealth. Archived from the original on October 20, 2007.
- ^ a b Crohn BB, Ginzburg L, Oppenheimer GD (May 2000). "Regional ileitis: a pathologic and clinical entity. 1932". The Mount Sinai Journal of Medicine, New York. 67 (3): 263–268. PMID 10828911.
- ^ Van Hootegem P, Travis S (July 2020). "Is Crohn's Disease a Rightly Used Eponym?". Journal of Crohn's & Colitis. 14 (6): 867–871. doi:10.1093/ecco-jcc/jjz183. PMID 31701137. Archived from the original on July 8, 2023. Retrieved July 8, 2023.
- ^ Mulder DJ, Noble AJ, Justinich CJ, Duffin JM (May 2014). "A tale of two diseases: the history of inflammatory bowel disease". Journal of Crohn's & Colitis. 8 (5): 341–348. doi:10.1016/j.crohns.2013.09.009. PMID 24094598. S2CID 13714394.
- ^ Ginzburg L (May 1986). "Regional enteritis: historical perspective (B. Crohn and L. Ginzburg)". Gastroenterology. 90 (5 Pt 1): 1310–1311. doi:10.1016/0016-5085(86)90419-1. PMID 3514360.
- ^ a b c d e f "Inflammatorisk tarmsjukdom, kronisk, IBD". internetmedicin.se (in Swedish). January 4, 2009. Archived from the original on August 20, 2010.
- ^ Hanauer SB, Sandborn W (March 2001). "Management of Crohn's disease in adults". The American Journal of Gastroenterology. 96 (3): 635–43. doi:10.1111/j.1572-0241.2001.3671_c.x (inactive July 12, 2025). PMID 11280528. S2CID 31219115.
{{cite journal}}: CS1 maint: DOI inactive as of July 2025 (link) - ^ a b Pimentel M, Chang M, Chow EJ, Tabibzadeh S, Kirit-Kiriak V, Targan SR, et al. (December 2000). "Identification of a prodromal period in Crohn's disease but not ulcerative colitis". The American Journal of Gastroenterology. 95 (12): 3458–3462. doi:10.1111/j.1572-0241.2000.03361.x. PMID 11151877. S2CID 2764694.
- ^ National Research Council (2003). "Johne's Disease and Crohn's Disease". Diagnosis and Control of Johne's Disease. Washington, DC: National Academies Press. doi:10.17226/10625. ISBN 978-0-309-08611-0. PMID 25032299. NBK207651. Archived from the original on September 6, 2017. Retrieved August 30, 2017.
- ^ Taylor BA, Williams GT, Hughes LE, Rhodes J (August 1989). "The histology of anal skin tags in Crohn's disease: an aid to confirmation of the diagnosis". International Journal of Colorectal Disease. 4 (3): 197–199. doi:10.1007/BF01649703. PMID 2769004. S2CID 7831833.
- ^ a b "What I need to know about Crohn's Disease". www.niddk.nih.gov. Archived from the original on November 21, 2015. Retrieved December 11, 2015.
- ^ a b c d e f Crohn Disease at eMedicine
- ^ a b c Podolsky DK (August 2002). "Inflammatory bowel disease". The New England Journal of Medicine (Submitted manuscript). 347 (6): 417–429. doi:10.1056/NEJMra020831. PMID 12167685. Archived from the original on April 28, 2021. Retrieved September 4, 2018.
- ^ Mueller MH, Kreis ME, Gross ML, Becker HD, Zittel TT, Jehle EC (August 2002). "Anorectal functional disorders in the absence of anorectal inflammation in patients with Crohn's disease". The British Journal of Surgery. 89 (8): 1027–1031. doi:10.1046/j.1365-2168.2002.02173.x. PMID 12153630. S2CID 42383375.
- ^ Ingle SB, Hinge CR, Dakhure S, Bhosale SS (May 2013). "Isolated gastric Crohn's disease". World Journal of Clinical Cases. 1 (2): 71–73. doi:10.12998/wjcc.v1.i2.71. PMC 3845940. PMID 24303469.
- ^ Greuter T, Piller A, Fournier N, Safroneeva E, Straumann A, Biedermann L, et al. (November 2018). "Upper Gastrointestinal Tract Involvement in Crohn's Disease: Frequency, Risk Factors, and Disease Course". Journal of Crohn's & Colitis. 12 (12): 1399–1409. doi:10.1093/ecco-jcc/jjy121. hdl:2078.1/269513. PMID 30165603.
- ^ Laube R, Liu K, Schifter M, Yang JL, Suen MK, Leong RW (February 2018). "Oral and upper gastrointestinal Crohn's disease". Journal of Gastroenterology and Hepatology. 33 (2): 355–364. doi:10.1111/jgh.13866. PMID 28708248.
- ^ Pimentel AM, Rocha R, Santana GO (March 2019). "Crohn's disease of esophagus, stomach and duodenum". World Journal of Gastrointestinal Pharmacology and Therapeutics. 10 (2): 35–49. doi:10.4292/wjgpt.v10.i2.35. PMC 6422852. PMID 30891327.
- ^ Fix OK, Soto JA, Andrews CW, Farraye FA (December 2004). "Gastroduodenal Crohn's disease". Gastrointestinal Endoscopy. 60 (6): 985. doi:10.1016/S0016-5107(04)02200-X. PMID 15605018.
- ^ Pimentel AM, Rocha R, Santana GO (March 2019). "Crohn's disease of esophagus, stomach and duodenum". World Journal of Gastrointestinal Pharmacology and Therapeutics. 10 (2): 35–49. doi:10.4292/wjgpt.v10.i2.35. PMC 6422852. PMID 30891327.
- ^ Antonelli E, Bassotti G, Tramontana M, Hansel K, Stingeni L, Ardizzone S, et al. (January 2021). "Dermatological Manifestations in Inflammatory Bowel Diseases". Journal of Clinical Medicine. 10 (2): 364. doi:10.3390/jcm10020364. PMC 7835974. PMID 33477990.
- ^ a b Aberumand B, Howard J, Howard J (January 3, 2017). "Metastatic Crohn's Disease: An Approach to an Uncommon but Important Cutaneous Disorder". BioMed Research International. 2017: 8192150. doi:10.1155/2017/8192150. PMC 5239966. PMID 28127561.
- ^ a b Beattie RM, Croft NM, Fell JM, Afzal NA, Heuschkel RB (May 2006). "Inflammatory bowel disease". Archives of Disease in Childhood. 91 (5): 426–432. doi:10.1136/adc.2005.080481. PMC 2082730. PMID 16632672.
- ^ Büller HA (February 1997). "Problems in diagnosis of IBD in children". The Netherlands Journal of Medicine (Submitted manuscript). 50 (2): S8-11. doi:10.1016/S0300-2977(96)00064-2. PMID 9050326. Archived from the original on August 28, 2021. Retrieved September 4, 2018.
- ^ O'Keefe SJ (1996). "Nutrition and gastrointestinal disease". Scandinavian Journal of Gastroenterology. Supplement. 220: 52–59. doi:10.3109/00365529609094750. PMID 8898436.
- ^ a b c Harbord M, Annese V, Vavricka SR, Allez M, Barreiro-de Acosta M, Boberg KM, et al. (March 2016). "The First European Evidence-based Consensus on Extra-intestinal Manifestations in Inflammatory Bowel Disease". Journal of Crohn's & Colitis. 10 (3): 239–254. doi:10.1093/ecco-jcc/jjv213. PMC 4957476. PMID 26614685.
- ^ Greenstein AJ, Janowitz HD, Sachar DB (September 1976). "The extra-intestinal complications of Crohn's disease and ulcerative colitis: a study of 700 patients". Medicine. 55 (5): 401–412. doi:10.1097/00005792-197609000-00004. PMID 957999.
- ^ Bernstein CN, Blanchard JF, Rawsthorne P, Yu N (April 2001). "The prevalence of extraintestinal diseases in inflammatory bowel disease: a population-based study". The American Journal of Gastroenterology. 96 (4): 1116–1122. doi:10.1111/j.1572-0241.2001.03756.x. PMID 11316157.
- ^ Harbord M, Annese V, Vavricka SR, Allez M, Barreiro-de Acosta M, Boberg KM, et al. (March 2016). "The First European Evidence-based Consensus on Extra-intestinal Manifestations in Inflammatory Bowel Disease". Journal of Crohn's & Colitis. 10 (3): 239–254. doi:10.1093/ecco-jcc/jjv213. PMID 26614685.
- ^ a b c d e f g h i j k Trikudanathan G, Venkatesh PG, Navaneethan U (December 2012). "Diagnosis and therapeutic management of extra-intestinal manifestations of inflammatory bowel disease". Drugs. 72 (18): 2333–2349. doi:10.2165/11638120-000000000-00000. PMID 23181971. S2CID 10078879.
