Sickle cell disease

Sickle cell disease
Other namesSickle cell disorder; drepanocytosis (dated)
Figure (A) shows normal red blood cells flowing freely through a blood vessel. The inset shows a cross-section of a normal red blood cell with normal haemoglobin. Figure (B) shows abnormal, sickled red blood cells sticking at the branching point in a blood vessel. The inset image shows a cross-section of a sickle cell with long polymerized sickle haemoglobin (HbS) strands stretching and distorting the cell shape to look like a crescent moon.
SpecialtyHematology, medical genetics
SymptomsAttacks of pain, anemia, swelling in the hands and feet, bacterial infections, stroke[1]
ComplicationsChronic pain, stroke, aseptic bone necrosis, gallstones, leg ulcers, priapism, pulmonary hypertension, vision problems, kidney problems[2]
Usual onset5–6 months of age[1]
CausesGenetic, Homozygous mutation in the hemoglobin S gene.[3]
Risk factorsAncestry from sub-Saharan Africa, India, the Arab Gulf states or Sicily[4][5]
Diagnostic methodBlood test[6]
TreatmentVaccination, antibiotics, high fluid intake, folic acid supplementation, pain medication, blood transfusions[7][8]
PrognosisLife expectancy 40–60 years (developed world)[2]
Frequency7.7 million (2021)[9]
Deaths34,000 p.a. (a contributory factor to a further 376,000 p.a.)[9]

Sickle cell disease (SCD), also simply called sickle cell, is a group of inherited haemoglobin-related blood disorders.[2] The most common type is known as sickle cell anemia.[2] Sickle cell anemia results in an abnormality in the oxygen-carrying protein haemoglobin found in red blood cells.[2] This leads to the red blood cells adopting an abnormal sickle-like shape under certain circumstances; with this shape, they are unable to deform as they pass through capillaries, causing blockages.[2] Problems in sickle cell disease typically begin around 5 to 6 months of age.[1] Several health problems may develop, such as attacks of pain (known as a sickle cell crisis) in joints, anemia, swelling in the hands and feet, bacterial infections, dizziness[10] and stroke.[1] The probability of severe symptoms, including long-term pain, increases with age.[2] Without treatment, people with SCD rarely reach adulthood, but with good healthcare, median life expectancy is between 58 and 66 years.[11][12] All of the major organs are affected by sickle cell disease. The liver, heart, kidneys, gallbladder, eyes, bones, and joints can be damaged from the abnormal functions of the sickle cells and their inability to effectively flow through the small blood vessels.[13]

Sickle cell disease occurs when a person inherits two abnormal copies of the β-globin gene that make haemoglobin, one from each parent.[3] Several subtypes exist, depending on the exact mutation in each haemoglobin gene.[2] An attack can be set off by temperature changes, stress, dehydration, and high altitude.[1] A person with a single abnormal copy does not usually have symptoms and is said to have sickle cell trait.[3] Such people are also referred to as carriers.[7] Diagnosis is by a blood test, and some countries test all babies at birth for the disease.[6] Diagnosis is also possible during pregnancy.[6]

The care of people with sickle cell disease may include infection prevention with vaccination and antibiotics, high fluid intake, folic acid supplementation, and pain medication.[7][8] Other measures may include blood transfusion and the medication hydroxycarbamide (hydroxyurea).[8] In 2023, new gene therapies were approved involving the genetic modification and replacement of blood forming stem cells in the bone marrow.[14][15][16]

As of 2021, SCD is estimated to affect about 7.7 million people worldwide, directly causing an estimated 34,000 annual deaths and a contributory factor to a further 376,000 deaths.[9][17] About 80% of sickle cell disease cases are believed to occur in Sub-Saharan Africa.[18] It also occurs to a lesser degree among people in parts of India, Southern Europe, West Asia, North Africa and among people of African origin (sub-Saharan) living in other parts of the world.[19] The condition was first described in the medical literature by American physician James B. Herrick in 1910.[20][21] In 1949, its genetic transmission was determined by E. A. Beet and J. V. Neel.[21] In 1954, it was established that carriers of the abnormal gene are protected to some degree against malaria.[21]

Signs and symptoms

Swollen hands and fingers of an infant
Dactylitis in the hands of an infant
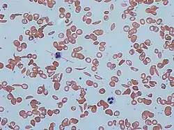
Sickle cells in human blood - both normal red blood cells and sickle-shaped cells are present.
Normal blood cells next to a sickle blood cell, coloured scanning electron microscope image

Signs of sickle cell disease usually begin in early childhood. The severity of symptoms can vary from person to person, as can the frequency of crisis events.[22][18] Sickle cell disease may lead to various acute and chronic complications, several of which have a high mortality rate.[23]

First events

When SCD presents within the first year of life, the most common problem is an episode of pain and swelling in the child's hands and feet, known as dactylitis or "hand-foot syndrome." Pallor, jaundice, and fatigue can also be early signs due to anaemia resulting from sickle cell disease.[24]

In children older than 2 years, the most common initial presentation is a painful episode of a generalized or variable nature, while a slightly less common presentation involves acute chest pain. Dactylitis is rare or almost never occurs in children over the age of 2.[24][1]

Critical events

Vaso-occlusive crisis

Also termed "sickle cell crisis" or "sickling crisis", the vaso-occlusive crisis (VOC) manifests principally as extreme pain, most often affecting the chest, back, legs, and/or arms.[25] The underlying cause is sickle-shaped red blood cells that obstruct capillaries and restrict blood flow to an organ, resulting in ischaemia, pain, necrosis, and often organ damage. The frequency, severity, and duration of these crises vary considerably. Milder crises can be managed with nonsteroidal anti-inflammatory drugs. For more severe crises, patients may require inpatient management for intravenous opioids. Vaso-occlusive crisis involving organs such as the penis or lungs are considered an emergency and treated with red blood cell transfusions.[26]

A VOC can be triggered by anything which causes blood vessels to constrict; this includes physical or mental stress, cold, and dehydration.[27] "After HbS deoxygenates in the capillaries, it takes some time (seconds) for HbS polymerization and the subsequent flexible-to-rigid transformation. If the transit time of RBC through the microvasculature is longer than the polymerization time, sickled RBC will lodge in the microvasculature."[28]

Splenic sequestration crisis

The spleen is especially prone to damage in SCD due to its role as a blood filter. A splenic sequestration crisis, also known as a spleen crisis, is a medical emergency that occurs when sickled red blood cells block the spleen's filter mechanism, causing the spleen to swell and fill with blood. The accumulation of red blood cells in the spleen results in a sudden drop in circulating hemoglobin and potentially life-threatening anemia. Symptoms include pain on the left side, swollen spleen (which can be detected by palpation), fatigue, dizziness, irritability, rapid heartbeat, or pale skin. It most commonly affects young children; the median age of first occurrence is 1.4 years. By the age of 5 years, repeated instances of sequestration cause scarring and eventual atrophy of the spleen.[29][30][31]

Treatment is supportive, with blood transfusion if hemoglobin levels fall too low. Full or partial splenectomy may be necessary.[32] Long term consequences of a loss of spleen function are increased susceptibility to bacterial infections.[31]

Acute chest syndrome

Acute chest syndrome is caused by a VOC which affects the lungs, possibly triggered by infection or by emboli which have circulated from other organs. Symptoms include wheezing, chest pain, fever, pulmonary infiltrate (visible on x-ray), and hypoxemia. After sickling crisis (see above), it is the second-most common cause of hospitalization, and it accounts for about 25% of deaths in patients with SCD. Most cases present with vaso-occlusive crises and then develop acute chest syndrome.[33][34]

Aplastic crisis

Aplastic crises are instances of an acute worsening of the patient's baseline anaemia, producing pale appearance, fast heart rate, and fatigue. This crisis is normally triggered by parvovirus B19, which directly affects production of red blood cells by invading the red cell precursors and multiplying in and destroying them.[35] Parvovirus infection [36] almost completely prevents red blood cell production for two to three days (red cell aplasia). In normal individuals, this is of little consequence, but the shortened red cell life of SCD patients results in an abrupt, life-threatening situation. Reticulocyte count drops dramatically during the disease (causing reticulocytopenia), red cell production lapses, and the rapid destruction of existing red cells leads to acute and severe anemia. This crisis takes four to seven days to resolve. Most patients can be managed supportively; some need a blood transfusion.[37]

Complications

Sickle cell anaemia can lead to various complications, including:[38]

Genetics

Sickle cell disease is inherited in an autosomal recessive pattern.
Base-pair substitution that causes sickle cell anemia

Hemoglobin is an oxygen-binding protein, found in erythrocytes, which transports oxygen from the lungs (or in the fetus, from the placenta) to the tissues. Each molecule of hemoglobin comprises 4 protein subunits, referred to as globins.[55] Normally, humans have:-

  • hemoglobin F (Fetal hemoglobin, HbF), consisting of two alpha (α-globin) and two gamma (γ-globin) chains. This dominates during the development of the fetus and until about 6 weeks of age. Afterwards, haemoglobin A dominates throughout life.[56]
  • hemoglobin A, (Adult hemoglobin, HbA) which consists of two alpha and two beta (β-globin) chains. This is the most common human hemoglobin tetramer, accounting for over 97% of the total red blood cell hemoglobin in normal adults.[57]
  • hemoglobin A2, (HbA2) is a second form of adult hemoglobin and is composed of two alpha and two delta (δ-globin) chains. This hemoglobin typically makes up 1–3% of hemoglobin in adults.[57]

β-globin is encoded by the HBB gene on human chromosome 11; mutations in this gene produce variants of the protein which are implicated with abnormal hemoglobins. The mutation that causes sickle cell disease results in an abnormal hemoglobin known as hemoglobin S (HbS), which replaces HbA in adults.[22] The human genome contains a pair of genes for β-globin; in people with sickle cell disease, both genes are affected, and the erythropoietic cells in the bone marrow will only create HbS. In people with sickle cell trait, only one gene is abnormal; erythropoiesis generates a mixture of normal HbA and sickle HbS. The person has very few, if any, symptoms of sickle cell disease but carries the gene and can pass it on to their children.[58]

Autosomal recessive inheritance means acquiring two changed genes from each parent. If both parents are carriers for the autosomal recessive gene, there is a 25% chance of their child having and expressing the disorder. Other children will be unaffected, but may be carriers.

