Trebouxiophyceae
| Trebouxiophyceae | |
|---|---|
| |
| Chlorella vulgaris | |
| Scientific classification | |
| Kingdom: | Plantae |
| Division: | Chlorophyta |
| Subphylum: | Chlorophytina |
| Class: | Friedl, 1995[1] |
| Orders | |
| Synonyms | |
| |
The Trebouxiophyceae, also known as trebouxiophytes, are a class of green algae, in the division Chlorophyta.[3] Members of this class are single-celled, colonial, or multicellular and are found in freshwater, terrestrial or marine habitats worldwide. Many taxa in the Trebouxiophyceae form symbiotic relationships with other organisms; in particular, the majority of phycobionts within lichens are trebouxiophytes.[4] A number of taxa have also lost the ability to photosynthesize, and have evolved to become parasitic; examples include Prototheca and Helicosporidium.[2]
Trebouxiophyceae was originally defined by ultrastructural characteristics,[5][2] but is now generally circumscribed based on phylogenetics, particularly based on the 18S rDNA locus.[4] As of 2024, Trebouxiophyceae contains 211 genera and about 925 species.[6]
Morphology
Members of the Trebouxiophyceae are microscopic or macroscopic organisms which exist in a variety of forms: non-flagellate coccoid or elliptical single cells, unbranched filaments, blades, or colonies of cells.[7][8] Although most species are photosynthetic with chloroplasts, a few genera (Helicosporidium and Prototheca) lack them.[9] Chloroplasts are diverse in morphology and placement and may be axial and stellate (e.g. Prasiola), numerous and discoid (e.g. Eremosphaera), or parietal. Pyrenoids may be present or absent.[8]
In most species, reproduction occurs exclusively asexual, and occurs via the formation of autospores or zoospores. Sexual reproduction is rare in the class, with reports from only a few taxa; isogamy, anisogamy and oogamy have all been reported. However, many more taxa possess the genes for sexual reproduction, suggesting it is more common than previously thought.[10]
Ultrastructure
Trebouxiophyceaen algae are characterized by a combination of plesiomorphic traits. It has basal bodies of its flagella in a counterclockwise orientation, non-persistent, metacentric spindles during telophase, and phycoplast-mediated cytokinesis. The presence of counterclockwise basal bodies are shared with Ulvophyceae, the metacentric spindles are shared with walled prasinophytes, and the non-persistent spindles and phycoplasts are also present in Chlorophyceae.[8] Some members do not produce flagellated stages at all.[8]
Ecology
Trebouxiophycean algae are common and widespread, and found in a variety of habitats. Terrestrial species live most commonly in places such rocks, soils or tree bark.[10] However, some genera, such as Dictyosphaerium, are planktonic within fresh water, and may dominate the water column from early spring to late summer.[8]
Marine trebouxiophycean algae such as Prasiola typically occupy the shoreline, and may exhibit tolerance to freezing. In these harsh environments, ultraviolet-absorbing compounds or cryoprotectants such as proline are often present.[8]
Symbioses
Trebouxiophyceae is most well known for the ability to form symbiotic relationships with fungi, forming lichens. When associated with a lichen-forming fungus, the alga is termed a phycobiont. The fungus benefits from the carbohydrates provided by the algae, while the algae inhabit a matrix of hyphae which provide protection.[11] Trebouxia (also the namesake of the class) and Asterochloris are the most common and widespread phycobionts of lichens; it is estimated that Trebouxia is associated with over 20% of all lichen-forming fungi worldwide.[12]
Research on lichens has historically focused more on the fungal partner (the mycobiont) over the phycobionts. Research on trebouxiophycean phycobionts has been hampered by the time-consuming nature of identification. Because the morphology of these algae is often heavily influenced by the environment, reliable identification relies on molecular techniques such as DNA barcoding. However, recent research has discovered considerable diversity. It was previously thought that a specific mycobiont associates with only one type of phycobiont; however, it is now accepted that multiple trebouxiophycean algae can associate with a single species or even a single thallus.[11]
In addition to lichens, single-celled microalgae (called zoochlorellae) are commonly found as endosymbionts within a variety of freshwater and marine organisms. Endosymbionts come from several genera, mainly Micractinium and Chlorella.[13] The host organisms are diverse and include ciliates (e.g. Paramecium),[13] sea anemones,[14] Hydra[15] and freshwater sponges.[16] Paramecium bursaria is a well-studied example and model organism for endosymbiosis. The hosts may have an obligate or a facultative relationship with the symbionts.[13]
