Renal medullary fibroma
| Renal medullary fibroma | |
|---|---|
| Other names | Renomedullary interstitial cell tumou, medullary fibroma' |
![]() | |
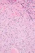
| Micrograph of a renal medullary fibroma (bottom of image). Renal tubules are seen at the top of the image. H&E stain. | |
Renal medullary fibroma is a benign kidney tumour. It is commonly an incidental finding.[1]
Signs and symptoms
Renal medullary fibromas are typically asymptomatic.
Diagnosis
Renal medullary fibromas are diagnosed by pathologists based on the examination of tissue.
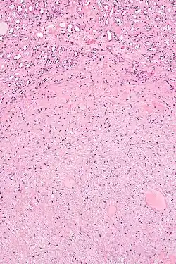
They consist of bland spindle-shaped or stellate-shaped cells in a loose stroma. Renal tubules may be entrapped.
-
Low mag. -
High mag.
Treatment
Generally, no treatment is required.