Sickle cell disease has an autosomal recessive pattern of inheritance from parents.[59] Both copies of the affected gene must carry the same mutation (homozygous condition) for a person to be affected by an autosomal recessive disorder. An affected person usually has unaffected parents who each carry one mutated gene and one normal gene (heterozygous condition) and are referred to as genetic carriers; they may not have any symptoms.[60] When both parents have the sickle cell trait, any given child has a 25% chance of sickle cell disease; a 25% chance of no sickle cell alleles, and a 50% chance of the heterozygous condition (see diagram).[61]

There are several different haplotypes of the sickle cell gene mutation, indicating that it probably arose spontaneously in different geographic areas. The variants are known as Cameroon, Senegal, Benin, Bantu, and Saudi-Asian.[62] These are clinically important because some are associated with higher HbF levels, e.g., Senegal and Saudi-Asian variants, and tend to have milder disease.[63]

Base-pair substitution that causes sickle cell anemia

The gene defect is a single nucleotide mutation of the β-globin gene, which results in glutamate being substituted by valine at position 6 of the β-globin chain.[64] Hemoglobin S with this mutation is referred to as HbS, as opposed to the normal adult HbA. Under conditions of normal oxygen concentration, this causes no apparent effects on the structure of haemoglobin or its ability to transport oxygen around the body. However, the deoxy form of HbS has an exposed hydrophobic patch, which causes HbS molecules to join to form long, inflexible chains. Under conditions of low oxygen concentration in the bloodstream, such as exercise, stress, altitude, or dehydration, HbS polymerization forms fibrous precipitates within the red blood cell.[65] In people homozygous for the sickle cell mutation, the presence of long-chain polymers of HbS distort the shape of the red blood cell from a smooth, doughnut-like shape to the sickle shape, making it fragile and susceptible to blocking or breaking within capillaries.[64]

In people heterozygous for HbS (carriers of sickle cell disease), the polymerisation problems are minor because the normal allele can produce half of the haemoglobin. Sickle cell carriers have symptoms only if they are deprived of oxygen (for example, at altitude) or while severely dehydrated.[66]

Malaria

Historical distribution of the sickle cell trait
Historical distribution of malaria (no longer endemic in Europe)
Modern distribution of malaria

SCD is most prevalent in areas which have historically been associated with endemic malaria. The sickle cell trait provides a carrier with a survival advantage against malaria fatality over people with normal hemoglobin in regions where malaria is endemic.[67][68]

Infection with the malaria parasite affects asymptomatic carriers of the abnormal hemoglobin gene differently from patients with full SCD. Carriers (heterozygous for the gene) who catch malaria are less likely to suffer from severe symptoms than people with normal hemoglobin. SCD patients (homozygous for the gene) are similarly less likely to become infected with malaria; however, once infected, they are more likely to develop severe and life-threatening anemia.[69][70]

The impact of sickle cell anemia on malaria immunity illustrates some evolutionary trade-offs that have occurred because of endemic malaria. Although the shorter life expectancy for those with the homozygous condition would tend to disfavour the trait's survival, the trait is preserved in malaria-prone regions because of the benefits provided by the heterozygous form; an example of natural selection.[71]

Due to the adaptive advantage of the heterozygote, the disease is still prevalent, especially among people with recent ancestry in malaria-stricken areas, such as Africa, the Mediterranean, India, and the Middle East.[72] Malaria was historically endemic to southern Europe, but it was declared eradicated in the mid-20th century, except rare sporadic cases.[73]

The malaria parasite has a complex lifecycle and spends part of it in red blood cells. There are two mechanisms that protect sickle cell carriers from malaria. One is that the parasite is hindered from growing and reproducing in a carrier's red blood cells; another is that a carrier's red cells show signs of damage when infected, and are detected and destroyed as they pass through the spleen.[74][75]

Pathophysiology

Scanning electron micrograph showing a mixture of red blood cells, some with round normal morphology, some with mild sickling showing elongation and bending

Under conditions of low oxygen concentration, HBS polymerises to form long strands within the red blood cell (RBC). These strands distort the shape of the cell and, after a few seconds, cause it to adopt an abnormal, inflexible, sickle-like shape. This process reverses when oxygen concentration is raised and the cells resume their normal biconcave disc shape. If sickling takes place in the venous system, after blood has passed through the capillaries, it does not affect the organs, and the RBCs can unsickle when they become oxygenated in the lungs. Repeated switching between sickle and normal shapes damages the membrane of the RBC so that it eventually becomes permanently sickled.[76][77][78]

Normal red blood cells are quite elastic and have a biconcave disc shape, which allows the cells to deform to pass through capillaries. In sickle cell disease, low oxygen tension promotes red blood cell sickling and repeated episodes of sickling damage the cell membrane and decrease the cell's elasticity. These cells fail to return to normal shape when normal oxygen tension is restored. As a consequence, these rigid blood cells are unable to deform as they pass through narrow capillaries, leading to vessel occlusion and ischaemia.[28]

Cells that have become sickled are detected as they pass through the spleen and are destroyed. In young children with SCD, the accumulation of sickled cells in the spleen can result in splenic sequestration crisis. In this, the spleen becomes engorged with blood, depriving the general circulation of blood cells and leading to severe anemia. The spleen initially becomes noticeably swollen, but the lack of a healthy blood flow through the organ culminates in scarring of the spleen tissues and eventually death of the organ, generally before the age of 5 years.[77][29]

The actual anaemia of the illness is caused by haemolysis, the destruction of the red cells, because of their shape. Although the bone marrow attempts to compensate by creating new red cells, it does not match the rate of destruction. Healthy red blood cells typically function for 90–120 days, but sickled cells only last 10–20 days.[79][77]

The rapid breakdown of RBCs in SCD results in the release of free heme into the bloodstream, exceeding the capacity of the body's protective mechanisms. Although heme is an essential component of hemoglobin, it is also a potent oxidative molecule. Free heme is also an alarmin - a signal of tissue damage or infection, which triggers defensive responses in the body and increases the risk of inflammation and vaso-occlusive events.[80][81]

Diagnosis

Prenatal and newborn screening

Checking for SCD begins during pregnancy, with a prenatal screening questionnaire which includes, among other things, a consideration of health issues in the child's parents and close relatives. During pregnancy, genetic testing can be done on either a blood sample from the fetus or a sample of amniotic fluid. During the first trimester of pregnancy, chorionic villus sampling (CVS) is also a technique used for SCD prenatal diagnosis.[82] A routine heel prick test, in which a small sample of blood is collected a few days after birth, is used to check conclusively for SCD as well as other inherited conditions.[83]

Tests

A schematic of hemoglobin electrophoresis, showing the banding which is typical of various types of hemoglobin. Note that sickle cell disease (SCD) gives a single, bold band whereas sickle cell trait gives two slightly fainter bands.

Where SCD is suspected, a number of tests can be used. Often, a simpler, cheaper test is applied first, with a more complex test, such as DNA analysis, used to confirm a positive result.[84]

Two tests that are specific for SCD:

  • A blood smear is a thin layer of blood smeared on a glass microscope slide and then stained in such a way as to allow the various blood cells to be examined microscopically. This technique can be used to visually detect sickled cells; however, it does not detect sickle cell carriers.[84]
  • A solubility test relies on the fact that HbS is less soluble than normal hemoglobin (HbA); it is highly reliable but does not distinguish between full SCD and carrier status.[85]

Tests which can be used for SCD as well as for other hemoglobinopathies:

  • Hemoglobin electrophoresis is a test that can detect different types of hemoglobin. Hemoglobin is extracted from the red cells, then introduced into a porous gel and subjected to an electrical field. This separates the normal and abnormal types of hemoglobin, which can then be identified and quantified.[86]
  • Isoelectric focusing (IEF) is a technique that can be used to diagnose sickle cell disease and other hemoglobinopathies. The technique separates molecules based on their isoelectric point, or the pH at which they have no net electrical charge. IEF uses an electric charge to separate and identify different types of hemoglobin, which become focused into sharp, stationary bands. The technique can distinguish many types of abnormal hemoglobin.[87]
  • High-performance liquid chromatography (HPLC) is reliable, fully automated, and able to distinguish most types of sickle cell disease, including heterozygous. The method separates and quantifies hemoglobin fractions by measuring their rate of flow through a column of absorbent material.[84]
  • DNA analysis using polymerase chain reaction (PCR), to amplify small samples of DNA. Variants of PCR used to diagnose SCD include Amplification-refractory mutation system (ARMS) and Allele-Specific Recombinase Polymerase Amplification. These tests can identify subtypes of SCD as well as combination hemoglobinopathies.[84]

Genetic counseling

Genetic counselling is the process by which people with a hereditary disorder are advised of the probability of transmitting it and how this may be prevented or ameliorated.[88]

People who are known carriers of the disease or at risk of having a child with sickle cell anemia may undergo genetic counseling. Genetic counselors work with families to discuss the benefits, limitations, and logistics of genetic testing options as well as the potential impact of testing and test results on the individual.[89] Counselling is best given before a child is conceived, and several possible courses could be suggested. These include adoption, the use of eggs or sperm from a healthy donor, and in-vitro fertilisation (IVF) when combined with pre-implantation genetic diagnosis of the embryos.[90]

Treatment

Management

Several precautions can help reduce the risk of developing a sickling crisis. Lifestyle behaviours include maintaining good hydration and avoiding physical stress or exhaustion. Since sickling can be triggered by low oxygen levels, people with SCD should avoid high altitudes such as high mountains or flying in unpressurised aircraft.[91][92] People with SCD should avoid alcohol and smoking, as alcohol can cause dehydration and smoking can trigger acute chest syndrome. Stress can also trigger a sickle cell crisis, so relaxation techniques like breathing exercises can help.[92]

Pneumococcal infection is a leading cause of death among children with SCD; penicillin is recommended daily during the first 5 years of life to minimise the risk of infection.[93][94]

Dietary supplementation of folic acid is sometimes recommended, on the basis that it facilitates the creation of new red blood cells and may reduce anemia. A Cochrane review of its use in 2016 found "the effect of supplementation on anaemia and any symptoms of anaemia remains unclear" due to a lack of medical evidence.[95][96]

People with SCD are recommended to receive all vaccinations which are recommended by health authorities to avoid serious infection, which might trigger a sickling crisis.[97][98]

Hydroxyurea was the first approved drug for the treatment of SCD, which has been shown to decrease the number and severity of attacks and possibly increase survival time.[99][100] This is achieved, in part, by reactivating fetal haemoglobin production in place of the haemoglobin S that causes sickling. Hydroxyurea lowers the expression of adhesion molecules on endothelial and red blood cells, which lowers the chance of small vessel blockages. Additionally, it encourages the release of nitric oxide, which enhances blood flow and inhibits the formation of clots.[101] Hydroxyurea had previously been used as a chemotherapy agent, and some concern exists that long-term use may be harmful.[102][103] A Cochrane review in 2022 found a weak evidence base for its use in SCD.[104]

Voxelotor was received accelerated approval as a treatment for SCD in the United States in 2019, and was approved by the European Medicines Agency (EMA) in 2021.[105] In trials, it had been shown to have disease-modifying potential by increasing hemoglobin levels and decreasing hemolysis indicators[106][107] However, following an increased risk of vaso-occlusive seizures and death observed in registries and clinical trials, the manufacturer, Pfizer, withdrew it from the market worldwide.[108][109]

Blood transfusion

A simple blood transfusion can be used to treat SCD when hemoglobin levels drop too low, or to prepare for an operation or pregnancy. It can also be used to protect against long-term complications or to reduce the risk of stroke. The simple, or top-up transfusion, is a procedure in which healthy blood cells from a donor are infused into the patient's bloodstream. This benefits by alleviating anemia and increasing oxygen levels in the tissues, reducing the risk of sickling and relieving sickling symptoms. A simple transfusion can be used to treat SCD when hemoglobin levels drop too low, or to prepare for an operation or pregnancy. It can also be used to protect against long-term complications or to reduce the risk of stroke.[110][111]

An exchange transfusion is a procedure in which blood is removed from the body, then processed to extract sickled cells, which are replaced by healthy red blood cells from a donor. The treated blood, including white cells and plasma, is then returned to the patient. Exchange transfusions are likely to be needed in an emergency, in severe cases of SCD, or to support a mother during pregnancy.[112]

Stroke prevention

Transcranial Doppler ultrasound (TCD) can detect children with sickle cell who have a high risk for stroke. The ultrasound test detects blood vessels partially obstructed by sickle cells by measuring the rate of blood into the brain, as blood flow velocity is inversely related to arterial diameter, and consequently, high blood flow velocity is correlated with narrowing of the arteries.[113]

In children, preventive RBC transfusion therapy has been shown to reduce the risk of first stroke or silent stroke when transcranial Doppler ultrasonography shows abnormal cerebral blood flow.[8] In those who have sustained a prior stroke event, it also reduces the risk of recurrent stroke and additional silent strokes.[114][115]

Vaso-occlusive crisis

Most people with sickle cell disease have intensely painful episodes called vaso-occlusive crises (VOC). However, the frequency, severity, and duration of these crises vary tremendously. In a VOC, the circulation of blood vessels is obstructed by sickled red blood cells, causing ischemic injuries to the tissues, inflammation, and pain. Recurrent episodes may cause irreversible organ damage.[116][117]