- ^ a b c d e f g h i j k l m n o p q r Jose FA, Heyman MB (February 2008). "Extraintestinal manifestations of inflammatory bowel disease". Journal of Pediatric Gastroenterology and Nutrition. 46 (2): 124–133. doi:10.1097/MPG.0b013e318093f4b0. PMC 3245880. PMID 18223370.
- ^ Orchard TR, Chua CN, Ahmad T, Cheng H, Welsh KI, Jewell DP (September 2002). "Uveitis and erythema nodosum in inflammatory bowel disease: clinical features and the role of HLA genes". Gastroenterology. 123 (3): 714–718. doi:10.1053/gast.2002.35396. PMID 12198697.
- ^ Migliorisi G, Vella G, Dal Buono A, Gabbiadini R, Busacca A, Loy L, et al. (January 2024). "Ophthalmological Manifestations in Inflammatory Bowel Diseases: Keep an Eye on It". Cells. 13 (2): 142. doi:10.3390/cells13020142. PMC 10814681. PMID 38247834.
- ^ Kumar V, Abbas AK, Fausto N (July 30, 2004). "The Gastrointestinal Tract". Robbins and Cotran: Pathologic Basis of Disease (7th ed.). Philadelphia, Pennsylvania: Elsevier Saunders. p. 847. ISBN 978-0-7216-0187-8.
- ^ Barberio B, Massimi D, Cazzagon N, Zingone F, Ford AC, Savarino EV (December 2021). "Prevalence of Primary Sclerosing Cholangitis in Patients With Inflammatory Bowel Disease: A Systematic Review and Meta-analysis". Gastroenterology. 161 (6): 1865–1877. doi:10.1053/j.gastro.2021.08.032. hdl:11577/3401611. PMID 34425093.
- ^ Loos E, Lemkens P, Poorten VV, Humblet E, Laureyns G (January 2019). "Laryngeal Manifestations of Inflammatory Bowel Disease". Journal of Voice. 33 (1): 1–6. doi:10.1016/j.jvoice.2017.09.021. PMID 29605161. S2CID 4565046.
- ^ Hasegawa N, Ishimoto S, Takazoe M, Tsunoda K, Fujimaki Y, Shiraishi A, et al. (July 2009). "Recurrent hoarseness due to inflammatory vocal fold lesions in a patient with Crohn's disease". The Annals of Otology, Rhinology, and Laryngology. 118 (7): 532–535. doi:10.1177/000348940911800713. PMID 19708494. S2CID 8472904.
- ^ Li CJ, Aronowitz P (March 2013). "Sore throat, odynophagia, hoarseness, and a muffled, high-pitched voice". Cleveland Clinic Journal of Medicine. 80 (3): 144–145. doi:10.3949/ccjm.80a.12056. PMID 23456463. S2CID 31002546.
- ^ Lu DG, Ji XQ, Liu X, Li HJ, Zhang CQ (January 2014). "Pulmonary manifestations of Crohn's disease". World Journal of Gastroenterology. 20 (1): 133–141. doi:10.3748/wjg.v20.i1.133. PMC 3886002. PMID 24415866.
- ^ van Bodegraven AA, Bravenboer N (April 2020). "Perspective on skeletal health in inflammatory bowel disease". Osteoporosis International. 31 (4): 637–646. doi:10.1007/s00198-019-05234-w. PMC 7075921. PMID 31822927.
- ^ "Osteoporosis - IBD Journey - Complications of IBD - Osteoporosis". crohnsandcolitis.ca. Retrieved February 14, 2025.
- ^ Bernstein M, Irwin S, Greenberg GR (September 2005). "Maintenance infliximab treatment is associated with improved bone mineral density in Crohn's disease". The American Journal of Gastroenterology. 100 (9): 2031–2035. doi:10.1111/j.1572-0241.2005.50219.x. PMID 16128948. S2CID 28982700.
- ^ a b c Thrash B, Patel M, Shah KR, Boland CR, Menter A (February 2013). "Cutaneous manifestations of gastrointestinal disease: part II". Journal of the American Academy of Dermatology. 68 (2): 211.e1-33, quiz 244–6. doi:10.1016/j.jaad.2012.10.036. PMID 23317981. S2CID 1819416.
- ^ a b Roth N, Biedermann L, Fournier N, Butter M, Vavricka SR, Navarini AA, et al. (2019). "Occurrence of skin manifestations in patients of the Swiss Inflammatory Bowel Disease Cohort Study". PLOS ONE. 14 (1): e0210436. Bibcode:2019PLoSO..1410436R. doi:10.1371/journal.pone.0210436. PMC 6347222. PMID 30682031. S2CID 59275029.
- ^ Kitis G, Thompson H, Allan RN (October 1979). "Finger clubbing in inflammatory bowel disease: its prevalence and pathogenesis". British Medical Journal. 2 (6194): 825–828. doi:10.1136/bmj.2.6194.825. PMC 1596648. PMID 509114.
- ^ Kapsoritakis AN, Psychos AK, Sfiridaki A, Zintzaras E, Potamianos SP (June 2006). "Finger clubbing and erythropoietin serum levels in active IBD". Inflammatory Bowel Diseases. 12 (6): 535–536. doi:10.1097/00054725-200606000-00014. PMID 16775499.
- ^ a b Crohn's disease Archived August 5, 2007, at the Wayback Machine. professionals.epilepsy.com. Retrieved July 13, 2007.
- ^ "Mental and Emotional Well-Being". Crohn's & Colitis Foundation. Archived from the original on October 7, 2022. Retrieved September 6, 2021.
- ^ Fracas E, Costantino A, Vecchi M, Buoli M (June 2023). "Depressive and Anxiety Disorders in Patients with Inflammatory Bowel Diseases: Are There Any Gender Differences?". International Journal of Environmental Research and Public Health. 20 (13): 6255. doi:10.3390/ijerph20136255. PMC 10340762. PMID 37444101.
- ^ Barberio B, Zamani M, Black CJ, Savarino EV, Ford AC (May 2021). "Prevalence of symptoms of anxiety and depression in patients with inflammatory bowel disease: a systematic review and meta-analysis" (PDF). The Lancet. Gastroenterology & Hepatology. 6 (5): 359–370. doi:10.1016/S2468-1253(21)00014-5. hdl:11577/3406430. PMID 33721557. Archived (PDF) from the original on December 3, 2023. Retrieved May 26, 2024.
- ^ a b c Lomer MC (August 2011). "Dietary and nutritional considerations for inflammatory bowel disease". The Proceedings of the Nutrition Society. 70 (3): 329–335. doi:10.1017/S0029665111000097. PMID 21450124.
- ^ a b c Gerasimidis K, McGrogan P, Edwards CA (August 2011). "The aetiology and impact of malnutrition in paediatric inflammatory bowel disease". Journal of Human Nutrition and Dietetics (Review). 24 (4): 313–326. doi:10.1111/j.1365-277X.2011.01171.x. PMID 21564345.
- ^ MedlinePlus Encyclopedia: Small bowel bacterial overgrowth
- ^ a b Klaus J, Spaniol U, Adler G, Mason RA, Reinshagen M, von Tirpitz CC (July 2009). "Small intestinal bacterial overgrowth mimicking acute flare as a pitfall in patients with Crohn's Disease". BMC Gastroenterology. 9 (1) 61. doi:10.1186/1471-230X-9-61. PMC 2728727. PMID 19643023.
Text was copied from this source, which is available under a Creative Commons Attribution 2.0 Generic (CC BY 2.0) Archived February 23, 2011, at the Wayback Machine license.
- ^ Ansar P. "Intestinal Obstruction". MERCK MANUAL Consumer Version. Archived from the original on July 10, 2016. Retrieved June 27, 2016.
- ^ Ansar P. "Anorectal Fistula". MERCK MANUAL Consumer Version. Archived from the original on July 10, 2016. Retrieved June 27, 2016.
- ^ Ansar P. "Anorectal Abscess". MERCK MANUAL Consumer Version. Archived from the original on June 14, 2016. Retrieved June 27, 2016.
- ^ Enterovesical Fistula at eMedicine
- ^ a b Molnár T, Tiszlavicz L, Gyulai C, Nagy F, Lonovics J (May 2005). "Clinical significance of granuloma in Crohn's disease". World Journal of Gastroenterology. 11 (20): 3118–3121. doi:10.3748/wjg.v11.i20.3118. PMC 4305850. PMID 15918200.
- ^ Bye WA, Nguyen TM, Parker CE, Jairath V, East JE (September 2017). "Strategies for detecting colon cancer in patients with inflammatory bowel disease". The Cochrane Database of Systematic Reviews. 2017 (9): CD000279. doi:10.1002/14651858.CD000279.pub4. PMC 6483622. PMID 28922695.
- ^ Ekbom A, Helmick C, Zack M, Adami HO (August 1990). "Increased risk of large-bowel cancer in Crohn's disease with colonic involvement". Lancet. 336 (8711): 357–359. doi:10.1016/0140-6736(90)91889-I. PMID 1975343. S2CID 2046255. Archived from the original on August 5, 2020. Retrieved September 4, 2018.
