Cognitive dissonance
| Part of a series on |
| Psychology |
|---|
In the field of psychology, cognitive dissonance is described as a mental phenomenon in which people unknowingly hold fundamentally conflicting cognitions.[1] Being confronted by situations that create this dissonance or highlight these inconsistencies motivates change in their cognitions or actions to reduce this dissonance, maybe by changing a belief or maybe by explaining something away.[1]
Relevant items of cognition include peoples' actions, feelings, ideas, beliefs, values, and things in the environment. Cognitive dissonance exists without signs but surfaces through psychological stress when persons participate in an action that goes against one or more of conflicting things. According to this theory, when an action or idea is psychologically inconsistent with the other, people automatically try to resolve the conflict, usually by reframing a side to make the combination congruent. Discomfort is triggered by beliefs clashing with new information or by having to conceptually resolve a matter that involves conflicting sides, whereby the individual tries to find a way to reconcile contradictions to reduce their discomfort.[1]
In When Prophecy Fails: A Social and Psychological Study of a Modern Group That Predicted the Destruction of the World (1956) and A Theory of Cognitive Dissonance (1957), Leon Festinger proposed that human beings strive for internal psychological consistency to function mentally in the real world.[2] Persons who experience internal inconsistency tend to become psychologically uncomfortable and are motivated to reduce the cognitive dissonance.[1] They tend to make changes to justify the stressful behavior, by either adding new parts to the cognition causing the psychological dissonance (rationalization), believing that "people get what they deserve" (just-world fallacy), taking in specific pieces of information while rejecting or ignoring others (selective perception), or avoiding circumstances and contradictory information likely to increase the magnitude of the cognitive dissonance (confirmation bias).[3][4] Festinger explains avoiding cognitive dissonance as "Tell him you disagree and he turns away. Show him facts or figures and he questions your sources. Appeal to logic and he fails to see your point."[5]
Originator
Leon Festinger, born in 1919 in New York City,[6] was an American social psychologist whose contributions to psychology include the cognitive dissonance theory, social comparison theory, and the proximity effect.[5][7]
Festinger graduated from the City College of New York in 1939; he then received his PhD in Child Psychology from the University of Iowa.[6] He was initially inspired to enter the field of psychology by Kurt Lewin, known as the "father of modern social psychology", and his work in Gestalt psychology. Studying under Kurt Lewin for most of his academic career, Festinger returned to collaborate with Lewin at the Research Center for Group Dynamics at the Massachusetts Institute of Technology.[5] In a 2002 American Psychological Association article, Festinger is cited as the fifth most eminent psychologist of the 20th century, just after B.F. Skinner, Jean Piaget, Sigmund Freud, and Albert Bandura, respectively.[8] Festinger's cognitive dissonance theory is still one of the most influential social theories in modern social psychology.[9]
Throughout this research, Festinger noticed that people often like to stick to consistent habits and routines to maintain order within their lives. These habits may include everyday activities like preferring a specific seat during their daily commute or eating meals at consistent times.[5] Any disturbance to this order can lead to mental unease, which may manifest in altered thought processes or beliefs.[2] Festinger concluded that the sole means of alleviating this discomfort is by adjusting either their actions or beliefs to restore consistency.[5][10]
Since his publication of A Theory of Cognitive Dissonance in 1957, Festinger's findings have helped to understand peoples' personal biases,[11] how people reframe situations in their heads to maintain a positive self-image, and why one may pursue certain behaviors that misalign with their judgments as they seek out or reject certain information.[12][13]
Coping with the nuances of contradictory ideas or experiences is mentally stressful, as it requires energy and effort to sit with those seemingly opposite things that all seem true. Festinger argued that some people would inevitably resolve the dissonance by blindly believing whatever they wanted to believe.
Relations among cognitions
To function in the reality of society, human beings continually adjust the correspondence of their mental attitudes and personal actions; such continual adjustments, between cognition and action, result in one of three relationships with reality:[2]
- Consonant relationship: A cognition or action consistent with the other, e.g., not wanting to become drunk when out for dinner and ordering water rather than wine
- Irrelevant relationship: A cognition or action unrelated to the other, e.g. not wanting to become drunk when out and wearing a shirt
- Dissonant relationship: A cognition or action inconsistent with the other, e.g. not wanting to become drunk when out, but then drinking more wine anyway
Magnitude of dissonance
The term "magnitude of dissonance" refers to the level of discomfort caused to the person. This can be caused by the relationship between two different internal beliefs, or an action that is incompatible with the beliefs of the person.[14] Two factors determine the degree of psychological dissonance caused by two conflicting cognitions or by two conflicting actions:
- The importance of cognitions: the greater the personal value of the elements, the greater the magnitude of the dissonance in the relation. When the value of the importance of the two dissonant items is high, it is difficult to determine which action or thought is correct. Both have had a place of truth, at least subjectively, in the mind of the person. Therefore, when the ideals or actions now clash, it is difficult for the individual to decide which takes priority.
- Ratio of cognitions: the proportion of dissonant-to-consonant elements. There is a level of discomfort within each person that is acceptable for living. When a person is within that comfort level, the dissonant factors do not interfere with functioning. However, when dissonant factors are abundant and not enough in line with each other, one goes through a process to regulate and bring the ratio back to an acceptable level. Once a subject chooses to keep one of the dissonant factors, they quickly forget the other to restore peace of mind.[15]
There is always some degree of dissonance within a person as they go about making decisions, due to the changing quantity and quality of knowledge and wisdom that they gain. The magnitude itself is a subjective measurement since the reports are self relayed, and there is no objective way as yet to get a clear measurement of the level of discomfort.[16]
Reduction
Cognitive dissonance theory proposes that people seek psychological consistency between their expectations of life and the existential reality of the world. To function by that expectation of existential consistency, people continually reduce their cognitive dissonance in order to align their cognitions (perceptions of the world) with each other and their actions.
The creation and establishment of psychological consistency allows the person affected with cognitive dissonance to lessen mental stress by actions that reduce the magnitude of the dissonance, realized either by changing with or by justifying against or by being indifferent to the existential contradiction that is inducing the mental stress.[2] In practice, people reduce the magnitude of their cognitive dissonance in four ways:
- Change the behavior or the cognition ("I'll eat no more of this doughnut.")
- Justify the behavior or the cognition, by changing the conflicting cognition ("I'm allowed to cheat my diet every once in a while.")
- Justify the behavior or the cognition by adding new behaviors or cognitions ("I'll spend thirty extra minutes at the gymnasium to work off the doughnut.")
- Ignore or deny information that conflicts with existing beliefs ("This doughnut is not a high-sugar food.")
Three cognitive bias theories are proposed proponents of cognitive dissonance (Note: they are not distinct, they draw from each other): 1. Bias Blind Spot — the tendency to perceive oneself as less susceptible to biases than others,[17][18] 2. The Better-Than-Average-Effect — the tendency to believe that one is overall superior to others in terms of ability and character,[19] and Confirmation bias — the tendency to interpret and understand information in a way that supports preexisting beliefs, thoughts, feelings, etc.[20]
Having congruent, or perceived as congruent cognition is required in order to function in the real world according to the results of The Psychology of Prejudice (2006),[21] wherein people facilitate their functioning in the real world by employing human categories (i.e. sex and gender, age and race, etc.) with which they manage their social interactions with other people.
Based on a brief overview of models and theories related to cognitive consistency from many different scientific fields, such as social psychology, perception, neurocognition, learning, motor control, system control, ethology, and stress, it has even been proposed that "all behaviour involving cognitive processing is caused by the activation of inconsistent cognitions and functions to increase perceived consistency"; that is, all behaviour functions to reduce cognitive inconsistency at some level of information processing.[22] Indeed, the involvement of cognitive inconsistency has long been suggested for behaviors related to for instance curiosity,[23][24] and aggression and fear,[25][26] while it has also been suggested that the inability to satisfactorily reduce cognitive inconsistency may – dependent on the type and size of the inconsistency – result in stress.[22][27]
Selective exposure
Another means to reduce cognitive dissonance is selective exposure. This theory has been discussed since the early days of Festinger's proposal of cognitive dissonance. He noticed that people would selectively expose themselves to some media over others; specifically, they would avoid dissonant messages and prefer consonant messages.[28] Through selective exposure, people actively (and selectively) choose what to watch, view, or read that fit to their current state of mind, mood or beliefs.[29] In other words, consumers select attitude-consistent information and avoid attitude-challenging information.[30] This can be applied to media, news, music, and any other messaging channel. The idea is, choosing something that is in opposition to how you feel or believe in will increase cognitive dissonance.
For example, a study was done in an elderly home in 1992 on the loneliest residents—those that did not have family or frequent visitors. The residents were shown a series of documentaries: three that featured a "very happy, successful elderly person", and three that featured an "unhappy, lonely elderly person."[31] After watching the documentaries, the residents indicated they preferred the media featuring the unhappy, lonely person over the happy person. This can be attested to them feeling lonely, and experiencing cognitive dissonance watching somebody their age feeling happy and being successful. This study explains how people select media that aligns with their mood, as in selectively exposing themselves to people and experiences they are already experiencing. It is more comfortable to see a movie about a character that is similar to you than to watch one about someone who is your age who is more successful than you.
