Left ventricular hypertrophy

Left ventricular hypertrophy
A heart with left ventricular hypertrophy in short-axis view
SpecialtyCardiology
ComplicationsHypertrophic cardiomyopathy, Heart failure[1]
Diagnostic methodEchocardiography, cardiovascular MRI[1]
Differential diagnosisAthletic heart syndrome

Left ventricular hypertrophy (LVH) is thickening of the heart muscle of the left ventricle of the heart, that is, left-sided ventricular hypertrophy and resulting increased left ventricular mass.

Causes

While ventricular hypertrophy occurs naturally as a reaction to aerobic exercise and strength training, it is most frequently referred to as a pathological reaction to cardiovascular disease, or high blood pressure.[2] It is one aspect of ventricular remodeling.

While LVH itself is not a disease, it is usually a marker for disease involving the heart.[3] Disease processes that can cause LVH include any disease that increases the afterload that the heart has to contract against, and some primary diseases of the muscle of the heart. Causes of increased afterload that can cause LVH include aortic stenosis, aortic insufficiency and hypertension. Primary disease of the muscle of the heart that cause LVH are known as hypertrophic cardiomyopathies, which can lead into heart failure.

Long-standing mitral insufficiency also leads to LVH as a compensatory mechanism.

LV mass increases with ageing.[4]

Associated genes include OGN (osteoglycin).[5]

Diagnosis

The commonly used method to diagnose LVH is echocardiography, with which the thickness of the muscle of the heart can be measured. The electrocardiogram (ECG) often shows signs of increased voltage from the heart in individuals with LVH, so this is often used as a screening test to determine who should undergo further testing.

Echocardiography

Left ventricular hypertrophy grading
by posterior wall thickness[6]
Mild 12 to 13 mm
Moderate >13 to 17 mm
Severe >17 mm

Two dimensional echocardiography can produce images of the left ventricle. The thickness of the left ventricle as visualized on echocardiography correlates with its actual mass. Left ventricular mass can be further estimated based on geometric assumptions of ventricular shape using the measured wall thickness and internal diameter.[7] Average thickness of the left ventricle, with numbers given as 95% prediction interval for the short axis images at the mid-cavity level are:[8]

  • Women: 4 – 8 mm
  • Men: 5 – 9 mm

CT & MRI

CT and MRI-based measurement can be used to measure the left ventricle in three dimensions and calculate left ventricular mass directly. MRI based measurement is considered the “gold standard” for left ventricular mass,[9] though is usually not readily available for common practice. In older individuals, age related remodeling of the left ventricle's geometry can lead to a discordancy between CT and echocardiographic based measurements of left ventricular mass.[4]

ECG criteria

Left ventricular hypertrophy with secondary repolarization abnormalities as seen on ECG
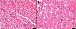
Histopathology of (a) normal myocardium and (b) myocardial hypertrophy. Scale bar indicates 50 μm.
Gross pathology of left ventricular hypertrophy. Left ventricle is at right in image, serially sectioned from apex to near base.

There are several sets of criteria used to diagnose LVH via electrocardiography.[10] None of them are perfect, though by using multiple criteria sets, the sensitivity and specificity are increased.

The Sokolow-Lyon index:[11][12]

  • S in V1 + R in V5 or V6 (whichever is larger) ≥ 35 mm (≥ 7 large squares)
  • R in aVL ≥ 11 mm

The Cornell voltage criteria[13] for the ECG diagnosis of LVH involve measurement of the sum of the R wave in lead aVL and the S wave in lead V3. The Cornell criteria for LVH are:

  • S in V3 + R in aVL > 28 mm (men)
  • S in V3 + R in aVL > 20 mm (women)

The Romhilt-Estes point score system ("diagnostic" >5 points; "probable" 4 points):