- ^ Itzkowitz SH, Present DH, et al. (Crohn's and Colitis Foundation of America Colon Cancer in IBD Study Group) (March 2005). "Consensus conference: Colorectal cancer screening and surveillance in inflammatory bowel disease". Inflammatory Bowel Diseases. 11 (3): 314–321. doi:10.1097/01.mib.0000160811.76729.d5. PMID 15735438.
- ^ Zisman TL, Rubin DT (May 2008). "Colorectal cancer and dysplasia in inflammatory bowel disease". World Journal of Gastroenterology. 14 (17): 2662–2669. doi:10.3748/wjg.14.2662. PMC 2709054. PMID 18461651.
- ^ Axelrad JE, Lichtiger S, Yajnik V (May 2016). "Inflammatory bowel disease and cancer: The role of inflammation, immunosuppression, and cancer treatment". World Journal of Gastroenterology (Review). 22 (20): 4794–4801. doi:10.3748/wjg.v22.i20.4794. PMC 4873872. PMID 27239106.
- ^ Parakkal D, Sifuentes H, Semer R, Ehrenpreis ED (November 2011). "Hepatosplenic T-cell lymphoma in patients receiving TNF-α inhibitor therapy: expanding the groups at risk". European Journal of Gastroenterology & Hepatology. 23 (12): 1150–1156. doi:10.1097/MEG.0b013e32834bb90a. PMID 21941193. S2CID 27267004.
- ^ Cushing K, Higgins PD (January 2021). "Management of Crohn Disease: A Review". JAMA. 325 (1): 69–80. doi:10.1001/jama.2020.18936. PMC 9183209. PMID 33399844.
- ^ Evans JP, Steinhart AH, Cohen Z, McLeod RS (2003). "Home total parenteral nutrition: an alternative to early surgery for complicated inflammatory bowel disease". Journal of Gastrointestinal Surgery. 7 (4): 562–566. doi:10.1016/S1091-255X(02)00132-4. PMID 12763417. S2CID 195305419.
- ^ Kaplan C (October 21, 2005). "IBD and Pregnancy: What You Need to Know". Crohn's and Colitis Foundation of America. Archived from the original on February 17, 2012. Retrieved November 7, 2009.
- ^ Rodrigues FP, Novaes JA, Pinheiro MM, Martins P, Cunha-Melo JR (October 23, 2019). "Intestinal Ostomy Complications and Care". Gastrointestinal Stomas. IntechOpen. doi:10.5772/intechopen.85633. ISBN 978-1-78984-186-2. Archived from the original on October 7, 2022. Retrieved September 6, 2021.
- ^ "Definition of Autoimmunity & Autoimmune Disease - Autoimmune Disease | Johns Hopkins Pathology". pathology.jhu.edu. Archived from the original on October 3, 2021. Retrieved October 3, 2021.
- ^ Behr MA, Divangahi M, Lalande JD (2010). "What's in a name? The (mis)labelling of Crohn's as an autoimmune disease". The Lancet. 376 (9736): 202–203. doi:10.1016/S0140-6736(10)60282-6. Retrieved July 30, 2025.
- ^ a b Ciccarelli F, De Martinis M, Ginaldi L (January 2013). "An update on autoinflammatory diseases". Current Medicinal Chemistry. 21 (3): 261–269. doi:10.2174/09298673113206660303. PMC 3905709. PMID 24164192.
- ^ a b c d Li N, Shi RH (January 2018). "Updated review on immune factors in pathogenesis of Crohn's disease". World Journal of Gastroenterology. 24 (1): 15–22. doi:10.3748/wjg.v24.i1.15. PMC 5757119. PMID 29358878.
- ^ Casanova JL, Abel L (August 31, 2009). "Revisiting Crohn's disease as a primary immunodeficiency of macrophages" (PDF). Journal of Experimental Medicine. 206 (9): 1839–1843. doi:10.1084/jem.20091683. ISSN 1540-9538. PMC 2737171. PMID 19687225. Retrieved July 29, 2025.
- ^ Roggenbuck D, Reinhold D, Baumgart DC, Schierack P, Conrad K, Laass MW (January 1, 2016). Makowski GS (ed.). "Autoimmunity in Crohn's Disease-A Putative Stratification Factor of the Clinical Phenotype". Advances in Clinical Chemistry. 77. Elsevier: 77–101. doi:10.1016/bs.acc.2016.06.002. ISBN 978-0-12-804686-9. PMID 27717419.
- ^ a b Marks DJ, Rahman FZ, Sewell GW, Segal AW (February 2010). "Crohn's disease: an immune deficiency state". Clinical Reviews in Allergy & Immunology. 38 (1): 20–31. doi:10.1007/s12016-009-8133-2. PMC 4568313. PMID 19437144.
- ^ a b c Rubin DT, Ananthakrishnan AN, Siegel CA, Sauer BG, Long MD (March 2019). "ACG Clinical Guideline: Ulcerative Colitis in Adults". The American Journal of Gastroenterology. 114 (3): 384–413. doi:10.14309/ajg.0000000000000152. PMID 30840605. S2CID 73473272.
- ^ Nachimuthu S. "Crohn's disease". eMedicineHealth. Archived from the original on December 9, 2019. Retrieved December 8, 2019.
- ^ Braat H, Peppelenbosch MP, Hommes DW (August 2006). "Immunology of Crohn's disease". Annals of the New York Academy of Sciences. 1072 (1): 135–154. Bibcode:2006NYASA1072..135B. doi:10.1196/annals.1326.039. PMID 17057196. S2CID 2627465.
- ^ Henckaerts L, Figueroa C, Vermeire S, Sans M (May 2008). "The role of genetics in inflammatory bowel disease". Current Drug Targets. 9 (5): 361–368. doi:10.2174/138945008784221161. PMID 18473763.
- ^ a b Marks DJ, Harbord MW, MacAllister R, Rahman FZ, Young J, Al-Lazikani B, et al. (February 2006). "Defective acute inflammation in Crohn's disease: a clinical investigation". Lancet. 367 (9511): 668–678. doi:10.1016/S0140-6736(06)68265-2. PMID 16503465. S2CID 13898663.
- ^ Comalada M, Peppelenbosch MP (September 2006). "Impaired innate immunity in Crohn's disease". Trends in Molecular Medicine. 12 (9): 397–399. doi:10.1016/j.molmed.2006.07.005. PMID 16890491.
- ^ Nakagome S, Mano S, Kozlowski L, Bujnicki JM, Shibata H, Fukumaki Y, et al. (June 2012). "Crohn's disease risk alleles on the NOD2 locus have been maintained by natural selection on standing variation". Molecular Biology and Evolution. 29 (6): 1569–1585. doi:10.1093/molbev/mss006. PMC 3697811. PMID 22319155.
- ^ "Crohn's disease has strong genetic link: study". Crohn's and Colitis Foundation of America. April 16, 2007. Archived from the original on May 2, 2007. Retrieved November 7, 2009.
- ^ Liu JZ, Anderson CA (June 2014). "Genetic studies of Crohn's disease: past, present and future". Best Practice & Research. Clinical Gastroenterology. 28 (3): 373–386. doi:10.1016/j.bpg.2014.04.009. PMC 4075408. PMID 24913378.
- ^ Ogura Y, Bonen DK, Inohara N, Nicolae DL, Chen FF, Ramos R, et al. (May 2001). "A frameshift mutation in NOD2 associated with susceptibility to Crohn's disease". Nature. 411 (6837): 603–606. Bibcode:2001Natur.411..603O. doi:10.1038/35079114. hdl:2027.42/62856. PMID 11385577. S2CID 205017657.
- ^ Cuthbert AP, Fisher SA, Mirza MM, King K, Hampe J, Croucher PJ, et al. (April 2002). "The contribution of NOD2 gene mutations to the risk and site of disease in inflammatory bowel disease". Gastroenterology. 122 (4): 867–874. doi:10.1053/gast.2002.32415. PMID 11910337.
- ^ Kaser A, Lee AH, Franke A, Glickman JN, Zeissig S, Tilg H, et al. (September 2008). "XBP1 links ER stress to intestinal inflammation and confers genetic risk for human inflammatory bowel disease". Cell. 134 (5): 743–756. doi:10.1016/j.cell.2008.07.021. PMC 2586148. PMID 18775308.
- ^ Clevers H (February 2009). "Inflammatory bowel disease, stress, and the endoplasmic reticulum". The New England Journal of Medicine. 360 (7): 726–727. doi:10.1056/NEJMcibr0809591. PMID 19213688.
- ^ Vermeire S (June 2004). "NOD2/CARD15: relevance in clinical practice". Best Practice & Research. Clinical Gastroenterology (Review). 18 (3): 569–575. doi:10.1016/j.bpg.2003.12.008. PMID 15157828.