Another example to note is how people mostly consume media that aligns with their political views. In a study done in 2015, participants were shown "attitudinally consistent, challenging, or politically balanced online news."[30]: 3 Results showed that the participants trusted attitude-consistent news the most out of all the others, regardless of the source. It is evident that the participants actively selected media that aligns with their beliefs rather than opposing media.[30]
In fact, recent research has suggested that while a discrepancy between cognitions drives individuals to crave for attitude-consistent information, the experience of negative emotions drives individuals to avoid counter attitudinal information. In other words, it is the psychological discomfort which activates selective exposure as a dissonance-reduction strategy.[32]
Paradigms
There are four theoretic paradigms of cognitive dissonance, the mental stress people experienced when exposed to information that is inconsistent with their beliefs, ideals or values: Belief Disconfirmation, Induced Compliance, Free Choice, and Effort Justification, which respectively explain what happens after a person acts inconsistently, relative to their intellectual perspectives; what happens after a person makes decisions and what are the effects upon a person who has expended much effort to achieve a goal. Common to each paradigm of cognitive-dissonance theory is the tenet: People invested in a given perspective shall—when confronted with contrary evidence—expend great effort to justify retaining the challenged perspective.[33]
Belief disconfirmation
The contradiction of a belief, ideal, or system of values causes cognitive dissonance that can be resolved by changing the challenged belief, yet, instead of affecting change, the resultant mental stress restores psychological consonance to the person by misperception, rejection, or refutation of the contradiction, seeking moral support from people who share the contradicted beliefs or acting to persuade other people that the contradiction is unreal.[34]
The early hypothesis of belief contradiction presented in When Prophecy Fails (1956) reported that faith deepened among the members of an apocalyptic religious cult, despite the failed prophecy of an alien spacecraft soon to land on Earth to rescue them from earthly corruption. At the determined place and time, the cult assembled; they believed that only they would survive planetary destruction; yet the spaceship did not arrive to Earth. The confounded prophecy caused them acute cognitive-dissonance: Had they been victims of a hoax? Had they vainly donated away their material possessions? To resolve the dissonance between apocalyptic, end-of-the-world religious beliefs and earthly, material reality, most of the cult restored their psychological consonance by choosing to believe a less mentally-stressful idea to explain the missed landing: that the aliens had given planet Earth a second chance at existence, which, in turn, empowered them to re-direct their religious cult to environmentalism and social advocacy to end human damage to planet Earth. On overcoming the confounded belief by changing to global environmentalism, the cult increased in numbers by proselytism.[35]
The study of The Rebbe, the Messiah, and the Scandal of Orthodox Indifference (2008) reported the belief contradiction that occurred in the Chabad Orthodox Jewish congregation, who believed that their Rebbe, Menachem Mendel Schneerson, was the Messiah. When he died of a stroke in 1994, instead of accepting that their Rebbe was not the Messiah, some of the congregation proved indifferent to that contradictory fact, and continued claiming that Schneerson was the Messiah and that he would soon return from the dead.[36]
Induced compliance

In the Cognitive Consequences of Forced Compliance (1959), the investigators Leon Festinger and Merrill Carlsmith asked students to spend an hour doing tedious tasks; e.g. turning pegs a quarter-turn, at fixed intervals. This procedure included seventy-one male students attending Stanford University. Students were asked to complete a series of repetitive, mundane tasks, then asked to convince a separate group of participants that the task was fun and exciting. Once the subjects had done the tasks, the experimenters asked one group of subjects to speak with another subject (an actor) and persuade that impostor-subject that the tedious tasks were interesting and engaging. Subjects of one group were paid twenty dollars ($20); those in a second group were paid one dollar ($1) and those in the control group were not asked to speak with the imposter-subject.[37]
At the conclusion of the study, when asked to rate the tedious tasks, the subjects of the second group (paid $1) rated the tasks more positively than did the subjects in the first group (paid $20), and the first group (paid $20) rated the tasks just slightly more positively than did the subjects of the control group; the responses of the paid subjects were evidence of cognitive dissonance. The researchers, Festinger and Carlsmith, proposed that the subjects experienced dissonance between the conflicting cognitions. "I told someone that the task was interesting" and "I actually found it boring." The subjects paid one dollar were induced to comply, compelled to internalize the "interesting task" mental attitude because they had no other justification. The subjects paid twenty dollars were induced to comply by way of an obvious, external justification for internalizing the "interesting task" mental attitude and experienced a lower degree of cognitive dissonance than did those only paid one dollar.[37] They did not receive sufficient compensation for the lie they were asked to tell. Because of this insufficiency, the participants convinced themselves to believe that what they were doing was exciting. This way, they felt better about telling the next group of participants that it was exciting because, technically, they weren't lying.[38]
Forbidden behavior paradigm
In the Effect of the Severity of Threat on the Devaluation of Forbidden Behavior (1963), a variant of the induced-compliance paradigm, by Elliot Aronson and Carlsmith, examined self-justification in children.[39] Children were left in a room with toys, including a greatly desirable steam shovel, the forbidden toy. Upon leaving the room, the experimenter told one-half of the group of children that there would be severe punishment if they played with the steam-shovel toy and told the second half of the group that there would be a mild punishment for playing with the forbidden toy. All of the children refrained from playing with the forbidden toy (the steam shovel).[39]
Later, when the children were told that they could freely play with any toy they wanted, the children in the mild-punishment group were less likely to play with the steam shovel (the forbidden toy), despite the removal of the threat of mild punishment. The children threatened with mild punishment had to justify, to themselves, why they did not play with the forbidden toy. The degree of punishment was insufficiently strong to resolve their cognitive dissonance; the children had to convince themselves that playing with the forbidden toy was not worth the effort.[39]
In The Efficacy of Musical Emotions Provoked by Mozart's Music for the Reconciliation of Cognitive Dissonance (2012), a variant of the forbidden-toy paradigm, indicated that listening to music reduces the development of cognitive dissonance.[40] Without music in the background, the control group of four-year-old children were told to avoid playing with a forbidden toy. After playing alone, the control-group children later devalued the importance of the forbidden toy. In the variable group, classical music played in the background while the children played alone. In the second group, the children did not later devalue the forbidden toy. The researchers, Nobuo Masataka and Leonid Perlovsky, concluded that music might inhibit cognitions that induce cognitive dissonance.[40]
Music is a stimulus that can diminish post-decisional dissonance; in an earlier experiment, Washing Away Postdecisional Dissonance (2010), the researchers indicated that the actions of hand-washing might inhibit the cognitions that induce cognitive dissonance.[41] That study later failed to replicate.[42]
Free choice
In the study Post-decision Changes in Desirability of Alternatives (1956) 225 female students rated domestic appliances and then were asked to choose one of two appliances as a gift. The results of the second round of ratings indicated that the women students increased their ratings of the domestic appliance they had selected as a gift and decreased their ratings of the appliances they rejected.[43]
This type of cognitive dissonance occurs in a person who is faced with a difficult decision and when the rejected choice may still have desirable characteristics to the chooser. The action of deciding provokes the psychological dissonance consequent to choosing X instead of Y, despite little difference between X and Y; the decision "I chose X" is dissonant with the cognition that "There are some aspects of Y that I like". The study Choice-induced Preferences in the Absence of Choice: Evidence from a Blind Two-choice Paradigm with Young Children and Capuchin Monkeys (2010) reports similar results in the occurrence of cognitive dissonance in human beings and in animals.[44]
Peer Effects in Pro-Social Behavior: Social Norms or Social Preferences? (2013) indicated that with internal deliberation, the structuring of decisions among people can influence how a person acts. The study suggested that social preferences and social norms can explain peer effects in decision making. The study observed that choices made by the second participant would influence the first participant's effort to make choices and that inequity aversion, the preference for fairness, is the paramount concern of the participants.[45]
Effort justification
Cognitive dissonance occurs in a person who voluntarily engages in (physically or ethically) unpleasant activities to achieve a goal. The mental stress caused by the dissonance can be reduced by the person exaggerating the desirability of the goal. In The Effect of Severity of Initiation on Liking for a Group (1956), to qualify for admission to a discussion group, two groups of people underwent an embarrassing initiation of varied psychological severity. The first group of subjects were to read aloud twelve sexual words considered obscene; the second group of subjects were to read aloud twelve sexual words not considered obscene.[46]
Both groups were given headphones to unknowingly listen to a recorded discussion about animal sexual behaviour, which the researchers designed to be dull and banal. As the subjects of the experiment, the groups of people were told that the animal-sexuality discussion actually was occurring in the next room. The subjects whose strong initiation required reading aloud obscene words evaluated the people of their group as more-interesting persons than the people of the group who underwent the mild initiation to the discussion group.[46]
In Washing Away Your Sins: Threatened Morality and Physical Cleansing (2006), the results indicated that a person washing their hands is an action that helps resolve post-decisional cognitive dissonance because the mental stress usually was caused by the person's ethical–moral self-disgust, which is an emotion related to the physical disgust caused by a dirty environment.[41][47]
The study The Neural Basis of Rationalization: Cognitive Dissonance Reduction During Decision-making (2011) indicated that participants rated 80 names and 80 paintings based on how much they liked the names and paintings. To give meaning to the decisions, the participants were asked to select names that they might give to their children. For rating the paintings, the participants were asked to base their ratings on whether or not they would display such art at home.[48]
The results indicated that when the decision is meaningful to the person deciding value, the likely rating is based on their attitudes (positive, neutral or negative) towards the name and towards the painting in question. The participants also were asked to rate some of the objects twice and believed that, at session's end, they would receive two of the paintings they had positively rated. The results indicated a great increase in the positive attitude of the participant towards the liked pair of things, whilst also increasing the negative attitude towards the disliked pair of things. The double-ratings of pairs of things, towards which the rating participant had a neutral attitude, showed no changes during the rating period. The existing attitudes of the participant were reinforced during the rating period and the participants experienced cognitive dissonance when confronted by a liked-name paired with a disliked-painting.[48]
In the study, Does effort increase or decrease reward validation? Considerations from cognitive dissonance theory (2024), the authors discovered that effort justification and effort discounting may determine the amount of reward valuation a person feels after completing a task.[49] Effort justification is the term used for high efforts leading to high rewards. Effort discounting is the term used for high efforts leading to low rewards. These terms relate to Cognitive Dissonance because humans enjoy controlling the efforts that may lead to rewards. This study determined that having high control can lead to higher efforts, leading to higher rewards. Similarly, having low control can lead to higher efforts yet lower rewards.[49] These results indicate that humans seek highly controllable situations and actions to receive rewards for their efforts. The ability to control one’s actions is crucial for eliminating the effects of Cognitive Dissonance. It is also essential in the process of decision-making without any influence, whether positive or negative, from others.
Examples

Meat-eating
Meat-eating can involve discrepancies between the behavior of eating meat and various ideals that the person holds.[50] Some researchers call this form of moral conflict the meat paradox.[51][52] Hank Rothgerber posited that meat eaters may encounter a conflict between their eating behavior and their affections toward animals.[50] This occurs when the dissonant state involves recognition of one's behavior as a meat eater and a belief, attitude, or value that this behavior contradicts.[50] The person with this state may attempt to employ various methods, including avoidance, willful ignorance, dissociation, perceived behavioral change, and do-gooder derogation to prevent this form of dissonance from occurring.[50] Once occurred, they may reduce it in the form of motivated cognitions, such as denigrating animals, offering pro-meat justifications, or denying responsibility for eating meat.[50]
The extent of cognitive dissonance with regard to meat eating can vary depending on the attitudes and values of the individual involved because these can affect whether or not they see any moral conflict with their values and what they eat. For example, individuals who are more dominance minded and who value having a masculine identity are less likely to experience cognitive dissonance because they are less likely to believe eating meat is morally wrong.[51] Others cope with this cognitive dissonance often through ignorance (ignoring the known realities of their food source) or explanations loosely tied to taste. The psychological phenomenon intensifies if mind or human-like qualities of animals are explicitly mentioned.[51]
Smoking
The study Patterns of Cognitive Dissonance-reducing Beliefs Among Smokers: A Longitudinal Analysis from the International Tobacco Control (ITC) Four Country Survey (2012) indicated that smokers use justification beliefs to reduce their cognitive dissonance about smoking tobacco and the negative consequences of smoking it.[53]
- Continuing smokers (Smoking and no attempt to quit since the previous round of study)
- Successful quitters (Quit during the study and did not use tobacco from the time of the previous round of study)
- Failed quitters (Quit during the study, but relapsed to smoking at the time of the study)
To reduce cognitive dissonance, the participant smokers adjusted their beliefs to correspond with their actions:
- Functional beliefs ("Smoking calms me down when I am stressed or upset."; "Smoking helps me concentrate better."; "Smoking is an important part of my life."; and "Smoking makes it easier for me to socialize.")
- Risk-minimizing beliefs ("The medical evidence that smoking is harmful is exaggerated."; "One has to die of something, so why not enjoy yourself and smoke?"; and "Smoking is no more risky than many other things people do.")[54]
Littering
Disposing of trash outside, even when knowing this is against the law, wrong, and is harmful for the environment, is a prominent example of cognitive dissonance, especially if the person feels bad after littering but continues to do so.
