Amyloid cardiomyopathy
| Amyloid cardiomyopathy | |
|---|---|
![]() | |
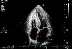
| Apparent left ventricular hypertrophy and “snowstorm” appearance of the myocardium are suggestive of an infiltrative cardiomyopathy. | |
| Specialty | Cardiology |
| Symptoms | diastolic dysfunction,[1] congestive heart failure,[2] arrhythmia,[2] cardiac nervous conduction block,[2] fatigue,[3] dyspnea.[3] |
| Complications | Congestive heart failure, atrial arrhythmia, ventricular arrhythmia, and blockage of cardiac nervous conduction.[2] |
| Diagnostic method | Electrocardiography and Cardiac mri[3] |
| Treatment | Chemotherapy or liver transplant[4] |
| Prognosis | 5-year survival rate of 10%[2] |
Amyloid cardiomyopathy (stiff heart syndrome)[5] is a condition resulting in the death of part of the myocardium (heart muscle). It is associated with the systemic production and release of many amyloidogenic proteins, especially immunoglobulin light chain or transthyretin (TTR).[6] It can be characterized by the extracellular deposition of amyloids, foldable proteins that stick together to build fibrils in the heart.[7]
Symptoms
Amyloid cardiomyopathy is associated with a number of symptoms:
- diastolic dysfunction[1]
- congestive heart failure[2]
- arrhythmia[2]
- cardiac nervous conduction block[2]
- fatigue[3]
- dyspnea[3]
Pathophysiology
Amyloid proteins are deposited in the myocardium.[2] This limits ventricular filling during diastole, which increases end-diastolic volume.[2] This can lead to a variety of cardiac issues, such as congestive heart failure, atrial arrhythmia, ventricular arrhythmia, and blocks to cardiac nervous conduction.[2]
Diagnosis
Diagnosis is often delayed, because its symptoms are non-specific.[4]
Electrocardiography can be used to identify low voltage and patterns similar to those of a heart attack.[3]
Cardiac MRI can be used to distinguish it from hypertensive heart disease.[1][3] This shows a thicker interventricular septum.[3]
Treatment
Chemotherapy can treat amyloidosis if it is related to immunoglobulins.[4] Liver transplant can treat amyloidosis if it is related to familial transthyretin.[4]
Acoramidis (Attruby) was approved for medical use in the United States in November 2024, to treat adults with cardiomyopathy of wild-type or variant (hereditary) transthyretin-mediated amyloidosis (ATTR-CM) to reduce death and hospitalization related to heart problems.[8][9]
Prognosis
Outcomes for amyloid cardiomyopathy are generally very poor, with fewer than 10% of patients surviving more than 5 years.[2] Without treatment, few patients survive more than 6 months.[2]
Epidemiology
In developed countries, amyloid cardiomyopathy is estimated to be involved in 0.1% of deaths.[2]
References
- ^ a b c Steingart, Richard M.; Chen, Carol; Liu, Jennifer (2016-01-01), Herrmann, Joerg (ed.), "Chapter 7 - Subtypes of Cancer Involving the Heart", Clinical Cardio-Oncology, Elsevier, pp. 121–131, doi:10.1016/b978-0-323-44227-5.00007-7, ISBN 978-0-323-44227-5, retrieved 2020-11-27
- ^ a b c d e f g h i j k l m n Gillespie, Hamilton S.; Benjamin, Ivor J. (2012-01-01), Hill, Joseph A.; Olson, Eric N. (eds.), "Chapter 43 - Infiltrative and Protein Misfolding Myocardial Diseases", Muscle, Boston/Waltham: Academic Press, pp. 625–637, doi:10.1016/b978-0-12-381510-1.00043-0, ISBN 978-0-12-381510-1, retrieved 2020-11-27
- ^ a b c d e f g h Benson, Merrill D. (2013-01-01), Rimoin, David; Pyeritz, Reed; Korf, Bruce (eds.), "Chapter 79 - Amyloidosis and Other Protein Deposition Diseases", Emery and Rimoin's Principles and Practice of Medical Genetics, Oxford: Academic Press, pp. 1–18, doi:10.1016/b978-0-12-383834-6.00083-5, ISBN 978-0-12-383834-6, retrieved 2020-11-27
- ^ a b c d Sher, T.; Gertz, M. A. (2018-01-01), "Amyloid Cardiomyopathy", in Vasan, Ramachandran S.; Sawyer, Douglas B. (eds.), Encyclopedia of Cardiovascular Research and Medicine, Oxford: Elsevier, pp. 66–79, doi:10.1016/b978-0-12-809657-4.11051-8, ISBN 978-0-12-805154-2, retrieved 2020-11-27
- ^ "Cardiac amyloidosis: MedlinePlus Medical Encyclopedia". medlineplus.gov. Retrieved 2017-12-01.
- ^ Liao, Ronglih; Ward, Jennifer E. (2017-06-09). "Amyloid Cardiomyopathy: Disease on the Rise". Circulation Research. 120 (12): 1865–1867. doi:10.1161/CIRCRESAHA.117.310643. ISSN 0009-7330. PMC 5584551. PMID 28596171.
- ^ Falk, Rodney H.; Dubrey, Simon W. (2010-01-01). "Amyloid Heart Disease". Progress in Cardiovascular Diseases. Unusual Cardiomyopathies. 52 (4): 347–361. doi:10.1016/j.pcad.2009.11.007. PMID 20109604.
- ^ "FDA approves drug for heart disorder caused by transthyretin-mediated". U.S. Food and Drug Administration. 1 October 2024. Archived from the original on November 25, 2024. Retrieved 27 November 2024.
This article incorporates text from this source, which is in the public domain.
- ^ Chen, Elaine (2024-11-23). "BridgeBio wins FDA approval for heart disease drug". STAT. Retrieved 2024-11-30.
