Polycystic ovary syndrome

Polycystic ovary syndrome
Other namesHyperandrogenic anovulation (HA),[1] Stein-Leventhal syndrome[2]
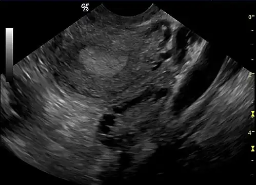
A polycystic ovary
SpecialtyGynecology, endocrinology
SymptomsIrregular menstrual periods, heavy periods, excess hair, acne, difficulty getting pregnant, patches of thick, darker, velvety skin[3]
ComplicationsType 2 diabetes, obesity, obstructive sleep apnea, heart disease, mood disorders, endometrial cancer[3]
DurationLong term[4]
CausesGenetic and environmental factors[5][6]
Risk factorsFamily history, obesity[7]
Diagnostic methodBased on irregular periods, high androgen levels, ovarian cysts[8]
Differential diagnosisAdrenal hyperplasia, hypothyroidism, high blood levels of prolactin[9]
ManagementHealthy lifestyle, medication[10]
MedicationBirth control pills, metformin, anti-androgens, fertility treatments such as letrozole[11][12]
Frequency5 to 18% of women of childbearing age[10]

Polycystic ovary syndrome (PCOS) is the most common endocrine disorder in women of reproductive age.[13] The name originated from the observation of cysts which form on the ovaries of some women with this condition. However, this is not a universal symptom and is not the underlying cause of the disorder.[14][15]

PCOS is diagnosed when a person has at least two of the following three features: irregular menstrual periods, elevated androgen levels (for instance, high testosterone or excess facial hair growth), or polycystic ovaries found on an ultrasound. A blood test for high levels of anti-Müllerian hormone can replace the ultrasound.[16] Other symptoms associated with PCOS are heavy periods, acne, difficulty getting pregnant, and patches of darker skin.[3][17]

The exact cause of PCOS remains uncertain.[18] There is a clear genetic component, but environmental factors are also thought to contribute to the development of the disorder. PCOS occurs in between 5% and 18% of women.[10] The primary characteristics of PCOS include excess androgen levels, lack of ovulation, insulin resistance, and neuroendocrine disruption.[19]

Management can involve medication to regulate menstrual cycles, to reduce acne and excess hair growth, and to help with fertility. In addition, women can be monitored for cardiometabolic risks, and during pregnancy. A healthy lifestyle and weight control are recommended for general management.[10]

Signs and symptoms

PCOS has a wide variety of signs and symptoms. They include issues around ovulation (such as irregular periods), issues related to excess levels of androgens (hormones that trigger male characteristics, such as facial hair growth), and metabolic issues (such as weight gain).[3] Symptoms usually start in puberty, but may be masked if oral contraceptives are started early.[20]

Common signs and symptoms of PCOS include the following:

  • Menstrual disorders: PCOS mostly produces oligomenorrhea (fewer than nine menstrual periods in a year) or amenorrhea (no menstrual periods for three or more consecutive months), but other types of menstrual disorders may also occur.
  • Infertility: This generally results directly from chronic anovulation (lack of ovulation).
  • High levels of masculinizing hormones: Known as hyperandrogenism, the most common signs are acne and hirsutism (male pattern of hair growth, such as on the chin or chest), but it may produce hypermenorrhea (heavy and prolonged menstrual periods), androgenic alopecia (increased hair thinning or diffuse hair loss), or other symptoms.[21][22] Approximately three-quarters of women with PCOS (by the diagnostic criteria of NIH/NICHD 1990) have evidence of hyperandrogenemia.[23]
  • Metabolic syndrome: This appears as a tendency towards central obesity and other symptoms associated with insulin resistance, including low energy levels and food cravings.[21] Serum insulin, insulin resistance, and homocysteine levels are higher in women with PCOS.[24]
  • Acne: A rise in testosterone levels increases the oil production within the sebaceous glands and clogs pores.[25] For many women, the emotional impact is great and quality of life can be significantly reduced.[26]
  • Androgenic alopecia: Estimates suggest that androgenic alopecia affects 22% of PCOS sufferers.[25]
  • Acanthosis nigricans (AN): A skin condition where dark, thick, and "velvety" patches can form.[27] Often forms under the arms, in the groin area, on the back of the neck.[28]
  • Polycystic ovaries: There are small cysts on one or both ovaries. Ovaries might enlarge and compress follicles surrounding the eggs. As a result, ovaries might fail to function regularly. This disease is related to the number of follicles per ovary each month, growing from the average range of 6–8 to double, triple, or more.

Women with PCOS tend to have central obesity. Still, studies are conflicting as to whether visceral and subcutaneous abdominal fat is increased, unchanged, or decreased in women with PCOS relative to non-PCOS women with the same body mass index.[29] In any case, androgens, such as testosterone, androstanolone (dihydrotestosterone), and nandrolone decanoate have been found to increase visceral fat deposition in both female animals and women.[30]

Although 80% of PCOS presents in women with obesity, 20% of women diagnosed with the disease are non-obese or "lean" women.[31] However, obese women who have PCOS have a higher risk of adverse outcomes, such as hypertension, insulin resistance, metabolic syndrome, and endometrial hyperplasia.[32]

Even though most women with PCOS are overweight or obese, non-overweight women can also be diagnosed with PCOS. Up to 30% of women diagnosed with PCOS maintain a normal weight before and after diagnosis. "Lean" women still face the various symptoms of PCOS with the added challenges of having their symptoms properly addressed and recognized. Lean women often go undiagnosed for years and are usually diagnosed after struggles to conceive.[33] Lean women are likely to have a missed diagnosis of diabetes and cardiovascular disease. These women also have an increased risk of developing insulin resistance, despite not being overweight. Lean women are often taken less seriously with their diagnosis of PCOS and also face challenges finding appropriate treatment options. This is because most treatment options are limited to approaches for losing weight and healthy dieting.[34]

Hormone levels

Testosterone levels are usually elevated in women with PCOS.[35][36] In a 2020 systematic review and meta-analysis of sexual dysfunction related to PCOS which included 5,366 women with PCOS from 21 studies, testosterone levels were analyzed and were found to be 2.34 nmol/L (67 ng/dL) in women with PCOS and 1.57 nmol/L (45 ng/dL) in women without PCOS.[36] If testosterone levels are above 100 to 200 ng/dL, per different sources, other possible causes of hyperandrogenism, such as congenital adrenal hyperplasia or an androgen-secreting tumor, may be present and should be excluded.[37][38][35]

Associated conditions

A diagnosis of PCOS suggests an increased risk of the following:

The risk of ovarian cancer and breast cancer is not significantly increased overall, but women with PCOS were about three times more likely to develop endometrial cancer than other women.[39]

PCOS is associated with mental health-related conditions including depression, anxiety, bipolar disorder, and obsessive–compulsive disorder.[52] Additionally, it has been found to increase the risk of eating disorders significantly.[53]

Cause

The root cause of PCOS is unknown.[54] Risk factors include a family history of PCOS, early development of pubic hair and sweat gland development (adrenarche) and obesity. A low birth weight, exposure to androgens in the womb, and exposure to endocrine disruptors may also predispose people to developing PCOS.[7]

Genetics

PCOS has a clear genetic component and has high heritability.[10] Evidence of the genetic basis come from family and twin studies, as well as from large-scale genome-wide association studies. For example, the correlation in PCOS occurrence between identical twin sisters was found to be twice as high as that between non-identical twins, suggesting a significant genetic influence. Twenty-five different genetic loci have been found to correlate with PCOS in genome-wide association studies, of which thirteen were replicated in at least one other study. Genes near some of these loci imply neuroendocrine and metabolic dysfunction, but the role of other genes is not yet clear.[16]

In Mendelian randomization, the question is whether exposure (e.g. obesity) causes outcome (e.g. PCOS). The technique assumes that there are genetic variants that increase the risk of the exposure, but do not directly impact the outcome, and are not impacted by a cofounder .