Between November 2015 and March 2016, a study by Xitou Nature Education Area in Taiwan examined littering of tourists. Researchers analyzed the relationships between tourists' environmental attitudes, cognitive dissonance, and vandalism.[55] In this study, 500 questionnaires were distributed and 499 questionnaires were returned.[55] The results of this study indicate that older tourists had better attitudes towards the environment and cared more. The tourists who were older and cared more for outdoor activities were less likely to litter. On the other hand, the younger tourists littered more and experienced more cognitive dissonance.[55] This study showed that younger tourists littered more as a whole and regretted or thought about it after.[55]
Unpleasant medical screenings
In a study titled Cognitive Dissonance and Attitudes Toward Unpleasant Medical Screenings (2016), researchers Michael R. Ent and Mary A. Gerend informed the study participants about a discomforting test for a specific (fictitious) virus called the "human respiratory virus-27". The study used a fake virus to prevent participants from having thoughts, opinions, and feeling about the virus that would interfere with the experiment. The study participants were in two groups; one group was told that they were actual candidates for the virus-27 test, and the second group were told they were not candidates for the test. The researchers reported, "We predicted that [study] participants who thought that they were candidates for the unpleasant test would experience dissonance associated with knowing that the test was both unpleasant and in their best interest—this dissonance was predicted to result in unfavorable attitudes toward the test."[56]
Related phenomena
Cognitive dissonance may also occur when people seek to explain or justify their beliefs, often without questioning the validity of their claims. After the earthquake of 1934, Bihar, India, irrational rumors based upon fear quickly reached the adjoining communities unaffected by the disaster because those people, although not in physical danger, psychologically justified their anxieties about the earthquake.[57] The same pattern can be observed when one's convictions are met with a contradictory order. In a study conducted among 6th grade students, after being induced to cheat in an academic examination, students judged cheating less harshly.[58] Nonetheless, the confirmation bias identifies how people readily read information that confirms their established opinions and readily avoid reading information that contradicts their opinions.[59] The confirmation bias is apparent when a person confronts deeply held political beliefs, i.e. when a person is greatly committed to their beliefs, values, and ideas.[59]
If a contradiction occurs between how a person feels and how a person acts, one's perceptions and emotions align to alleviate stress. The Ben Franklin effect refers to that statesman's observation that the act of performing a favor for a rival leads to increased positive feelings toward that individual. It is also possible that one's emotions be altered to minimize the regret of irrevocable choices. At a hippodrome, bettors had more confidence in their horses after the betting than before.[60]
Applications
Education
The management of cognitive dissonance readily influences the apparent motivation of a student to pursue education.[61] The study Turning Play into Work: Effects of Adult Surveillance and Extrinsic Rewards on Children's Intrinsic Motivation (1975) indicated that the application of the effort justification paradigm increased student enthusiasm for education with the offer of an external reward for studying; students in pre-school who completed puzzles based upon an adult promise of reward were later less interested in the puzzles than were students who completed the puzzle-tasks without the promise of a reward.[62]
The incorporation of cognitive dissonance into models of basic learning-processes to foster the students' self-awareness of psychological conflicts among their personal beliefs, ideals, and values and the reality of contradictory facts and information, requires the students to defend their personal beliefs. Afterwards, the students are trained to objectively perceive new facts and information to resolve the psychological stress of the conflict between reality and the student's value system.[63] Moreover, educational software that applies the derived principles facilitates the students' ability to successfully handle the questions posed in a complex subject.[64] Meta-analysis of studies indicates that psychological interventions that provoke cognitive dissonance in order to achieve a directed conceptual change do increase students' learning in reading skills and science.[63]
Psychotherapy
The general effectiveness of psychotherapy and psychological intervention is partly explained by the theory of cognitive dissonance.[65] In that vein, social psychology proposed that the mental health of the patient is positively influenced by his and her action in freely choosing a specific therapy and in exerting the required, therapeutic effort to overcome cognitive dissonance.[66] That effective phenomenon was indicated in the results of the study Effects of Choice on Behavioral Treatment of Overweight Children (1983), wherein the children's belief that they freely chose the type of therapy received, resulted in each overweight child losing a greater amount of excessive body weight.[67]
In the study Reducing Fears and Increasing Attentiveness: The Role of Dissonance Reduction (1980), people with ophidiophobia (fear of snakes) who invested much effort in activities of little therapeutic value for them (experimentally represented as legitimate and relevant) showed improved alleviation of the symptoms of their phobia.[68] Likewise, the results of Cognitive Dissonance and Psychotherapy: The Role of Effort Justification in Inducing Weight Loss (1985) indicated that the patient felt better in justifying their efforts and therapeutic choices towards effectively losing weight. That the therapy of effort expenditure can predict long-term change in the patient's perceptions.[69]
Social behavior
Cognitive dissonance is used to promote social behaviours considered positive, such as increased condom use.[70] Other studies indicate that cognitive dissonance can be used to encourage people to act pro-socially, such as campaigns against public littering,[71] campaigns against racial prejudice,[72] and compliance with anti-speeding campaigns.[73] The theory can also be used to explain reasons for donating to charity.[74][75] Cognitive dissonance can be applied in social areas such as racism and racial hatred. Acharya of Stanford, Blackwell and Sen of Harvard state cognitive dissonance increases when an individual commits an act of violence toward someone from a different ethnic or racial group and decreases when the individual does not commit any such act of violence. Research from Acharya, Blackwell and Sen shows that individuals committing violence against members of another group develop hostile attitudes towards their victims as a way of minimizing cognitive dissonance. Importantly, the hostile attitudes may persist even after the violence itself declines (Acharya, Blackwell, and Sen, 2015). The application provides a social psychological basis for the constructivist viewpoint that ethnic and racial divisions can be socially or individually constructed, possibly from acts of violence (Fearon and Laitin, 2000). Their framework speaks to this possibility by showing how violent actions by individuals can affect individual attitudes, either ethnic or racial animosity (Acharya, Blackwell, and Sen, 2015).
COVID-19
The COVID-19 pandemic, an extreme public health crisis, cases rose to the hundred million and deaths at nearly four million worldwide. Reputable health organizations such as Lyu and Wehby studied the effects of wearing a face mask on the spread of COVID-19. They found evidence that suggests that COVID patients were reduced by 2%, averting nearly 200,000 cases by the end of the following month.[76] Despite this fact having been proven and encouraged by major health organizations, there was still a resistance to wearing the mask and keeping a safe distance away from others. When the COVID-19 vaccine was eventually released to the public, this only made the resistance stronger.
The Ad Council launched an extensive campaign advertising for people to follow the health guidelines established by the CDC and WHO and attempted to persuade people to become vaccinated eventually. After taking polls on public opinion about safety measures to prevent the spreading of the virus, it showed that between 80% and 90% of adults in the United States agree with these safety procedures and vaccines being necessary.[76] The cognitive dissonance arose when people took polls on public behavior. Despite the general opinion that wearing a mask, social distancing, and receiving the vaccine are all things the public should be doing, only 50% of responders admitted to doing these things all or even most of the time.[76] People believe that partaking in preventative measures is essential, but fail to follow through with actually doing them. To convince people to behave in line with their beliefs, it is essential to remind people of a fact that they believe is true, and then remind them of times in the past when they went against this. The hypocrisy paradigm is known for inconsistent cognition resolution through a change in behavior. Data were collected by participants that were asked to write statements supporting mask use and social distancing, which is something they agreed with. Then the participants were told to think about recent situations in which they failed to do this. The prediction was that the dissonance would be a motivating factor in getting people to be compliant with COVID-19 safety measures. After contacting participants one week later, they reported behaviors, including social distancing and mask-wearing.[76]
Personal responsibility
A study conducted by Cooper and Worchel (1970) examined personal responsibility regarding cognitive dissonance.[77] The goal was to investigate responsibility concerning foreseen consequences and how this might cause dissonance; 124 female participants were asked to complete problem-solving tasks while working with a partner.[78] They had the option to either choose a partner with negative traits, or they were assigned one. A portion of the participants was aware of the negative traits their partner possessed; however, the remaining participants were unaware. Cooper hypothesized that if the participants knew about their negative partner beforehand, they would have cognitive dissonance; however, he also believed that the participants would be inclined to attempt to like their partners in an attempt to reduce this dissonance.[78] The study shows that personal choice has the power to predict attitude changes.[77]
Consumer behavior
Pleasure is one of the main factors in our modern culture of consumerism.[79] Once a consumer has chosen to purchase a specific item, they often fear that another choice may have brought them more pleasure. Post-purchase dissonance occurs when a purchase is final, voluntary, and significant to the person.[80] This dissonance is a mental discomfort arising from the possibility of dissatisfaction with the purchase, or the regret of not purchasing a different, potentially more useful or satisfactory good.[80] Consequently, the buyer will "seek to reduce dissonance by increasing the perceived attractiveness of the chosen alternative and devaluing the non chosen item, seeking out information to confirm the decision, or changing attitudes to conform to the decision."[79] In other words, the buyer justifies their purchase to themselves in whatever way they can, in an attempt to convince themselves that they made the right decision and to diminish regret. Usually these feelings of regret are more prevalent after online purchases as opposed to in-store purchases. This happens because an online consumer does not have the opportunity to experience the product in its entirety, and must rely on what information is available through photos and descriptions.[81] On the other hand, in-store shopping can sometimes be even more of an issue for consumers in regard to impulse buying. While the ease of online shopping proves hard to resist for impulse buyers, in-store shoppers may be influenced by who they are with. Shopping with friends increases the risk of impulse buying, especially compared to shopping with people such as one's parents.[82]
Post-purchase dissonance does not only affect the consumer; brands are dependent on customer loyalty, and cognitive dissonance can influence that loyalty. The more positive experiences and emotions that a customer associates with a specific brand, the more likely they are to buy from that brand in the future, recommend it to friends, etc. The opposite is also true, meaning any feelings of discomfort, dissatisfaction, and regret will weaken the consumer's perception of the brand and make them less likely to return as a customer.[83] When consumers encounter unexpected prices, they adopt three methods to reduce cognitive dissonance: (i) Employ a strategy of continual information; (ii) Employ a change in attitude; and (iii) Engage in minimisation.[84] Consumers employ the strategy of continual information by engaging in bias and searching for information that supports prior beliefs. Consumers might search for information about other retailers and substitute products consistent with their beliefs.[85] Alternatively, consumers might change attitude, such as re-evaluating price in relation to external reference-prices or associating high prices and low prices with quality. Minimisation reduces the importance of the elements of the dissonance; consumers tend to minimise the importance of money, and thus of shopping around, saving, and finding a better deal.[86] High impulse buying is associated with increased post-purchase cognitive dissonance, where consumers experience discomfort and regret after purchasing. [87]
Politics
Cognitive dissonance theory might suggest that since votes are an expression of preference or beliefs, even the act of voting might cause someone to defend the actions of the candidate for whom they voted,[88] and if the decision was close then the effects of cognitive dissonance should be greater.
This effect was studied over the 6 presidential elections of the United States between 1972 and 1996,[89] and it was found that the opinion differential between the candidates changed more before and after the election than the opinion differential of non-voters. In addition, elections where the voter had a favorable attitude toward both candidates, making the choice more difficult, had the opinion differential of the candidates change more dramatically than those who only had a favorable opinion of one candidate. What was not studied were the cognitive dissonance effects in cases where the person had unfavorable attitudes toward both candidates. The 2016 U.S. election held historically high unfavorable ratings for both candidates.[90]
After the 2020 United States presidential election, which was won by Joe Biden, supporters of former President Donald Trump, who had lost the election to Biden, questioned the outcome of the election, citing voter fraud. This continued after such claims were dismissed as false by numerous judges, election officials, U.S. state governors, and federal government agencies.[91] This was described as an example of Trump supporters experiencing cognitive dissonance.[92]
Electoral politics can feature more than just policy disagreements. People seek to reduce their cognitive dissonance when making any choice. [93] Engagement in the electoral process can change policy references, drawing on the framework of cognitive dissonance theory. The idea suggests that cognitive dissonance created by being vocal about support and losing leads voters to align their preferences more closely with those of the supported candidate. [94] Voting itself is a support activity that may led to preference changes.
Modernly, social media has affected politics. Recognizing this, creators can profit from a social media relationship between votes and candidates. For example, a celebrity endorsing a candidate can cause their followers to lose sight of policy and focus on the opinion of the person they follow, causing cognitive dissonance. [95] Social media trends like "Kamala is Brat" [96] have rallied fans. As a result, voters are less focused on a candidates' plans for office, and more on the social media attention stirred.