- ^ a b Prescott NJ, Fisher SA, Franke A, Hampe J, Onnie CM, Soars D, et al. (May 2007). "A nonsynonymous SNP in ATG16L1 predisposes to ileal Crohn's disease and is independent of CARD15 and IBD5". Gastroenterology. 132 (5): 1665–1671. doi:10.1053/j.gastro.2007.03.034. PMID 17484864.
- ^ Diegelmann J, Czamara D, Le Bras E, Zimmermann E, Olszak T, Bedynek A, et al. (2013). "Intestinal DMBT1 expression is modulated by Crohn's disease-associated IL23R variants and by a DMBT1 variant which influences binding of the transcription factors CREB1 and ATF-2". PLOS ONE. 8 (11): e77773. Bibcode:2013PLoSO...877773D. doi:10.1371/journal.pone.0077773. PMC 3818382. PMID 24223725.
- ^ Prescott NJ, Dominy KM, Kubo M, Lewis CM, Fisher SA, Redon R, et al. (May 2010). "Independent and population-specific association of risk variants at the IRGM locus with Crohn's disease". Human Molecular Genetics. 19 (9): 1828–1839. doi:10.1093/hmg/ddq041. PMC 2850616. PMID 20106866.
- ^ Chermesh I, Azriel A, Alter-Koltunoff M, Eliakim R, Karban A, Levi BZ (July 2007). "Crohn's disease and SLC11A1 promoter polymorphism". Digestive Diseases and Sciences. 52 (7): 1632–1635. doi:10.1007/s10620-006-9682-3. PMID 17385031. S2CID 11429585.
- ^ Jostins L, Ripke S, Weersma RK, Duerr RH, McGovern DP, Hui KY, et al. (November 2012). "Host-microbe interactions have shaped the genetic architecture of inflammatory bowel disease". Nature. 491 (7422): 119–124. Bibcode:2012Natur.491..119.. doi:10.1038/nature11582. PMC 3491803. PMID 23128233.
- ^ Walker MM, Murray JA (August 2011). "An update in the diagnosis of coeliac disease". Histopathology (Review). 59 (2): 166–179. doi:10.1111/j.1365-2559.2010.03680.x. PMID 21054494. S2CID 5196629.
Recent genome-wide association studies have shown that chronic inflammatory and autoimmune diseases are linked genetically to coeliac disease; for example, type 1 diabetes mellitus, Grave's disease and Crohn's disease.
- ^ Coghlan A (January 10, 2018). "A single gene can either raise or lower Crohn's disease risk". New Scientist. Archived from the original on November 9, 2020. Retrieved November 5, 2020.
- ^ Marks DJ, Segal AW (January 2008). "Innate immunity in inflammatory bowel disease: a disease hypothesis". The Journal of Pathology. 214 (2): 260–266. doi:10.1002/path.2291. PMC 2635948. PMID 18161747.
- ^ Cobrin GM, Abreu MT (August 2005). "Defects in mucosal immunity leading to Crohn's disease". Immunological Reviews. 206 (1): 277–295. doi:10.1111/j.0105-2896.2005.00293.x. PMID 16048555. S2CID 37353838.
- ^ Elson CO, Cong Y, Weaver CT, Schoeb TR, McClanahan TK, Fick RB, et al. (June 2007). "Monoclonal anti-interleukin 23 reverses active colitis in a T cell-mediated model in mice". Gastroenterology. 132 (7): 2359–2370. doi:10.1053/j.gastro.2007.03.104. PMID 17570211.
- ^ Velasquez-Manoff M (June 29, 2008). "The Worm Turns". The New York Times. Archived from the original on January 7, 2017.
- ^ Sartor RB (July 2006). "Mechanisms of disease: pathogenesis of Crohn's disease and ulcerative colitis". Nature Clinical Practice. Gastroenterology & Hepatology. 3 (7): 390–407. doi:10.1038/ncpgasthep0528. PMID 16819502. S2CID 3329677.
- ^ Dogan B, Scherl E, Bosworth B, Yantiss R, Altier C, McDonough PL, et al. (January 2013). "Multidrug resistance is common in Escherichia coli associated with ileal Crohn's disease". Inflammatory Bowel Diseases. 19 (1): 141–150. doi:10.1002/ibd.22971. PMID 22508665. S2CID 25518704.
- ^ Subramanian S, Roberts CL, Hart CA, Martin HM, Edwards SW, Rhodes JM, et al. (February 2008). "Replication of Colonic Crohn's Disease Mucosal Escherichia coli Isolates within Macrophages and Their Susceptibility to Antibiotics". Antimicrobial Agents and Chemotherapy. 52 (2): 427–434. doi:10.1128/AAC.00375-07. PMC 2224732. PMID 18070962.
- ^ Mpofu CM, Campbell BJ, Subramanian S, Marshall-Clarke S, Hart CA, Cross A, et al. (November 2007). "Microbial mannan inhibits bacterial killing by macrophages: a possible pathogenic mechanism for Crohn's disease". Gastroenterology. 133 (5): 1487–1498. doi:10.1053/j.gastro.2007.08.004. PMID 17919633.
- ^ Fava VM, Dallmann-Sauer M, Schurr E (November 11, 2019). "Genetics of leprosy: today and beyond". Human Genetics. 139 (6–7): 835–846. doi:10.1007/s00439-019-02087-5. ISSN 0340-6717. Retrieved July 29, 2025.
- ^ Naser SA, Collins MT (December 2005). "Debate on the lack of evidence of Mycobacterium avium subsp. paratuberculosis in Crohn's disease". Inflammatory Bowel Diseases. 11 (12): 1123. doi:10.1097/01.MIB.0000191609.20713.ea. PMID 16306778.
- ^ Naser SA, Sagramsingh SR, Naser AS, Thanigachalam S (June 2014). "Mycobacterium avium subspecies paratuberculosis causes Crohn's disease in some inflammatory bowel disease patients". World Journal of Gastroenterology. 20 (23): 7403–7415. doi:10.3748/wjg.v20.i23.7403. PMC 4064085. PMID 24966610.
- ^ "New insights into Crohn's Disease". Archived from the original on September 23, 2013.
- ^ Barnich N, Darfeuille-Michaud A (January 2007). "Adherent-invasive Escherichia coli and Crohn's disease". Current Opinion in Gastroenterology. 23 (1): 16–20. doi:10.1097/MOG.0b013e3280105a38. PMID 17133079. S2CID 23564986.
- ^ Hugot JP, Alberti C, Berrebi D, Bingen E, Cézard JP (December 2003). "Crohn's disease: the cold chain hypothesis". Lancet. 362 (9400): 2012–2015. doi:10.1016/S0140-6736(03)15024-6. PMID 14683664. S2CID 10254395.
- ^ "Fridges blamed for Crohn's disease rise". Medical News Today. December 12, 2003. Archived from the original on January 3, 2009.
- ^ Forbes A, Kalantzis T (July 2006). "Crohn's disease: the cold chain hypothesis". International Journal of Colorectal Disease. 21 (5): 399–401. doi:10.1007/s00384-005-0003-7. PMID 16059694. S2CID 13271176.
- ^ Kumamoto CA (August 2011). "Inflammation and gastrointestinal Candida colonization". Current Opinion in Microbiology. 14 (4): 386–391. doi:10.1016/j.mib.2011.07.015. PMC 3163673. PMID 21802979.
- ^ "Possible links between Crohn's disease and Paratuberculosis" (PDF). European Commission Directorate-General Health & Consumer Protection. Archived from the original (PDF) on December 17, 2008. Retrieved November 7, 2009.
- ^ Gui GP, Thomas PR, Tizard ML, Lake J, Sanderson JD, Hermon-Taylor J (March 1997). "Two-year-outcomes analysis of Crohn's disease treated with rifabutin and macrolide antibiotics". The Journal of Antimicrobial Chemotherapy. 39 (3): 393–400. doi:10.1093/jac/39.3.393. PMID 9096189.
- ^ a b Shoda R, Matsueda K, Yamato S, Umeda N (May 1996). "Epidemiologic analysis of Crohn disease in Japan: increased dietary intake of n-6 polyunsaturated fatty acids and animal protein relates to the increased incidence of Crohn disease in Japan". The American Journal of Clinical Nutrition. 63 (5): 741–745. doi:10.1093/ajcn/63.5.741. PMID 8615358.
- ^ Lesko SM, Kaufman DW, Rosenberg L, Helmrich SP, Miller DR, Stolley PD, et al. (November 1985). "Evidence for an increased risk of Crohn's disease in oral contraceptive users". Gastroenterology. 89 (5): 1046–1049. doi:10.1016/0016-5085(85)90207-0. PMID 4043662.
- ^ Reddy D, Siegel CA, Sands BE, Kane S (July 2006). "Possible association between isotretinoin and inflammatory bowel disease". The American Journal of Gastroenterology. 101 (7): 1569–1573. doi:10.1111/j.1572-0241.2006.00632.x. PMID 16863562. S2CID 27663573.