Mendelian randomization is a method in genetic epidemiology that seeks to identify causal relationships between modifiable risk factors and PCOS. It uses the randomness of inheriting alternative forms of genes (allelles) to do so. Using Mendelian randomization, it was found that PCOS has causal links to sex hormone-binding globulin level, anti-Müllerian hormone level, menopause age, fat percentage, insulin resistance, depression, breast cancer, ovarian cancer, obsessive-compulsive disorder, and lung capacity. Other factors do not seem causally linked: anxiety disorder, schizophrenia, type 2 diabetes, coronary heart disease, stroke, or birth weight.[55]

Men with a family history of PCOS also display some of the symptoms associated with the syndrome. For instance, brothers of women with PCOS show a higher likelihood of high anti-Müllerian hormone levels, insulin resistance and abnormal lipid levels in the blood. Men with the genetic risk factors associated with PCOS also have higher levels of obesity, type-2 diabetes, male pattern hair loss and cardiovascular disease. Not all similarities between family members are likely due to genetics, as PCOS and obesity in mothers can have an impact on fetal development, making it more likely for men to get metabolic disorders with age.[16]

Environment

PCOS may also be impacted by epigenetics, which regulates how active genes are. High levels of androgens and AMH during pregnancy and early weight gain can negatively impact the fetal environment.[16] In studies of PCOS in mice, exposure to AMH or the dihydrotestosterone androgen, still has an effect three generations further. If that were the same in humans, it implies that PCOS can be inhereted via epigenetic changes.[10]

There is little evidence on the effect of environmental pollutants on PCOS risk.[16] Endocrine disruptors are chemicals that disturb the hormonal system, for instance because they block of mimic natural hormones. Of these, bisphenol A and phthalates (both used in plastics) and possibly octocrylene exposure may raise the risks of PCOS.[56]

Finally, obesity is implicated in PCOS development. As fat tissue can produce androgens, obesity leads to increased androgen levels. It also leads to suppression of the SHBG hormone, increased insulin resistance and abnormally increased insulin levels. Some of the effects go two ways: PCOS might impact appetite, so that weight gain becomes more likely. Weight loss using diet is equally effective in people with and without PCOS.[10]

Mechanism

Polycystic ovaries develop when the ovaries are stimulated to produce excessive amounts of androgenic hormones, in particular testosterone, by either one or a combination of the following (almost certainly combined with genetic susceptibility):[57]

A majority of women with PCOS have insulin resistance and/or are obese, which is a strong risk factor for insulin resistance, although insulin resistance is a common finding among women with PCOS in normal-weight women as well.[58][21][24] Elevated insulin levels contribute to or cause the abnormalities seen in the hypothalamic–pituitary–ovarian axis that lead to PCOS. Hyperinsulinemia increases GnRH pulse frequency,[59] which in turn results in an increase in the LH/FSH ratio[59][60] increased ovarian androgen production; decreased follicular maturation; and decreased SHBG binding.[59] Furthermore, excessive insulin increases the activity of 17α-hydroxylase, which catalyzes the conversion of progesterone to androstenedione, which is in turn converted to testosterone. The combined effects of hyperinsulinemia contribute to an increased risk of PCOS.[59]

Adipose (fat) tissue possesses aromatase, an enzyme that converts androstenedione to estrone and testosterone to estradiol. The excess of adipose tissue in obese women creates the paradox of having both excess androgens (which are responsible for hirsutism and virilization) and excess estrogens (which inhibit FSH via negative feedback).[61]

Although the term "polycystic ovary syndrome" emphasizes ovarian morphology, the underlying cause is believed to involve the hypothalamic–pituitary axis. Altered secretion of gonadotropin-releasing hormone (GnRH) may lead to increased LH secretion and elevated androgen levels, contributing to the development of ovarian cysts. However, the presence of cysts is not a universal feature among individuals with PCOS. [62]

The syndrome acquired its most widely used name due to the common sign on ultrasound examination of multiple (poly) ovarian cysts. These "cysts" are immature ovarian follicles. The follicles have developed from primordial follicles, but this development has stopped ("arrested") at an early stage, due to the disturbed ovarian function. The follicles may be oriented along the ovarian periphery, appearing as a 'string of pearls' on ultrasound examination.[63]

PCOS may be associated with chronic inflammation,[64] with several investigators correlating inflammatory mediators with anovulation and other PCOS symptoms.[65][66] Similarly, there seems to be a relation between PCOS and an increased level of oxidative stress.[67]

Diagnosis

Not every person with PCOS has polycystic ovaries (PCO), nor does everyone with ovarian cysts have PCOS; although a pelvic ultrasound is a major diagnostic tool, it is not the only one.[68] The diagnosis is fairly straightforward using the Rotterdam criteria, even when the syndrome is associated with a wide range of symptoms.[69]

Diagnostic criteria

There are different criteria for PCOS; the 2023 International Evidence-based Guidelines for Assessment and Management of PCOS recommend the revised Rotterdam criteria for diagnosing PCOS. That is, PCOS is present in adults when two out of these three criteria are met:[70][16]

  1. Signs of androgen excess (clinical or biochemical). Androgens are "male" hormones, which can, for instance, cause facial hair.[71]
  2. Ovulatory dysfunction with irregular or absent menstrual cycles
  3. Polycystic ovaries on ultrasound or elevated anti-mullerian hormone (AMH) levels

Other causes of these issues need to be excluded. In adolescents, both androgen excess and ovulatory dysfunction are required, as AMH and ultrasounds are not specific in this population.[72] Adolescents who only meet one criterion are considered 'at risk', to be reassessed when they are adults.[16] Older criteria are the 1990 NIH criteria and the 2006 Androgen Excess Society criteria.[10] The Androgen Excess criteria were never adopted widely. The old NIH criteria are stricter than the Rotterdam criteria, as both oligoovulation and signs of androgen excess need to be present:[73]

  1. Oligoovulation
  2. Signs of androgen excess (clinical or biochemical)
  3. Exclusion of other disorders that can result in the above

Assessment and testing

There is a three-step algorithm to diagnose PCOS. In the first step, clinical androgen excess and irregular menstrual cycles are assessed. If someone has both, and other causes are excluded, PCOS is diagnosed. In step 2, those with only irregular cycles undergo a laboratory test for excess androgens in the blood. If that shows excess male hormones, again, excluding other causes of the symptoms, PCOS is diagnosed. In the third step, for those with either irregular cycles or excess androgens, an ultrasound is performed or an AMH test, but not both, to prevent overdiagnosis. If this test shows polycystic ovaries or elevated AMH levels, PCOS is diagnosed.[74]

Clinical androgen excess in adults can result in acne, hirsutism (male pattern of hair growth, such as on the chin or chest) and in female pattern hair loss. Hirsutism can be assessed using the standardised Ferriman–Gallwey visual scoring system, with a score above 4 to 6 indicating clinical significance.[75] The recommended cut-off score depends on ethnicity, with a lower cut-off for Asian women, and a higher cut-off for Hispanic and Middle Eastern women.[76] Assessment may be complicated by self-treatment.[77] Hair loss can be assessed with the Ludwig visual score. In adolescents, androgen excess shows as severe acne and hirsutism.[75]

For individuals who had their first menstrual cycle more than three years ago, menstrual cycles are considered irregular if they occur less than 21 days apart or more than 35 days apart. For those whose first menstrual cycle was between one and three years ago, the cycle is considered irregular if it is less than 21 days apart or more than 45 days apart. Finally, for anyone whose first cycle was over a year ago, a single cycle lasting over 90 days is considered irregular.[74]

Biochemical androgen excess in PCOS is assessed using total and free testosterone. Accurate measurement requires tandem mass spectometry assays, as direct free testosterone tests are not reliable. Interpretation is based on laboratory reference ranges. Hormonal contraception can interfere with hormone levels, so a withdrawal period of at least three months with alternative contraception may be needed. Markedly elevated androgen levels may indicate other conditions.[74]

Gynecologic ultrasonography first looks for small ovarian follicles.[75] To count as polycystic ovaries, at least 20 follicles need to be present, smaller than 9 mm. This used to be 12 in older diagnostic criteria.[16] A less clear marker of PCOS is enlarged ovaries.[75] Ovary need to be at least 10 cm3 to count.[16] For sexually active individuals or those that agree, a transvaginal ultrasound approach is preferred. Alternatively, AMH levels can be tested in the blood.[75] Laparoscopic examination may reveal a thickened, smooth, pearl-white outer surface of the ovary. This would usually be an incidental finding if laparoscopy were performed for some other reason, as it would not be routine to examine the ovaries in this way to confirm a diagnosis of PCOS.[78]

Differential diagnosis

To diagnose PCOS, other conditions must first be ruled out. These include thyroid disease (assessed via thyroid stimulating hormone), hyperprolactinemia (assessed via prolactin), and non-classic congenital adrenal hyperplasia (tested via 17-hydroxy progesterone). For those without any periods whatsoever or more severe signs or symptoms, further tests are recommended to exclude hypogonadotropic hypogonadism, any androgen-producing tumors or Cushing's disease. Overt virilisation (development of male sex characteristics) is not characteristic of PCOS and indicates that another underlying condition may be responsible.[72]