Communication
Cognitive dissonance theory of communication was initially advanced by American psychologist Leon Festinger in the 1960s. Festinger theorized that cognitive dissonance usually arises when a person holds two or more incompatible beliefs simultaneously.[85] This is a normal occurrence since people encounter different situations that invoke conflicting thought sequences. This conflict results in a psychological discomfort. According to Festinger, people experiencing a thought conflict try to reduce the psychological discomfort by attempting to achieve an emotional equilibrium. This equilibrium is achieved in three main ways. First, the person may downplay the importance of the dissonant thought. Second, the person may attempt to outweigh the dissonant thought with consonant thoughts. Lastly, the person may incorporate the dissonant thought into their current belief system.[97]
Dissonance plays an important role in persuasion. To persuade people, you must cause them to experience dissonance, and then offer your proposal as a way to resolve the discomfort. Although there is no guarantee your audience will change their minds, the theory maintains that without dissonance, there can be no persuasion. Without a feeling of discomfort, people are not motivated to change.[98] Similarly, it is the feeling of discomfort which motivates people to perform selective exposure (i.e., avoiding disconfirming information) as a dissonance-reduction strategy.[32]
Dissonance also plays an essential role in social collaboration. In the study, Temporal interplay between cognitive conflict and attentional markers in social collaboration (2024), the authors determined that the context in social environments and demands affect one’s willingness to collaborate socially.[99] Some social interactions require the ability to read social cues and body language, and others do not. The authors used robots to simulate different social interactions. They discovered that the human brain is designed to deal with the possible complex aspects of social collaboration. They also found that the brain will change its reaction to these aspects depending on the type of interaction the person faces.[99] To summarize, Dissonance can affect how the brain reacts to specific social cues and interactions by making it difficult to differentiate between types of interactions. Dissonance can also make it difficult to collaborate socially with others.
Artificial intelligence
It is hypothesized that introducing cognitive dissonance into machine learning may be able to assist in the long-term aim of developing 'creative autonomy' on the part of agents, including in multi-agent systems (such as games),[100] and ultimately to the development of 'strong' forms of artificial intelligence, including artificial general intelligence.[101]
Artificial intelligence has developed over the years and is used for writing, generating ideas, and generating art, among other things. Artificial intelligence is most commonly used in education. AI-driven education can contribute to cognitive dissonance. For example, as a result of a negative output from AI, it may create a system that is inconsistent with a student's self-concepts, past knowledge or expectations. [102]
Generative AI tools are already taking a forefront in education. With students using artificial intelligence for daily tasks, it is important that educators understand what this might mean for higher education practice. Students can be reluctant to have open conversation about their use of AI, making it difficult for educators to understand its effects on students in that environment. [103] Because professors and other educators say one thing, and the AI application generates another, it causes students to develop a sense of cognitive dissonance. [104]
Feminism
Cognitive Dissonance Theory can be applied to many aspects of feminism. For instance, the study, Dissonance and defensiveness: orienting affects in online feminist cultures (2024), found that social media culture provides conflicting ideas and thoughts of femininity.[105] These thoughts and ideas may confuse those who identify with feminist qualities. The digital world can connect people from around the globe, but it can also spread hatred and falsifications about feminists and their beliefs. Cognitive Dissonance can pressure feminists through their education, interactions, and relationships with others.[105]
Alternative paradigms

Self-perception theory
In Self-perception: An alternative interpretation of cognitive dissonance phenomena (1967), the social psychologist Daryl Bem proposed the self-perception theory whereby people do not think much about their attitudes, even when engaged in a conflict with another person. The Theory of Self-perception proposes that people develop attitudes by observing their own behaviour, and concludes that their attitudes caused the behaviour observed by self-perception; especially true when internal cues either are ambiguous or weak. Therefore, the person is in the same position as an observer who must rely upon external cues to infer their inner state of mind. Self-perception theory proposes that people adopt attitudes without access to their states of mood and cognition.[106]
As such, the experimental subjects of the Festinger and Carlsmith study (Cognitive Consequences of Forced Compliance, 1959) inferred their mental attitudes from their own behaviour. When the subject-participants were asked: "Did you find the task interesting?", the participants decided that they must have found the task interesting, because that is what they told the questioner. Their replies suggested that the participants who were paid twenty dollars had an external incentive to adopt that positive attitude, and likely perceived the twenty dollars as the reason for saying the task was interesting, rather than saying the task actually was interesting.[107][106]
The theory of self-perception (Bem) and the theory of cognitive dissonance (Festinger) make identical predictions, but only the theory of cognitive dissonance predicts the presence of unpleasant arousal, of psychological distress, which were verified in laboratory experiments.[108][109]
In The Theory of Cognitive Dissonance: A Current Perspective[110] (Aronson, Berkowitz, 1969), Elliot Aronson linked cognitive dissonance to the self-concept: That mental stress arises when the conflicts among cognitions threatens the person's positive self-image. This reinterpretation of the original Festinger and Carlsmith study, using the induced-compliance paradigm, proposed that the dissonance was between the cognitions "I am an honest person." and "I lied about finding the task interesting."[110]
The study Cognitive Dissonance: Private Ratiocination or Public Spectacle?[111] (Tedeschi, Schlenker, etc. 1971) reported that maintaining cognitive consistency, rather than protecting a private self-concept, is how a person protects their public self-image.[111] Moreover, the results reported in the study I'm No Longer Torn After Choice: How Explicit Choices Implicitly Shape Preferences of Odors (2010) contradict such an explanation, by showing the occurrence of revaluation of material items, after the person chose and decided, even after having forgotten the choice.[112]
Balance theory
Fritz Heider proposed a motivational theory of attitudinal change that derives from the idea that humans are driven to establish and maintain psychological balance. The driving force for this balance is known as the consistency motive, which is an urge to maintain one's values and beliefs consistent over time. Heider's conception of psychological balance has been used in theoretical models measuring cognitive dissonance.[113]
According to balance theory, there are three interacting elements: (1) the self (P), (2) another person (O), and (3) an element (X). These are each positioned at one vertex of a triangle and share two relations:[114]
- Unit relations – things and people that belong together based on similarity, proximity, fate, etc.
- Sentiment relations – evaluations of people and things (liking, disliking)
Under balance theory, human beings seek a balanced state of relations among the three positions. This can take the form of three positives or two negatives and one positive:
- P = you
- O = your child
- X = picture your child drew
- "I love my child"
- "She drew me this picture"
- "I love this picture"
People also avoid unbalanced states of relations, such as three negatives or two positives and one negative:
- P = you
- O = John
- X = John's dog
- "I don't like John"
- "John has a dog"
- "I don't like the dog either"
Cost–benefit analysis
In the study On the Measurement of the Utility of Public Works (1969),[115] Jules Dupuit reported that behaviors and cognitions can be understood from an economic perspective, wherein people engage in the systematic process of comparing the costs and benefits of a decision. The psychological process of cost-benefit comparisons helps the person to assess and justify the feasibility (spending money) of an economic decision, and is the basis for determining if the benefit outweighs the cost, and to what extent. Moreover, although the method of cost-benefit analysis functions in economic circumstances, men and women remain psychologically inefficient at comparing the costs against the benefits of their economic decision.[115]
Self-discrepancy theory
E. Tory Higgins proposed that people have three selves, to which they compare themselves:
- Actual self – representation of the attributes the person believes themself to possess (basic self-concept)
- Ideal self – ideal attributes the person would like to possess (hopes, aspiration, motivations to change)
- Ought self – ideal attributes the person believes they should possess (duties, obligations, responsibilities)
When these self-guides are contradictory psychological distress (cognitive dissonance) results. People are motivated to reduce self-discrepancy (the gap between two self-guides).[116]
Averse consequences vs. inconsistency
In the 1980s, Cooper and Fazio argued that dissonance was caused by aversive consequences, rather than inconsistency. According to this interpretation, the belief that lying is wrong and hurtful, not the inconsistency between cognitions, is what makes people feel bad.[117] Subsequent research, however, found that people experience dissonance even when they believe they have not done anything wrong. For example, Harmon-Jones and colleagues showed that people experience dissonance even when the consequences of their statements are beneficial—as when they convince sexually active students to use condoms, when they, themselves are not using condoms.[118]
Criticism of the free-choice paradigm
In the study How Choice Affects and Reflects Preferences: Revisiting the Free-choice Paradigm[119] (Chen, Risen, 2010) the researchers criticized the free-choice paradigm as invalid, because the rank-choice-rank method is inaccurate for the study of cognitive dissonance.[119] That the designing of research-models relies upon the assumption that, if the experimental subject rates options differently in the second survey, then the attitudes of the subject towards the options have changed. That there are other reasons why an experimental subject might achieve different rankings in the second survey; perhaps the subjects were indifferent between choices.
Although the results of some follow-up studies (e.g. Do Choices Affect Preferences? Some Doubts and New Evidence, 2013) presented evidence of the unreliability of the rank-choice-rank method,[120] the results of studies such as Neural Correlates of Cognitive Dissonance and Choice-induced Preference Change (2010) have not found the Choice-Rank-Choice method to be invalid, and indicate that making a choice can change the preferences of a person.[44][121][122][123]
Action–motivation model
Festinger's original theory did not seek to explain how dissonance works. Why is inconsistency so aversive?[124] The action–motivation model seeks to answer this question. It proposes that inconsistencies in a person's cognition cause mental stress because psychological inconsistency interferes with the person's functioning in the real world. Among techniques for coping, the person may choose to exercise a behavior that is inconsistent with their current attitude (a belief, an ideal, a value system), but later try to alter that belief to make it consistent with a current behavior; the cognitive dissonance occurs when the person's cognition does not match the action taken. If the person changes the current attitude, after the dissonance occurs, they are then obligated to commit to that course of behavior.
Cognitive dissonance produces a state of negative affect, which motivates the person to reconsider the causative behavior in order to resolve the psychological inconsistency that caused the mental stress.[125][126][127][128][129][130] As the affected person works towards a behavioral commitment, the motivational process then is activated in the left frontal cortex of the brain.[125][126][127][131][129]
Predictive dissonance model
The predictive dissonance model proposes that cognitive dissonance is fundamentally related to the predictive coding (or predictive processing) model of cognition.[132] A predictive processing account of the mind proposes that perception actively involves the use of a Bayesian hierarchy of acquired prior knowledge, which primarily serves the role of predicting incoming proprioceptive, interoceptive and exteroceptive sensory inputs. Therefore, the brain is an inference machine that attempts to actively predict and explain its sensations. Crucial to this inference is the minimization of prediction error. The predictive dissonance account proposes that the motivation for cognitive dissonance reduction is related to an organism's active drive for reducing prediction error. Moreover, it proposes that human (and perhaps other animal) brains have evolved to selectively ignore contradictory information (as proposed by dissonance theory) to prevent the overfitting of their predictive cognitive models to local and thus non-generalizing conditions. The predictive dissonance account is highly compatible with the action-motivation model since, in practice, prediction error can arise from unsuccessful behavior.
Neuroscience findings
Technological advances are allowing psychologists to study the biomechanics of cognitive dissonance.