Parasitism
Prototheca and Helicosporidium are two unusual examples of once-algal organisms which have lost their chloroplasts and become parasitic. Prototheca infects vertebrates (including humans), and induces protothecosis; Helicosporidium infects a wide array of invertebrates.[9] Phyllosiphon is an unusual genus, consisting of branched siphonous filaments with chloroplasts. It is an endophytic parasite occurring in leaves, particularly the family Araceae.[17]
- Ecological diversity of Trebouxiophyceae
-
Desmococcus, a terrestrial alga growing on the bark of a beech tree -
Eremosphaera, found in freshwater plankton -
Prasiola stipitata growing on a rocky shore -
Trebouxia, a common phycobiont of lichens -
The ciliate Paramecium bursaria with endosymbiotic trebouxiophycean algae -
Anthopleura xanthogrammica; the green color is due to endosymbiotic Elliptochloris marina -
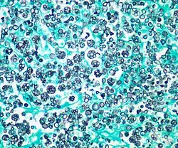
Photomicrograph (stained) of Prototheca wickerhamii infection in a human -
Parasitic alga Phyllosiphon arisari causing yellow spots on Arisarum
Evolution and phylogeny
The clade Trebouxiophyceae likely originated about 600–800 million years ago,[10] and fossils from trebouxiophycean algae have appeared in sediments dating back to at least the Precambrian. Fossil deposits of Botryococcus are a major component of oil shales.[18]
The closest relatives of Trebouxiophyceae are Chlorophyceae and Ulvophyceae; together, they form a monophyletic group termed the UTC clade (also known as core Chlorophyta).[19] The ancestral trebouxiophycean alga was likely a sexual organism; later lineages appear to have independently lost the ability to reproduce sexually many times. It is hypothesized that the production of autospores became advantageous in terrestrial environments, since flagellated cells require water for movement.[10]
Taxonomy
The taxonomy of algae has traditionally been based on morphological characters; however, microalgae typically have few morphological characters, and therefore morphological classifications are limited by convergent evolution and cryptic diversity. Therefore, modern taxonomic classifications involve an integrative species concept combining morphological and molecular data.[20] Higher-level relationships within Trebouxiophyceae are not yet fully resolved.[21]
As of 2025, AlgaeBase accepts the following orders:[3]
- Chlorellales
- Microthamniales
- Phyllosiphonales
- Prasiolales
- Trebouxiales
- Watanabeales
Genera and families without intervening taxonomy include:[3]
- Coccomyxaceae
- Dictyosphaeriaceae[note 1]
- Micractiniaceae[note 2]
- Ragelichloridaceae
- Apatococcus
- Autumnella
- Chlorolobion
- Chloropyrula
- Elliptochloris
- Eremochloris
- Glaphyrella
- Koliellopsis
- Lemmermannia
- Leptochlorella
- Leptosira
- Lunachloris
- Neochlorella
- Rhopalosolen
- Xerochlorella
- Xylochlorella
Usage

The microalga Chlorella has been used by researchers to study basic elements of biochemistry and physiology, as an simpler analog of land plants.[22] Biochemical research involving Chlorella has resulted in two Nobel Prizes: in 1931, Otto Heinrich Warburg was awarded the Nobel Prize in Physiology or Medicine for his research on cellular respiration,[23] and in 1961, Melvin Calvin was awarded the Nobel Prize in Chemistry for studying carbon dioxide assimilation in plants, using Chlorella as a model.[24]
Some trebouxiophycean microalgae are under interest as potential sources of biofuels or other products, such as proteins and lipids. Botryococcus is of particular interest as a producer for biodiesel, since it produces a high amount of lipids.[25]
A few algae in Trebouxiophyceae are edible, such as Prasiola, which is edible and locally harvested for food Japan and Myanmar.[26] In the mid-twentieth century, Chlorella was seen as an economical source of food and an answer to the global food crises of the time.[27] Since then, improvements in crop yield have caused a decline in interest in Chlorella as food;[27] however, it has a small market as a niche nutritional supplement.[28]
See also
Notes
References
- ^ Friedl, T (1995). "Inferring taxonomic positions and testing genus level assignments in coccoid green lichen algae: a phylogenetic analysis of 18S ribosomal RNA sequences from Dictyochloropsis reticulata and from members of the genus Myrmecia (Chlorophyta, Trebouxiophyceae cl. nov.)". Journal of Phycology. 31 (4): 632–639. Bibcode:1995JPcgy..31..632F. doi:10.1111/j.1529-8817.1995.tb02559.x. S2CID 84654935.
- ^ a b c Lemieux, Claude; Otis, Christian; Turmel, Monique (2014). "Chloroplast phylogenomic analysis resolves deep-level relationships within the green algal class Trebouxiophyceae". BMC Evolutionary Biology. 14 (1): 211. Bibcode:2014BMCEE..14..211L. doi:10.1186/s12862-014-0211-2. PMC 4189289. PMID 25270575.