Gaps in physicians' knowledge

Research has identified notable gaps in physician knowledge and education related to PCOS, which may contribute to challenges in timely diagnosis and treatment. A 2017 study published by the National Library of Medicine surveyed 630 physicians from the American College of Obstetricians and Gynecologists and the American Society for Reproductive Medicine. The study found that 27.7% of respondents were uncertain about which diagnostic criteria—such as the Rotterdam criteria—they used when diagnosing PCOS.[79]

The same study reported that some physicians lacked awareness of the broader range of PCOS-related symptoms, including psychological effects such as anxiety, depression, and reduced quality of life, which are commonly experienced by individuals with the condition. [80]

Management

PCOS has no cure,[4] and management is focused on the treatment of symptoms.[10] Treatment usually involves lifestyle changes such as diet and exercise of moderate intensity.[81] Metabolic issues can further be treated with metformin or GLP-1 receptor agonists.[16] Combined oral contraceptives are especially effective and used as the first line of treatment to reduce acne and hirsutism and regulate the menstrual cycle.[82] Other typical acne treatments and hair removal techniques may be used.[83] First-line treatment for fertility issues uses ovulation induction with clomiphene or letrozole.[10] As PCOS is associated with psychological disorders and cardiovascular risk, screening for both is recommended.[10]

Lifestyle

Brisk walking counts as exercise of moderate intensity.[84]

Weight management and a healthy lifestyle are first-line treatments for PCOS. Weight management includes the prevention of weight gain, losing some weight or maintaining weight loss.[10] Limited weight loss of 5% already shows metabolic benefits, and possibly also benefits for reproductive health.[16] A 5 to 10% weight loss can be achieved by a 30% calorie deficit. There is little evidence that one type of healthy diet is better than another in PCOS.[10] In terms of exercise, the general population guidance of 150 minutes of exercise of moderate intensity per week is recommended to prevent weight gain. For weight loss, 250 minutes of moderate exercise is recommended.[10]

Lifestyle changes for people with PCOS have been proven to be difficult due to various factors. Some studies indicate that women with PCOS might have problems with feeling sated after eating, making weight loss more challenging. Sleep disorders, more prevalent in women with PCOS, cause fatigue which further makes a healthy lifestyle more difficult. Finally, issues with body image, eating disorders, depression or lack of intristic motivation (not enjoying exercise) may make lifestyle interventions less easy.[85]

Lifestyle interventions for women with PCOS may include behavioural strategies such as setting goals, tracking progress, learning assertiveness, and relapse prevention. These approaches aim to support weight control, a healthy lifestyle, and emotional wellbeing. Support may also involve using SMART goals (specific, measurable, achievable, realistic, and timely). Broader behavioural or cognitive behavioural programmes may help increase motivation, continued participation, and long-term healthy habits.[86]

Medications

Medications for PCOS include metformin and oral contraceptives. Metformin is a medication commonly used in type 2 diabetes mellitus, and is used frequently off-label in the management of PCOS.[16][87] It is recommended for those with a BMI over 25 to treat insulin resistance and normalise lipid profiles, and can also be considered for the treatment of irregular periods in adolescents and for those with a BMI under 25.[88] Metformin is associated with several side effects: including abdominal pain, metallic taste in the mouth, diarrhoea and vomiting.[89] It can also be used to help women get pregnant, but is not the most effective drug for it.[90]

Combined oral contraceptives (COCs) can be used to reduce the symptoms of hirsutism and regulate menstrual periods.[91] They increase sex hormone binding globulin production, and reduce levels of androgens. A regular cycle reduces risks of endometrial cancer. Contraceptive pills with only progestogens can be used to menstrual regularity, but not for symptoms of androgen excess.[10] Anti-androgens such as finasteride and flutamide do not show advantages over COCs for treating hirsutism, but could be an option for people for whom COCs are contraindicated or who not tolerate them.[92] It may take six to twelve months for COCs to be effective for hirsutism.[10] For the treatment of androgenic alopecia, a combination of anti-androgens and combined oral contraceptives can be tried,[93] but it is difficult to treat.[10]

GLP-1 receptor agonists, such as liraglutide and semaglutide, may be more effective than metformin alone in terms of metabolic improvements, but their combination has stronger effects than either therapy alone. Small trials have found positive effects on menstrual regularity and androgen levels. These drugs are not recommended when trying to conceive.[16] There is some evidence inositol may have positive effects on metabolic issues in PCOS. However, metformin is recommended above inositol supplements for hirsutism and abdominal fat reduction.[94]

Infertility

It can be difficult to become pregnant with PCOS because it causes irregular ovulation. The first management step is to improve general health of the mother, for instance through lifestyle interventions or, in some cases, bariatric surgery. Pregnancy in PCOS is more risky than normal, and treatment is focused on getting a single pregnancy, rather than for instance twins (multiple pregnancy).[16]

The first-line medical treatment for infertility in women with PCOS is letrozole (Femara) to induce ovulation.[16] This is in general more effective than clomiphene citrate to improve both pregnancy rates and live births.[95] Other medication that can be used to treat infertility, listed from more to less effective, are metformin + clomiphene citrate, clomiphene citrate alone and metformin alone.[16] Women may be more likely to experience gastrointestinal side effects with metformin.[96] Gonadotrophin therapy may be effective too, but requires monitoring and increases the risks of multiple pregnancies.[97]

In case medication and lifestyle interventions are ineffective, infertility can be treated with a laparoscopic procedure called "ovarian drilling", which involves puncture of 4–10 small follicles with electrocautery, laser, or biopsy needles.[98] This procedure can induce ovulation, typically leads to a single pregnancy, but other risks may be higher compared to medication.[10][99] Ovarian wedge resection is no longer used as much due to complications such as adhesions and the presence of frequently effective medications.[100]

As a final treatment option, in vitro fertilisation (IVF) can be considered. IVF does increase the risk of ovarian hyperstimulation syndrome.[101] Using a 'freeze all' strategy makes it easier to transfer a single embryo and provides time for the ovaries to recover from hyperstimulation.[16] A less effective alternative, but with much lower risks of ovarian hyperstimulation syndrome, is in vitro maturation instead of full IVF.[101] This option avoids high-dose gonadotropin therapy.[10]

Hirsutism and acne

Laser hair removal

Management of hirsutism involves lowering androgen levels and removing existing hair, for example by laser treatment or shaving.[10] A standard contraceptive pill is frequently effective in reducing hirsutism and acne.[100] Progestogens such as norgestrel and levonorgestrel should be avoided due to their androgenic effects.[100] Metformin combined with an oral contraceptive may be more effective than the oral contraceptive on its own.[102] Although oral contraceptives have shown significant efficacy in clinical trials (60–100% of individuals for treatment of hirsutism), severe acne or hirsutism might require additional treatment.[100]

Other medications with anti-androgen effects include flutamide, and spironolactone, which can improve hirsutism.[103] The antiandrogen class of drugs known as 5-alpha reductase inhibitors (e.g., finasteride) may also be used; they inhibit the conversion of testosterone to dihydrotestosterone but are contraindicated in pregnancy.[104] Eflornithine (Vaniqa) is a medication that is applied to the skin in cream form and acts directly on the hair follicles to inhibit hair growth. It is usually applied to the face.[100]

Mental health

Women with PCOS are far more likely to have depression than women without PCOS. Symptoms of depression might be heightened by certain physiological manifestations of this disease, such as hirsutism or obesity, that can lead to low self-esteem or poor body image.[26] Screening for depression and anxiety disorders is recommended using validated questionnaires, for instance at diagnosis as well as afterwards based on clinical judgement.[105] For eating disorders and body image distress, screening is only recommended when clinically indicated.[16] For sexually active women who give permission to discuss it, psychosexual dysfunction can be assessed too.[106]

Treatment of PCOS show no to moderate effect on depression or anxiety, and standard therapies (such a psychotherapy and anti-depressant) are recommended instead.[16] Cognitive behaviour therapy can be used for girls and women with low self-esteem, poor body image, disordered eating or psychosexual dysfunction.[107]

Screening for cardiometabolic issues

Given the higher risk of cardiometabolic conditions, monitoring is recommended.[10] This includes testing of glucose tolerance, for instance using a two-hour oral glucose tolerance test (GTT) in all women with PCOS. After initial testing at diagnosis, follow-up assessments are advised every one to three years, depending on the presence of diabetes risk factors.[108] Screening for cardiovascular risk factors includes lipid profile tests and yearly blood pressure measurements.[109]

Epidemiology

PCOS is the most common endocrine disorder among women between the ages of 18 and 44.[21] According to the World Health Organization (WHO), PCOS affects over 6 to 13% of reproductive-aged women.[110] A 2022 review noted a prevalence between 5% to 18%.[10] When someone is infertile due to lack of ovulation, PCOS is the most common cause and could guide to patients' diagnosis.[8]