- ^ Borobio E, Arín A, Valcayo A, Iñarrairaegui M, Nantes O, Prieto C (2004). "[Isotretinoin and ulcerous colitis]". Anales del Sistema Sanitario de Navarra (in Spanish). 27 (2): 241–243. doi:10.4321/S1137-66272004000300009. PMID 15381956.
- ^ Reniers DE, Howard JM (October 2001). "Isotretinoin-induced inflammatory bowel disease in an adolescent". The Annals of Pharmacotherapy. 35 (10): 1214–1216. doi:10.1345/aph.10368. PMID 11675849. S2CID 22216642. Archived from the original on June 29, 2012. Retrieved November 1, 2010.
- ^ Segerstrom SC, Miller GE (July 2004). "Psychological stress and the human immune system: a meta-analytic study of 30 years of inquiry". Psychological Bulletin. 130 (4): 601–630. doi:10.1037/0033-2909.130.4.601. PMC 1361287. PMID 15250815.
- ^ Lomer MC, Hutchinson C, Volkert S, Greenfield SM, Catterall A, Thompson RP, et al. (December 2004). "Dietary sources of inorganic microparticles and their intake in healthy subjects and patients with Crohn's disease". The British Journal of Nutrition. 92 (6): 947–955. doi:10.1079/bjn20041276. PMID 15613257.
- ^ Powell JJ, Thoree V, Pele LC (October 2007). "Dietary microparticles and their impact on tolerance and immune responsiveness of the gastrointestinal tract". The British Journal of Nutrition. 98 (Suppl 1): S59 – S63. doi:10.1017/S0007114507832922. PMC 2737314. PMID 17922962.
- ^ Lee TW, Russell L, Deng M, Gibson PR (August 2013). "Association of doxycycline use with the development of gastroenteritis, irritable bowel syndrome and inflammatory bowel disease in Australians deployed abroad". Internal Medicine Journal. 43 (8): 919–926. doi:10.1111/imj.12179. PMID 23656210. S2CID 9418654.
- ^ a b Margolis DJ, Fanelli M, Hoffstad O, Lewis JD (December 2010). "Potential association between the oral tetracycline class of antimicrobials used to treat acne and inflammatory bowel disease". The American Journal of Gastroenterology. 105 (12): 2610–2616. doi:10.1038/ajg.2010.303. PMID 20700115. S2CID 20085592.
- ^ Garrett JP, Margolis DJ (March 2012). "Impact of Long-Term Antibiotic Use for Acne on Bacterial Ecology and Health Outcomes: A Review of Observational Studies". Current Dermatology Reports. 1 (1): 23–28. doi:10.1007/s13671-011-0001-7.
- ^ Elson CO, Cong Y, Weaver CT, Schoeb TR, McClanahan TK, Fick RB, et al. (2007). "Monoclonal anti-interleukin 23 reverses active colitis in a T cell-mediated model in mice". Gastroenterology. 132 (7): 2359–70. doi:10.1053/j.gastro.2007.03.104. PMID 17570211.
- ^ Crawford JM (1994). "17. The Gastrointestinal tract". In Cotran RS, Kumar V, Robbins SL (eds.). Robbins Pathologic Basis of Disease (5th ed.). W.B. Saunders. ISBN 0-7216-5032-5. OCLC 29702821.
- ^ Singh R, Balasubramanian I, Zhang L, Gao N (March 31, 2020). "Metaplastic Paneth Cells in Extra-Intestinal Mucosal Niche Indicate a Link to Microbiome and Inflammation". Frontiers in Physiology. 11: 280. doi:10.3389/fphys.2020.00280. ISSN 1664-042X. PMC 7138011. PMID 32296343.
- ^ "HCP: Pill Cam, Capsule Endoscopy, Esophageal Endoscopy". Archived from the original on June 16, 2008.
- ^ Novak KL, Nylund K, Maaser C, Petersen F, Kucharzik T, Lu C, et al. (April 2021). "Expert Consensus on Optimal Acquisition and Development of the International Bowel Ultrasound Segmental Activity Score [IBUS-SAS]: A Reliability and Inter-rater Variability Study on Intestinal Ultrasonography in Crohn's Disease". Journal of Crohn's & Colitis. 15 (4): 609–616. doi:10.1093/ecco-jcc/jjaa216. PMC 8023841. PMID 33098642.
- ^ Elli L, Centorrino E, Costantino A, Vecchi M, Orlando S, Fraquelli M (July 2022). "Capsule enteroscopy versus small-bowel ultrasonography for the detection and differential diagnosis of intestinal diseases". Clinical Endoscopy. 55 (4): 532–539. doi:10.5946/ce.2021.224. PMC 9329643. PMID 35898151.
- ^ Scheinfeld NS, Teplitz E, McClain SA (November 2001). "Crohn's disease and lichen nitidus: a case report and comparison of common histopathologic features". Inflammatory Bowel Diseases. 7 (4): 314–318. doi:10.1097/00054725-200111000-00006. PMID 11720321. S2CID 35892792.
- ^ Tan WC, Allan RN (October 1993). "Diffuse jejunoileitis of Crohn's disease". Gut. 34 (10): 1374–1378. doi:10.1136/gut.34.10.1374. PMC 1374544. PMID 8244104.
- ^ a b Gasche C, Scholmerich J, Brynskov J, D'Haens G, Hanauer SB, Irvine EJ, et al. (February 2000). "A simple classification of Crohn's disease: report of the Working Party for the World Congresses of Gastroenterology, Vienna 1998". Inflammatory Bowel Diseases. 6 (1): 8–15. doi:10.1002/ibd.3780060103. PMID 10701144.
- ^ Dubinsky MC, Fleshner PP (June 2003). "Treatment of Crohn's Disease of Inflammatory, Stenotic, and Fistulizing Phenotypes". Current Treatment Options in Gastroenterology. 6 (3): 183–200. doi:10.1007/s11938-003-0001-1. PMID 12744819. S2CID 21302609.
- ^ a b Hara AK, Leighton JA, Heigh RI, Sharma VK, Silva AC, De Petris G, et al. (January 2006). "Crohn disease of the small bowel: preliminary comparison among CT enterography, capsule endoscopy, small-bowel follow-through, and ileoscopy". Radiology. 238 (1): 128–134. doi:10.1148/radiol.2381050296. PMID 16373764.
- ^ Triester SL, Leighton JA, Leontiadis GI, Gurudu SR, Fleischer DE, Hara AK, et al. (May 2006). "A meta-analysis of the yield of capsule endoscopy compared to other diagnostic modalities in people with non-stricturing small bowel Crohn's disease". The American Journal of Gastroenterology. 101 (5): 954–964. doi:10.1111/j.1572-0241.2006.00506.x. PMID 16696781. S2CID 25684863.
{{cite journal}}: CS1 maint: overridden setting (link) - ^ Lichtenstein GR, Loftus EV, Afzali A, Long MD, Barnes EL, Isaacs KL, et al. (June 2025). "ACG Clinical Guideline: Management of Crohn's Disease in Adults". American Journal of Gastroenterology. 120 (6): 1225. doi:10.14309/ajg.0000000000003465. ISSN 0002-9270.
{{cite journal}}: CS1 maint: overridden setting (link) - ^ Dixon PM, Roulston ME, Nolan DJ (January 1993). "The small bowel enema: a ten year review". Clinical Radiology. 47 (1): 46–48. doi:10.1016/S0009-9260(05)81213-9. PMID 8428417.
- ^ Carucci LR, Levine MS (March 2002). "Radiographic imaging of inflammatory bowel disease". Gastroenterology Clinics of North America. 31 (1): 93–117, ix. doi:10.1016/S0889-8553(01)00007-3. PMID 12122746.
- ^ Rajesh A, Maglinte DD (January 2006). "Multislice CT enteroclysis: technique and clinical applications". Clinical Radiology. 61 (1): 31–39. doi:10.1016/j.crad.2005.08.006. PMID 16356814.
- ^ Zissin R, Hertz M, Osadchy A, Novis B, Gayer G (February 2005). "Computed tomographic findings of abdominal complications of Crohn's disease--pictorial essay". Canadian Association of Radiologists Journal. 56 (1): 25–35. PMID 15835588. Archived from the original on October 7, 2022. Retrieved May 18, 2022.
- ^ Mackalski BA, Bernstein CN (May 2006). "New diagnostic imaging tools for inflammatory bowel disease". Gut. 55 (5): 733–741. doi:10.1136/gut.2005.076612. PMC 1856109. PMID 16609136.
- ^ Sinha R, Rajiah P, Murphy P, Hawker P, Sanders S (October 2009). "Utility of high-resolution MR imaging in demonstrating transmural pathologic changes in Crohn disease". Radiographics. 29 (6): 1847–1867. doi:10.1148/rg.296095503. PMID 19959525.
- ^ Sinha R, Rajiah P, Ramachandran I, Sanders S, Murphy PD (May 2013). "Diffusion-weighted MR imaging of the gastrointestinal tract: technique, indications, and imaging findings". Radiographics. 33 (3): 655–76, discussion 676–80. doi:10.1148/rg.333125042. PMID 23674768.