The most common and obvious symptom of a VOC is pain, which may be felt anywhere in the body but most commonly in the limbs and back. The degree of pain varies from mild to severe.[116] Home treatment options include bed rest and hydration, and pain control using over-the-counter medication such as paracetamol or ibuprofen.[118] More severe cases may require prescription opioids such as codeine or morphine for pain control.[119]

In 2019, crizanlizumab, a monoclonal antibody targeting P-selectin, was approved in the United States to reduce the frequency of vaso-occlusive crisis in those 16 years and older.[120] It had also been approved in the UK and Europe, but in both cases authorisation was subsequently withdrawn because of poor evidence of its effectiveness.[121][122]

Acute chest syndrome

Acute chest syndrome is caused by vaso-occlusion occurring in the lungs. As with a VOC, treatment includes pain control and hydration. Antibiotics are required because there is a severe risk of pulmonary infection, and oxygen supplementation for hypoxia. Blood transfusion may also be required, or exchange transfusion in severe cases.[123]

Treating avascular necrosis

When treating avascular necrosis of the bone in people with sickle cell disease, treatment aims to reduce or stop the pain and maintain joint mobility.[43] Treatment options include resting the joint, physical therapy, pain-relief medicine, joint-replacement surgery, or bone grafting.[43]

Psychological therapy

Psychological therapies such as patient education, cognitive therapy, behavioural therapy, and psychodynamic psychotherapy, that aim to complement current medical treatments, require further research to determine their effectiveness.[124]

Stem cell treatments

Hematopoietic stem cells (HSC) are cells in the bone marrow that can develop into all types of blood cells, including red blood cells, white blood cells, and platelets.[125] There are two possible ways to treat SCD and some other hemoglobinopathies by targeting HSCs. Since 1991, a small number of patients have received bone marrow transplants from healthy matched donors, although this procedure has a high level of risk.[126] More recently, it has become possible to use CRISPR gene editing technology to modify the patient's own HSCs in a way that reduces or eliminates the production of sickle hemoglobin HbS and replaces it with a non-sickling form of hemoglobin.[127]

All stem cell treatments must involve myeloablation of the patients' bone marrow to remove HSCs containing the faulty gene. This requires high doses of chemotherapy agents with side effects such as sickness and tiredness. A long hospital stay is necessary after infusion of the replacement HSCs, while the cells take up residence in the bone marrow and start to make red blood cells with the stable form of haemoglobin.[128][129]

Gene therapy

Gene therapy was first trialled in 2014 on a single patient,[130] and followed by clinical trials in which several patients were successfully treated.[131] In 2023, both exagamglogene autotemcel (Casgevy) and lovotibeglogene autotemcel (Lyfgenia) were approved for the treatment of sickle cell disease.[14][132][16] Kendric Cromer in October 2024 became the first commercial case in the US to receive gene therapy and was discharged from Children's National Hospital.[133] The one-off gene-editing therapy, Casgevy, also known as Exa-cel, is to be offered to patients on the National Health Service (NHS) in England as from 2025.[134]

Both Casgevy and Lyfgenia work by first harvesting the patient's HSCs, then using CRISPR gene editing to modify their DNA in the laboratory. In parallel with this, the person with sickle cell disease's bone marrow is put through a myeloablation procedure to destroy the remaining HSCs. The treated cells are then infused back into the patient, where they colonise the bone marrow and eventually resume production of blood cells. Casgevy works by editing the BCL11A gene, which normally inhibits the production of hemoglobin F (fetal hemoglobin) in adults. The edit has the effect of increasing the production of HbF, which is not prone to sickling.[135] Lyfgenia introduces a new gene for T87Q-globin, which coexists with the sickling beta-globin but reduces the incidence of sickling.[136]

Hematopoietic stem cell transplantation

Hematopoietic stem cell transplantation (HSCT) involves replacing the dysfunctional stem cells from a person with sickle cell disease with healthy cells from a well-matched donor.[137][126] Finding a well matched donor is essential to the process' success. Different types of donors may be suitable and include umbilical cord blood, human leukocyte antigen (HLA) matched relatives, or HLA matched donors that are not related to the person being treated.[137] Risks associated with HSCT can include graft-versus-host disease, failure of the graft, and other toxicity related to the transplant.[137]

Prognosis

Sickle cell disease is most prevalent in sub-saharan Africa.[18] In areas without healthcare infrastructure, it is estimated that between 50% and 90% of children born with the disease die before the age of 5 years.[138]

In contrast, life expectancy in the United States in 2010–2020 was 43 years[139] and in the UK 67 years.[12]

Epidemiology

The HbS gene can be found in every ethnic group.[140] The highest frequency of sickle cell disease is found in tropical regions, particularly sub-Saharan Africa, tribal regions of India, and the Middle East.[141] About 80% of sickle cell disease cases are believed to occur in Sub-Saharan Africa.[18] Migration of substantial populations from these high-prevalence areas to low-prevalence countries in Europe has dramatically increased in recent decades and in some European countries, sickle cell disease has now overtaken more familiar genetic conditions such as haemophilia and cystic fibrosis.[142] In 2015, it resulted in about 114,800 deaths.[143]

Sickle cell disease occurs more commonly among people whose ancestors lived in tropical and subtropical sub-Saharan regions where malaria is or was common. Where malaria is common, carrying a single sickle cell allele (trait) confers a heterozygote advantage; humans with one of the two alleles of sickle cell disease show less severe symptoms when infected with malaria.[144]

This condition is inherited in an autosomal recessive pattern, which means both copies of the gene in each cell have mutations. The parents each carry one copy of the mutated gene, but they typically do not show signs and symptoms of the condition.[22]

Africa

Three-quarters of sickle cell cases occur in Africa. A WHO report dated 2006 estimated that around 2% of newborns in Nigeria were affected by sickle cell anaemia, giving a total of 150,000 affected children born every year in Nigeria alone. The carrier frequency ranges between 10 and 40% across equatorial Africa, decreasing to 1–2% on the North African coast and <1% in South Africa. In the West African countries of Ghana and Nigeria, the frequencies can vary from 15 to 30%. In Nigeria, 24% of the population carries the gene, and 20 per 1,000 newborns are born with the disease, or 150,000 annually.[145]

Uganda has the fifth-highest sickle cell disease burden in Africa.[146] One study indicates that 20,000 babies per year, or 0.7% of the total, are born with sickle cell disease, and 13.3% carry the trait. In Uganda, carrier frequency of the trait varies strongly across tribal lines: among the Baamba, it reaches 45%.[147]

United States

The number of people with the disease in the United States is about 100,000 (one in 3,300), mostly affecting Americans of sub-Saharan African descent.[148] In the United States, about one out of 365 African-American children and one in every 16,300 Hispanic-American children have sickle cell anaemia.[149] The life expectancy for men with SCD is approximately 42 years of age while women live approximately six years longer.[150] An additional 2 million are carriers of the sickle cell trait.[151] Most infants with SCD born in the United States are identified by routine neonatal screening. As of 2016, all 50 states include screening for sickle cell disease as part of their newborn screening.[152] The newborn's blood is sampled through a heel-prick and is sent to a lab for testing. The baby must have been eating for a minimum of 24 hours before the heel-prick test can be done. Some states also require a second blood test to be done when the baby is two weeks old to ensure the results.[153]

Sickle cell anemia is the most common genetic disorder among African Americans. Approximately 8% are carriers and 1 in 375 are born with the disease.[154] Patient advocates for sickle cell disease have complained that it gets less government and private research funding than similar rare diseases such as cystic fibrosis, with researcher Elliott Vichinsky saying this shows racial discrimination or the role of wealth in health care advocacy.[155] Overall, without considering race, approximately 1.5% of infants born in the United States are carriers of at least one copy of the mutant (disease-causing) gene.[156]

France

Percentage of newborns screened for sickle cell disease within mainland France from 2006 to 2018

As a result of population growth in African-Caribbean regions of overseas France and immigration from North and sub-Saharan Africa to mainland France, sickle cell disease has become a major health problem in France.[157] SCD has become the most common genetic disease in the country, with an overall birth prevalence of one in 2,415 in mainland France, ahead of phenylketonuria (one in 10,862), congenital hypothyroidism (one in 3,132), congenital adrenal hyperplasia (one in 19,008) and cystic fibrosis (one in 5,014) for the same reference period.[158]

Percentage of newborns screened regionally and overall for sickle cell disease in mainland France and fraction of positive outcomes in all screened in 2018

Since 2000, neonatal screening of SCD has been performed at the national level for all newborns defined as being "at-risk" for SCD based on ethnic origin (defined as those born to parents originating from sub-Saharan Africa, North Africa, the Mediterranean area (South Italy, Greece, and Turkey), the Arabic peninsula, the French overseas islands, and the Indian subcontinent).[159] Since August 3, 2024, this screening is systematically applied to all newborns in France.[160]

United Kingdom

In the United Kingdom, between 12,000 and 15,000 people are thought to have sickle cell disease [161] with an estimated 250,000 carriers of the condition in England alone. As the number of carriers is only estimated, all newborn babies in the UK receive a routine blood test to screen for the condition.[162] Due to many adults in high-risk groups not knowing if they are carriers, pregnant women and both partners in a couple are offered screening so they can get counselling if they have the sickle cell trait.[163] In addition, blood donors from those in high-risk groups are also screened to confirm whether they are carriers and whether their blood filters properly.[164] Donors who are found to be carriers are informed and their blood, while often used for those of the same ethnic group, is not used for those with sickle cell disease who require a blood transfusion.[165]

West Asia

In Saudi Arabia, about 4.2% of the population carries the sickle cell trait, and 0.26% have sickle cell disease. The highest prevalence is in the Eastern province, where approximately 17% of the population carries the gene and 1.2% have sickle cell disease.[166] In 2005, Saudi Arabia introduced a mandatory premarital test including HB electrophoresis, which aimed to decrease the incidence of SCD and thalassemia.[167]

In Bahrain, a study published in 1998 that covered about 56,000 people in hospitals in Bahrain found that 2% of newborns have sickle cell disease, 18% of the surveyed people have the sickle cell trait, and 24% were carriers of the gene mutation causing the disease.[168] The country began screening of all pregnant women in 1992, and newborns started being tested if the mother was a carrier. In 2004, a law was passed requiring couples planning to marry to undergo free premarital counseling. These programs were accompanied by public education campaigns.[169]

India and Nepal

Sickle cell disease is common in some ethnic groups of central India,[170] where the prevalence has ranged from 9.4 to 22.2% in endemic areas of Madhya Pradesh, Rajasthan, and Chhattisgarh.[171] It is also endemic among Tharu people of Nepal and India; however, they have a sevenfold lower rate of malaria despite living in a malaria infested zone.[172]

Caribbean Islands

In Jamaica, 10% of the population carries the sickle cell gene, making it the most prevalent genetic disorder in the country.[173]

History

The first modern report of sickle cell disease may have been in 1846, where the autopsy of an executed runaway slave was discussed; the key finding was the absence of the spleen.[174][175] Reportedly, African slaves in the United States exhibited resistance to malaria, but were prone to leg ulcers.[175] The abnormal characteristics of the red blood cells, which later lent their name to the condition, was first described by Ernest E. Irons (1877–1959), intern to Chicago cardiologist and professor of medicine James B. Herrick (1861–1954), in 1910. Irons saw "peculiar elongated and sickle-shaped" cells in the blood of a man named Walter Clement Noel, a 20-year-old first-year dental student from Grenada. Noel had been admitted to the Chicago Presbyterian Hospital in December 1904 with anaemia.[20][176] Noel was readmitted several times over the next three years for "muscular rheumatism" and "bilious attacks" but completed his studies and returned to the capital of Grenada (St. George's) to practice dentistry. He died of pneumonia in 1916 and is buried in the Catholic cemetery at Sauteurs in the north of Grenada.[20][21] Shortly after the report by Herrick, another case appeared in the Virginia Medical Semi-Monthly with the same title, "Peculiar Elongated and Sickle-Shaped Red Blood Corpuscles in a Case of Severe Anemia."[177] This article is based on a patient admitted to the University of Virginia Hospital on 15 November 1910.[178] In the later description by Verne Mason in 1922, the name "sickle cell anemia" is first used.[21][179] Childhood problems related to sickle cells disease were not reported until the 1930s, despite the fact that this cannot have been uncommon in African-American populations.[175]