The prevalence of PCOS depends on the choice of diagnostic criteria.[111] Using the Rotterdam criteria, around 10–13% of women have PCOS.[112] Based on the NIH criteria, the global prevalence was 5.5%, increasing to approximately 7.1% when using the Androgen Excess Society criteria. Irrespective of the criteria, the prevalence of PCOS is increasing, likely due to an aging population, more awareness, and increasing obesity rates.[113]

Prevalence seems fairly even among people with different ethnicities, but is perhaps higher in people from South East Asia and the Eastern Mediterranean.[112] PCOS may express differently however. For instance, in African and Hispanic American people with PCOS, there is more insulin resistance compared to other ethnic groups.[16] The same is true for South Asian people with PCOS, who also have more metabolic symptoms and higher BMIs. East Asian women typically have less hirsutism and lower BMI compared to other groups.[10]

Ultrasonographic findings of polycystic ovaries are found in 8–25% of women who are not affected by the syndrome.[114][115][116][117] 14% women on oral contraceptives are found to have polycystic ovaries.[115] Ovarian cysts are also a common side effect of levonorgestrel-releasing intrauterine devices (IUDs).[118]

History

Historical descriptions of possible PCOS symptoms date back to ancient Greece, where Hippocrates described women with "thick, oily skin and absence of menstruation."[119] The earliest known description of what is now recognized as PCOS dates from 1721 in Italy.[120] Cyst-related changes to the ovaries were described in 1844.[120]

In modern times, the condition was first described in 1935 by American gynecologists Irving F. Stein Sr. and Michael L. Leventhal, from whom its original name of Stein–Leventhal syndrome is taken.[68][28] Stein and Leventhal first described PCOS as an endocrine disorder in the United States, and since then, it has become recognized as one of the most common causes of oligo-ovulatory infertility among women.[39]

Terminology

Other names for this syndrome include polycystic ovarian syndrome, polycystic ovary disease, functional ovarian hyperandrogenism, ovarian hyperthecosis, sclerocystic ovary syndrome, and Stein–Leventhal syndrome. The eponymous last option is the original name; it is now used, if at all, only for the subset of women with all the symptoms of amenorrhea with infertility, hirsutism, and enlarged polycystic ovaries.[68]

Most common names for this disease derive from a typical finding on medical images, called a polycystic ovary. A polycystic ovary has an abnormally large number of developing eggs visible near its surface, looking like many small cysts.[68] The name implies that PCOS is a gynecological condition only, rather than a metabolic and endocrine condition. A majority of clinicians and people with PCOS are in favour of renaming the condition, and, as of 2025, a survey is underway to find a new name.[121]

Research

Stem cell models

Human embryonic stem cells (hESCs) derived from the inner cell mass of blastocyst-stage embryos of women with PCOS have shown abnormal lipid metabolism, consistent with the pathophysiology of the disease.[122] When the hESCs are differentiated into adipocytes, gene expression data from these fat cells reveal a downregulation or a decrease in genes linked to glucose, lipid, and steroid metabolism.[123]

As of 2024 studies have successfully developed in vitro PCOS disease models through Induced pluripotent stem cell technology (iPSC).[122] Similar to hESCs, iPSC cells can be derived from patients and can differentiate into various cell types. Using adult somatic cells, iPSCs can reprogram the cells into a pluripotent state, which can then be specified to replicate PCOS-like traits. Furthermore, 3D “organoid” models of female reproductive tissue, such as the uterus and ovaries, produced from iPSCs, present a powerful way to stimulate the development of reproductive disorders such as PCOS in vitro.[122]

Induced pluripotent stem cell model for PCOS research

Although not widely used, some researchers have explored the use of this biotechnology to model PCOS. One study that characterized the link between obesity and PCOS reprogrammed PCOS-derived urine epithelial cells into adipocytes and found that iPSC lines had greater glucose consumption along with lower insulin response compared to controls.[124] These are results consistent with symptoms of the disease. Studies on iPSCs have also contributed significantly to understanding the behavior of ovarian granulosa cells, which maintain follicular development and secrete steroid hormones.[125] The transcriptome data from the PCOS-derived iPSCs indicate dysfunctions in folliculogenesis and disruptions in the oocyte microenvironment.

Current growing data shows a strong association between mitochondrial malfunction and PCOS. iPSCs from PCOS patients have provided some evidence of impairments in glycolytic and mitochondrial functions.[122] These cells exhibited a higher number of copies of mitochondrial DNA compared to the control. This may support the idea that mitochondrial biosynthesis is elevated in these patients as a compensatory response to the aberrations seen in the metabolic processes.[122]

Society and culture

As opposed to women in the general population, women with PCOS experience higher rates of depression and anxiety. International guidelines and Indian guidelines suggest that psychosocial factors should be considered in women with PCOS, as well as screenings for depression and anxiety.[126] Globally, this aspect has been increasingly focused on because it reflects the true impact of PCOS on the lives of patients. Research shows that PCOS adversely impacts a patient's quality of life.[126][127]

The direct economic costs of PCOS in the United States are estimated to be over $15 billion per year (in 2021 USD). This includes the costs of managing PCOS, treating its complications such as strokes, and its mental health costs.[128] Compared to arthritis, lupus, and tuberculosis—diseases with a similar or lower prevalence and similar severity—PCOS got lower NIH research funding between 2005 and 2015.[129]

There is substantial misinformation on PCOS in social media. For example, some health influencers promote restrictive diets, such as eliminating gluten or dairy, for which there is no evidence of effectiveness. Others recommend against intensive exercise, despite its usefulness.[130] Some social media influencers without medical qualifications, including those with large followings, have presented themselves as authorities on PCOS to promote their unproven treatments, taking advantage of the limited medical options available for treating the condition.[131]

Special populations

Recent clinical attention has turned towards how PCOS affects transgender, nonbinary, and gender-diverse individuals. One study showed that when individuals who identify as female at birth have PCOS and transition to a male identity, the PCOS symptoms and characteristics can persist. While early small scale studies found that more people with PCOS were transmasculine, this was not found in a larger more rigorous study.[132]