- ^ Casciani E (2014). "Imaging of the small bowel: Crohn's disease in paediatric patients". World Journal of Radiology. 6 (6): 313–328. doi:10.4329/wjr.v6.i6.313. ISSN 1949-8470. PMC 4072817. PMID 24976933.
- ^ Chiorean L (2015). "Ultrasonographic imaging of inflammatory bowel disease in pediatric patients". World Journal of Gastroenterology. 21 (17): 5231–5241. doi:10.3748/wjg.v21.i17.5231. ISSN 1007-9327. PMC 4419063. PMID 25954096.
- ^ Moore MM, Gee MS, Iyer RS, Chan SS, Ayers TD, Bardo DM, et al. (May 2022). "ACR Appropriateness Criteria® Crohn Disease-Child". Journal of the American College of Radiology. 19 (5): S19 – S36. doi:10.1016/j.jacr.2022.02.020. PMID 35550801.
- ^ Gee MS, Nimkin K, Hsu M, Israel EJ, Biller JA, Katz AJ, et al. (July 2011). "Prospective Evaluation of MR Enterography as the Primary Imaging Modality for Pediatric Crohn Disease Assessment". American Journal of Roentgenology. 197 (1): 224–231. doi:10.2214/AJR.10.5970. ISSN 0361-803X. PMC 3711021. PMID 21701034.
- ^ Goh J, O'Morain CA (February 2003). "Review article: nutrition and adult inflammatory bowel disease". Alimentary Pharmacology & Therapeutics. 17 (3): 307–320. doi:10.1046/j.1365-2036.2003.01482.x. PMID 12562443. S2CID 72099458.
- ^ Chamouard P, Richert Z, Meyer N, Rahmi G, Baumann R (July 2006). "Diagnostic value of C-reactive protein for predicting activity level of Crohn's disease". Clinical Gastroenterology and Hepatology. 4 (7): 882–887. doi:10.1016/j.cgh.2006.02.003. PMID 16630759.
- ^ Kaila B, Orr K, Bernstein CN (December 2005). "The anti-Saccharomyces cerevisiae antibody assay in a province-wide practice: accurate in identifying cases of Crohn's disease and predicting inflammatory disease". Canadian Journal of Gastroenterology. 19 (12): 717–721. doi:10.1155/2005/147681. PMID 16341311.
- ^ Israeli E, Grotto I, Gilburd B, Balicer RD, Goldin E, Wiik A, et al. (September 2005). "Anti-Saccharomyces cerevisiae and antineutrophil cytoplasmic antibodies as predictors of inflammatory bowel disease". Gut. 54 (9): 1232–1236. doi:10.1136/gut.2004.060228. PMC 1774672. PMID 16099791.
- ^ Ferrante M, Henckaerts L, Joossens M, Pierik M, Joossens S, Dotan N, et al. (October 2007). "New serological markers in inflammatory bowel disease are associated with complicated disease behaviour". Gut. 56 (10): 1394–1403. doi:10.1136/gut.2006.108043. PMC 2000264. PMID 17456509.
- ^ Papp M, Altorjay I, Dotan N, Palatka K, Foldi I, Tumpek J, et al. (March 2008). "New serological markers for inflammatory bowel disease are associated with earlier age at onset, complicated disease behavior, risk for surgery, and NOD2/CARD15 genotype in a Hungarian IBD cohort". The American Journal of Gastroenterology. 103 (3): 665–681. doi:10.1111/j.1572-0241.2007.01652.x. PMID 18047543. S2CID 6015339.
- ^ Seow CH, Stempak JM, Xu W, Lan H, Griffiths AM, Greenberg GR, et al. (June 2009). "Novel anti-glycan antibodies related to inflammatory bowel disease diagnosis and phenotype". The American Journal of Gastroenterology. 104 (6): 1426–1434. doi:10.1038/ajg.2009.79. PMID 19491856. S2CID 25021606.
- ^ Dotan I (December 2007). "Serologic markers in inflammatory bowel disease: tools for better diagnosis and disease stratification". Expert Review of Gastroenterology & Hepatology. 1 (2): 265–274. doi:10.1586/17474124.1.2.265. PMID 19072419. S2CID 32035337.
- ^ a b Del Pinto R, Pietropaoli D, Chandar AK, Ferri C, Cominelli F (November 2015). "Association Between Inflammatory Bowel Disease and Vitamin D Deficiency: A Systematic Review and Meta-analysis". Inflammatory Bowel Diseases. 21 (11): 2708–2717. doi:10.1097/MIB.0000000000000546. PMC 4615394. PMID 26348447.
- ^ a b c d Hanauer SB, Sandborn W (March 2001). "Management of Crohn's disease in adults". The American Journal of Gastroenterology. 96 (3): 635–43. doi:10.1111/j.1572-0241.2001.3671_c.x (inactive July 12, 2025). PMID 11280528. S2CID 31219115.
{{cite journal}}: CS1 maint: DOI inactive as of July 2025 (link) - ^ Broomé U, Bergquist A (February 2006). "Primary sclerosing cholangitis, inflammatory bowel disease, and colon cancer". Seminars in Liver Disease. 26 (1): 31–41. doi:10.1055/s-2006-933561. PMID 16496231. S2CID 260320940.
- ^ Baumgart DC, Sandborn WJ (May 2007). "Inflammatory bowel disease: clinical aspects and established and evolving therapies". Lancet. 369 (9573): 1641–57. doi:10.1016/S0140-6736(07)60751-X. PMID 17499606. S2CID 35264387.
- ^ Shepherd NA (August 2002). "Granulomas in the diagnosis of intestinal Crohn's disease: a myth exploded?". Histopathology. 41 (2): 166–8. doi:10.1046/j.1365-2559.2002.01441.x. PMID 12147095. S2CID 36907992.
- ^ Mahadeva U, Martin JP, Patel NK, Price AB (July 2002). "Granulomatous ulcerative colitis: a re-appraisal of the mucosal granuloma in the distinction of Crohn's disease from ulcerative colitis". Histopathology. 41 (1): 50–5. doi:10.1046/j.1365-2559.2002.01416.x. PMID 12121237. S2CID 29476514.
- ^ DeRoche TC, Xiao SY, Liu X (August 2014). "Histological evaluation in ulcerative colitis". Gastroenterology Report. 2 (3): 178–92. doi:10.1093/gastro/gou031. PMC 4124271. PMID 24942757.
- ^ Lewis NR, Scott BB (July 2006). "Systematic review: the use of serology to exclude or diagnose coeliac disease (a comparison of the endomysial and tissue transglutaminase antibody tests)". Alimentary Pharmacology & Therapeutics (Review). 24 (1): 47–54. doi:10.1111/j.1365-2036.2006.02967.x. PMID 16803602. S2CID 16823218.
Both the endomysial antibody and tissue transglutaminase antibody have very high sensitivities (93% for both) and specificities (>99% and >98% respectively) for the diagnosis of typical coeliac disease with villous atrophy. (...) As the detection of at least partial villous atrophy was used to make a diagnosis of coeliac disease in the vast majority of studies, we can't assume that the same LRs apply to coeliac patients with lesser abnormality such as an increase in intraepithelial lymphocytes or electron-microscopic changes only. In fact, if such lesser abnormalities were used as criteria for diagnosing (and excluding) coeliac disease, the sensitivity of the tests could be lower (i.e. more false negatives), especially since a number of studies suggest that the EMA and tTG antibody tests are less sensitive with lesser degrees of mucosal abnormality
- ^ Rodrigo L, Garrote JA, Vivas S (September 2008). "[Celiac disease]". Medicina Clinica (Review) (in Spanish). 131 (7): 264–270. doi:10.1016/S0025-7753(08)72247-4. PMID 18775218. Archived from the original on March 19, 2016. Retrieved March 13, 2016.
Estos marcadores presentan en general una elevada sensibilidad y especificidad (cercanas al 90%) en presencia de atrofia marcada de las vellosidades intestinales. Sin embargo, muestran una notable disminución de la sensibilidad (del orden del 40-50%) en casos con atrofia vellositaria leve o cambios mínimos. These markers generally have high sensitivity and specificity (around 90%) in the presence of marked atrophy of the villi. However, they show a marked decrease in sensitivity (of the order of 40-50%) in cases with mild villous atrophy or minimal changes.
- ^ Rostami Nejad M, Hogg-Kollars S, Ishaq S, Rostami K (2011). "Subclinical celiac disease and gluten sensitivity". Gastroenterology and Hepatology from Bed to Bench (Review). 4 (3): 102–108. PMC 4017418. PMID 24834166.
- ^ Bold J, Rostami K (2011). "Gluten tolerance; potential challenges in treatment strategies". Gastroenterology and Hepatology from Bed to Bench (Review). 4 (2): 53–57. PMC 4017406. PMID 24834157.