Memphis physician Lemuel Diggs, a prolific researcher into sickle cell disease, first introduced the distinction between sickle cell disease and trait in 1933, although until 1949, the genetic characteristics had not been elucidated by James V. Neel and E.A. Beet.[21] 1949 was the year when Linus Pauling described the unusual chemical behaviour of haemoglobin S, and attributed this to an abnormality in the molecule itself.[21][180] The molecular change in HbS was described in 1956 by Vernon Ingram.[181] The late 1940s and early 1950s saw further understanding in the link between malaria and sickle cell disease. In 1954, the introduction of haemoglobin electrophoresis allowed the discovery of particular subtypes, such as HbSC disease.[21]

Large-scale natural history studies and further intervention studies were introduced in the 1970s and 1980s, leading to widespread use of prophylaxis against pneumococcal infections among other interventions. Bill Cosby's Emmy-winning 1972 TV movie, To All My Friends on Shore, depicted the story of the parents of a child with sickle cell disease.[182] The 1990s had the development of hydroxycarbamide, and reports of cure through bone marrow transplantation appeared in 2007.[21]

Some old texts refer to it as drepanocytosis.[183]

Society and culture

United States

Sickle cell disease is frequently contested as a disability.[184] Effective 15 September 2017, the U.S. Social Security Administration issued a Policy Interpretation Ruling providing background information on sickle cell disease and a description of how Social Security evaluates the disease during its adjudication process for disability claims.[185][186]

In the US, there are stigmas surrounding SCD that discourage people with SCD from receiving necessary care. These stigmas mainly affect people of African American and Latin American ancestries, according to the National Heart, Lung, and Blood Institute.[2] People with SCD experience the impact of stigmas of the disease on multiple aspects of life, including social and psychological well-being. Studies have shown that those with SCD frequently feel as though they must keep their diagnosis a secret to avoid discrimination in the workplace and also among peers in relationships.[187] In the 1960s, the US government supported initiatives for workplace screening for genetic diseases in an attempt to be protective towards people with SCD. By having this screening, it was intended that employees would not be placed in environments that could potentially be harmful and trigger SCD.[188]

Uganda

Uganda has the 5th highest sickle cell disease (SCD) burden in the world.[189] In Uganda, social stigma exists for those with sickle cell disease because of the lack of general knowledge of the disease. The general gap in knowledge surrounding sickle cell disease is noted among adolescents and young adults due to the culturally sanctioned secrecy about the disease.[189] While most people have heard generally about the disease, a large portion of the population is relatively misinformed about how SCD is diagnosed or inherited. Those who are informed about the disease learned about it from family or friends and not from health professionals. Failure to provide the public with information about sickle cell disease results in a population with a poor understanding of the causes of the disease, symptoms, and prevention techniques.[146] The differences, physically and socially, that arise in those with sickle cell disease, such as jaundice, stunted physical growth, and delayed sexual maturity, can also lead them to become targets of bullying, rejection, and stigma.[189]

Rate of sickle cell disease in Uganda

The data compiled on sickle cell disease in Uganda has not been updated since the early 1970s. The deficiency of data is due to a lack of government research funds, even though Ugandans die daily from SCD.[190] Data shows that the trait frequency of sickle cell disease is 20% of the population in Uganda.[190] It is also estimated that about 25,000 Ugandans are born each year with SCD and 80% of those people do not live past five years old.[190] SCD also contributes 25% to the child mortality rate in Uganda.[190] The Bamba people of Uganda, located in the southwest of the country, carry 45% of the gene which is the highest trait frequency recorded in the world.[190] The Sickle Cell Clinic in Mulago is only one sickle cell disease clinic in the country and, on average, sees 200 patients a day.[190]

Misconceptions about sickle cell disease

The stigma around the disease is particularly bad in regions of the country that are not as affected. For example, Eastern Ugandans tend to be more knowledgeable of the disease than Western Ugandans, who are more likely to believe that sickle cell disease resulted as a punishment from God or witchcraft.[191] Other misconceptions about SCD include the belief that it is caused by environmental factors but, in reality, SCD is a genetic disease.[192] There have been efforts throughout Uganda to address the social misconceptions about the disease. In 2013, the Uganda Sickle Cell Rescue Foundation was established to spread awareness of sickle cell disease and combat the social stigma attached to the disease.[193] In addition to this organization's efforts, there is a need for the inclusion of sickle cell disease education in preexisting community health education programs in order to reduce the stigmatization of sickle cell disease in Uganda.[146]

Social isolation of people with sickle cell disease

The deeply rooted stigma of SCD in society causes families to often hide their family members' sick status for fear of being labeled, cursed, or left out of social events.[194] Sometimes in Uganda, when it is confirmed that a family member has sickle cell disease, intimate relationships with all members of the family are avoided.[194] The stigmatization and social isolation that people with sickle cell disease tend to experience are often the consequence of popular misconceptions that people with SCD should not socialize with those free from the disease. This mentality robs people with SCD of the right to freely participate in community activities like everyone else.[189] SCD-related stigma and social isolation in schools, especially, can make life for young people living with sickle cell disease challenging.[189] For school-aged children living with SCD, the stigma they face can lead to peer rejection.[189] Peer rejection involves the exclusion from social groups or gatherings. It often leads the excluded individual to experience emotional distress and may result in their academic underperformance, avoidance of school, and occupational failure later in life.[189] This social isolation is also likely to negatively impact people with SCD's self-esteem and overall quality of life.[189]

Mothers of children with sickle cell disease tend to receive disproportionate amounts of stigma from their peers and family members. These women will often be blamed for their child's diagnosis of SCD, especially if SCD is not present in earlier generations, due to the suspicion that the child's poor health may have been caused by the mother's failure to implement preventative health measures or promote a healthy environment for her child to thrive.[192] The reliance on theories related to environmental factors to place blame on the mother reflects many Ugandans’ poor knowledge of how the disease is acquired as it is determined by genetics, not environment.[192] Mothers of children with sickle cell disease are also often left with very limited resources to safeguard their futures against the stigma of having SCD.[192] This lack of access to resources results from their subordinating roles within familial structures as well as the class disparities that hinder many mothers' ability to satisfy additional childcare costs and responsibilities.[192]

Women living with SCD who become pregnant often face extreme discrimination and discouragement in Uganda. These women are frequently branded by their peers as irresponsible for having a baby while living with sickle cell disease or even engaging in sex while living with SCD.[195] The criticism and judgement these women receive, not only from healthcare professionals but also from their families, often leaves them feeling alone, depressed, anxious, ashamed, and with very little social support.[196] Most pregnant women with SCD also go on to be single mothers as it is common for them to be left by their male partners who claim they were unaware of their partner's SCD status.[197] Not only does the abandonment experienced by these women cause emotional distress for them, but this low level of parental support can be linked to depressive symptoms and overall lower quality of life for the child once they are born.[198]

United Kingdom

In 2021, many patients were found to be afraid to visit hospitals, so they purchased pain relief to treat themselves outside the NHS. They were often waiting a long time for pain relief, and sometimes suspected of "drug-seeking" behaviour. Delays to treatment, failure to inform the hospital haematology team, and poor pain management had caused deaths. Specialist haematology staff preferred to work in bigger, teaching hospitals, leading to shortages of expertise elsewhere.[199] In 2021, the NHS initiated its first new treatment in 20 years for Sickle Cell. This involved the use of Crizanlizumab, a drug given via transfusion drips, which reduces the number of visits to A&E by sufferers. The treatment can be accessed, via consultants, at any of ten new hubs set up around the country.[200] In the same year, however, an All-Party Parliamentary Group produced a report on Sickle Cell and Thalassaemia entitled 'No-one is listening'.[201] Partly in response to this, on 19 June 2022, World Sickle Cell Day, the NHS launched a campaign called "Can you tell it's sickle cell?". The campaign had twin aims. One aim was to increase awareness of the key signs and symptoms of the blood disorder so that people would be as alert to signs of a sickle cell crisis as they are to an imminent heart attack or stroke. The second aim was to establish a new training programme to help paramedics, Accident and Emergency staff, carers, and the general public to care effectively for sufferers in crisis.[202]

Media and arts representation of sickle cell disease

Popular media and art have been important educational tools about sickle cell disease.[203] Hertz Nazaire was a Haitian-American visual artist, writer, and advocate who lived with sickle cell disease and used his art to raise awareness, combat stigma, and champion better access to care.[204]

Representations of sickle cell disease in television shows include in the longrunning American medical drama ER (season 4 "Obstruction of Justice" and season 15 "Separation Anxiety" and "Dream Runner"), the 2024 British superhero series Supacell, in the 2024 period drama Lady in the Lake, and in the 2025 medical procedural drama The Pitt (episode "8:00 am"). Noah Wyle, who plays Dr. Michael "Robby" Robinavitch on The Pitt, has spoken about the importance of popular media representation of sickle cell and the impacts of racism on the quality of care patients receive.[205]

Sickle cell disease has also been featured in several movies including the 1973 Sydney Poitier classic, A Warm December, 1996 Nigerian drama Mortal Inheritance, Genie Award- winning 2008 Canadian drama Nurse.Fighter.Boy, the 2017 animated documentary Spilled Milk, the 2020 Nigerian drama Strain, the 2022 animated short The Park Bench,[206] and the 2023 American sci-fi action film Transformers: Rise of the Beasts.