ECG Criteria Points
Voltage Criteria (any of):
  1. R or S in limb leads ≥20 mm
  2. S in V1 or V2 ≥30 mm
  3. R in V5 or V6 ≥30 mm
3
ST-T Abnormalities:
  • ST-T vector opposite to QRS without digitalis
  • ST-T vector opposite to QRS with digitalis

3
1

Negative terminal P mode in V1 1 mm in depth and 0.04 sec in duration (indicates left atrial enlargement) 3
Left axis deviation (QRS of −30° or more) 2
QRS duration ≥0.09 sec 1
Delayed intrinsicoid deflection in V5 or V6 (>0.05 sec) 1

Other voltage-based criteria for LVH include:

  • Lead I: R wave > 14 mm
  • Lead aVR: S wave > 15 mm
  • Lead aVL: R wave > 12 mm
  • Lead aVF: R wave > 21 mm
  • Lead V5: R wave > 26 mm
  • Lead V6: R wave > 20 mm

Diagnostic accuracy of electrocardiography in left ventricular hypertrophy can be enhanced with artificial intelligence analysis.[14]

Treatment

Treatment is typically focused on resolving the cause of the LVH with the enlargement not permanent in all cases. In some cases the growth can regress with the reduction of blood pressure.[15]

LVH may be a factor in determining treatment or diagnosis for other conditions, for example, LVH is used in the staging and risk stratification of Non-ischemic cardiomyopathies such as Fabry's Disease.[16] Patients with LVH may have to participate in more complicated and precise diagnostic procedures, such as echocardiography or cardiac MRI.[17][18]