See also

References

  1. ^ Kollmann M, Martins WP, Raine-Fenning N (2014). "Terms and thresholds for the ultrasound evaluation of the ovaries in women with hyperandrogenic anovulation". Human Reproduction Update. 20 (3): 463–4. doi:10.1093/humupd/dmu005. PMID 24516084.
  2. ^ Sun H, Li D, Jiao J, Liu Q, Bian J, Wang X (1 January 2022). "A Potential Link Between Polycystic Ovary Syndrome and Asthma: a Meta-Analysis". Reproductive Sciences. 29 (1): 312–319. doi:10.1007/s43032-021-00662-8. ISSN 1933-7205. PMID 34811714.
  3. ^ a b c d "What are the symptoms of PCOS?". Eunice Kennedy Shriver National Institute of Child Health and Human Development. 21 August 2024. Archived from the original on 20 May 2025. Retrieved 28 June 2025.
  4. ^ a b "Is there a cure for PCOS?". Eunice Kennedy Shriver National Institute of Child Health and Human Development. 31 January 2017. Archived from the original on 9 October 2021. Retrieved 13 October 2021.
  5. ^ De Leo V, Musacchio MC, Cappelli V, Massaro MG, Morgante G, Petraglia F (July 2016). "Genetic, hormonal and metabolic aspects of PCOS: an update". Reproductive Biology and Endocrinology (Review). 14 (1) 38. doi:10.1186/s12958-016-0173-x. PMC 4947298. PMID 27423183.
  6. ^ Diamanti-Kandarakis E, Kandarakis H, Legro RS (August 2006). "The role of genes and environment in the etiology of PCOS". Endocrine. 30 (1): 19–26. doi:10.1385/ENDO:30:1:19. PMID 17185788. S2CID 21220430.
  7. ^ a b Goodarzi 2024, p. 16.
  8. ^ a b "Polycystic Ovary Syndrome (PCOS): Condition Information". National Institute of Child Health and Human Development. 31 January 2017. Archived from the original on 22 October 2018. Retrieved 19 November 2018.
  9. ^ "Polycystic ovary syndrome: What else might it be?". CKS NICE. March 2025. Retrieved 26 July 2025.
  10. ^ a b c d e f g h i j k l m n o p q r s t u v w Joham AE, Norman RJ, Stener-Victorin E, Legro RS, Franks S, Moran LJ, et al. (1 September 2022). "Polycystic ovary syndrome". The Lancet Diabetes & Endocrinology. 10 (9): 668–680. doi:10.1016/S2213-8587(22)00163-2. ISSN 2213-8587. PMID 35934017.
  11. ^ "What are the treatments for PCOS?". Eunice Kennedy Shriver National Institute of Child Health and Human Development. 21 August 2024. Retrieved 24 July 2025.
  12. ^ Goodarzi 2024, p. 3.
  13. ^ Goodman NF, Cobin RH, Futterweit W, Glueck JS, Legro RS, Carmina E (November 2015). "American Association of Clinical Endocrinologists, American College of Endocrinology, and androgen excess and PCOS society disease state clinical review: guide to the best practices in the evaluation and treatment of polycystic ovary syndrome-part 1". Endocrine Practice. 21 (11): 1291–1300. doi:10.4158/EP15748.DSC. PMID 26509855.
  14. ^ Dunaif A, Fauser BC (November 2013). "Renaming PCOS--a two-state solution". The Journal of Clinical Endocrinology and Metabolism. 98 (11): 4325–8. doi:10.1210/jc.2013-2040. PMC 3816269. PMID 24009134. Around 20% of European women have polycystic ovaries (the prevalence is even higher in some other populations) but approximately two-thirds of these women do not have PCOS
  15. ^ Khan MJ, Ullah A, Basit S (2019). "Genetic Basis of Polycystic Ovary Syndrome (PCOS): Current Perspectives". Appl Clin Genet. 12: 249–260. doi:10.2147/TACG.S200341. PMC 6935309. PMID 31920361.
  16. ^ a b c d e f g h i j k l m n o p q r s t Stener-Victorin E, Teede H, Norman RJ, Legro R, Goodarzi MO, Dokras A, et al. (18 April 2024). "Polycystic ovary syndrome". Nature Reviews Disease Primers. 10 (1) 27. doi:10.1038/s41572-024-00511-3. ISSN 2056-676X. PMID 38637590.
  17. ^ CDC (15 May 2024). "Diabetes and Polycystic Ovary Syndrome (PCOS)". Diabetes and Polycystic Ovary Syndrome (PCOS). Retrieved 20 September 2024.
  18. ^ Lentscher JA, Slocum B, Torrealday S (March 2021). "Polycystic Ovarian Syndrome and Fertility". Clinical Obstetrics and Gynecology. 64 (1): 65–75. doi:10.1097/GRF.0000000000000595. PMID 33337743. S2CID 229323594.
  19. ^ Crespo RP, Bachega TA, Mendonça BB, Gomes LG (June 2018). "An update of genetic basis of PCOS pathogenesis". Archives of Endocrinology and Metabolism. 62 (3): 352–361. doi:10.20945/2359-3997000000049. PMC 10118782. PMID 29972435. S2CID 49681196.
  20. ^ Goodarzi 2024, p. 8.
  21. ^ a b c d Teede H, Deeks A, Moran L (June 2010). "Polycystic ovary syndrome: a complex condition with psychological, reproductive and metabolic manifestations that impacts on health across the lifespan". BMC Medicine. 8 (1) 41. doi:10.1186/1741-7015-8-41. PMC 2909929. PMID 20591140.
  22. ^ Cortet-Rudelli C, Dewailly D (21 September 2006). "Diagnosis of Hyperandrogenism in Female Adolescents". Hyperandrogenism in Adolescent Girls. Armenian Health Network, Health.am. Archived from the original on 30 September 2007. Retrieved 21 November 2006.
  23. ^ Huang A, Brennan K, Azziz R (April 2010). "Prevalence of hyperandrogenemia in the polycystic ovary syndrome diagnosed by the National Institutes of Health 1990 criteria". Fertility and Sterility. 93 (6): 1938–41. doi:10.1016/j.fertnstert.2008.12.138. PMC 2859983. PMID 19249030.
  24. ^ a b Nafiye Y, Sevtap K, Muammer D, Emre O, Senol K, Leyla M (April 2010). "The effect of serum and intrafollicular insulin resistance parameters and homocysteine levels of nonobese, nonhyperandrogenemic polycystic ovary syndrome patients on in vitro fertilization outcome". Fertility and Sterility. 93 (6): 1864–9. doi:10.1016/j.fertnstert.2008.12.024. PMID 19171332.
  25. ^ a b Pasquali R (2018). "Lifestyle Interventions and Natural and Assisted Reproduction in Patients with PCOS". Infertility in Women with Polycystic Ovary Syndrome. Cham: Springer International Publishing. pp. 169–180. doi:10.1007/978-3-319-45534-1_13. ISBN 978-3-319-45533-4.
  26. ^ a b Brutocao C, Zaiem F, Alsawas M, Morrow AS, Murad MH, Javed A (November 2018). "Psychiatric disorders in women with polycystic ovary syndrome: a systematic review and meta-analysis". Endocrine. 62 (2): 318–325. doi:10.1007/s12020-018-1692-3. PMID 30066285. S2CID 51889051.
  27. ^ Morrow-Baez K (2018). Thriving with PCOS: Lifestyle Strategies to Successfully Manage Polycystic Ovary Syndrome. Rowman & Littlefield Publishers.
  28. ^ a b c d e f Polycystic Ovarian Syndrome at eMedicine
  29. ^ Sam S (February 2015). "Adiposity and metabolic dysfunction in polycystic ovary syndrome". Hormone Molecular Biology and Clinical Investigation. 21 (2): 107–116. doi:10.1515/hmbci-2015-0008. PMID 25781555. S2CID 23592351.
  30. ^ Corbould A (October 2008). "Effects of androgens on insulin action in women: is androgen excess a component of female metabolic syndrome?". Diabetes/Metabolism Research and Reviews. 24 (7): 520–532. doi:10.1002/dmrr.872. PMID 18615851. S2CID 24630977.
  31. ^ Goyal M, Dawood AS (2017). "Debates Regarding Lean Patients with Polycystic Ovary Syndrome: A Narrative Review". Journal of Human Reproductive Sciences. 10 (3): 154–161. doi:10.4103/jhrs.JHRS_77_17. PMC 5672719. PMID 29142442.
  32. ^ Sachdeva G, Gainder S, Suri V, Sachdeva N, Chopra S (2019). "Obese and Non-obese Polycystic Ovarian Syndrome: Comparison of Clinical, Metabolic, Hormonal Parameters, and their Differential Response to Clomiphene". Indian Journal of Endocrinology and Metabolism. 23 (2): 257–262. doi:10.4103/ijem.IJEM_637_18. PMC 6540884. PMID 31161114.
  33. ^ Johnstone E, Cannon-Albright L, Peterson CM, Allen-Brady K (July 2018). "Lean PCOS may be a genetically distinct from obese PCOS: lean women with polycystic ovary syndrome and their relatives have no increased risk of T2DM". Human Reproduction. 33. Oxford, England: Oxford Univ Press: 454. doi:10.26226/morressier.5af300b3738ab10027aa99cd. S2CID 242055977.