References

  1. ^ a b c d e f "Sickle Cell Disease - Symptoms". National Heart, Lung, and Blood Institute. 20 August 2024. Retrieved 26 October 2024.
  2. ^ a b c d e f g h i "What Is Sickle Cell Disease?". National Heart, Lung, and Blood Institute. 30 September 2024. Retrieved 26 October 2024.
  3. ^ a b c "Sickle Cell Disease - Causes and Risk Factors". National Heart, Lung, and Blood Institute. 20 August 2024. Retrieved 26 October 2024.
  4. ^ Russo-Mancuso G, Romeo MA, Guardabasso V, Schilirò G (October 1998). "Survey of sickle cell disease in Italy". Haematologica. 83 (10): 875–881. PMID 9830795.
  5. ^ "Sickle Cell Disease". American Society of Hematology. Retrieved 26 May 2025.
  6. ^ a b c "Sickle Cell Disease - Diagnosis". National Heart, Lung, and Blood Institute. 9 September 2024. Retrieved 26 October 2024.
  7. ^ a b c "Sickle-cell disease and other haemoglobin disorders Fact sheet N°308". January 2011. Archived from the original on 9 March 2016. Retrieved 8 March 2016.
  8. ^ a b c d "Sickle Cell Disease - Treatment". National Heart, Lung, and Blood Institute. 30 September 2024. Retrieved 26 October 2024.
  9. ^ a b c Thomson AM, McHugh TA, Oron AP, Teply C, Lonberg N, Vilchis Tella V, et al. (August 2023). "Global, regional, and national prevalence and mortality burden of sickle cell disease, 2000-2021: a systematic analysis from the Global Burden of Disease Study 2021". The Lancet. Haematology. 10 (8): e585 – e599. doi:10.1016/S2352-3026(23)00118-7. ISSN 2352-3026. PMC 10390339. PMID 37331373.{{cite journal}}: CS1 maint: overridden setting (link)
  10. ^ a b Nelson MD, Bennett DM, Lehman ME, Okonji AI (5 December 2022). "Dizziness, Falls, and Hearing Loss in Adults Living With Sickle Cell Disease". American Journal of Audiology. 31 (4): 1178–1190. doi:10.1044/2022_AJA-22-00059. ISSN 1558-9137. PMID 36251873.
  11. ^ "Sickle Cell Anemia: Symptoms, What It Is, Causes & Treatment". Cleveland Clinic. Retrieved 8 May 2024.
  12. ^ a b "Sickle cell disease: What is the prognosis?". National Institute for Health and Care Excellence. July 2021. Retrieved 25 October 2024.
  13. ^ "Sickle Cell Disease - How Sickle Cell Disease May Affect Your Health". www.nhlbi.nih.gov. National Heart, Lung, and Blood Institute. 23 April 2024. Retrieved 25 July 2024.
  14. ^ a b "FDA Approves First Gene Therapies to Treat Patients with Sickle Cell Disease". U.S. Food and Drug Administration (FDA). 8 December 2023. Archived from the original on 8 December 2023. Retrieved 8 December 2023. Public Domain This article incorporates text from this source, which is in the public domain.
  15. ^ Wilkinson E (16 November 2023). "UK regulator approves "groundbreaking" gene treatment for sickle cell and β thalassaemia". BMJ. 383: 2706. doi:10.1136/bmj.p2706. ISSN 1756-1833. PMID 37973171. S2CID 265264939.
  16. ^ a b Singh A, Irfan H, Fatima E, Nazir Z, Verma A, Akilimali A (15 May 2024). "Revolutionary breakthrough: FDA approves CASGEVY, the first CRISPR/Cas9 gene therapy for sickle cell disease". Annals of Medicine and Surgery. 86 (8): 4555–4559. doi:10.1097/MS9.0000000000002146. PMC 11305803. PMID 39118728.
  17. ^ "Sickle cell disorders - Level 4 cause". Institute for Health Metrics and Evaluation. Retrieved 17 December 2024.
  18. ^ a b c d Rees DC, Williams TN, Gladwin MT (December 2010). "Sickle-cell disease". Lancet. 376 (9757): 2018–2031. doi:10.1016/s0140-6736(10)61029-x. PMID 21131035. S2CID 29909566.
  19. ^ Elzouki AY (2012). Textbook of clinical pediatrics (2 ed.). Berlin: Springer. p. 2950. ISBN 9783642022012.
  20. ^ a b c Savitt TL, Goldberg MF (January 1989). "Herrick's 1910 case report of sickle cell anemia. The rest of the story". The Journal of the American Medical Association. 261 (2): 266–271. doi:10.1001/jama.261.2.266. PMID 2642320.
  21. ^ a b c d e f g h i Serjeant GR (December 2010). "One hundred years of sickle cell disease". British Journal of Haematology. 151 (5): 425–429. doi:10.1111/j.1365-2141.2010.08419.x. PMID 20955412.
  22. ^ a b c "Sickle cell disease: MedlinePlus Genetics". National Library of Medicine. Retrieved 13 November 2024.
  23. ^ Yawn BP, Buchanan GR, Afenyi-Annan AN, Ballas SK, Hassell KL, James AH, et al. (September 2014). "Management of sickle cell disease: summary of the 2014 evidence-based report by expert panel members". The Journal of the American Medical Association. 312 (10): 1033–1048. doi:10.1001/jama.2014.10517. PMID 25203083. S2CID 37681044.
  24. ^ a b Gill FM, Sleeper LA, Weiner SJ, Brown AK, Bellevue R, Grover R, et al. (15 July 1995). "Clinical events in the first decade in a cohort of infants with sickle cell disease. Cooperative Study of Sickle Cell Disease [see comments]". Blood. 86 (2): 776–783. doi:10.1182/blood.v86.2.776.bloodjournal862776. ISSN 0006-4971.
  25. ^ "Sickle Cell Disease". Cleveland Clinic. 3 August 2023. Retrieved 25 October 2024.
  26. ^ Olujohungbe A, Burnett AL (March 2013). "How I manage priapism due to sickle cell disease". British Journal of Haematology. 160 (6): 754–765. doi:10.1111/bjh.12199. PMID 23293942.
  27. ^ "Sickle cell disease - Symptoms". nhs.uk. 23 October 2017. Retrieved 25 October 2024.
  28. ^ a b Shah P, Khaleel M, Thuptimdang W, Sunwoo J, Veluswamy S, Chalacheva P, et al. (1 January 2020). "Mental stress causes vasoconstriction in subjects with sickle cell disease and in normal controls". Haematologica. 105 (1): 83–90. doi:10.3324/haematol.2018.211391. ISSN 1592-8721. PMC 6939522. PMID 30975906.
  29. ^ a b Brousse V, Buffet P, Rees D (1 July 2014). "The spleen and sickle cell disease: the sick(led) spleen". British Journal of Haematology. 166 (2): 165–176. doi:10.1111/bjh.12950. ISSN 1365-2141. PMID 24862308. S2CID 40448991.
  30. ^ "Splenic Sequestration Crisis | Texas DSHS". www.dshs.texas.gov. Retrieved 28 October 2024.
  31. ^ a b Kane I, Kumar A, Atalla E, Nagalli S (5 June 2023), "Splenic Sequestration Crisis", StatPearls, Treasure Island (FL): StatPearls Publishing, PMID 31985957, retrieved 28 October 2024
  32. ^ "Blood Transfusions for Sickle Cell Disease | HealthLink BC". www.healthlinkbc.ca. Retrieved 8 May 2024.
  33. ^ Paul RN, Castro OL, Aggarwal A, Oneal PA (September 2011). "Acute chest syndrome: sickle cell disease". European Journal of Haematology. 87 (3): 191–207. doi:10.1111/j.1600-0609.2011.01647.x. PMID 21615795. S2CID 40320701.
  34. ^ Friend A, Settelmeyer TP, Girzadas D (25 November 2023), "Acute Chest Syndrome", StatPearls, Treasure Island (FL): StatPearls Publishing, PMID 28722902, retrieved 27 October 2024
  35. ^ Kumar V, Abbas AK, Fausto N, Aster J (28 May 2009). Robbins and Cotran Pathologic Basis of Disease (Professional Edition: Expert Consult – Online (Robbins Pathology) ed.). Elsevier Health. pp. Kindle Location 33329.
  36. ^ "Parvovirus B19". Centers for Disease Control and Prevention. 24 August 2023. Retrieved 8 May 2024.
  37. ^ Slavov SN, Kashima S, Pinto AC, Covas DT (August 2011). "Human parvovirus B19: general considerations and impact on patients with sickle-cell disease and thalassemia and on blood transfusions". FEMS Immunology and Medical Microbiology. 62 (3): 247–262. doi:10.1111/j.1574-695X.2011.00819.x. PMID 21585562.
  38. ^ a b "Complications of Sickle Cell Disease". Centers for Disease Control and Prevention. 22 May 2024. Retrieved 29 October 2024.
  39. ^ Kavanagh PL, Sprinz PG, Vinci SR, Bauchner H, Wang CJ (December 2011). "Management of children with sickle cell disease: a comprehensive review of the literature". Pediatrics. 128 (6): e1552 – e1574. doi:10.1542/peds.2010-3686. PMID 22123880. S2CID 14524078. Archived from the original on 4 March 2016.
  40. ^ Adams RJ, Ohene-Frempong K, Wang W (2001). "Sickle cell and the brain". Hematology. American Society of Hematology. Education Program. 2001 (1): 31–46. doi:10.1182/asheducation-2001.1.31. PMID 11722977.
  41. ^ Adams RJ (November 2007). "Big strokes in small persons". Archives of Neurology. 64 (11): 1567–1574. doi:10.1001/archneur.64.11.1567. PMID 17998439.
  42. ^ "Cholelithiasis". The Lecturio Medical Concept Library. Retrieved 25 August 2021.
  43. ^ a b c Martí-Carvajal AJ, Solà I, Agreda-Pérez LH (December 2019). "Treatment for avascular necrosis of bone in people with sickle cell disease". The Cochrane Database of Systematic Reviews. 2019 (12): CD004344. doi:10.1002/14651858.CD004344.pub7. PMC 6894369. PMID 31803937.
  44. ^ Chrouser KL, Ajiboye OB, Oyetunji TA, Chang DC (April 2011). "Priapism in the United States: the changing role of sickle cell disease". American Journal of Surgery. 201 (4): 468–474. doi:10.1016/j.amjsurg.2010.03.017. PMID 21421100.
  45. ^ Powars DR, Elliott-Mills DD, Chan L, Niland J, Hiti AL, Opas LM, et al. (October 1991). "Chronic renal failure in sickle cell disease: risk factors, clinical course, and mortality". Annals of Internal Medicine. 115 (8): 614–620. doi:10.7326/0003-4819-115-8-614. PMID 1892333.
  46. ^ Saborio P, Scheinman JI (January 1999). "Sickle Cell Nephropathy". Journal of the American Society of Nephrology. 10 (1): 187–192. doi:10.1681/ASN.V101187. ISSN 1046-6673. PMID 9890326.
  47. ^ Minniti CP, Eckman J, Sebastiani P, Steinberg MH, Ballas SK (October 2010). "Leg ulcers in sickle cell disease". American Journal of Hematology. 85 (10): 831–833. doi:10.1002/ajh.21838. ISSN 0361-8609. PMC 2953786. PMID 20872960.
  48. ^ Elagouz M, Jyothi S, Gupta B, Sivaprasad S (July 2010). "Sickle cell disease and the eye: old and new concepts". Survey of Ophthalmology. 55 (4): 359–377. doi:10.1016/j.survophthal.2009.11.004. PMID 20452638.
  49. ^ Smith WR, Penberthy LT, Bovbjerg VE, McClish DK, Roberts JD, Dahman B, et al. (January 2008). "Daily assessment of pain in adults with sickle cell disease". Annals of Internal Medicine. 148 (2): 94–101. CiteSeerX 10.1.1.690.5870. doi:10.7326/0003-4819-148-2-200801150-00004. PMID 18195334. S2CID 34924760.
  50. ^ Lai YC, Potoka KC, Champion HC, Mora AL, Gladwin MT (June 2014). "Pulmonary arterial hypertension: the clinical syndrome". Circulation Research. 115 (1): 115–130. doi:10.1161/CIRCRESAHA.115.301146. PMC 4096686. PMID 24951762.
  51. ^ Caughey MC, Poole C, Ataga KI, Hinderliter AL (August 2015). "Estimated pulmonary artery systolic pressure and sickle cell disease: a meta-analysis and systematic review". British Journal of Haematology. 170 (3): 416–424. doi:10.1111/bjh.13447. PMID 25854714. S2CID 23920740.