See also

References

  1. ^ a b Maron BJ, Maron MS (January 2013). "Hypertrophic cardiomyopathy". Lancet. 381 (9862). Elsevier BV: 242–255. doi:10.1016/s0140-6736(12)60397-3. PMID 22874472. S2CID 38333896.
  2. ^ "Ask the doctor: Left Ventricular Hypertrophy". Retrieved 2007-12-07.
  3. ^ Meijs MF, Bots ML, Vonken EJ, Cramer MJ, Melman PG, Velthuis BK, et al. (2007). "Rationale and design of the SMART Heart study: A prediction model for left ventricular hypertrophy in hypertension". Netherlands Heart Journal. 15 (9): 295–298. doi:10.1007/BF03086003. PMC 1995099. PMID 18030317.
  4. ^ a b Stokar J, Leibowitz D, Durst R, Shaham D, Zwas DR (2019-10-24). "Echocardiography overestimates LV mass in the elderly as compared to cardiac CT". PLOS ONE. 14 (10): e0224104. Bibcode:2019PLoSO..1424104S. doi:10.1371/journal.pone.0224104. PMC 6812823. PMID 31648248.
  5. ^ Petretto E, Sarwar R, Grieve I, Lu H, Kumaran MK, Muckett PJ, et al. (May 2008). "Integrated genomic approaches implicate osteoglycin (Ogn) in the regulation of left ventricular mass". Nature Genetics. 40 (5): 546–552. doi:10.1038/ng.134. PMC 2742198. PMID 18443592.
  6. ^ Goland S, Czer LS, Kass RM, Siegel RJ, Mirocha J, De Robertis MA, et al. (March 2008). "Use of cardiac allografts with mild and moderate left ventricular hypertrophy can be safely used in heart transplantation to expand the donor pool". Journal of the American College of Cardiology. 51 (12): 1214–1220. doi:10.1016/j.jacc.2007.11.052. PMID 18355661. S2CID 29478910.
  7. ^ Lang RM, Badano LP, Mor-Avi V, Afilalo J, Armstrong A, Ernande L, et al. (January 2015). "Recommendations for cardiac chamber quantification by echocardiography in adults: an update from the American Society of Echocardiography and the European Association of Cardiovascular Imaging". Journal of the American Society of Echocardiography. 28 (1): 1–39.e14. doi:10.1016/j.echo.2014.10.003. hdl:1854/LU-5953422. PMID 25559473.
  8. ^ Kawel N, Turkbey EB, Carr JJ, Eng J, Gomes AS, Hundley WG, et al. (July 2012). "Normal left ventricular myocardial thickness for middle-aged and older subjects with steady-state free precession cardiac magnetic resonance: the multi-ethnic study of atherosclerosis". Circulation: Cardiovascular Imaging. 5 (4): 500–508. doi:10.1161/CIRCIMAGING.112.973560. PMC 3412148. PMID 22705587.
  9. ^ Myerson SG, Bellenger NG, Pennell DJ (March 2002). "Assessment of left ventricular mass by cardiovascular magnetic resonance". Hypertension. 39 (3): 750–755. doi:10.1161/hy0302.104674. PMID 11897757. S2CID 16598370.
  10. ^ "Lesson VIII - Ventricular Hypertrophy". Retrieved 2009-01-07.
  11. ^ Sokolow M, Lyon TP (February 1949). "The ventricular complex in left ventricular hypertrophy as obtained by unipolar precordial and limb leads". American Heart Journal. 37 (2): 161–186. doi:10.1016/0002-8703(49)90562-1. PMID 18107386.
  12. ^ Okin PM, Roman MJ, Devereux RB, Pickering TG, Borer JS, Kligfield P (April 1998). "Time-voltage QRS area of the 12-lead electrocardiogram: detection of left ventricular hypertrophy". Hypertension. 31 (4): 937–942. CiteSeerX 10.1.1.503.8356. doi:10.1161/01.HYP.31.4.937. PMID 9535418. S2CID 2662286.
  13. ^ Casale PN, Devereux RB, Alonso DR, Campo E, Kligfield P (March 1987). "Improved sex-specific criteria of left ventricular hypertrophy for clinical and computer interpretation of electrocardiograms: validation with autopsy findings". Circulation. 75 (3): 565–572. doi:10.1161/01.CIR.75.3.565. PMID 2949887. S2CID 25815927.
  14. ^ Martínez-Sellés, Manuel; Marina-Breysse, Manuel (2023). "Current and Future Use of Artificial Intelligence in Electrocardiography". Journal of Cardiovascular Development and Disease. 10 (4): 175. doi:10.3390/jcdd10040175. PMC 10145690. PMID 37103054.
  15. ^ Gradman AH, Alfayoumi F (2006). "From left ventricular hypertrophy to congestive heart failure: management of hypertensive heart disease". Progress in Cardiovascular Diseases. 48 (5): 326–341. doi:10.1016/j.pcad.2006.02.001. PMID 16627048.
  16. ^ Tower-Rader A, Jaber WA (November 2019). "Multimodality Imaging Assessment of Fabry Disease". Circulation: Cardiovascular Imaging. 12 (11): e009013. doi:10.1161/CIRCIMAGING.119.009013. PMID 31718277.
  17. ^ American Society of Nuclear Cardiology, "Five Things Physicians and Patients Should Question" (PDF), Choosing Wisely: an initiative of the ABIM Foundation, American Society of Nuclear Cardiology, archived from the original (PDF) on April 16, 2012, retrieved August 17, 2012
  18. ^ Anderson JL, Adams CD, Antman EM, Bridges CR, Califf RM, Casey DE, et al. (August 2007). "ACC/AHA 2007 guidelines for the management of patients with unstable angina/non-ST-Elevation myocardial infarction: a report of the American College of Cardiology/American Heart Association Task Force on Practice Guidelines (Writing Committee to Revise the 2002 Guidelines for the Management of Patients With Unstable Angina/Non-ST-Elevation Myocardial Infarction) developed in collaboration with the American College of Emergency Physicians, the Society for Cardiovascular Angiography and Interventions, and the Society of Thoracic Surgeons endorsed by the American Association of Cardiovascular and Pulmonary Rehabilitation and the Society for Academic Emergency Medicine". Journal of the American College of Cardiology. 50 (7): e1 – e157. doi:10.1161/CIRCULATIONAHA.107.185752. PMID 17692738.