Visualization
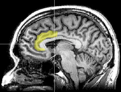
The study Neural Activity Predicts Attitude Change in Cognitive Dissonance[133] (Van Veen, Krug, etc., 2009) identified the neural bases of cognitive dissonance with functional magnetic resonance imaging (fMRI); the neural scans of the participants replicated the basic findings of the induced-compliance paradigm. When in the fMRI scanner, some of the study participants argued that the uncomfortable, mechanical environment of the MRI machine nevertheless was a pleasant experience for them; some participants, from an experimental group, said they enjoyed the mechanical environment of the fMRI scanner more than did the control-group participants (paid actors) who argued about the uncomfortable experimental environment.[133]
The results of the neural scan experiment support the original theory of Cognitive Dissonance proposed by Festinger in 1957; and also support the psychological conflict theory, whereby the anterior cingulate functions, in counter-attitudinal response, to activate the dorsal anterior cingulate cortex and the anterior insular cortex; the degree of activation of said regions of the brain is predicted by the degree of change in the psychological attitude of the person.[133]

As an application of the free-choice paradigm, the study How Choice Reveals and Shapes Expected Hedonic Outcome (2009) indicates that after making a choice, neural activity in the striatum changes to reflect the person's new evaluation of the choice-object; neural activity increased if the object was chosen, neural activity decreased if the object was rejected.[134] Moreover, studies such as The Neural Basis of Rationalization: Cognitive Dissonance Reduction During Decision-making (2010)[48] and How Choice Modifies Preference: Neural Correlates of Choice Justification (2011) confirm the neural bases of the psychology of cognitive dissonance.[121][135]
The Neural Basis of Rationalization: Cognitive Dissonance Reduction During Decision-making[48] (Jarcho, Berkman, Lieberman, 2010) applied the free-choice paradigm to fMRI examination of the brain's decision-making process whilst the study participant actively tried to reduce cognitive dissonance. The results indicated that the active reduction of psychological dissonance increased neural activity in the right-inferior frontal gyrus, in the medial fronto-parietal region, and in the ventral striatum, and that neural activity decreased in the anterior insula.[48] That the neural activities of rationalization occur in seconds, without conscious deliberation on the part of the person; and that the brain engages in emotional responses whilst effecting decisions.[48]
Emotional correlations
The results reported in Contributions from Research on Anger and Cognitive Dissonance to Understanding the Motivational Functions of Asymmetrical Frontal Brain Activity[136] (Harmon-Jones, 2004) indicate that the occurrence of cognitive dissonance is associated with neural activity in the left frontal cortex, a brain structure also associated with the emotion of anger; moreover, functionally, anger motivates neural activity in the left frontal cortex.[126][34] Applying a directional model of Approach motivation, the study Anger and the Behavioural Approach System (2003) indicated that the relationship between cognitive dissonance and anger is supported by neural activity in the left frontal cortex that occurs when a person takes control of the social situation causing the cognitive dissonance. Conversely, if the person cannot control or cannot change the psychologically stressful stimulation, they are without a motivation to change the circumstance, then there arise other, negative emotions to manage the cognitive dissonance, such as socially inappropriate behavior.[126][137][136]
The anterior cingulate cortex activity increases when errors occur and are being monitored as well as having behavioral conflicts with the self-concept as a form of higher-level thinking.[138] A study was done to test the prediction that the left frontal cortex would have increased activity. University students had to write a paper depending on if they were assigned to a high-choice or low-choice condition. The low-choice condition required students to write about supporting a 10% increase in tuition at their university. The point of this condition was to see how significant the counter-choice may affect a person's ability to cope. The high-choice condition asked students to write in favor of tuition increase as if it were their completely voluntary choice. The researchers use EEG to analyze students before they wrote the essay, as dissonance is at its highest during this time (Beauvois and Joule, 1996). High-choice condition participants showed a higher level of the left frontal cortex than the low-choice participants. Results show that the initial experience of dissonance can be apparent in the anterior cingulate cortex, then the left frontal cortex is activated, which also activates the approach motivational system to reduce anger.[138][139]
The psychology of mental stress
The results reported in The Origins of Cognitive Dissonance: Evidence from Children and Monkeys (Egan, Santos, Bloom, 2007) indicated that there might be evolutionary force behind the reduction of cognitive dissonance in the actions of pre-school-age children and Capuchin monkeys when offered a choice between two like options, decals and candies. The groups then were offered a new choice, between the choice-object not chosen and a novel choice-object that was as attractive as the first object. The resulting choices of the human and simian subjects concorded with the theory of cognitive dissonance when the children and the monkeys each chose the novel choice-object instead of the choice-object not chosen in the first selection, despite every object having the same value.[140]
The hypothesis of An Action-based Model of Cognitive-dissonance Processes[141] (Harmon-Jones, Levy, 2015) proposed that psychological dissonance occurs consequent to the stimulation of thoughts that interfere with a goal-driven behavior. Researchers mapped the neural activity of the participant when performing tasks that provoked psychological stress when engaged in contradictory behaviors. A participant read aloud the printed name of a color. To test for the occurrence of cognitive dissonance, the name of the color was printed in a color different from the word read aloud by the participant. As a result, the participants experienced increased neural activity in the anterior cingulate cortex when the experimental exercises provoked psychological dissonance.[141]
The study Cognitive Neuroscience of Social Emotions and Implications for Psychopathology: Examining Embarrassment, Guilt, Envy, and Schadenfreude[142] (Jankowski, Takahashi, 2014) identified neural correlations to specific social emotions (e.g. envy and embarrassment) as a measure of cognitive dissonance. The neural activity for the emotion of Envy (the feeling of displeasure at the good fortune of another person) was found to draw neural activity from the dorsal anterior cingulate cortex. That such increased activity in the dorsal anterior cingulate cortex occurred either when a person's self-concept was threatened or when the person experienced embarrassment (social pain) caused by salient, upward social-comparison, by social-class snobbery. That social emotions, such as embarrassment, guilt, envy, and Schadenfreude (joy at the misfortune of another person) are correlated to reduced activity in the insular lobe, and with increased activity in the striate nucleus; those neural activities are associated with a reduced sense of empathy (social responsibility) and an increased propensity towards antisocial behavior (delinquency).[142]
Body image and health intervention
Some school programs discuss body image and eating disorders of children and adolescents. Disordered eating behaviors include binge eating episodes, excessive fasting, vomiting, and diet pills. National data from 2017 and 2018 highlights that since starting college, approximately 50 percent of college students reported becoming increasingly concerned with their weight and body shape.[143] Studies examining eating disorders (ED) symptoms in college students reported that only 20 percent of those with positive ED got help. Less than 10 percent were diagnosed with an ED. This Body Project (BP) is rooted in the theory of cognitive dissonance.[143] Cognitive dissonance occurs when a discrepancy emerges between beliefs and actions. The idea is centered around the notion that if beliefs and actions are inconsistent, then the individual will create a change to align the beliefs and actions. The BP uses cognitive dissonance to target ED, for example, social pressure from peers or not being satisfied with your appearance, to bring awareness and for a healthy and positive change, thoughts toward body image.[143]
Modeling in neural networks
Artificial neural network models of cognition provide methods for integrating the results of empirical research about cognitive dissonance and attitudes into a single model that explains the formation of psychological attitudes and the mechanisms to change such attitudes.[144] Among the artificial neural-network models that predict how cognitive dissonance might influence a person's attitudes and behavior, are:
- Parallel constraint satisfaction processes[144]
- The meta-cognitive model (MCM) of attitudes[145]
- Adaptive connectionist model of cognitive dissonance[146]
- Attitudes as constraint satisfaction model[147]
See also
References
- ^ a b c d Harmon-Jones, Eddie, ed. (2019). Cognitive Dissonance: Reexamining a Pivotal Theory in Psychology (2nd ed.). Washington, DC: American Psychological Association. ISBN 978-1-4338-3077-8. JSTOR j.ctv1chs6tk.
- ^ a b c d Festinger, Leon (1957). A Theory of Cognitive Dissonance. Stanford University Press.
- ^ Hogg, Michael A., ed. (2003). Social psychology. Sage benchmarks in psychology. London: Sage Publ. ISBN 978-0-7619-4044-9.
- ^ Ellis, Ralph D.; Newton, Natika, eds. (2005). Consciousness & emotion: agency, conscious choice, and selective perception. Consciousness & emotion book series. Amsterdam ; Philadelphia: John Benjamins Pub. ISBN 978-1-58811-596-6. OCLC 57626418.
- ^ a b c d e Collin, Catherine; Benson, Nigel C.; Ginsburg, Joannah; Grand, Voula; Lazyan, Merrin; Weeks, Marcus, eds. (2012). The psychology book (1st American ed.). London New York Melbourne: DK. ISBN 978-0-7566-8970-4.
- ^ a b Hatfield, Elaine; Carpenter, Megan; Thornton, Paul; Rapson, Richard (2014-11-25), "Leon Festinger", Psychology, Oxford University Press, doi:10.1093/obo/9780199828340-0157, ISBN 978-0-19-982834-0, retrieved 2024-03-29
- ^ Festinger, Leon (May 1954). "A Theory of Social Comparison Processes". Human Relations. 7 (2): 117–140. doi:10.1177/001872675400700202. ISSN 0018-7267.
- ^ Haggbloom, Steven J.; Warnick, Renee; Warnick, Jason E.; Jones, Vinessa K.; Yarbrough, Gary L.; Russell, Tenea M.; Borecky, Chris M.; McGahhey, Reagan; Powell, John L.; Beavers, Jamie; Monte, Emmanuelle (June 2002). "The 100 Most Eminent Psychologists of the 20th Century". Review of General Psychology. 6 (2): 139–152. doi:10.1037/1089-2680.6.2.139. ISSN 1089-2680.
- ^ Harmon-Jones, Eddie; Mills, Judson (2019), "An introduction to cognitive dissonance theory and an overview of current perspectives on the theory.", Cognitive dissonance: Reexamining a pivotal theory in psychology (2nd ed.)., Washington: American Psychological Association, pp. 3–24, doi:10.1037/0000135-001, hdl:1959.4/unsworks_74486, ISBN 978-1-4338-3010-5, retrieved 2024-03-03
- ^ Summers, Randal W., ed. (2017). Social psychology: how other people influence our thoughts and actions. Santa Barbara, California Denver, Colorado: Greenwood. ISBN 978-1-61069-592-3.
- ^ Stager, Pamela Elizabeth (September 2006). "The use of the false consensus bias as a means of cognitive dissonance reduction". Queen's University. ProQuest 304970757.
- ^ Mills, Judson (2019), "Improving the 1957 version of dissonance theory.", Cognitive dissonance: Reexamining a pivotal theory in psychology (2nd ed.)., Washington: American Psychological Association, pp. 27–39, doi:10.1037/0000135-002, ISBN 978-1-4338-3010-5, retrieved 2024-03-03
- ^ Festinger, Leon; Gerard, Harold B.; Hymovitch, Bernard; Kelley, Harold H.; Raven, Bert (November 1952). "The Influence Process in the Presence of Extreme Deviates". Human Relations. 5 (4): 327–346. doi:10.1177/001872675200500402. ISSN 0018-7267.
- ^ Festinger L (October 1962). "Cognitive dissonance". Scientific American. 207 (4): 93–102. Bibcode:1962SciAm.207d..93F. doi:10.1038/scientificamerican1062-93. PMID 13892642. S2CID 56193073.
- ^ Boring EG (August 1964). "Cognitive Dissonance: Its Use in Science: A scientist, like any other human being, frequently holds views that are inconsistent with one another". Science. 145 (3633): 680–685. doi:10.1126/science.145.3633.680. PMID 17754664.
- ^ Oshikawa S (January 1972). "The Measurement of Cognitive Dissonance: Some Experimental Findings". Journal of Marketing. 36 (1): 64–67. doi:10.1177/002224297203600112. S2CID 147152501.
- ^ Scopelliti, Irene; Morewedge, Carey K.; McCormick, Erin; Min, H. Lauren; Lebrecht, Sophie; Kassam, Karim S. (2015). "Bias Blind Spot: Structure, Measurement, and Consequences". Management Science. 61 (10): 2468–2486. doi:10.1287/mnsc.2014.2096. ISSN 0025-1909. JSTOR 24551537.
- ^ Chandrashekar, Subramanya Prasad; Yeung, Siu Kit; Yau, Ka Chai; Cheung, Chung Yee; Agarwal, Tanay Kulbhushan; Wong, Cho Yan Joan; Pillai, Tanishka; Thirlwell, Thea Natasha; Leung, Wing Nam; Tse, Colman; Li, Yan Tung; Cheng, Bo Ley; Chan, Hill Yan Cedar; Feldman, Gilad (November 2021). "Agency and self-other asymmetries in perceived bias and shortcomings: Replications of the Bias Blind Spot and link to free will beliefs". Judgment and Decision Making. 16 (6): 1392–1412. doi:10.1017/S1930297500008470. ISSN 1930-2975.