  52. ^ Niss O, Quinn CT, Lane A, Daily J, Khoury PR, Bakeer N, et al. (March 2016). "Cardiomyopathy With Restrictive Physiology in Sickle Cell Disease". JACC. Cardiovascular Imaging. 9 (3): 243–252. doi:10.1016/j.jcmg.2015.05.013. PMC 4788530. PMID 26897687.
  53. ^ Niss O, Fleck R, Makue F, Alsaied T, Desai P, Towbin JA, et al. (July 2017). "Association between diffuse myocardial fibrosis and diastolic dysfunction in sickle cell anemia". Blood. 130 (2): 205–213. doi:10.1182/blood-2017-02-767624. PMC 5510791. PMID 28507082.
  54. ^ Rai P, Niss O, Malik P (November 2017). "A reappraisal of the mechanisms underlying the cardiac complications of sickle cell anemia". Pediatric Blood & Cancer. 64 (11): e26607. doi:10.1002/pbc.26607. PMID 28453224. S2CID 24444332.
  55. ^ Farid Y, Lecat P (2019), "Biochemistry, Hemoglobin Synthesis", StatPearls, StatPearls Publishing, PMID 30725597, retrieved 10 April 2019
  56. ^ Sankaran VG, Orkin SH (January 2013). "The switch from fetal to adult hemoglobin". Cold Spring Harbor Perspectives in Medicine. 3 (1): a011643. doi:10.1101/cshperspect.a011643. PMC 3530042. PMID 23209159.
  57. ^ a b "Hemoglobinopathies". Brigham and Women's Hospital. April 2002. Retrieved 7 November 2024.
  58. ^ "Inheritance of Sickle Cell Anaemia". Sickle Cell Society. Archived from the original on 8 January 2024. Retrieved 8 January 2024.
  59. ^ "Sickle Cell Disease". NORD (National Organization for Rare Disorders). Retrieved 10 June 2019.
  60. ^ "Inheritance Patterns for Single Gene Disorders". learn.genetics.utah.edu. Archived from the original on 1 July 2019. Retrieved 1 July 2019.
  61. ^ "Sickle cell disease - Causes". National Health Service. 23 October 2017. Retrieved 7 November 2024.
  62. ^ "Sickle-Cell Anemia: Haplotype | Learn Science at Scitable". www.nature.com. Retrieved 12 October 2023.
  63. ^ Green NS, Fabry ME, Kaptue-Noche L, Nagel RL (October 1993). "Senegal haplotype is associated with higher HbF than Benin and Cameroon haplotypes in African children with sickle cell anemia". American Journal of Hematology. 44 (2): 145–146. doi:10.1002/ajh.2830440214. PMID 7505527. S2CID 27341091.
  64. ^ a b Inusa BP, Hsu LL, Kohli N, Patel A, Ominu-Evbota K, Anie KA, et al. (June 2019). "Sickle Cell Disease—Genetics, Pathophysiology, Clinical Presentation and Treatment". International Journal of Neonatal Screening. 5 (2): 20. doi:10.3390/ijns5020020. ISSN 2409-515X. PMC 7510211. PMID 33072979.
  65. ^ Odièvre MH, Verger E, Silva-Pinto AC, Elion J (October 2011). "Pathophysiological insights in sickle cell disease". The Indian Journal of Medical Research. 134 (1): 532–537. doi:10.1007/bf00168807. PMC 3237253. PMID 22089617.
  66. ^ "Sickle Cell Disease (SCD): What Is Sickle Cell Trait?". Centers for Disease Control and Prevention. 22 May 2024. Retrieved 7 November 2024.
  67. ^ Pitone ML (July 2023). "What's the Connection Between Sickle Cell Trait and Malaria? (for Teens)". kidshealth.org. Retrieved 31 October 2024.
  68. ^ Morales-Brown L (9 February 2024). "What is the connection between sickle cell anemia and malaria?". www.medicalnewstoday.com. Retrieved 31 October 2024.
  69. ^ Uyoga S, Olupot-Olupot P, Connon R, Kiguli S, Opoka RO, Alaroker F, et al. (September 2022). "Sickle cell anaemia and severe Plasmodium falciparum malaria: a secondary analysis of the Transfusion and Treatment of African Children Trial (TRACT)". The Lancet Child & Adolescent Health. 6 (9): 606–613. doi:10.1016/s2352-4642(22)00153-5. ISSN 2352-4642. PMC 7613576. PMID 35785794.
  70. ^ Luzzatto L (3 October 2012). "Sickle Cell Anaemia and Malaria". Mediterranean Journal of Hematology and Infectious Diseases. 4 (1): e2012065. doi:10.4084/mjhid.2012.065. ISSN 2035-3006. PMC 3499995. PMID 23170194.
  71. ^ "5.21: Natural Selection". Biology LibreTexts. 23 September 2016. Retrieved 31 October 2024.
  72. ^ Kwiatkowski DP (August 2005). "How malaria has affected the human genome and what human genetics can teach us about malaria". American Journal of Human Genetics. 77 (2): 171–192. doi:10.1086/432519. PMC 1224522. PMID 16001361.
  73. ^ Ponçon N, Toty C, L'Ambert G, Le Goff G, Brengues C, Schaffner F, et al. (February 2007). "Biology and dynamics of potential malaria vectors in Southern France". Malaria Journal. 6 (1) 18. doi:10.1186/1475-2875-6-18. PMC 1808464. PMID 17313664.
  74. ^ Arif SH (19 March 2008). "Sickle cell disease and malaria". Indian Journal of Hematology & Blood Transfusion. 23 (3–4): 70–72. doi:10.1007/s12288-008-0001-3. PMC 3453113. PMID 23100918.
  75. ^ Cao H, Antonopoulos A, Henderson S, Wassall H, Brewin J, Masson A, et al. (19 March 2021). "Red blood cell mannoses as phagocytic ligands mediating both sickle cell anaemia and malaria resistance". Nature Communications. 12 (1): 1792. Bibcode:2021NatCo..12.1792C. doi:10.1038/s41467-021-21814-z. ISSN 2041-1723. PMC 7979802. PMID 33741926.
  76. ^ Padilla F, Bromberg PA, Jensen WN (1 May 1973). "The Sickle-Unsickle Cycle: A Cause of Cell Fragmentation Leading to Permanently Deformed Cells". Blood. 41 (5): 653–660. doi:10.1182/blood.V41.5.653.653. ISSN 0006-4971. PMID 4694082.
  77. ^ a b c Maakaron JE (25 September 2024). "Sickle Cell Disease (SCD): Overview". Medscape.
  78. ^ "How Does Sickle Cell Cause Disease?". Archived from the original on 23 September 2010. Retrieved 27 November 2010.
  79. ^ "Facts About Blood and Blood Cells". Memorial Sloan Kettering Cancer Center. 17 December 2021. Retrieved 11 November 2024.
  80. ^ Gbotosho OT, Kapetanaki MG, Kato GJ (27 January 2021). "The Worst Things in Life are Free: The Role of Free Heme in Sickle Cell Disease". Frontiers in Immunology. 11. doi:10.3389/fimmu.2020.561917. ISSN 1664-3224. PMC 7873693. PMID 33584641.
  81. ^ Sundd P, Gladwin MT, Novelli EM (24 January 2019). "Pathophysiology of Sickle Cell Disease". Annual Review of Pathology: Mechanisms of Disease. 14 (1): 263–292. doi:10.1146/annurev-pathmechdis-012418-012838. ISSN 1553-4006. PMC 7053558. PMID 30332562.
  82. ^ Colah, R. B., Gorakshakar, A. C., & Nadkarni, A. H. (2011). Invasive & non-invasive approaches for prenatal diagnosis of haemoglobinopathies: experiences from India. The Indian Journal of Medical Research, 134(4), 552–560.
  83. ^ "Newborn blood spot test". National Health Service. 5 September 2024. Retrieved 20 November 2024.
  84. ^ a b c d Arishi WA, Alhadrami HA, Zourob M (5 May 2021). "Techniques for the Detection of Sickle Cell Disease: A Review". Micromachines. 12 (5): 519. doi:10.3390/mi12050519. PMC 8148117. PMID 34063111.
  85. ^ Mendez-Marti SR, Zik C, Alan S, Wang H, Ershler WB (June 2024). "Sickle Cell Screening in Adults: A Current Review of Point-of-Care Testing". Journal of Hematology. 13 (3): 53–60. doi:10.14740/jh1272. ISSN 1927-1212. PMC 11236353. PMID 38993742.
  86. ^ "Hemoglobin Electrophoresis: MedlinePlus Medical Test". medlineplus.gov. Retrieved 20 November 2024.
  87. ^ Garfin DE (1990), Deutscher MP (ed.), "[35] Isoelectric focusing", Methods in Enzymology, Guide to Protein Purification, 182, Academic Press: 459–477, doi:10.1016/0076-6879(90)82037-3, ISBN 978-0-12-182083-1, PMID 2314254, retrieved 20 November 2024
  88. ^ Petrou M (2013), "GENETIC COUNSELLING", Prevention of Thalassaemias and Other Haemoglobin Disorders: Volume 1: Principles [Internet]. 2nd edition, Thalassaemia International Federation, retrieved 22 November 2024
  89. ^ "National Society of Genetic Counselors: About Genetic Counselors". www.nsgc.org. Retrieved 24 February 2021.
  90. ^ "Sickle cell disease - Carriers". nhs.uk. 23 October 2017. Retrieved 22 November 2024.
  91. ^ "Prevention and Treatment of SCD Complications". Centers for Disease Control and Prevention. 3 October 2024. Retrieved 28 November 2024.
  92. ^ a b "Living with Sickle cell disease". National Health Service. 30 November 2022. Retrieved 28 November 2024.
  93. ^ "Sickle cell disease: Scenario: Prevention of complications". National Institute for Health and Care Excellence. July 2021. Retrieved 28 November 2024.
  94. ^ "Penicillin in Sickle Cell Disease: Quick Facts For Parents". Mississippi State Department of Health. Retrieved 29 November 2024.
  95. ^ Dixit R, Nettem S, Madan SS, Soe HH, Abas AB, Vance LD, et al. (March 2018). "Folate supplementation in people with sickle cell disease". The Cochrane Database of Systematic Reviews. 3 (4): CD011130. doi:10.1002/14651858.CD011130.pub3. PMC 5440187. PMID 29546732.
  96. ^ "Sickle-cell disease and other haemoglobin disorders Fact sheet N°308". January 2011. Archived from the original on 9 March 2016. Retrieved 8 March 2016.
  97. ^ Department of Clinical Illustration, New Cross Hospital, Wolverhampton (8 July 2024). "Vaccination advice for people with Sickle Cell Disorders" (PDF). The Royal Wolverhampton NHS Trust. Retrieved 3 December 2024.{{cite web}}: CS1 maint: multiple names: authors list (link)
  98. ^ Obeagu EI, Obeagu GU (20 September 2024). "Immunization strategies for individuals with sickle cell anemia: A narrative review". Medicine. 103 (38): e39756. doi:10.1097/MD.0000000000039756. PMC 11419550. PMID 39312357.
  99. ^ Steinberg MH, Barton F, Castro O, Pegelow CH, Ballas SK, Kutlar A, et al. (April 2003). "Effect of hydroxyurea on mortality and morbidity in adult sickle cell anemia: risks and benefits up to 9 years of treatment". The Journal of the American Medical Association. 289 (13): 1645–1651. doi:10.1001/jama.289.13.1645. PMID 12672732.
  100. ^ Charache S, Terrin ML, Moore RD, Dover GJ, Barton FB, Eckert SV, et al. (May 1995). "Effect of hydroxyurea on the frequency of painful crises in sickle cell anemia. Investigators of the Multicenter Study of Hydroxyurea in Sickle Cell Anemia". The New England Journal of Medicine. 332 (20): 1317–1322. doi:10.1056/NEJM199505183322001. PMID 7715639.
  101. ^ McGann P, Ware R (14 September 2015). "Hydroxyurea therapy for sickle cell anemia". Expert Opinion in Drug Safety. 14 (11): 1749–1758. doi:10.1517/14740338.2015.1088827. PMC 5868345. PMID 26366626.
  102. ^ Yawn BP, Buchanan GR, Afenyi-Annan AN, Ballas SK, Hassell KL, James AH, et al. (September 2014). "Management of sickle cell disease: summary of the 2014 evidence-based report by expert panel members". The Journal of the American Medical Association. 312 (10): 1033–1048. doi:10.1001/jama.2014.10517. PMID 25203083. S2CID 37681044.