  34. ^ Goyal M, Dawood AS (2017). "Debates Regarding Lean Patients with Polycystic Ovary Syndrome: A Narrative Review". Journal of Human Reproductive Sciences. 10 (3): 154–161. doi:10.4103/jhrs.jhrs_77_17. PMC 5672719. PMID 29142442.
  35. ^ a b Mazze R, Strock ES, Simonson GD, Bergenstal RM (11 January 2007). "Type 2 Diabetes and Metabolic Syndrome in Children and Adolescents". Staged Diabetes Management: A Systematic Approach (2nd ed.). John Wiley & Sons. pp. 213–. ISBN 978-0-470-06171-8. OCLC 1039172275. Archived from the original on 29 May 2024. Retrieved 18 September 2022. Diagnosis and treatment. The first diagnostic test [of PCOS] is a measurement of total testosterone and free testosterone by radioimmunoassay. If total testosterone is between 50 ng/dL and 200 ng/dL above normal (<2.5 ng/dL), PCOS is present. If >200 ng/dL, then serum DHEA-S should be measured. If total testosterone or DHEA-S >700 μg/dL, then rule out an ovarian or adrenal tumor. These tests should be followed by tests for hypothyroidism, hyperprolactinemia, and adrenal hyperplasia.
  36. ^ a b Loh HH, Yee A, Loh HS, Kanagasundram S, Francis B, Lim LL (September 2020). "Sexual dysfunction in polycystic ovary syndrome: a systematic review and meta-analysis". Hormones (Athens). 19 (3): 413–423. doi:10.1007/s42000-020-00210-0. PMID 32462512. S2CID 218898082. A total of 5366 women with PCOS from 21 studies were included. [...] Women with PCOS [...] [had higher] serum total testosterone level (2.34 ± 0.58 nmol/L vs 1.57 ± 0.60 nmol/L, p < 0.001) compared with women without PCOS. [...] PCOS is characterized by high levels of androgens (dehydroepiandrosterone, androstenedione, and testosterone) and luteinizing hormone (LH), and increased LH/follicle-stimulating hormone (FSH) ratio [52].
  37. ^ Balen AH, Conway GS, Kaltsas G, Techatrasak K, Manning PJ, West C, et al. (August 1995). "Polycystic ovary syndrome: the spectrum of the disorder in 1741 patients". Hum Reprod. 10 (8): 2107–11. doi:10.1093/oxfordjournals.humrep.a136243. PMID 8567849. The criteria for the diagnosis of the polycystic ovary syndrome (PCOS) have still not been agreed upon universally. A population of 1741 women with PCOS was studied, all of whom had polycystic ovaries seen by ultrasound scan. The frequency distributions of the serum concentrations of [...] testosterone [...] were determined and compared with the symptoms and signs of PCOS. [...] A rising serum concentration of testosterone [mean and 95th percentiles 2.6 (1.1-4.8) nmol/1] was associated with an increased risk of hirsutism, infertility, and cycle disturbance. [...] If the serum testosterone concentration is >4.8 nmol/1, other causes of hyperandrogenism should be excluded.
  38. ^ Carmina E, Stanczyk FZ, Lobo RA (2019). "Evaluation of Hormonal Status". In Strauss JF, Barbieri RL (eds.). Yen and Jaffe's Reproductive Endocrinology: Physiology, Pathophysiology, and Clinical Management (8th ed.). Elsevier. pp. 887–915.e4. doi:10.1016/B978-0-323-47912-7.00034-2. ISBN 978-0-323-47912-7. S2CID 56977185.
  39. ^ a b c Barry JA, Azizia MM, Hardiman PJ (1 September 2014). "Risk of endometrial, ovarian and breast cancer in women with polycystic ovary syndrome: a systematic review and meta-analysis". Human Reproduction Update. 20 (5): 748–758. doi:10.1093/humupd/dmu012. PMC 4326303. PMID 24688118.
  40. ^ New MI (May 1993). "Nonclassical congenital adrenal hyperplasia and the polycystic ovarian syndrome". Annals of the New York Academy of Sciences. 687 (1): 193–205. Bibcode:1993NYASA.687..193N. doi:10.1111/j.1749-6632.1993.tb43866.x. PMID 8323173. S2CID 30161989.
  41. ^ Hardiman P, Pillay OC, Atiomo W (May 2003). "Polycystic ovary syndrome and endometrial carcinoma". Lancet. 361 (9371): 1810–2. doi:10.1016/S0140-6736(03)13409-5. PMID 12781553. S2CID 27453081.
  42. ^ Mather KJ, Kwan F, Corenblum B (January 2000). "Hyperinsulinemia in polycystic ovary syndrome correlates with increased cardiovascular risk independent of obesity". Fertility and Sterility. 73 (1): 150–6. doi:10.1016/S0015-0282(99)00468-9. PMID 10632431.
  43. ^ Moran LJ, Misso ML, Wild RA, Norman RJ (2010). "Impaired glucose tolerance, type 2 diabetes and metabolic syndrome in polycystic ovary syndrome: a systematic review and meta-analysis". Human Reproduction Update. 16 (4): 347–363. doi:10.1093/humupd/dmq001. PMID 20159883.
  44. ^ Falcone T, Hurd RW (2007). Clinical Reproductive Medicine and Surgery. Elsevier Health Sciences. p. 223. ISBN 978-0-323-03309-1. Archived from the original on 14 January 2023. Retrieved 24 May 2020.
  45. ^ "Polycystic ovary syndrome (PCOS) - Symptoms and causes". Mayo Clinic. Archived from the original on 21 November 2021. Retrieved 26 June 2021.
  46. ^ Ovalle F, Azziz R (June 2002). "Insulin resistance, polycystic ovary syndrome, and type 2 diabetes mellitus". Fertility and Sterility. 77 (6): 1095–1105. doi:10.1016/s0015-0282(02)03111-4. PMID 12057712.
  47. ^ de Groot PC, Dekkers OM, Romijn JA, Dieben SW, Helmerhorst FM (1 July 2011). "PCOS, coronary heart disease, stroke and the influence of obesity: a systematic review and meta-analysis". Human Reproduction Update. 17 (4): 495–500. doi:10.1093/humupd/dmr001. PMID 21335359.
  48. ^ Goldenberg N, Glueck C (February 2008). "Medical therapy in women with polycystic ovarian syndrome before and during pregnancy and lactation". Minerva Ginecologica. 60 (1): 63–75. PMID 18277353. Archived from the original on 2 November 2021. Retrieved 13 October 2021.
  49. ^ Boomsma CM, Fauser BC, Macklon NS (January 2008). "Pregnancy complications in women with polycystic ovary syndrome". Seminars in Reproductive Medicine. 26 (1): 72–84. doi:10.1055/s-2007-992927. PMID 18181085. S2CID 260316768.
  50. ^ Helvaci N, Karabulut E, Demir AU, Yildiz BO (24 July 2017). "Polycystic ovary syndrome and the risk of obstructive sleep apnea: a meta-analysis and review of the literature". Endocrine Connections. 6 (7): 437–445. doi:10.1530/EC-17-0129. PMC 5574283. PMID 28739562.
  51. ^ Vassilatou E (14 July 2014). "Nonalcoholic fatty liver disease and polycystic ovary syndrome". World Journal of Gastroenterology. 20 (26): 8351–8363. doi:10.3748/wjg.v20.i26.8351. PMC 4093689. PMID 25024594.
  52. ^ Cite error: The named reference :12 was invoked but never defined (see the help page).
  53. ^ Berni TR, Morgan CL, Berni ER, Rees DA (June 2018). "Polycystic Ovary Syndrome Is Associated With Adverse Mental Health and Neurodevelopmental Outcomes". The Journal of Clinical Endocrinology and Metabolism. 103 (6): 2116–25. doi:10.1210/jc.2017-02667. PMID 29648599.
  54. ^ Kulkarni S, Gupta K, Ratre P, Mishra PK, Singh Y, Biharee A, et al. (2023). "Polycystic ovary syndrome: Current scenario and future insights". Drug Discovery Today. 28 (12): 103821. doi:10.1016/j.drudis.2023.103821. PMID 37935329.
  55. ^ Wang C, Wu W, Yang H, Ye Z, Zhao Y, Liu J, et al. (2022). "Mendelian randomization analyses for PCOS: evidence, opportunities, and challenges". Trends in Genetics. 38 (5): 468–482. doi:10.1016/j.tig.2022.01.005. ISSN 0168-9525. PMID 35094873.
  56. ^ Ozga M, Jurewicz J (23 April 2025). "Environmental exposure to selected non-persistent endocrine disrupting chemicals and polycystic ovary syndrome: a systematic review". International Journal of Occupational Medicine and Environmental Health. 38 (2): 98–121. doi:10.13075/ijomeh.1896.02551. ISSN 1896-494X. PMC 12064351. PMID 40200737.