- ^ Zell, Ethan; Strickhouser, Jason E.; Sedikides, Constantine; Alicke, Mark D. (February 2020). "The better-than-average effect in comparative self-evaluation: A comprehensive review and meta-analysis". Psychological Bulletin. 146 (2): 118–149. doi:10.1037/bul0000218. ISSN 1939-1455. PMID 31789535.
- ^ Tavris C, Aronson E (2017). "Why We Believe – Long After We Shouldn't". Skeptical Inquirer. 41 (2): 51–53. Archived from the original on 2018-11-05. Retrieved 5 November 2018.
- ^ Nelson, Todd D. (2006). The Psychology of Prejudice. Pearson Allyn and Bacon. ISBN 978-0-205-40225-0.
- ^ a b van Kampen HS (February 2019). "The principle of consistency and the cause and function of behaviour". Behavioural Processes. 159: 42–54. doi:10.1016/j.beproc.2018.12.013. PMID 30562561. S2CID 56478466.
- ^ Berlyne DE (1960). Conflict, arousal, and curiosity. New York, NY: McGraw-Hill.
- ^ Inglis IR (1983). "Towards a cognitive theory of exploratory behaviour". In Archer J, Birke LI (eds.). Exploration in Animals and Humans. Wokingham, England: Van Nostrand Reinhold. pp. 72–112.
- ^ Hebb, Donald (1949). The Organization of Behavior. New York, NY: Wiley.
- ^ Archer J (1976). "The organization of aggression and fear in vertebrates". In Bateson PP, Klopfer PH (eds.). Perspectives in Ethology (Vol.2). New York, NY: Plenum. pp. 231–298.
- ^ Ursin H (1988). "Expectancy and activation: An attempt to systematize stress theory". In Hellhammer DH, Florin I, Weiner H (eds.). Neuronal Control of Bodily Function: Basic and Clinical Aspects, Vol. 2: Neurobiological Approaches to Human Disease. Kirkland, WA: Huber. pp. 313–334.
- ^ D'Alessio D, Allen M (October 2002). "Selective exposure and dissonance after decisions". Psychological Reports. 91 (2): 527–532. doi:10.2466/pr0.2002.91.2.527. PMID 12416847. S2CID 13091938.
- ^ Zillman D (2000). "Mood Management in the Context of Selective Exposure Theory". Annals of the International Communication Association. 23 (1): 103–123. doi:10.1080/23808985.2000.11678971. S2CID 148208494.
- ^ a b c Metzger MJ, Hartsell EH, Flanagin AJ (2015). "Cognitive Dissonance or Credibility? A Comparison of Two Theoretical Explanations for Selective Exposure to Partisan News". Communication Research. 47 (1): 3–28. doi:10.1177/0093650215613136. S2CID 46545468.
- ^ Mares ML, Cantor J (1992). "Elderly Viewers' Responses to Televised Portrayals of Old Age Empathy and Mood Management Versus Social Comparison". Communication Research. 19 (1): 469–478. doi:10.1177/009365092019004004. S2CID 146427447.
- ^ a b Tsang SJ (4 May 2019). "Cognitive Discrepancy, Dissonance, and Selective Exposure". Media Psychology. 22 (3): 394–417. doi:10.1080/15213269.2017.1282873. S2CID 220378435.
- ^ Brehm, Jack W. (November 2007). "A Brief History of Dissonance Theory: A Brief History of Dissonance Theory". Social and Personality Psychology Compass. 1 (1): 381–391. doi:10.1111/j.1751-9004.2007.00035.x.
- ^ a b Harmon-Jones E (23 July 2002). "A Cognitive Dissonance Theory Perspective on Persuasion". In Dillard JP, Pfau M (eds.). The Persuasion Handbook: Developments in Theory and Practice. SAGE Publications. pp. 99–116. ISBN 978-1-4522-6159-1.
- ^ Festinger, L., Riecken, H.W., Schachter, S. When Prophecy Fails (1956). Minneapolis: University of Minnesota Press.
- ^ Berger, David (2008). The Rebbe, the Messiah, and the Scandal of Orthodox Indifference. Portland: Litman Library of Jewish Civilization.
- ^ a b Festinger L, Carlsmith JM (March 1959). "Cognitive consequences of forced compliance". Journal of Abnormal Psychology. 58 (2): 203–210. CiteSeerX 10.1.1.497.2779. doi:10.1037/h0041593. PMID 13640824. S2CID 232294.
- ^ Festinger, Leon; Carlsmith, James M. (March 1959). "Cognitive consequences of forced compliance". The Journal of Abnormal and Social Psychology. 58 (2): 203–210. doi:10.1037/h0041593. ISSN 0096-851X. PMID 13640824.
- ^ a b c Aronson E, Carlsmith JM (1963). "Effect of the Severity of Threat on the Devaluation of Forbidden Behavior". Journal of Abnormal and Social Psychology. 66 (6): 584–588. CiteSeerX 10.1.1.378.884. doi:10.1037/h0039901.
- ^ a b Masataka N, Perlovsky L (December 2012). "The efficacy of musical emotions provoked by Mozart's music for the reconciliation of cognitive dissonance". Scientific Reports. 2 (1) 694. Bibcode:2012NatSR...2..694M. doi:10.1038/srep00694. PMC 3457076. PMID 23012648.
- ^ a b Lee SW, Schwarz N (May 2010). "Washing away pos-decisional dissonance". Science. 328 (5979): 709. Bibcode:2010Sci...328..709L. doi:10.1126/science.1186799. PMID 20448177. S2CID 18611420.
- ^ Resnick B (27 August 2018). "More social science studies just failed to replicate. Here's why this is good". Vox.
- ^ Brehm JW (May 1956). "Postdecision changes in the desirability of alternatives". Journal of Abnormal Psychology. 52 (3): 384–389. doi:10.1037/h0041006. PMID 13318848. S2CID 8764837.
- ^ a b Egan LC, Bloom P, Santos LR (January 2010). "Choice-induced preferences in the absence of choice: Evidence from a blind two choice paradigm with young children and capuchin monkeys". Journal of Experimental Social Psychology. 46 (1): 204–207. doi:10.1016/j.jesp.2009.08.014.
- ^ Gächter S, Nosenzo D, Sefton M (June 2013). "Peer Effects in Pro-Social Behavior: Social Norms or Social Preferences?". Journal of the European Economic Association. 11 (3): 548–573. doi:10.1111/jeea.12015. PMC 5443401. PMID 28553193. SSRN 2010940.
- ^ a b Aronson E, Mills J (1959). "The effect of severity of initiation on liking for a group". The Journal of Abnormal and Social Psychology. 59 (2): 177–181. CiteSeerX 10.1.1.368.1481. doi:10.1037/h0047195.
- ^ Zhong CB, Liljenquist K (September 2006). "Washing away your sins: threatened morality and physical cleansing". Science. 313 (5792): 1451–1452. Bibcode:2006Sci...313.1451Z. CiteSeerX 10.1.1.181.571. doi:10.1126/science.1130726. PMID 16960010. S2CID 33103635.
- ^ a b c d e f Jarcho JM, Berkman ET, Lieberman MD (September 2011). "The neural basis of rationalization: cognitive dissonance reduction during decision-making". Social Cognitive and Affective Neuroscience. 6 (4): 460–467. doi:10.1093/scan/nsq054. PMC 3150852. PMID 20621961.
- ^ a b Harmon-Jones, Eddie; Matis, Sophie; Angus, Douglas J.; Harmon-Jones, Cindy (June 2024). "Does effort increase or decrease reward valuation? Considerations from cognitive dissonance theory". Psychophysiology. 61 (6): e14536. doi:10.1111/psyp.14536. ISSN 0048-5772. PMID 38323360.
- ^ a b c d e Rothgerber H (March 2020). "Meat-related cognitive dissonance: A conceptual framework for understanding how meat eaters reduce negative arousal from eating animals". Appetite. 146 104511. Elsevier. doi:10.1016/j.appet.2019.104511. PMID 31707073. S2CID 207936313. 104511.
- ^ a b c Loughnan S, Bastian B, Haslam N (2014). "The Psychology of Eating Animals". Current Directions in Psychological Science. 23 (2). Sage Journals: 104–108. doi:10.1177/0963721414525781. S2CID 145339463.
- ^ Bastian B, Loughnan S (August 2017). "Resolving the Meat-Paradox: A Motivational Account of Morally Troublesome Behavior and Its Maintenance" (PDF). Personality and Social Psychology Review. 21 (3). Sage Journals: 278–299. doi:10.1177/1088868316647562. hdl:20.500.11820/fd429082-c209-4a46-abb8-097e2fd9d5ac. PMID 27207840. S2CID 13360236. 27207840.
- ^ "LIBC Blog – Articles – Facing the facts: The cognitive dissonance behind smoking". www.libcblog.nl. 16 June 2015. Retrieved 2019-10-17.
- ^ Fotuhi O, Fong GT, Zanna MP, Borland R, Yong HH, Cummings KM (January 2013). "Patterns of cognitive dissonance-reducing beliefs among smokers: a longitudinal analysis from the International Tobacco Control (ITC) Four Country Survey". Tobacco Control. 22 (1): 52–58. doi:10.1136/tobaccocontrol-2011-050139. PMC 4009366. PMID 22218426.
- ^ a b c d Wu, Jing-Han; Lin, Hsing-Wei; Liu, Wan-Yu (2020-11-01). "Tourists' environmental vandalism and cognitive dissonance in a National Forest Park". Urban Forestry & Urban Greening. 55 126845. Bibcode:2020UFUG...5526845W. doi:10.1016/j.ufug.2020.126845. ISSN 1618-8667. S2CID 225297238.
- ^ Ent MR, Gerend MA (September 2016). "Cognitive dissonance and attitudes toward unpleasant medical screenings". Journal of Health Psychology. 21 (9): 2075–2084. doi:10.1177/1359105315570986. PMID 27535832. S2CID 6606644.
- ^ Prasad J (1950). "A Comparative Study of Rumours and Reports in Earthquakes". British Journal of Psychology. 41 (3–4): 129–144. doi:10.1111/j.2044-8295.1950.tb00271.x.
- ^ Mills J (1958). "Changes in Moral Attitudes Following Temptation". Journal of Personality. 26 (4): 517–531. doi:10.1111/j.1467-6494.1958.tb02349.x.
- ^ a b Hart W, Albarracín D, Eagly AH, Brechan I, Lindberg MJ, Merrill L (July 2009). "Feeling validated versus being correct: a meta-analysis of selective exposure to information". Psychological Bulletin. 135 (4): 555–588. doi:10.1037/a0015701. PMC 4797953. PMID 19586162.
- ^ Knox RE, Inkster JA (April 1968). "Postdecision dissonance at post time". Journal of Personality and Social Psychology. 8 (4): 319–323. doi:10.1037/h0025528. PMID 5645589.
- ^ Aronson E (1995). The Social Animal (7 ed.). W.H. Freeman. ISBN 9780716726180.
- ^ Lepper MR, Greene D (1975). "Turning play into work: Effects of adult surveillance and extrinsic rewards on children's intrinsic motivation". Journal of Personality and Social Psychology. 31 (3): 479–486. doi:10.1037/h0076484. S2CID 3909609.
- ^ a b Guzzetti BJ, Snyder TE, Glass GV, Gamas WS (1993). "Promoting Conceptual Change in Science: A Comparative Meta-analysis of Instructional Interventions from Reading Education and Science Education". Reading Research Quarterly. 28 (2): 116–159. doi:10.2307/747886. JSTOR 747886.