- ^ a b c Guiry, M.D. & Guiry, G.M. (2025). "Class: Trebouxiophyceae taxonomy browser". AlgaeBase version 4.2 World-wide electronic publication, National University of Ireland, Galway. Retrieved 2025-02-15.
- ^ a b Vančurová, Lucie; Peksa, Ondřej; Němcová, Yvonne; Škaloud, Pavel (2015). "Vulcanochloris (Trebouxiales, Trebouxiophyceae), a new genus of lichen photobiont from la Palma, Canary Islands, Spain". Phytotaxa. 219 (2): 118. doi:10.11646/phytotaxa.219.2.2.
- ^ Liu, Ben-Wen; Li, Shu-Yin; Yan, Qiu-Feng; Zhu, Huan; Liu, Guo-Xiang (2023). "Seven newly sequenced chloroplast genomes from the order Watanabeales (Trebouxiophyceae, Chlorophyta): Phylogenetic and comparative analysis". Gene. 863. doi:10.1016/j.gene.2023.147287. PMID 36804852.
- ^ Guiry, Michael D. (2024). "How many species of algae are there? A reprise. Four kingdoms, 14 phyla, 63 classes and still growing". Journal of Phycology. 60 (2): 214–228. Bibcode:2024JPcgy..60..214G. doi:10.1111/jpy.13431. PMID 38245909.
- ^ Bordenave, Cesar D.; Muggia, Lucia; Chiva, Salvador; Leavitt, Steve D.; Carrasco, Pedro; Barreno, Eva (2022). "Chloroplast morphology and pyrenoid ultrastructural analyses reappraise the diversity of the lichen phycobiont genus Trebouxia (Chlorophyta)". Algal Research. 61. Bibcode:2022AlgRe..6102561B. doi:10.1016/j.algal.2021.102561. hdl:11368/3027669.
- ^ a b c d e f Graham, J.E.; Wilcox, L.W.; Graham, L.E. (2009). Algae, 2nd Edition. Pearson. p. 616. ISBN 9780321603128.
- ^ a b Suzuki, Shigekatsu; Endoh, Rikiya; Manabe, Ri-Ichiroh; Ohkuma, Moriya; Hirakawa, Yoshihisa (2018). "Multiple losses of photosynthesis and convergent reductive genome evolution in the colourless green algae Prototheca". Scientific Reports. 8 (1): 940. Bibcode:2018NatSR...8..940S. doi:10.1038/s41598-017-18378-8. PMC 5772498. PMID 29343788.
- ^ a b c d Fučíková, Karolina; Pažoutová, Marie; Rindi, Fabio (2015). "Meiotic genes and sexual reproduction in the green algal class Trebouxiophyceae (Chlorophyta)". Journal of Phycology. 51 (3): 419–430. Bibcode:2015JPcgy..51..419F. doi:10.1111/jpy.12293. PMID 26986659.
- ^ a b Muggia, Lucia; Leavitt, Steven; Barreno, Eva (2018). "The hidden diversity of lichenised Trebouxiophyceae (Chlorophyta)". Phycologia. 57 (5): 503–524. Bibcode:2018Phyco..57..503M. doi:10.2216/17-134.1.
- ^ a b c Pröschold, Thomas; Pitsch, Gianna; Darienko, Tatyana (2020). "Micractinium tetrahymenae (Trebouxiophyceae, Chlorophyta), a New Endosymbiont Isolated from Ciliates". Diversity. 12 (5): 200. Bibcode:2020Diver..12..200P. doi:10.3390/d12050200.
- ^ Letsch, Molly R.; Muller-Parker, Gisèle; Friedl, Thomas; Lewis, Louise A. (2009). "Elliptochloris marina sp. nov. (Trebouxiophyceae, Chlorophyta), symbiotic green alga of the temperate pacific sea anemones Anthopleura xanthogrammica and A. elegantissima (Anthozoa, Cnidaria)". Journal of Phycology. 45 (5): 1127–1135. Bibcode:2009JPcgy..45.1127L. doi:10.1111/j.1529-8817.2009.00727.x. PMID 27032358.
- ^ Rajević, Nives; Kovačević, Goran; Kalafatić, Mirjana; Gould, Sven B.; Martin, William F.; Franjević, Damjan (2015). "Algal endosymbionts in European Hydra strains reflect multiple origins of the zoochlorella symbiosis". Molecular Phylogenetics and Evolution. 93: 55–62. Bibcode:2015MolPE..93...55R. doi:10.1016/j.ympev.2015.07.014. PMID 26220839.
- ^ Pröschold, T.; Darienko, T. (2020). "Choricystis and Lewiniosphaera gen. nov. (Trebouxiophyceae Chlorophyta), two different green algal endosymbionts in freshwater sponges". Symbiosis. 82 (3): 175–188. Bibcode:2020Symbi..82..175P. doi:10.1007/s13199-020-00711-x. PMC 7725700. PMID 33328698.