- ^ a b Agabegi ED, Agabegi SS (2008). "Inflammatory bowel disease (IBD)". Step-Up to Medicine (Step-Up Series). Hagerstwon, MD: Lippincott Williams & Wilkins. pp. 152–156. ISBN 0-7817-7153-6.
- ^ Feller M, Huwiler K, Schoepfer A, Shang A, Furrer H, Egger M (February 2010). "Long-term antibiotic treatment for Crohn's disease: systematic review and meta-analysis of placebo-controlled trials". Clinical Infectious Diseases. 50 (4): 473–80. doi:10.1086/649923. PMID 20067425.
- ^ Prantera C, Scribano ML (July 2009). "Antibiotics and probiotics in inflammatory bowel disease: why, when, and how". Current Opinion in Gastroenterology. 25 (4): 329–33. doi:10.1097/MOG.0b013e32832b20bf. PMID 19444096.
- ^ a b c Fries WS, Nazario B (May 16, 2007). "Crohn's Disease: 54 Tips to Help You Manage". WebMD. Archived from the original on February 8, 2008. Retrieved February 14, 2008.
- ^ Roncoroni L, Gori R, Elli L, Tontini GE, Doneda L, Norsa L, et al. (February 2022). "Nutrition in Patients with Inflammatory Bowel Diseases: A Narrative Review". Nutrients. 14 (4): 751. doi:10.3390/nu14040751. PMC 8879392. PMID 35215401.
- ^ Ananthakrishnan AN, Kaplan GG, Bernstein CN, Burke KE, Lochhead PJ, Sasson AN, et al. (July 2022). "Lifestyle, behaviour, and environmental modification for the management of patients with inflammatory bowel diseases: an International Organization for Study of Inflammatory Bowel Diseases consensus". The Lancet. Gastroenterology & Hepatology. 7 (7): 666–678. doi:10.1016/S2468-1253(22)00021-8. PMID 35487235.
- ^ Hou JK, Abraham B, El-Serag H (April 2011). "Dietary intake and risk of developing inflammatory bowel disease: a systematic review of the literature". The American Journal of Gastroenterology. 106 (4): 563–573. doi:10.1038/ajg.2011.44. PMID 21468064. S2CID 10337669.
- ^ Escott-Stump S (2008). Nutrition and Diagnosis-Related Care, 7th edition. Baltimore, MD: Lippincott Williams & Wilkins. pp. 1020 (pp 431). ISBN 978-1-60831-017-3.
- ^ Shanahan F (January 2002). "Crohn's disease". Lancet. 359 (9300): 62–69. doi:10.1016/S0140-6736(02)07284-7. PMID 11809204. S2CID 743620.
- ^ Djurić Z, Šaranac L, Budić I, Pavlović V, Djordjević J (August 2018). "Therapeutic role of methotrexate in pediatric Crohn's disease". Bosnian Journal of Basic Medical Sciences. 18 (3): 211–216. doi:10.17305/bjbms.2018.2792. PMC 6087553. PMID 29338679.
- ^ "FDA Approves Cimzia to Treat Crohn's Disease" (Press release). Food and Drug Administration (FDA). April 22, 2008. Archived from the original on October 20, 2009. Retrieved November 5, 2009.
- ^ "Prescribing information ustekinumab" (PDF). FDA. Archived (PDF) from the original on October 18, 2020. Retrieved May 23, 2019.
- ^ Sandborn WJ, Colombel JF, Enns R, Feagan BG, Hanauer SB, Lawrance IC, et al. (International Efficacy of Natalizumab as Active Crohn's Therapy (ENACT-1) Trial Group; Evaluation of Natalizumab as Continuous Therapy (ENACT-2) Trial Group) (November 2005). "Natalizumab induction and maintenance therapy for Crohn's disease". The New England Journal of Medicine. 353 (18): 1912–1925. doi:10.1056/NEJMoa043335. PMID 16267322.
- ^ Nelson SM, Nguyen TM, McDonald JW, MacDonald JK (August 2018). "Natalizumab for induction of remission in Crohn's disease". The Cochrane Database of Systematic Reviews. 2018 (8): CD006097. doi:10.1002/14651858.CD006097.pub3. PMC 6513248. PMID 30068022.
- ^ "Discover RINVOQ® (upadacitinib)". RINVOQ. Archived from the original on May 18, 2023. Retrieved May 29, 2023.
- ^ Longmore M, Wilkinson I, Turmezei T, Cheung CK (2007). Oxford Handbook of Clinical Medicine (7th ed.). Oxford University Press. pp. 266–7. ISBN 978-0-19-856837-7.
- ^ a b c Hasskamp J, Meinhardt C, Timmer A (May 13, 2025). "Anti-IL-12/23p40 antibodies for induction of remission in Crohn's disease". The Cochrane Database of Systematic Reviews. 2025 (5): CD007572. doi:10.1002/14651858.CD007572.pub4. ISSN 1469-493X. PMC 12070676. PMID 40357993.
- ^ Mowat C, Cole A, Windsor A, Ahmad T, Arnott I, Driscoll R, et al. (IBD Section of the British Society of Gastroenterology) (May 2011). "Guidelines for the management of inflammatory bowel disease in adults". Gut. 60 (5): 571–607. doi:10.1136/gut.2010.224154. PMID 21464096. S2CID 8269837.
- ^ Goddard AF, James MW, McIntyre AS, Scott BB (October 2011). "Guidelines for the management of iron deficiency anaemia". Gut. 60 (10): 1309–1316. doi:10.1136/gut.2010.228874. PMID 21561874.
- ^ Gasche C, Berstad A, Befrits R, Beglinger C, Dignass A, Erichsen K, et al. (December 2007). "Guidelines on the diagnosis and management of iron deficiency and anemia in inflammatory bowel diseases". Inflammatory Bowel Diseases. 13 (12): 1545–1553. doi:10.1002/ibd.20285. PMID 17985376.
- ^ Beaugerie L, Itzkowitz SH (April 2015). "Cancers complicating inflammatory bowel disease". The New England Journal of Medicine. 372 (15): 1441–1452. doi:10.1056/NEJMra1403718. PMID 25853748.
- ^ Toruner M, Loftus EV, Harmsen WS, Zinsmeister AR, Orenstein R, Sandborn WJ, et al. (April 2008). "Risk factors for opportunistic infections in patients with inflammatory bowel disease". Gastroenterology. 134 (4): 929–936. doi:10.1053/j.gastro.2008.01.012. PMID 18294633.
- ^ Farraye FA, Melmed GY, Lichtenstein GR, Kane SV (February 2017). "ACG Clinical Guideline: Preventive Care in Inflammatory Bowel Disease". The American Journal of Gastroenterology. 112 (2): 241–258. doi:10.1038/ajg.2016.537. PMID 28071656.
- ^ Ananthakrishnan AN, McGinley EL (March 2013). "Infection-related hospitalizations are associated with increased mortality in patients with inflammatory bowel diseases". Journal of Crohn's & Colitis. 7 (2): 107–112. doi:10.1016/j.crohns.2012.02.015. PMID 22440891.
- ^ Malhi G, Rumman A, Thanabalan R, Croitoru K, Silverberg MS, Hillary Steinhart A, et al. (June 2015). "Vaccination in inflammatory bowel disease patients: attitudes, knowledge, and uptake". Journal of Crohn's & Colitis. 9 (6): 439–444. doi:10.1093/ecco-jcc/jjv064. PMID 25908717.
- ^ Costantino A, Michelon M, Noviello D, Macaluso FS, Leone S, Bonaccorso N, et al. (October 2023). "Attitudes towards Vaccinations in a National Italian Cohort of Patients with Inflammatory Bowel Disease". Vaccines. 11 (10): 1591. doi:10.3390/vaccines11101591. PMC 10611209. PMID 37896993.
- ^ Kristo I, Stift A, Bergmann M, Riss S (May 2015). "Surgical recurrence in Crohn's disease: Are we getting better?". World Journal of Gastroenterology. 21 (20): 6097–6100. doi:10.3748/wjg.v21.i20.6097. PMC 4445088. PMID 26034346.
- ^ Ozuner G, Fazio VW, Lavery IC, Milsom JW, Strong SA (November 1996). "Reoperative rates for Crohn's disease following strictureplasty. Long-term analysis". Diseases of the Colon and Rectum. 39 (11): 1199–1203. doi:10.1007/BF02055108. PMID 8918424. S2CID 33628350.
- ^ Rutgeerts P, Geboes K, Vantrappen G, Beyls J, Kerremans R, Hiele M (October 1990). "Predictability of the postoperative course of Crohn's disease". Gastroenterology. 99 (4): 956–963. doi:10.1016/0016-5085(90)90613-6. PMID 2394349.
- ^ Yamamoto T, Bamba T, Umegae S, Matsumoto K (August 2013). "The impact of early endoscopic lesions on the clinical course of patients following ileocolonic resection for Crohn's disease: A 5-year prospective cohort study". United European Gastroenterology Journal. 1 (4): 294–298. doi:10.1177/2050640613495197. PMC 4040796. PMID 24917974.