  57. ^ Strauss JF (November 2003). "Some new thoughts on the pathophysiology and genetics of polycystic ovary syndrome". Annals of the New York Academy of Sciences. 997 (1): 42–48. Bibcode:2003NYASA.997...42S. doi:10.1196/annals.1290.005. PMID 14644808. S2CID 23559461.
  58. ^ Mortada R, Williams T (August 2015). "Metabolic Syndrome: Polycystic Ovary Syndrome". FP Essentials (Review). 435: 30–42. PMID 26280343.
  59. ^ a b c d Diamanti-Kandarakis E, Dunaif A (December 2012). "Insulin resistance and the polycystic ovary syndrome revisited: an update on mechanisms and implications". Endocrine Reviews. 33 (6): 981–1030. doi:10.1210/er.2011-1034. PMC 5393155. PMID 23065822.
  60. ^ Lewandowski KC, Cajdler-Łuba A, Salata I, Bieńkiewicz M, Lewiński A (2011). "The utility of the gonadotrophin-releasing hormone (GnRH) test in the diagnosis of polycystic ovary syndrome (PCOS)". Endokrynologia Polska. 62 (2): 120–8. PMID 21528473. ProQuest 2464206947. Archived from the original on 27 October 2021. Retrieved 13 October 2021.
  61. ^ Rojas J, Chávez M, Olivar L, Rojas M, Morillo J, Mejías J, et al. (2014). "Polycystic ovary syndrome, insulin resistance, and obesity: navigating the pathophysiologic labyrinth". Int J Reprod Med. 2014: 71905. doi:10.1155/2014/719050. PMC 4334071. PMID 25763405.
  62. ^ Su P, Chen C, Sun Y (2025). "Physiopathology of polycystic ovary syndrome in endocrinology, metabolism and inflammation". Journal of Ovarian Research. 18 (1) 34. doi:10.1186/s13048-025-01621-6. PMC 11841159. PMID 39980043.
  63. ^ Ali HI, Elsadawy ME, Khater NH (March 2016). "Ultrasound assessment of polycystic ovaries: Ovarian volume and morphology; which is more accurate in making the diagnosis?!". The Egyptian Journal of Radiology and Nuclear Medicine. 47 (1): 347–350. doi:10.1016/j.ejrnm.2015.10.002.
  64. ^ Sathyapalan T, Atkin SL (2010). "Mediators of inflammation in polycystic ovary syndrome in relation to adiposity". Mediators of Inflammation. 2010: 758656. doi:10.1155/2010/758656. PMC 2852606. PMID 20396393.
  65. ^ Fukuoka M, Yasuda K, Fujiwara H, Kanzaki H, Mori T (November 1992). "Interactions between interferon gamma, tumour necrosis factor alpha, and interleukin-1 in modulating progesterone and oestradiol production by human luteinized granulosa cells in culture". Human Reproduction. 7 (10): 1361–64. doi:10.1093/oxfordjournals.humrep.a137574. PMID 1291559.
  66. ^ González F, Rote NS, Minium J, Kirwan JP (January 2006). "Reactive oxygen species-induced oxidative stress in the development of insulin resistance and hyperandrogenism in polycystic ovary syndrome". The Journal of Clinical Endocrinology and Metabolism. 91 (1): 336–340. doi:10.1210/jc.2005-1696. PMID 16249279.
  67. ^ Murri M, Luque-Ramírez M, Insenser M, Ojeda-Ojeda M, Escobar-Morreale HF (2013). "Circulating markers of oxidative stress and polycystic ovary syndrome (PCOS): a systematic review and meta-analysis". Human Reproduction Update. 19 (3): 268–288. doi:10.1093/humupd/dms059. PMID 23303572.
  68. ^ a b c d Imaging in Polycystic Ovary Disease at eMedicine
  69. ^ Lujan ME, Chizen DR, Pierson RA (August 2008). "Diagnostic criteria for polycystic ovary syndrome: pitfalls and controversies". Journal of Obstetrics and Gynaecology Canada. 30 (8): 671–9. doi:10.1016/S1701-2163(16)32915-2. PMC 2893212. PMID 18786289.
  70. ^ Teede et al. 2023, p. 5.
  71. ^ "Polycystic ovary syndrome". nhs.uk. 20 October 2017. Retrieved 27 June 2025.
  72. ^ a b Teede et al. 2023, p. 18.
  73. ^ Chang S, Dunaif A (1 March 2021). "Diagnosis of Polycystic Ovary Syndrome: Which Criteria to Use and When". Endocrinology and Metabolism Clinics of North America. 50 (1): 11–23. doi:10.1016/j.ecl.2020.10.002. ISSN 1558-4410. PMC 7860982. PMID 33518179.
  74. ^ a b c Teede et al. 2023, p. 232.
  75. ^ a b c d e Teede et al. 2023, p. 233.
  76. ^ Ghafari A, Maftoohi M, Samarin ME, Barani S, Banimohammad M, Samie R (1 March 2025). "The last update on polycystic ovary syndrome(PCOS), diagnosis criteria, and novel treatment". Endocrine and Metabolic Science. 17 100228. doi:10.1016/j.endmts.2025.100228. ISSN 2666-3961.
  77. ^ Teede HJ, Tay CT, Laven JJ, Dokras A, Moran LJ, Piltonen TT, et al. (September 2023). "Recommendations From the 2023 International Evidence-based Guideline for the Assessment and Management of Polycystic Ovary Syndrome". J Clin Endocrinol Metab. 108 (10): 2447–69. doi:10.1210/clinem/dgad463. PMC 10505534. PMID 37580314.
  78. ^ Bordewijk EM, Ng KY, Rakic L, Mol BW, Brown J, Crawford TJ, et al. (February 2020). "Laparoscopic ovarian drilling for ovulation induction in women with anovulatory polycystic ovary syndrome". The Cochrane Database of Systematic Reviews. 2 (2): CD001122. doi:10.1002/14651858.CD001122.pub5. PMC 7013239. PMID 32048270.
  79. ^ Dokras A, Saini S, Gibson-Helm M, Schulkin J, Cooney L, Teede H (2017). "Gaps in knowledge among physicians regarding diagnostic criteria and management of polycystic ovary syndrome". Fertility and Sterility. 107 (6): 1380–1386.e1. doi:10.1016/j.fertnstert.2017.04.011. PMID 28483503.
  80. ^ Dokras A, Saini S, Gibson-Helm M, Schulkin J, Cooney L, Teede H (2017). "Gaps in knowledge among physicians regarding diagnostic criteria and management of polycystic ovary syndrome". Fertility and Sterility. 107 (6): 1380–1386.e1. doi:10.1016/j.fertnstert.2017.04.011. PMID 28483503.
  81. ^ Markantes GK, Tsichlia G, Georgopoulos NA (1 January 2022), Diamanti-Kandarakis E (ed.), "Chapter 7 - Diet and exercise in the management of PCOS: Starting from the basics", Polycystic Ovary Syndrome, Elsevier, pp. 97–115, ISBN 978-0-12-823045-9, retrieved 15 July 2025
  82. ^ Antoniou-Tsigkos A, Pastroma K, Memi E, Vrachnis N, Mastorakos G (1 January 2022), Diamanti-Kandarakis E (ed.), "Chapter 9 - Combined oral contraceptives: Why, when, where?", Polycystic Ovary Syndrome, Elsevier, pp. 135–152, ISBN 978-0-12-823045-9, retrieved 15 July 2025
  83. ^ National Institutes of Health (NIH) (21 August 2024). "Treatments to Relieve Symptoms of PCOS". Eunice Kennedy Shriver National Institute of Child Health and Human Development. Retrieved 26 July 2025.
  84. ^ "Walking for health". nhs.uk. 25 January 2022. Retrieved 27 July 2025.
  85. ^ Ee C, Pirotta S, Mousa A, Moran L, Lim S (November 2021). "Providing lifestyle advice to women with PCOS: an overview of practical issues affecting success". BMC Endocrine Disorders. 21 (1) 234. doi:10.1186/s12902-021-00890-8. PMC 8609880. PMID 34814919.
  86. ^ Teede et al. 2023, p. 100.
  87. ^ Teede et al. 2023, p. 117.
  88. ^ Teede et al. 2023, p. 118.
  89. ^ NICE (December 2018). "Metformin Hydrochloride". National Institute for Care Excellence. NICE. Archived from the original on 10 June 2021. Retrieved 2 November 2017.
  90. ^ Teede et al. 2023, p. 149.
  91. ^ Teede et al. 2023, p. 116.
  92. ^ Alesi S, Forslund M, Melin J, Romualdi D, Peña A, Tay CT, et al. (September 2023). "Efficacy and safety of anti-androgens in the management of polycystic ovary syndrome: a systematic review and meta-analysis of randomised controlled trials". eClinicalMedicine. 63 102162. doi:10.1016/j.eclinm.2023.102162. PMC 10424142. PMID 37583655.
  93. ^ Teede et al. 2023, p. 240.
  94. ^ Teede et al. 2023, p. 128.
  95. ^ Franik S, Le QK, Kremer JA, Kiesel L, Farquhar C (2022). "Aromatase inhibitors (letrozole) for ovulation induction in infertile women with polycystic ovary syndrome". The Cochrane Database of Systematic Reviews. 2022 (9): CD010287. doi:10.1002/14651858.CD010287.pub4. PMC 9514207. PMID 36165742.