  103. ^ Platt OS (March 2008). "Hydroxyurea for the treatment of sickle cell anemia". The New England Journal of Medicine. 358 (13): 1362–1369. doi:10.1056/NEJMct0708272. PMID 18367739. S2CID 351061.
  104. ^ Rankine-Mullings AE, Nevitt SJ (September 2022). "Hydroxyurea (hydroxycarbamide) for sickle cell disease". The Cochrane Database of Systematic Reviews. 2022 (10): CD002202. doi:10.1002/14651858.CD002202.pub3. PMC 9435593. PMID 36047926.
  105. ^ "New treatment for sickle cell disease". European Medicines Agency (RMA) (Press release). 17 December 2021. Retrieved 18 December 2021.
  106. ^ Vichinsky E, Hoppe CC, Ataga KI, Ware RE, Nduba V, El-Beshlawy A, et al. (August 2019). "A Phase 3 Randomized Trial of Voxelotor in Sickle Cell Disease". The New England Journal of Medicine. 381 (6): 509–519. doi:10.1056/NEJMoa1903212. PMID 31199090.
  107. ^ Center for Drug Evaluation and Research (25 November 2019). "FDA approves voxelotor for sickle cell disease". FDA. Archived from the original on 15 December 2019. Retrieved 9 December 2019.
  108. ^ "EMA recommends suspension of sickle cell disease medicine Oxbryta | European Medicines Agency (EMA)". www.ema.europa.eu. 26 September 2024. Retrieved 11 October 2024.
  109. ^ Research Cf (26 September 2024). "FDA is alerting patients and health care professionals about the voluntary withdrawal of Oxbryta from the market due to safety concerns". FDA. Archived from the original on 26 September 2024.
  110. ^ "Simple blood transfusion - Overview". Guy's and St Thomas' NHS Foundation Trust. Retrieved 1 December 2024.
  111. ^ Han H, Hensch L, Tubman VN (10 December 2021). "Indications for transfusion in the management of sickle cell disease". Hematology. 2021 (1): 696–703. doi:10.1182/hematology.2021000307. ISSN 1520-4391. PMC 8791131. PMID 34889416.
  112. ^ "Exchange blood transfusion - Overview". Guy's and St Thomas' NHS Foundation Trust. Retrieved 1 December 2024.
  113. ^ Adams RJ, McKie VC, Hsu L, Files B, Vichinsky E, Pegelow C, et al. (July 1998). "Prevention of a first stroke by transfusions in children with sickle cell anemia and abnormal results on transcranial Doppler ultrasonography". The New England Journal of Medicine. 339 (1): 5–11. doi:10.1056/NEJM199807023390102. PMID 9647873.
  114. ^ Gyang E, Yeom K, Hoppe C, Partap S, Jeng M (January 2011). "Effect of chronic red cell transfusion therapy on vasculopathies and silent infarcts in patients with sickle cell disease". American Journal of Hematology. 86 (1): 104–106. doi:10.1002/ajh.21901. PMID 21117059.
  115. ^ Mirre E, Brousse V, Berteloot L, Lambot-Juhan K, Verlhac S, Boulat C, et al. (March 2010). "Feasibility and efficacy of chronic transfusion for stroke prevention in children with sickle cell disease". European Journal of Haematology. 84 (3): 259–265. doi:10.1111/j.1600-0609.2009.01379.x. PMID 19912310. S2CID 24316310.
  116. ^ a b "Complications of Sickle Cell Disease". Centers for Disease Control and Prevention. 22 May 2024. Retrieved 5 December 2024.
  117. ^ "Sickle Cell Disease (SCD) Clinical Presentation: History, Physical Examination". emedicine.medscape.com. Retrieved 5 December 2024.
  118. ^ "Sickle cell disease - Treatment". National Health Service. 23 October 2017. Retrieved 5 December 2024.
  119. ^ "Scenario: Management - sickle cell crisis". National Institute for Health and Care Excellence. July 2021. Retrieved 5 December 2024.
  120. ^ "FDA approves crizanlizumab-tmca for sickle cell disease". U.S. Food and Drug Administration. 15 November 2019. Archived from the original on 15 December 2019. Retrieved 12 December 2023.
  121. ^ "Adakveo - referral | European Medicines Agency (EMA)". www.ema.europa.eu. 26 May 2023. Retrieved 5 December 2024.
  122. ^ "Crizanlizumab - end of NHS supply » Sickle Cell Society". Sickle Cell Society. 1 February 2024. Retrieved 5 December 2024.
  123. ^ Friend A, Settelmeyer TP, Girzadas D (2024), "Acute Chest Syndrome", StatPearls, Treasure Island (FL): StatPearls Publishing, PMID 28722902, retrieved 6 December 2024
  124. ^ Anie KA, Green J (May 2015). "Psychological therapies for sickle cell disease and pain". The Cochrane Database of Systematic Reviews. 2015 (5): CD001916. doi:10.1002/14651858.CD001916.pub3. PMC 7063720. PMID 25966336.
  125. ^ "Hematopoiesis". Cleveland Clinic. 12 December 2022. Retrieved 6 December 2024.
  126. ^ a b Walters MC, Patience M, Leisenring W, Eckman JR, Scott JP, Mentzer WC, et al. (August 1996). "Bone marrow transplantation for sickle cell disease". The New England Journal of Medicine. 335 (6): 369–376. doi:10.1056/NEJM199608083350601. PMID 8663884. S2CID 25256772.
  127. ^ Olson TS, Walters MC (1 October 2023). "Allogeneic haematopoietic stem-cell transplantation versus gene therapy for haemoglobinopathies". The Lancet Haematology. 10 (10): e798 – e800. doi:10.1016/S2352-3026(23)00246-6. ISSN 2352-3026. PMID 37793770.
  128. ^ "Stem cell transplant - What happens". nhs.uk. 23 October 2017. Retrieved 7 December 2024.
  129. ^ "MHRA authorises world-first gene therapy that aims to cure sickle-cell disease and transfusion-dependent β-thalassemia". GOV.UK. Retrieved 7 December 2024.
  130. ^ Ribeil JA, Hacein-Bey-Abina S, Payen E, Magnani A, Semeraro M, Magrin E, et al. (2 March 2017). "Gene Therapy in a Patient with Sickle Cell Disease". New England Journal of Medicine. 376 (9): 848–855. doi:10.1056/NEJMoa1609677. ISSN 0028-4793. PMID 28249145.
  131. ^ Kaiser J (5 December 2020). "CRISPR and another genetic strategy fix cell defects in two common blood disorders". ScienceMag.org. Science. Retrieved 7 December 2020. ... teams report that two strategies for directly fixing malfunctioning blood cells have dramatically improved the health of a handful of people with these genetic diseases.
  132. ^ "MHRA authorises world-first gene therapy that aims to cure sickle-cell disease and transfusion-dependent β-thalassemia". Medicines and Healthcare products Regulatory Agency (MHRA) (Press release). 16 November 2023. Archived from the original on 25 November 2023. Retrieved 8 December 2023.
  133. ^ Kolata G, Holston K (21 October 2024). "Life Without Sickle Cell Beckons Boy Who Completed Gene Therapy". The New York Times.
  134. ^ "NHS to offer 'groundbreaking' sickle cell gene therapy". BBC News. 31 January 2025. Retrieved 31 January 2025.
  135. ^ "How does Casgevy work?". Vertex Pharmaceuticals Incorporated. 7 December 2024. Retrieved 7 December 2024.
  136. ^ Kanter J. "New Weapons Against A Deadly Disease: Cutting-Edge Gene Therapy Could Deliver Breakthrough For Sickle Cell Disease - Medicine Magazine". The University of Alabama at Birmingham. Retrieved 7 December 2024.
  137. ^ a b c Rotin LE, Viswabandya A, Kumar R, Patriquin CJ, Kuo KH (31 December 2023). "A systematic review comparing allogeneic hematopoietic stem cell transplant to gene therapy in sickle cell disease". Hematology. 28 (1). doi:10.1080/16078454.2022.2163357. ISSN 1607-8454. PMID 36728286.
  138. ^ Grosse SD, Odame I, Atrash HK, Amendah DD, Piel FB, Williams TN (1 December 2011). "Sickle Cell Disease in Africa: A Neglected Cause of Early Childhood Mortality". American Journal of Preventive Medicine. 41 (6): S398 – S405. doi:10.1016/j.amepre.2011.09.013. ISSN 0749-3797. PMC 3708126. PMID 22099364.
  139. ^ Karkoska K, McGann PT (2 November 2023). "Changing Trends in Sickle Cell Disease-Related Mortality in the United States over Four Decades". Blood. 142 (Supplement 1): 925. doi:10.1182/blood-2023-177988. ISSN 0006-4971.
  140. ^ National Academies of Sciences, Engineering, and Medicine, Health and Medicine Division, Board on Population Health and Public Health Practice, Committee on Addressing Sickle Cell Disease (2020). Addressing Sickle Cell Disease: A Strategic Plan and Blueprint for Action. Washington: National Academies Press. p. 1. ISBN 978-0-309-66960-3.
  141. ^ Weatherall DJ, Clegg JB (2001). "Inherited haemoglobin disorders: an increasing global health problem". Bulletin of the World Health Organization. 79 (8): 704–712. PMC 2566499. PMID 11545326.
  142. ^ Roberts I, de Montalembert M (July 2007). "Sickle cell disease as a paradigm of immigration hematology: new challenges for hematologists in Europe". Haematologica. 92 (7): 865–871. doi:10.3324/haematol.11474. PMID 17606434.
  143. ^ Wang H, Naghavi M, Allen C, Barber RM, Bhutta ZA, Carter A, et al. (GBD 2015 Mortality and Causes of Death Collaborators) (October 2016). "Global, regional, and national life expectancy, all-cause mortality, and cause-specific mortality for 249 causes of death, 1980–2015: a systematic analysis for the Global Burden of Disease Study 2015". Lancet. 388 (10053): 1459–1544. doi:10.1016/S0140-6736(16)31012-1. PMC 5388903. PMID 27733281.
  144. ^ Wellems TE, Hayton K, Fairhurst RM (September 2009). "The impact of malaria parasitism: from corpuscles to communities". The Journal of Clinical Investigation. 119 (9): 2496–2505. doi:10.1172/JCI38307. PMC 2735907. PMID 19729847.
  145. ^ WHO. "Sickle-cell anaemia – Report by the Secretariat" (PDF). Archived from the original (PDF) on 4 January 2011. Retrieved 27 November 2010.
  146. ^ a b c Tusuubira SK, Nakayinga R, Mwambi B, Odda J, Kiconco S, Komuhangi A (April 2018). "Knowledge, perception and practices towards sickle cell disease: a community survey among adults in Lubaga division, Kampala Uganda". BMC Public Health. 18 (1) 561. doi:10.1186/s12889-018-5496-4. PMC 5924488. PMID 29703184.
  147. ^ Ndeezi G, Kiyaga C, Hernandez AG, Munube D, Howard TA, Ssewanyana I, et al. (March 2016). "Burden of sickle cell trait and disease in the Uganda Sickle Surveillance Study (US3): a cross-sectional study". The Lancet. Global Health. 4 (3): e195 – e200. doi:10.1016/S2214-109X(15)00288-0. PMID 26833239.
  148. ^ National Heart, Lung and Blood Institute. "Sickle cell anemia, key points". Archived from the original on 2 December 2010. Retrieved 27 November 2010.
  149. ^ "Data & Statistics on Sickle Cell Disease". Centers for Disease Control and Prevention. 31 August 2016. Retrieved 13 December 2019.
  150. ^ "September is Sickle Cell Awareness Month". Centers for Disease Control and Prevention. Archived from the original on 27 September 2010. Retrieved 6 February 2011.
  151. ^ "Sickle Cell Trait". American Society of Hematology. 8 September 2017. Retrieved 13 December 2019.
  152. ^ "Disorder Name: Sickle Cell Disease". New Born Screening. Archived from the original on 28 September 2016. Retrieved 11 October 2016.