- ^ "Short Bowel Syndrome". National Institute of Diabetes and Digestive and Kidney Diseases (NIDDK). July 2015. Archived from the original on December 9, 2019. Retrieved December 8, 2019.
- ^ Rhodes M (October 24, 2006). "Intestinal transplant for Crohn's disease". Everyday Health. Archived from the original on October 8, 2008. Retrieved March 22, 2009.
- ^ Hofmann AF (April 1967). "The syndrome of ileal disease and the broken enterohepatic circulation: cholerheic enteropathy". Gastroenterology. 52 (4): 752–757. doi:10.1016/S0016-5085(67)80140-9. PMID 5337211.
- ^ Limketkai BN, Akobeng AK, Gordon M, Adepoju AA, et al. (Cochrane Gut Group) (July 2020). "Probiotics for induction of remission in Crohn's disease". The Cochrane Database of Systematic Reviews. 2020 (7): CD006634. doi:10.1002/14651858.CD006634.pub3. PMC 7389339. PMID 32678465.
- ^ a b Szigethy E, McLafferty L, Goyal A (April 2010). "Inflammatory bowel disease". Child and Adolescent Psychiatric Clinics of North America (Submitted manuscript). 19 (2): 301–18, ix. doi:10.1016/j.chc.2010.01.007. PMID 20478501. Archived from the original on April 28, 2021. Retrieved September 4, 2018.
- ^ Ballou S, Keefer L (January 2017). "Psychological Interventions for Irritable Bowel Syndrome and Inflammatory Bowel Diseases". Clinical and Translational Gastroenterology. 8 (1): e214. doi:10.1038/ctg.2016.69. PMC 5288603. PMID 28102860.
- ^ Seaton N, Hudson J, Harding S, Norton S, Mondelli V, Jones AS, et al. (February 2024). "Do interventions for mood improve inflammatory biomarkers in inflammatory bowel disease?: a systematic review and meta-analysis". eBioMedicine. 100 104910. doi:10.1016/j.ebiom.2023.104910. PMC 10878994. PMID 38272759.
- ^ "Improving mood reduces inflammation in inflammatory bowel disease". NIHR Evidence. July 17, 2024. doi:10.3310/nihrevidence_63192.
- ^ a b Caprilli R, Gassull MA, Escher JC, Moser G, Munkholm P, Forbes A, et al. (European Crohn's Colitis Organisation) (March 2006). "European evidence based consensus on the diagnosis and management of Crohn's disease: special situations". Gut. 55 (Suppl 1): i36 – i58. doi:10.1136/gut.2005.081950c. PMC 1859996. PMID 16481630.
the colitis activity index fell significantly in the treatment group compared to the sham acupuncture group. However, recruitment did not reach its target and the number of patients was small.
- ^ Joos S (June 2011). "Review on efficacy and health services research studies of complementary and alternative medicine in inflammatory bowel disease". Chinese Journal of Integrative Medicine. 17 (6): 403–409. doi:10.1007/s11655-011-0758-3. PMID 21660673. S2CID 207298246.
- ^ Smith K (2012). "Homeopathy is Unscientific and Unethical". Bioethics. 26 (9): 508–512. doi:10.1111/j.1467-8519.2011.01956.x. S2CID 143067523. Archived from the original on October 29, 2017. Retrieved October 28, 2017.
- ^ Kafil TS, Nguyen TM, MacDonald JK, Chande N (November 2018). "Cannabis for the treatment of Crohn's disease". The Cochrane Database of Systematic Reviews. 11 (11): CD012853. doi:10.1002/14651858.CD012853.pub2. PMC 6517156. PMID 30407616.
- ^ Dittrich AE, Sutton RT, Haynes K, Wang H, Fedorak RN, Kroeker KI (November 19, 2020). "Incidence Rates for Surgery in Crohn's Disease Have Decreased: A Population-based Time-trend Analysis". Inflammatory Bowel Diseases. 26 (12): 1909–1916. doi:10.1093/ibd/izz315. ISSN 1536-4844. PMID 31895949.
- ^ "Crohn's disease - Prognosis". University of Maryland Medical Centre. Archived from the original on August 29, 2012. Retrieved October 19, 2012.
- ^ Canavan C, Abrams KR, Mayberry J (April 2006). "Meta-analysis: colorectal and small bowel cancer risk in patients with Crohn's disease". Alimentary Pharmacology & Therapeutics. 23 (8): 1097–1104. doi:10.1111/j.1365-2036.2006.02854.x. PMID 16611269. S2CID 25193522.
- ^ a b Hiatt RA, Kaufman L (November 1988). "Epidemiology of inflammatory bowel disease in a defined northern California population". The Western Journal of Medicine. 149 (5): 541–546. PMC 1026530. PMID 3250100.
- ^ Moum B, Vatn MH, Ekbom A, Aadland E, Fausa O, Lygren I, et al. (April 1996). "Incidence of Crohn's disease in four counties in southeastern Norway, 1990-93. A prospective population-based study. The Inflammatory Bowel South-Eastern Norway (IBSEN) Study Group of Gastroenterologists". Scandinavian Journal of Gastroenterology. 31 (4): 355–361. doi:10.3109/00365529609006410. PMID 8726303.
- ^ Shivananda S, Lennard-Jones J, Logan R, Fear N, Price A, Carpenter L, et al. (November 1996). "Incidence of inflammatory bowel disease across Europe: is there a difference between north and south? Results of the European Collaborative Study on Inflammatory Bowel Disease (EC-IBD)". Gut. 39 (5): 690–697. doi:10.1136/gut.39.5.690. PMC 1383393. PMID 9014768.
- ^ Yang H, McElree C, Roth MP, Shanahan F, Targan SR, Rotter JI (April 1993). "Familial empirical risks for inflammatory bowel disease: differences between Jews and non-Jews". Gut. 34 (4): 517–524. doi:10.1136/gut.34.4.517. PMC 1374314. PMID 8491401.
- ^ Seksik P, Nion-Larmurier I, Sokol H, Beaugerie L, Cosnes J (May 2009). "Effects of light smoking consumption on the clinical course of Crohn's disease". Inflammatory Bowel Diseases. 15 (5): 734–741. doi:10.1002/ibd.20828. PMID 19067428. S2CID 10988974.
- ^ "Crohn's disease manifests differently in boys and girls". Crohn's and Colitis Foundation of America. Archived from the original on February 16, 2008.
- ^ Rhodes M, Romito K, Vanagunas AD (October 24, 2006). Ariss KM, Cronen M, Truman P, Vail T (eds.). "Who is affected by Crohn's disease". Healthwise. Archived from the original on January 23, 2009.
- ^ Satsangi J, Jewell DP, Bell JI (May 1997). "The genetics of inflammatory bowel disease". Gut. 40 (5): 572–574. doi:10.1136/gut.40.5.572. PMC 1027155. PMID 9203931.
- ^ Tysk C, Lindberg E, Järnerot G, Flodérus-Myrhed B (July 1988). "Ulcerative colitis and Crohn's disease in an unselected population of monozygotic and dizygotic twins. A study of heritability and the influence of smoking". Gut. 29 (7): 990–996. doi:10.1136/gut.29.7.990. PMC 1433769. PMID 3396969.
- ^ Burisch J, Jess T, Martinato M, Lakatos PL (May 2013). "The burden of inflammatory bowel disease in Europe". Journal of Crohn's & Colitis. 7 (4): 322–337. doi:10.1016/j.crohns.2013.01.010. PMID 23395397.
- ^ a b Ng SC, Shi HY, Hamidi N, Underwood FE, Tang W, Benchimol EI, et al. (December 2017). "Worldwide incidence and prevalence of inflammatory bowel disease in the 21st century: a systematic review of population-based studies". Lancet. 390 (10114): 2769–2778. doi:10.1016/S0140-6736(17)32448-0. PMID 29050646. S2CID 32940.
- ^ Kirsner JB (June 1988). "Historical aspects of inflammatory bowel disease". Journal of Clinical Gastroenterology. 10 (3): 286–297. doi:10.1097/00004836-198806000-00012. PMID 2980764.
- ^ Lichtarowicz AM, Mayberry JF (August 1988). "Antoni Lésniowski and his contribution to regional enteritis (Crohn's disease)". Journal of the Royal Society of Medicine. 81 (8): 468–470. doi:10.1177/014107688808100817. PMC 1291720. PMID 3047387.
Further reading
- Lichtenstein GR, Loftus EV, Isaacs KL, Regueiro MD, Gerson LB, Sands BE (April 2018). "ACG Clinical Guideline: Management of Crohn's Disease in Adults". The American Journal of Gastroenterology. 113 (4): 481–517. doi:10.1038/ajg.2018.27. PMID 29610508.
External links
- "Crohn's disease". MedlinePlus. U.S. National Library of Medicine.
Media related to Crohn's disease at Wikimedia Commons