- ^ Procházková, Kateřina; Nemcová, Yvonne; Kulichová, Jana; Neustupa, Jiří (2015). "Morphology and phylogeny of parasitic and free-living members of the genus Phyllosiphon (Trebouxiophyceae, Chlorophyta)". Nova Hedwigia. 101 (3–4): 501–518. doi:10.1127/nova_hedwigia/2015/0288.
- ^ Tennant, Richard K.; Lux, Thomas M.; Sambles, Christine M.; Kuhn, Nikolaus J.; Petticrew, Ellen L.; Oldfield, Richard; Parker, David A.; Hatton, Jackie; Moore, Karen A.; Lee, Rob; Turney, Chris S. M. (2019-02-11). "Palaeogenomics of the Hydrocarbon Producing Microalga Botryococcus braunii". Scientific Reports. 9 (1): 1776. Bibcode:2019NatSR...9.1776T. doi:10.1038/s41598-018-38236-5. ISSN 2045-2322. PMC 6370823. PMID 30742038.
- ^ Martínez-Alberola, Fernando; Barreno, Eva; Casano, Leonardo M.; Gasulla, Francisco; Molins, Arántzazu; Del Campo, Eva M. (2019). "Dynamic evolution of mitochondrial genomes in Trebouxiophyceae, including the first completely assembled mtDNA from a lichen-symbiont microalga (Trebouxia sp. TR9)". Scientific Reports. 9 (1): 8209. Bibcode:2019NatSR...9.8209M. doi:10.1038/s41598-019-44700-7. PMC 6547736. PMID 31160653.
- ^ Darienko, Tatyana; Gustavs, Lydia; Eggert, Anja; Wolf, Wiebke; Pröschold, Thomas (2015-06-16). "Evaluating the Species Boundaries of Green Microalgae (Coccomyxa, Trebouxiophyceae, Chlorophyta) Using Integrative Taxonomy and DNA Barcoding with Further Implications for the Species Identification in Environmental Samples". PLOS ONE. 10 (6): e0127838. Bibcode:2015PLoSO..1027838D. doi:10.1371/journal.pone.0127838. ISSN 1932-6203. PMC 4469705. PMID 26080086.
- ^ Barcytė, Dovilė; Hodač, Ladislav; Eliáš, Marek (2024). "Freshwater 'microcroissants' shed light on a novel higher-level clade within the Trebouxiophyceae and reveal the genus Chlorolobion to be a trebouxiophyte". European Journal of Phycology. 59 (4): 405–422. Bibcode:2024EJPhy..59..405B. doi:10.1080/09670262.2024.2383626.
- ^ Krienitz, Lothar; Huss, Volker A.R.; Bock, Christina (2015). "Chlorella: 125 years of the green survivalist". Trends in Plant Science. 20 (2): 67–69. Bibcode:2015TPS....20...67K. doi:10.1016/j.tplants.2014.11.005. PMID 25500553.
- ^ "Otto Heinrich Warburg, 1883-1970". Biographical Memoirs of Fellows of the Royal Society. 18: 628–699. 1972. doi:10.1098/rsbm.1972.0023.
- ^ Hayami, Natsuki; Sri Kantha, Sachi (2017). "Nobel Prizes for Research in Plant Science: Past, Present and Future". Reviews in Agricultural Science. 5: 83–99. doi:10.7831/ras.5.0_83.
- ^ Metzger, P.; Largeau, C. (2005). "Botryococcus braunii: a rich source for hydrocarbons and related ether lipids". Applied Microbiology and Biotechnology. 66 (25): 486–96. doi:10.1007/s00253-004-1779-z. PMID 15630516. S2CID 26975859.
- ^ Sutherland, Judy E.; Miyata, Masahiko; Ishikawa, Motoyasu; Nelson, Wendy A. (2016). "Prasiola (Prasiolales, Trebouxiophyceae) in Japan: A survey of freshwater populations and new records of marine taxa". Phycological Research. 64 (2): 110–117. doi:10.1111/pre.12124.
- ^ a b Belasco, Warren (July 1997). "Algae Burgers for a Hungry World? The Rise and Fall of Chlorella Cuisine". Technology and Culture. 38 (3): 608–34. doi:10.2307/3106856. JSTOR 3106856. S2CID 109494408.
- ^ Bito, Tomohiro; Okumura, Eri; Fujishima, Masaki; Watanabe, Fumio (2020). "Potential of Chlorella as a Dietary Supplement to Promote Human Health". Nutrients. 12 (9): 2524. doi:10.3390/nu12092524. PMC 7551956. PMID 32825362.