  153. ^ "default – Stanford Children's Health". www.stanfordchildrens.org. Retrieved 14 March 2020.
  154. ^ Edwards QT, Seibert D, Macri C, Covington C, Tilghman J (November 2004). "Assessing ethnicity in preconception counseling: genetics—what nurse practitioners need to know". Journal of the American Academy of Nurse Practitioners. 16 (11): 472–480. doi:10.1111/j.1745-7599.2004.tb00426.x. PMID 15617360. S2CID 7644129.
  155. ^ "Sickle Cell Patients Endure Discrimination, Poor Care And Shortened Lives". NPR. 4 November 2017. Retrieved 12 November 2017.
  156. ^ Vlachadis N, Vrachnis N (15 November 2022). "A Review of Sickle Cell Disease". JAMA. 328 (19): 1979. doi:10.1001/jama.2022.16732. ISSN 0098-7484. PMID 36378213.
  157. ^ Bardakdjian J, Wajcman H (September 2004). "[Epidemiology of sickle cell anemia]". La Revue du Praticien (in French). 54 (14): 1531–1533. PMID 15558961.
  158. ^ Beillat M, Durand-Zaleski I, Pirenne F, Bénard S, Chillotti L, Galacteros F (21 September 2023). "Prevalence and cost of sickle cell disease in France: real-world analysis using data from the Echantillon Généraliste des Bénéficiaires". Frontiers in Public Health. 11: 1215605. Bibcode:2023FrPH...1115605B. doi:10.3389/fpubh.2023.1215605. PMC 10552641. PMID 37808997.
  159. ^ Thuret I, Sarles J, Merono F, Suzineau E, Collomb J, Lena-Russo D, et al. (June 2010). "Neonatal screening for sickle cell disease in France: evaluation of the selective process". Journal of Clinical Pathology. 63 (6): 548–551. doi:10.1136/jcp.2009.068874. PMID 20498028. S2CID 22391674.
  160. ^ "Drépanocytose : le dépistage de la maladie pour les nouveau-nés à partir du 1er novembre" [Sickle cell disease: screening for newborns starting November 1st]. www.service-public.fr (in French). 30 October 2024.
  161. ^ "Inheriting sickle cell anaemia – Live Well – NHS Choices". www.nhs.uk. 23 October 2017. Archived from the original on 2 December 2014.
  162. ^ "Sickle cell anaemia – NHS Choices". www.nhs.uk. 23 October 2017. Archived from the original on 13 December 2011.
  163. ^ "Who is offered screening and when?". screening.nhs.uk. Archived from the original on 31 December 2014.
  164. ^ "Give Blood – Resources – Sickle Cell and Blood Donation". Give Blood. Archived from the original on 31 December 2014.
  165. ^ "Why is Blood from Afro-Caribbean Donors Special?". sicklecellsociety.org. Archived from the original on 30 December 2014.
  166. ^ Jastaniah W (2011). "Epidemiology of sickle cell disease in Saudi Arabia". Annals of Saudi Medicine. 31 (3): 289–293. doi:10.4103/0256-4947.81540. PMC 3119971. PMID 21623060.
  167. ^ Memish ZA, Saeedi MY (2011). "Six-year outcome of the national premarital screening and genetic counseling program for sickle cell disease and β-thalassemia in Saudi Arabia". Annals of Saudi Medicine. 31 (3): 229–235. doi:10.4103/0256-4947.81527. PMC 3119961. PMID 21623050.
  168. ^ Al Arrayed S (1995). "Features of sickle-cell disease in Bahrain". Eastern Mediterranean Health Journal. 1 (1). Archived from the original on 8 October 2016.
  169. ^ Al Arrayed S, Al Hajeri A (2010). "Public awareness of sickle cell disease in Bahrain". Annals of Saudi Medicine. 30 (4): 284–288. doi:10.4103/0256-4947.65256. PMC 2931779. PMID 20622345.
  170. ^ "Sickle Cell Anemia". American Society of Hematology. 16 December 2014. Archived from the original on 25 June 2017. Retrieved 1 May 2017.
  171. ^ Awasthy N, Aggarwal KC, Goyal PC, Prasad MS, Saluja S, Sharma M (2008). "Sickle cell disease: Experience of a tertiary care center in a nonendemic area". Annals of Tropical Medicine and Public Health. 1 (1): 1–4. doi:10.4103/1755-6783.43069 (inactive 11 July 2025).{{cite journal}}: CS1 maint: DOI inactive as of July 2025 (link)
  172. ^ "Life with sickle cell – Nation – Nepali Times". Archived from the original on 24 June 2015.
  173. ^ Asnani MR, McCaw-Binns AM, Reid ME (2011). "Excess risk of maternal death from sickle cell disease in Jamaica: 1998–2007". PLOS ONE. 6 (10): e26281. Bibcode:2011PLoSO...626281A. doi:10.1371/journal.pone.0026281. PMC 3200316. PMID 22039456.
  174. ^ Lebby R (1846). "Case of absence of the spleen". Southern J of Med Pharmacol. 1: 481–3.
  175. ^ a b c Ballas SK, Gupta K, Adams-Graves P (November 2012). "Sickle cell pain: a critical reappraisal". Blood. 120 (18): 3647–3656. doi:10.1182/blood-2012-04-383430. PMID 22923496.
  176. ^ Herrick JB (1 November 1910). "Peculiar elongated and sickle-shaped red blood corpuscles in a case of severe anemia". Archives of Internal Medicine. 6 (5): 179–184. doi:10.1001/archinte.1910.00050330050003.; reprinted as Herrick JB (2001). "Peculiar elongated and sickle-shaped red blood corpuscles in a case of severe anemia. 1910". The Yale Journal of Biology and Medicine. 74 (3): 179–184. PMC 2588723. PMID 11501714.
  177. ^ Washburn RE (1911). "Peculiar elongated and sickle-shaped red blood corpuscles in a case of severe anemia". The Virginia Medical Semi-Monthly. 15 (21): 490–493.
  178. ^ "UVa Hospital Celebrating 100 Years". University of Virginia. Archived from the original on 31 January 2015. Retrieved 28 January 2015.
  179. ^ Mason VR (1922). "Sickle cell anemia". The Journal of the American Medical Association. 79 (16): 1318–1320. doi:10.1001/jama.1922.02640160038012. Reprinted in Mason VR (October 1985). "Landmark article Oct. 14, 1922: Sickle cell anemia. By V.R. Mason". The Journal of the American Medical Association. 254 (14): 1955–1957. doi:10.1001/jama.254.14.1955. PMID 3900438.
  180. ^ Pauling L, Itano HA (November 1949). "Sickle cell anemia a molecular disease". Science. 110 (2865): 543–548. Bibcode:1949Sci...110..543P. doi:10.1126/science.110.2865.543. PMID 15395398. S2CID 31674765.
  181. ^ Ingram VM (October 1956). "A specific chemical difference between the globins of normal human and sickle-cell anaemia haemoglobin". Nature. 178 (4537): 792–794. Bibcode:1956Natur.178..792I. doi:10.1038/178792a0. PMID 13369537. S2CID 4167855.
  182. ^ "Foster, Gloria". Facts On File History Database. Archived from the original on 5 March 2016. Retrieved 25 February 2015.
  183. ^ Richard-Lenoble D, Toublanc JE, Zinsou RD, Kombila M, Carme B (1980). "[Results of a systematic study of drepanocytosis in 1,500 Gabonese using hemoglobin electrophoresis]" [Results of a systematic study of drepanocytosis in 1,500 Gabonese using hemoglobin electrophoresis]. Bulletin de la Société de Pathologie Exotique et de ses Filiales (in French). 73 (2): 200–206. PMID 7460122.
  184. ^ Srikanthan S (2023). "Contested Disability: Sickle Cell Disease". Health & Social Work. 48 (3): 209–216. doi:10.1093/hsw/hlad014. PMID 37315205.
  185. ^ "Social Security Ruling: SSR 2017-3p". U.S. Social Security Administration. Retrieved 15 January 2018.
  186. ^ "Federal Register, Volume 82 Issue 178 (Friday, September 15, 2017)". U.S. Government Publishing Office (GPO). Retrieved 15 January 2018.
  187. ^ Bulgin D, Tanabe P, Jenerette C (August 2018). "Stigma of Sickle Cell Disease: A Systematic Review". Issues in Mental Health Nursing. 39 (8): 675–686. doi:10.1080/01612840.2018.1443530. PMC 6186193. PMID 29652215.
  188. ^ Washington HA (2006). Medical apartheid: the dark history of medical experimentation on Black Americans from colonial times to the present (1st paperback ed.). New York: Harlem Moon. ISBN 978-0-7679-1547-2. OCLC 192050177.
  189. ^ a b c d e f g h Tusuubira SK, Naggawa T, Nakamoga V (October 2019). "To Join Or Not To Join? A Case Of Sickle Cell Clubs, Stigma And Discrimination In Secondary Schools In Butambala District, Uganda". Adolescent Health, Medicine and Therapeutics. 10: 145–152. doi:10.2147/AHMT.S223956. PMC 6778728. PMID 31632168.
  190. ^ a b c d e f "Sickle Cell Association of Uganda". Sickle Cell Association of Uganda. Retrieved 7 April 2021.
  191. ^ Okwi AL, Byarugaba W, Ndugwa CM, Parkes A, Ocaido M, Tumwine JK (September 2009). "Knowledge gaps, attitude and beliefs of the communities about sickle cell disease in Eastern and Western Uganda". East African Medical Journal. 86 (9): 442–449. doi:10.4314/eamj.v86i9.54167. PMID 21644415.
  192. ^ a b c d e Marsh VM, Kamuya DM, Molyneux SS (August 2011). "'All her children are born that way': gendered experiences of stigma in families affected by sickle cell disorder in rural Kenya". Ethnicity & Health. 16 (4–5): 343–359. doi:10.1080/13557858.2010.541903. PMC 3534410. PMID 21797722.
  193. ^ "Our Vision and Mission – Uganda Sickle Cell Rescue Foundation". 13 May 2017. Retrieved 6 April 2021.
  194. ^ a b "Background – Uganda Sickle Cell Rescue Foundation". 13 May 2017. Retrieved 6 April 2021.
  195. ^ Burden of sickle cell trait and disease in the Uganda Sickle Surveillance Study (US3): a cross-sectional study
  196. ^ Burden of sickle cell trait and disease in the Uganda Sickle Surveillance Study (US3): a cross-sectional study - The Lancet Global Health
  197. ^ Unprepared and Misinformed Parents of Children with Sickle Cell Disease: Time to Rethink Awareness Campaigns
  198. ^ Sehlo MG, Kamfar HZ (April 2015). "Depression and quality of life in children with sickle cell disease: the effect of social support". BMC Psychiatry. 15 (1) 78. doi:10.1186/s12888-015-0461-6. PMC 4394397. PMID 25880537.
  199. ^ "London Eye: Shouldn't need an improvement programme". Health Service Journal. 27 July 2022. Retrieved 28 September 2022.
  200. ^ "Better protection and support for people with sickle cell disease". The Voice. October 2022. pp. 16–17. Retrieved 7 October 2022.
  201. ^ Rylatt A (7 October 2022). "No-one is Listening" (PDF).
  202. ^ "NHS launches lifesaving sickle cell campaign". 7 October 2022.
  203. ^ The Manchester Health Film Festival (2024). "8 Must-See Movies and TV Shows Addressing Sickle Cell". Medium.
  204. ^ Nazaire H (1 November 2020). "Life is a PAINting". The Lancet Haematology. 7 (11): e787 – e788. doi:10.1016/S2352-3026(20)30333-1. ISSN 2352-3026. PMID 33091353.
  205. ^ Cegielski Ryan Schwartz,Emily (17 February 2025). "How Noah Wyle Is Bringing Healthcare Disparities to TV". Flow Space. Retrieved 28 June 2025.{{cite web}}: CS1 maint: multiple names: authors list (link)
  206. ^ Edwards R (20 January 2022), The Park Bench (Animation, Short, Family), Zoie Watkins, Aflac Cancer and Blood Disorders Center, Lion Forge Animation, Magnetic Dreams, retrieved 28 June 2025

Further reading