Angiomatoid fibrous histiocytoma

Angiomatoid fibrous histiocytoma
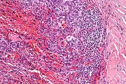
Micrograph showing an angiomatoid fibrous histiocytoma. H&E stain.

Angiomatoid fibrous histiocytoma (AFH) is a rare soft tissue cancer that affects children and young adults.

Pathology

It is characterized by cystic blood-filled spaces and composed of histiocyte-like cells. A lymphocytic cuff is common. It often simulates a vascular lesion, and was initially described as doing this.[1]

AFH typically has a chromosomal translocation involving the ATF1 gene -- t(12;16) FUS/ATF1 or t(12;22) EWS/ATF1.[2]

Diagnosis

Treatment

See also

References

  1. ^ Enzinger, FM. (Dec 1979). "Angiomatoid malignant fibrous histiocytoma: a distinct fibrohistiocytic tumor of children and young adults simulating a vascular neoplasm". Cancer. 44 (6): 2147–57. doi:10.1002/1097-0142(197912)44:6<2147::aid-cncr2820440627>3.0.co;2-8. PMID 228836.
  2. ^ Thway, Khin; Fisher, Cyril (2015-05-01). "Angiomatoid Fibrous Histiocytoma: The Current Status of Pathology and Genetics". Archives of Pathology & Laboratory Medicine. 139 (5): 674–682. doi:10.5858/arpa.2014-0234-RA. ISSN 0003-9985. PMID 25927151. Further to the characterization of the recurrent chromosomal rearrangements that result in the EWSR1-CREB1, t(12;22)(q13;q12) EWSR1-ATF1, and t(12;16)(q13;p11) FUS-ATF1 gene fusions, AFH is of course now established as a translocation-associated neoplasm.