- ^ Graesser AC, Baggett W, Williams K (1996). "Question-driven explanatory reasoning". Applied Cognitive Psychology. 10 (7): S17 – S32. doi:10.1002/(SICI)1099-0720(199611)10:7<17::AID-ACP435>3.0.CO;2-7.
- ^ Cooper, J. (2007). Cognitive Dissonance: 50 Years of a Classic Theory. London: Sage Publications.
- ^ Cooper, J., & Axsom, D. (1982). Integration of Clinical and Social Psychology. Oxford University Press.
- ^ Mendonca PJ, Brehm SS (1983). "Effects of Choice on Behavioral Treatment of Overweight Children". Journal of Social and Clinical Psychology. 1 (4): 343–358. doi:10.1521/jscp.1983.1.4.343.
- ^ Cooper J (1980). "Reducing Fears and Increasing Attentiveness: The Role of Dissonance Reduction". Journal of Experimental Social Psychology. 47 (3): 452–460. doi:10.1016/0022-1031(80)90064-5.
- ^ Axsom D, Cooper J (1985). "Cognitive Dissonance and Psychotherapy: The Role of Effort Justification in Inducing Weight Loss". Journal of Experimental Social Psychology. 21 (2): 149–160. doi:10.1016/0022-1031(85)90012-5.
- ^ Stone J, Aronson E, Crain AL, Winslow MP, Fried CB (1994). "Inducing hypocrisy as a means for encouraging young adults to use condoms". Personality and Social Psychology Bulletin. 20 (1): 116–128. doi:10.1177/0146167294201012. S2CID 145324262.
- ^ Fried CB, Aronson E (1995). "Hypocrisy, misattribution, and dissonance reduction". Personality and Social Psychology Bulletin. 21 (9): 925–933. doi:10.1177/0146167295219007. S2CID 144075668.
- ^ Hing LS, Li W, Zanna MP (2002). "Inducing Hypocrisy to Reduce Prejudicial Responses Among Aversive Racists". Journal of Experimental Social Psychology. 38: 71–78. doi:10.1006/jesp.2001.1484. S2CID 144660031.
- ^ Fointiat V (2004). "I Know What I have to Do, but. . ." When Hypocrisy Leads to Behavioral Change". Social Behavior and Personality. 32 (8): 741–746. doi:10.2224/sbp.2004.32.8.741.
- ^ Kataria M, Regner T (2015). "Honestly, why are you donating money to charity? An experimental study about self-awareness in status-seeking behavior". Theory and Decision. 79 (3): 493–515. doi:10.1007/s11238-014-9469-5. hdl:10419/70167. S2CID 16832786.
- ^ Nyborg K (August 2011). "I don't want to hear about it: Rational ignorance among duty-oriented consumers" (PDF). Journal of Economic Behavior & Organization. 79 (3): 263–274. doi:10.1016/j.jebo.2011.02.004.
- ^ a b c d Pearce, Logan; Cooper, Joel (2021-09-03). "Fostering COVID-19 Safe Behaviors Using Cognitive Dissonance". Basic and Applied Social Psychology. 43 (5): 267–282. doi:10.1080/01973533.2021.1953497. ISSN 0197-3533. S2CID 238584894.
- ^ a b Moore, Sean; Sinclair, Robert (2006). "Incidental happy and sad moods and cognitive dissonance reduction: Attitude change depends on the perceived informativeness of the mood source". PsycEXTRA Dataset. doi:10.1037/e633962013-306. Retrieved 2023-04-14.
- ^ a b Cooper, Joel (June 1971). "Personal responsibility and dissonance: The role of foreseen consequences". Journal of Personality and Social Psychology. 18 (3): 354–363. doi:10.1037/h0030995. ISSN 1939-1315.
- ^ a b Kocamaz İ, Karadeniz M (31 March 2020). "An Investigation of Post-Purchase Cognitive Dissonance and Its Determinants in Online Shopping". Yaşar Üniversitesi E-Dergisi. 15: 307–315.
- ^ a b Keng CJ, Liao TH (1 November 2009). "Consequences of Postpurchase Dissonance: The Mediating Role of an External Information Search". Social Behavior and Personality. 37 (10): 1327–1339. doi:10.2224/sbp.2009.37.10.1327.
- ^ Yap SF, Gaur SS (April 2014). "Consumer Dissonance in the Context of Online Consumer Behavior: A Review and Research Agenda". Journal of Internet Commerce. 13 (2): 116–137. doi:10.1080/15332861.2014.934647. S2CID 144959165.
- ^ Lazim NA, Sulaiman Z, Zakuan N, Mas'od A, Chin TA, Awang SR (2020). "Measuring Post-purchase Regret and Impulse Buying in Online Shopping Experience from Cognitive Dissonance Theory Perspective". 2020 6th International Conference on Information Management (ICIM). pp. 7–13. doi:10.1109/icim49319.2020.244662. ISBN 978-1-7281-5770-2. S2CID 218467672.
- ^ "Cognitive Dissonance & Post-Purchase Process". study.com. Retrieved 2021-10-08.
- ^ Lindsey-Mullikin, Joan (2003-06-01). "Beyond reference price: understanding consumers' encounters with unexpected prices". Journal of Product & Brand Management. 12 (3). Emerald: 140–153. doi:10.1108/10610420310476906. ISSN 1061-0421.
- ^ a b "Cognitive Dissonance Theory | Simply Psychology". www.simplypsychology.org. Retrieved 2019-03-31.
- ^ Mullikin LJ (2003). "Beyond Reference Pricing: Understanding Consumers' Encounters with Unexpected Prices". Journal of Product & Brand Management. 12 (3): 140–153. doi:10.1108/10610420310476906.
- ^ Amini, Salama; Rahmawati, Alni (2025-03-27). "The effect of price discount, FOMO, pay later on impulse buying and cognitive dissonance post-purchase in commerce shopping among the millennial generation". Edelweiss Applied Science and Technology. 9 (3): 2354–2366. doi:10.55214/25768484.v9i3.5799. ISSN 2576-8484.
- ^ Mundkur P (2016-07-11). "Is there Cognitive Dissonance in Politics?". LinkedIn.
- ^ Beasley RK, Joslyn MR (September 2001). "Cognitive Dissonance and Post-Decision Attitude Change in Six Presidential Elections". Political Psychology. 22 (3): 521–540. doi:10.1111/0162-895X.00252.
- ^ Wright D. "Poll: Trump, Clinton score historic unfavorable ratings". CNN. Retrieved 2017-12-08.
- ^ Chen S (November 12, 2020). "Department of Homeland Security calls election 'the most secure in American history'". Axios. Archived from the original on December 2, 2020. Retrieved December 8, 2020.
- ^ Maddock J (December 11, 2020). "Why Trump supporters believe they were robbed". The Australian Financial Review. Archived from the original on 2020-12-11. Retrieved June 19, 2021.
- ^ Bernhardt, Dan; Krasa, Stefan; Polborn, Mattias K. (2006). "Political Polarization and the Electoral Effects of Media Bias". SSRN Electronic Journal. doi:10.2139/ssrn.892475. hdl:10419/25843. ISSN 1556-5068.
- ^ Artiga González, Tanja; Capozza, Francesco; Granic, Georg D. (December 2024). "Cognitive dissonance, political participation, and changes in policy preferences". Journal of Economic Psychology. 105 102774. doi:10.1016/j.joep.2024.102774.
- ^ Desai, Ishika. "Political campaigns foster cognitive dissonance through social media reliance". Spartan Shield. Retrieved 2025-04-11.
- ^ McDermott, Luke (2024-08-05). "The LGBTQ+ Impact in Politics: Why is Kamala "BRAT"? - Luke McDermott". LGBTQ+ Victory Institute. Retrieved 2025-04-11.
- ^ "Interpersonal Communication and Relations | Cognitive Dissonance theory". Universiteit Twente. Archived from the original on 2019-03-31. Retrieved 2019-03-31.
- ^ Infante DA (2017). Contemporary Communication Theory. Kendall Hunt. pp. 157–158.
- ^ a b Abubshait, Abdulaziz; Perez-Osorio, Jairo; De Tommaso, Davide; Wykowska, Agnieszka (August 2024). "Temporal interplay between cognitive conflict and attentional markers in social collaboration". Psychophysiology. 61 (8): e14587. doi:10.1111/psyp.14587. ISSN 0048-5772. PMID 38600626.
- ^ Pasquier P, Chaib-draa B (2005). "Agent communication pragmatics: the cognitive coherence approach" (PDF). Cognitive Systems Research. 6 (4): 364–395. doi:10.1016/j.cogsys.2005.03.002. S2CID 15550498.
- ^ Jennings KE (2010-10-02). "Developing Creativity: Artificial Barriers in Artificial Intelligence". Minds and Machines. 20 (4): 489–501. doi:10.1007/s11023-010-9206-y.
- ^ Muhammad Umar Habib; Wasim Akram; Dr. Sadaf Saleem; Andleeb Shakoor (2025-02-12). "How Cognitive Dissonance Affects Student Engagement and Learning in AI Powered Education Systems". The Critical Review of Social Sciences Studies. 3 (1): 1905–1917. doi:10.59075/r1zta509. ISSN 3006-7170.
- ^ Dawson, Mark G.; Deer, Rowan; Boguslawski, Samuel (2024), Cognitive Dissonance in Programming Education: A Qualitative Exploration of the Impact of Generative Ai on Application-Directed Learning, doi:10.2139/ssrn.5055559, retrieved 2025-04-11
- ^ Li, Juntao (2024-11-26). "Study on the Positive and Negative Impacts of ChatGPT on the Education System". Communications in Humanities Research. 51 (1): 59–64. doi:10.54254/2753-7064/51/20242449. ISSN 2753-7064.
- ^ a b Kanai, Akane; Coffey, Julia (2024-07-03). "Dissonance and defensiveness: orienting affects in online feminist cultures". Cultural Studies. 38 (4): 645–667. doi:10.1080/09502386.2023.2183971. ISSN 0950-2386.
- ^ a b Bem DJ (May 1967). "Self-perception: An alternative interpretation of cognitive dissonance phenomena". Psychological Review. 74 (3): 183–200. CiteSeerX 10.1.1.323.833. doi:10.1037/h0024835. PMID 5342882.
- ^ Bem DJ (1965). "An Experimental Analysis of Self-persuasion". Journal of Experimental Social Psychology. 1 (3): 199–218. doi:10.1016/0022-1031(65)90026-0.
- ^ Zanna MP, Cooper J (May 1974). "Dissonance and the pill: an attribution approach to studying the arousal properties of dissonance". Journal of Personality and Social Psychology. 29 (5): 703–709. doi:10.1037/h0036651. PMID 4833431.
- ^ Kiesler CA, Pallak MS (November 1976). "Arousal properties of dissonance manipulations". Psychological Bulletin. 83 (6): 1014–1025. doi:10.1037/0033-2909.83.6.1014. PMID 996211.
- ^ a b Aronson E (1969). "The Theory of Cognitive Dissonance: A Current Perspective". In Berkowitz L (ed.). Advances in Experimental Social Psychology. Vol. 4. Academic Press. pp. 1–34. doi:10.1016/S0065-2601(08)60075-1. ISBN 9780120152049.
- ^ a b Tedeschi JT, Schlenker BR, Bonoma TB (1971). "Cognitive Dissonance: Private Ratiocination or Public Spectacle?". American Psychologist. 26 (8): 685–695. doi:10.1037/h0032110.
- ^ Coppin G, Delplanque S, Cayeux I, Porcherot C, Sander D (April 2010). "I'm no longer torn after choice: how explicit choices implicitly shape preferences of odors". Psychological Science. 21 (4): 489–493. doi:10.1177/0956797610364115. PMID 20424088. S2CID 28612885.