  96. ^ Sharpe A, Morley LC, Tang T, Norman RJ, Balen AH (December 2019). "Metformin for ovulation induction (excluding gonadotrophins) in women with polycystic ovary syndrome". The Cochrane Database of Systematic Reviews. 2019 (12): CD013505. doi:10.1002/14651858.CD013505. PMC 6915832. PMID 31845767.
  97. ^ Teede et al. 2023, p. 153.
  98. ^ Bordewijk EM, Ng KY, Rakic L, Mol BW, Brown J, Crawford TJ, et al. (11 February 2020). "Laparoscopic ovarian drilling for ovulation induction in women with anovulatory polycystic ovary syndrome". The Cochrane Database of Systematic Reviews. 2 (2): CD001122. doi:10.1002/14651858.CD001122.pub5. ISSN 1469-493X. PMC 7013239. PMID 32048270.
  99. ^ Teede et al. 2023, p. 154.
  100. ^ a b c d e Polycystic Ovarian Syndrome~treatment at eMedicine
  101. ^ a b Teede et al. 2023, p. 156.
  102. ^ Fraison E, Kostova E, Moran LJ, Bilal S, Ee CC, Venetis C, et al. (August 2020). "Metformin versus the combined oral contraceptive pill for hirsutism, acne, and menstrual pattern in polycystic ovary syndrome". The Cochrane Database of Systematic Reviews. 2020 (8): CD005552. doi:10.1002/14651858.CD005552.pub3. PMC 7437400. PMID 32794179.
  103. ^ "Polycystic ovary syndrome - Treatment". nhs.uk. 11 October 2022. Retrieved 27 July 2025.
  104. ^ Polycystic Ovarian Syndrome~medication at eMedicine
  105. ^ Teede et al. 2023, p. 82.
  106. ^ Teede et al. 2023, p. 83.
  107. ^ Teede et al. 2023, p. 93.
  108. ^ Teede et al. 2023, pp. 70–71.
  109. ^ Teede et al. 2023, pp. 68.
  110. ^ WHO (28 June 2023). "Polycystic ovary syndrome". World Health Organization- Polycystic Ovary Syndrome. Retrieved 20 September 2024.
  111. ^ Pal L, ed. (2013). "Diagnostic Criteria and Epidemiology of PCOS". Polycystic Ovary Syndrome Current and Emerging Concepts. Dordrecht: Springer. p. 7. ISBN 978-1-4614-8394-6. Archived from the original on 10 September 2017.
  112. ^ a b Teede et al. 2023, p. 64.
  113. ^ Salari N, Nankali A, Ghanbari A, Jafarpour S, Ghasemi H, Dokaneheifard S, et al. (2024). "Global prevalence of polycystic ovary syndrome in women worldwide: a comprehensive systematic review and meta-analysis". Archives of Gynecology and Obstetrics. 310 (3): 1303–1314. doi:10.1007/s00404-024-07607-x. ISSN 1432-0711. PMID 38922413.
  114. ^ Polson DW, Adams J, Wadsworth J, Franks S (April 1988). "Polycystic ovaries--a common finding in normal women". Lancet. 1 (8590): 870–2. doi:10.1016/s0140-6736(88)91612-1. PMID 2895373. S2CID 41297081.
  115. ^ a b Clayton RN, Ogden V, Hodgkinson J, Worswick L, Rodin DA, Dyer S, et al. (August 1992). "How common are polycystic ovaries in normal women and what is their significance for the fertility of the population?". Clinical Endocrinology. 37 (2): 127–134. doi:10.1111/j.1365-2265.1992.tb02296.x. PMID 1395063. S2CID 12384062.
  116. ^ Farquhar CM, Birdsall M, Manning P, Mitchell JM, France JT (February 1994). "The prevalence of polycystic ovaries on ultrasound scanning in a population of randomly selected women". The Australian & New Zealand Journal of Obstetrics & Gynaecology. 34 (1): 67–72. doi:10.1111/j.1479-828X.1994.tb01041.x. PMID 8053879. S2CID 312422.
  117. ^ van Santbrink EJ, Hop WC, Fauser BC (March 1997). "Classification of normogonadotropic infertility: polycystic ovaries diagnosed by ultrasound versus endocrine characteristics of polycystic ovary syndrome". Fertility and Sterility. 67 (3): 452–8. doi:10.1016/S0015-0282(97)80068-4. PMID 9091329.
  118. ^ Hardeman J, Weiss BD (March 2014). "Intrauterine devices: an update". American Family Physician. 89 (6): 445–450. PMID 24695563.
  119. ^ Hanson AE (1975). "Hippocrates: "Diseases of Women 1"". Signs: Journal of Women in Culture and Society. 1 (2): 567–584. doi:10.1086/493243. ISSN 0097-9740. PMID 21213645.
  120. ^ a b Kovacs GT, Norman R (22 February 2007). Polycystic Ovary Syndrome. Cambridge University Press. p. 4. ISBN 978-1-139-46203-7. Archived from the original on 16 June 2013. Retrieved 29 March 2013.
  121. ^ Burge K (29 May 2025). "Name change for PCOS under discussion". NewsGP. Retrieved 26 July 2025.
  122. ^ a b c d e Khatun M, Lundin K, Naillat F, Loog L, Saarela U, Tuuri T, et al. (January 2024). "Induced Pluripotent Stem Cells as a Possible Approach for Exploring the Pathophysiology of Polycystic Ovary Syndrome (PCOS)". Stem Cell Reviews and Reports. 20 (1): 67–87. doi:10.1007/s12015-023-10627-w. ISSN 2629-3269. PMC 10799779. PMID 37768523.
  123. ^ Li Pf, Wang F, Kong Hj, Zhao F, Bai Ah, Chen Xm, et al. (January 2012). "Establishment of polycystic ovary syndrome-derived human embryonic stem cell lines". Gynecological Endocrinology. 28 (1): 25–28. doi:10.3109/09513590.2011.588748. ISSN 0951-3590. PMID 21780950.
  124. ^ Yang S, Ding S, Jiang X, Sun B, Xu Q (June 2016). "Establishment and adipocyte differentiation of polycystic ovary syndrome-derived induced pluripotent stem cells". Cell Proliferation. 49 (3): 352–361. doi:10.1111/cpr.12258. ISSN 0960-7722. PMC 6496004. PMID 27108524.
  125. ^ Jozkowiak M, Piotrowska-Kempisty H, Kobylarek D, Gorska N, Mozdziak P, Kempisty B, et al. (31 December 2022). "Endocrine Disrupting Chemicals in Polycystic Ovary Syndrome: The Relevant Role of the Theca and Granulosa Cells in the Pathogenesis of the Ovarian Dysfunction". Cells. 12 (1): 174. doi:10.3390/cells12010174. ISSN 2073-4409. PMC 9818374. PMID 36611967.
  126. ^ a b Chaudhari AP, Mazumdar K, Mehta PD (2018). "Anxiety, Depression, and Quality of Life in Women with Polycystic Ovarian Syndrome". Indian Journal of Psychological Medicine. 40 (3): 239–246. doi:10.4103/IJPSYM.IJPSYM_561_17. PMC 5968645. PMID 29875531.
  127. ^ Zhang S, Wu Y, Mprah R, Wang M (2024). "COVID-19 and persistent symptoms: implications for polycystic ovary syndrome and its management". Front Endocrinol (Lausanne). 15 1434331. doi:10.3389/fendo.2024.1434331. PMC 11486749. PMID 39429741.
  128. ^ Yadav S, Delau O, Bonner AJ, Markovic D, Patterson W, Ottey S, et al. (3 August 2023). "Direct economic burden of mental health disorders associated with polycystic ovary syndrome: Systematic review and meta-analysis". eLife. 12 e85338. doi:10.7554/eLife.85338. ISSN 2050-084X. PMID 37534878.
  129. ^ Brakta S, Lizneva D, Mykhalchenko K, Imam A, Walker W, Diamond MP, et al. (1 December 2017). "Perspectives on Polycystic Ovary Syndrome: Is Polycystic Ovary Syndrome Research Underfunded?". The Journal of Clinical Endocrinology & Metabolism. 102 (12): 4421–4427. doi:10.1210/jc.2017-01415. ISSN 0021-972X. PMID 29092064.
  130. ^ Brinkhurst-Cuff C (22 June 2025). "I was diagnosed with PCOS – and was soon drowning in misinformation". The Guardian. ISSN 0261-3077. Retrieved 27 July 2025.
  131. ^ Wakefield J (7 December 2024). "Influencers selling fake cures for polycystic ovary syndrome". BBC News. Retrieved 27 July 2025.
  132. ^ Liu M, Murthi S, Poretsky L (2020). "Polycystic Ovary Syndrome and Gender Identity". The Yale Journal of Biology and Medicine. 93 (4): 529–537. ISSN 1551-4056. PMC 7513432. PMID 33005117.

Cited sources

  • Teede HJ, Tay CT, Laven JJ, Dokras A, Moran LJ, Piltonen TT, et al. (2023). International Evidence-based Guideline for the Assessment and Management of Polycystic Ovary Syndrome 2023. Melbourne, Australia: Monash University. ISBN 978-0-6458209-0-4.
  • Goodarzi MO (2024). BMJ Best Practice: Polycystic ovary syndrome (PDF). BMJ Publishing Group. Retrieved 29 June 2025.

Further reading