- ^ Wagner DA (2014). The Marketing of Global Warming: A Repeated Measures Examination of the Effects of Cognitive Dissonance, Endorsement, and Information on Beliefs in a Social Cause (Thesis). ProQuest 1906281562.
- ^ Heider F (1960). "The Gestalt Theory of Motivation". In Jones MR (ed.). Nebraska Symposium on Motivation. Vol. 8. Lincoln: University of Nebraska Press. pp. 145–172. ISBN 978-0-8032-0601-4. OCLC 10678550.
{{cite book}}: ISBN / Date incompatibility (help) - ^ a b Dupuit, J. (1969). "On the Measurement of the Utility of Public Works Archived 2019-10-17 at the Wayback Machine", Readings in Welfare
- ^ Higgins ET (July 1987). "Self-discrepancy: a theory relating self and affect". Psychological Review. 94 (3): 319–340. CiteSeerX 10.1.1.586.1458. doi:10.1037/0033-295X.94.3.319. PMID 3615707.
- ^ Cooper J, Fazio RH (1984). "A New Look at Dissonance Theory". Advances in Experimental Social Psychology Volume 17. Vol. 17. pp. 229–266. doi:10.1016/S0065-2601(08)60121-5. ISBN 978-0-12-015217-9.
- ^ Harmon-Jones E, Brehm JW, Greenberg J, Simon L, Nelson DE (1996). "Evidence that the production of aversive consequences is not necessary to create cognitive dissonance" (PDF). Journal of Personality and Social Psychology. 70 (1): 5–16. doi:10.1037/0022-3514.70.1.5. Archived from the original (PDF) on 2017-08-08. Retrieved 2010-02-08.
- ^ a b Chen MK, Risen JL (October 2010). "How choice affects and reflects preferences: revisiting the free-choice paradigm". Journal of Personality and Social Psychology. 99 (4): 573–594. CiteSeerX 10.1.1.519.808. doi:10.1037/a0020217. PMID 20658837. S2CID 13829505.
- ^ Holden S (2013). "Do Choices Affect Preferences? Some Doubts and New Evidence" (PDF). Journal of Applied Social Psychology. 43: 83–94. doi:10.1111/j.1559-1816.2012.00983.x. hdl:10419/30503. S2CID 142543205.
- ^ a b Izuma K, Matsumoto M, Murayama K, Samejima K, Sadato N, Matsumoto K (December 2010). "Neural correlates of cognitive dissonance and choice-induced preference change". Proceedings of the National Academy of Sciences of the United States of America. 107 (51): 22014–22019. Bibcode:2010PNAS..10722014I. doi:10.1073/pnas.1011879108. PMC 3009797. PMID 21135218.
- ^ Sharot T, Velasquez CM, Dolan RJ (September 2010). "Do decisions shape preference? Evidence from blind choice". Psychological Science. 21 (9): 1231–1235. doi:10.1177/0956797610379235. PMC 3196841. PMID 20679522.
- ^ Risen JL, Chen MK (December 2010). "How to Study Choice-Induced Attitude Change: Strategies for Fixing the Free-Choice Paradigm: Fixing the Free-Choice Paradigm". Social and Personality Psychology Compass. 4 (12): 1151–1164. doi:10.1111/j.1751-9004.2010.00323.x.
- ^ Harmon-Jones E, Harmon-Jones C (January 2007). "Cognitive Dissonance Theory After 50 Years of Development". Zeitschrift für Sozialpsychologie. 38 (1): 7–16. CiteSeerX 10.1.1.569.8667. doi:10.1024/0044-3514.38.1.7.
- ^ a b Beckmann J, Kuhl J (June 1984). "Altering information to gain action control: Functional aspects of human information processing in decision making". Journal of Research in Personality. 18 (2): 224–237. doi:10.1016/0092-6566(84)90031-x.
- ^ a b c d Harmon-Jones E (1999). "Toward an understanding of the motivation underlying dissonance effects: Is the production of aversive consequences necessary?". Cognitive dissonance: Progress on a pivotal theory in social psychology. pp. 71–99. doi:10.1037/10318-004. ISBN 1-55798-565-0.
- ^ a b Harmon-Jones E (2000a). "Cognitive Dissonance and Experienced Negative Affect: Evidence that Dissonance Increases Experienced Negative Affect even in the Absence of Aversive Consequences". Personality and Social Psychology Bulletin. 26 (12): 1490–1501. doi:10.1177/01461672002612004. S2CID 2024700.
- ^ Jones, E. E., Gerard, H. B., 1967. Foundations of Social Psychology. New York: Wiley.
- ^ a b McGregor I, Newby-Clark IR, Zanna MP (1999). "'Remembering' dissonance: Simultaneous accessibility of inconsistent cognitive elements moderates epistemic discomfort". Cognitive dissonance: Progress on a pivotal theory in social psychology. pp. 325–353. doi:10.1037/10318-013. ISBN 1-55798-565-0.
- ^ Newby-Clark IR, McGregor I, Zanna MP (February 2002). "Thinking and caring about cognitive inconsistency: when and for whom does attitudinal ambivalence feel uncomfortable?". Journal of Personality and Social Psychology. 82 (2): 157–166. doi:10.1037/0022-3514.82.2.157. PMID 11831406.
- ^ Jones, E. E., Gerard, H. B., 1967. Foundations of Social Psychology. New York: Wiley.
- ^ Kaaronen RO (2018). "A Theory of Predictive Dissonance: Predictive Processing Presents a New Take on Cognitive Dissonance". Frontiers in Psychology. 9 (12): 2218. doi:10.3389/fpsyg.2018.02218. PMC 6262368. PMID 30524333.
- ^ a b c van Veen V, Krug MK, Schooler JW, Carter CS (November 2009). "Neural activity predicts attitude change in cognitive dissonance". Nature Neuroscience. 12 (11): 1469–1474. doi:10.1038/nn.2413. PMID 19759538. S2CID 1753122.
- ^ Sharot T, De Martino B, Dolan RJ (March 2009). "How choice reveals and shapes expected hedonic outcome" (PDF). The Journal of Neuroscience. 29 (12): 3760–3765. doi:10.1523/jneurosci.4972-08.2009. PMC 2675705. PMID 19321772. Archived from the original (PDF) on 2011-06-17.
- ^ Qin J, Kimel S, Kitayama S, Wang X, Yang X, Han S (March 2011). "How choice modifies preference: neural correlates of choice justification". NeuroImage. 55 (1): 240–246. doi:10.1016/j.neuroimage.2010.11.076. PMID 21130888. S2CID 9700855.
- ^ a b Harmon-Jones E (October 2004). "Contributions from research on anger and cognitive dissonance to understanding the motivational functions of asymmetrical frontal brain activity". Biological Psychology. 67 (1–2): 51–76. doi:10.1016/j.biopsycho.2004.03.003. PMID 15130525. S2CID 8137723.
- ^ Harmon-Jones E (2003). "Anger and the Behavioural Approach System". Personality and Individual Differences. 35 (5): 995–1005. doi:10.1016/s0191-8869(02)00313-6.
- ^ a b Amodio DM, Harmon-Jones E, Devine PG, Curtin JJ, Hartley SL, Covert AE (February 2004). "Neural signals for the detection of unintentional race bias". Psychological Science. 15 (2): 88–93. CiteSeerX 10.1.1.475.7527. doi:10.1111/j.0963-7214.2004.01502003.x. PMID 14738514. S2CID 18302240.
- ^ Beauvois, J. L., Joule, R. V., 1996. A radical dissonance theory. London: Taylor and Francis.
- ^ Egan LC, Santos LR, Bloom P (November 2007). "The origins of cognitive dissonance: evidence from children and monkeys". Psychological Science. 18 (11): 978–983. doi:10.1111/j.1467-9280.2007.02012.x. PMID 17958712. S2CID 535289.
- ^ a b Harmon-Jones E, Harmon-Jones C, Levy N (June 2015). "An Action-Based Model of Cognitive-Dissonance Processes". Current Directions in Psychological Science. 24 (3): 184–189. doi:10.1177/0963721414566449. S2CID 37492284.
- ^ a b Jankowski KF, Takahashi H (May 2014). "Cognitive neuroscience of social emotions and implications for psychopathology: examining embarrassment, guilt, envy, and schadenfreude". Psychiatry and Clinical Neurosciences. 68 (5): 319–336. doi:10.1111/pcn.12182. PMID 24649887. S2CID 30509785.
- ^ a b c Festinger, Leon (1962). "Cognitive Dissonance". Scientific American. 207 (4): 93–106. Bibcode:1962SciAm.207d..93F. doi:10.1038/scientificamerican1062-93. ISSN 0036-8733. JSTOR 24936719. PMID 13892642. S2CID 56193073.
- ^ a b Read SJ, Vanman EJ, Miller LC (1997). "Connectionism, parallel constraint satisfaction processes, and gestalt principles: (re) introducing cognitive dynamics to social psychology". Personality and Social Psychology Review. 1 (1): 26–53. doi:10.1207/s15327957pspr0101_3. PMID 15647127. S2CID 23161930.
- ^ Petty RE, Briñol P, DeMarree KG (2007). "The Meta-Cognitive Model (MCM) of attitudes: Implications for attitude measurement, change, and strength". Social Cognition. 25 (5): 657–686. doi:10.1521/soco.2007.25.5.657. S2CID 1395301.
- ^ Van Overwalle F, Jordens K (2002). "An adaptive connectionist model of cognitive dissonance". Personality and Social Psychology Review. 6 (3): 204–231. CiteSeerX 10.1.1.15.2085. doi:10.1207/S15327957PSPR0603_6. S2CID 16436137.
- ^ Monroe BM, Read SJ (July 2008). "A general connectionist model of attitude structure and change: the ACS (Attitudes as Constraint Satisfaction) model". Psychological Review. 115 (3): 733–759. doi:10.1037/0033-295X.115.3.733. PMID 18729597.
Further reading
- Acharya A, Blackwell M, Sen M (2018). "Explaining Preferences from Behavior: A Cognitive Dissonance Approach" (PDF). The Journal of Politics. 80 (2): 400–411. doi:10.1086/694541. S2CID 21449853.
- Cooper J (2007). Cognitive dissonance: Fifty years of a classic theory. London: Sage publications. ISBN 978-1-4129-2972-1.
- Fearon JD, Latin DD (2000). "Violence and the Social Construction of Ethnic Identity". International Organization. 54 (4). Cambridge University Press: 845–877. doi:10.1162/002081800551398. ISSN 0020-8183. S2CID 11379085.
- Gawronski B, Strack F, eds. (2012). Cognitive consistency: A fundamental principle in social cognition. New York: Guilford Press.
- Harmon-Jones E, Mills J, eds. (1999). Cognitive Dissonance: Progress on a Pivotal Theory in Social Psychology. Washington, DC: American Psychological Association.
- Tavris C, Aronson E (2007). Mistakes were made (but not by me): Why we justify foolish beliefs, bad decisions, and hurtful acts. Orlando, FL: Harcourt. ISBN 978-0-15-101098-1.
- McLeod S. "Cognitive Dissonance". Retrieved 3 December 2013.
- Jarcho JM, Berkman ET, Lieberman MD (September 2011). "The neural basis of rationalization: cognitive dissonance reduction during decision-making". Social Cognitive and Affective Neuroscience. 6 (4): 460–467. doi:10.1093/scan/nsq054. PMC 3150852. PMID 20621961.
- Oshikawa S (1972). "The Measurement of Cognitive Dissonance: Some Experimental Findings". Journal of Marketing. 36 (1): 64–67. doi:10.2307/1250871. JSTOR 1250871.