Transmissible spongiform encephalopathy
| Prion diseases | |
|---|---|
| Other names | Transmissible spongiform encephalopathy (TSE) |
![]() | |
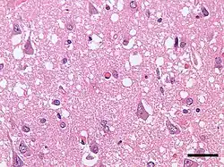
| Micrograph showing spongiform degeneration (vacuoles that appear as holes in tissue sections) in the cerebral cortex of a patient who had died of Creutzfeldt–Jakob disease. H&E stain, scale bar = 30 microns (0.03 mm). | |
| Specialty | Infectious diseases |
| Symptoms | Dementia, seizures, tremors, insomnia, psychosis, delirium, confusion |
| Usual onset | Months to decades |
| Types | Bovine spongiform encephalopathy, Fatal familial insomnia, Creutzfeldt-Jakob disease, kuru, Huntington's disease-like 1, scrapie, variably protease-sensitive prionopathy, chronic wasting disease, Gerstmann-Sträussler-Scheinker syndrome, feline spongiform encephalopathy, transmissible mink encephalopathy, exotic ungulate encephalopathy, camel spongiform encephalopathy, PrP systemic amyloidosis, Familial Alzheimer-like prion disease |
| Causes | Prion |
| Risk factors | Contact with infected fluids, ingestion of infected flesh, having one or two parents that have the disease (in case of fatal familial insomnia) |
| Diagnostic method | Currently there is no way to reliably detect prions except at post-mortem |
| Prevention | Varies |
| Treatment | Palliative care |
| Prognosis | Invariably fatal |
| Frequency | Rare |
Prion diseases, also known as transmissible spongiform encephalopathies (TSEs),[1] are a group of progressive, incurable, and invariably fatal conditions that are associated with the degeneration of the nervous system in many animals, including humans, cattle, and sheep. Strong evidence now supports the once unorthodox hypothesis that prion diseases are transmitted by abnormally shaped protein molecules known as prions.[2][3] Prions consist of a protein called the prion protein (PrP).[2] Misshapen PrP (often referred to as PrPSc) conveys its abnormal structure to naive PrP molecules by a crystallization-like seeding process. Because the abnormal proteins stick to each other, and because PrP is continuously produced by cells, PrPSc accumulates in the brain, harming neurons and eventually causing clinical disease.[2][4][3]
Prion diseases are marked by mental and physical deterioration that worsens over time.[5][6] A defining pathologic characteristic of prion diseases is the appearance of small vacuoles in the various parts of the central nervous system that create a sponge-like appearance when brain tissue obtained at autopsy is examined under a microscope.[2][3] Other changes in affected regions include the buildup of PrPSc, gliosis, and the loss of neurons.[7]
In non-human mammals, the prion diseases include scrapie in sheep, bovine spongiform encephalopathy (BSE) in cattle (popularly known as "mad cow disease") chronic wasting disease (CWD) in deer and elk, and others.[8] prion diseases of humans include Creutzfeldt–Jakob disease, Gerstmann–Sträussler–Scheinker syndrome, fatal familial insomnia, kuru, and variably protease-sensitive prionopathy.[6][9] Creutzfeldt-Jakob disease has been divided into four subtypes: sporadic (sCJD), hereditary/familial (fCJD), iatrogenic (iCJD) and variant (vCJD). These diseases form a spectrum of related conditions with overlapping signs and symptoms.
Prion diseases are unusual in that their aetiology may be genetic, infectious, or sporadic.[2] Genetic (inherited) prion diseases result from rare mutations in PRNP, the gene that codes for PrP (see Genetics, below). Unlike conventional infectious diseases, which are spread by agents with a DNA or RNA genome (such as viruses or bacteria), prion diseases are transmitted by prions, the active material of which is solely abnormal PrP. Infection can occur when the organism is exposed to prions through ingestion of infected foodstuffs or via iatrogenic means (such as treatment with biologic material that had been inadvertently contaminated with prions).[10] The variant form of Creutzfeldt–Jakob disease in humans is caused by exposure to BSE prions.[11][12][13] Whereas the naturally occurring transmission of prion diseases among nonhuman species is relatively common, prion transmission to humans is very rare; rather, the majority of human prion diseases are sporadic (idiopathic) in nature[14] (see Infectivity, below). Sporadic prion diseases occur in the absence of a mutation in PrP or a source of infection.
Although research has shown that the infectious capacity of prions is encoded in the conformation of PrPSc,[2][4] it is likely that auxilliary components contribute to their formation and/or infectivity. Purified PrPC appears to be unable to convert to the infectious PrPSc form in a protein misfolding cyclic amplification (PMCA) assay unless other components are added, such as a polyanion (usually RNA) and lipids. These other components, termed cofactors, may form part of the infectious prion, or they may serve as catalysts for the replication of a protein-only prion.[15] Considering that the cofactors can be produced by chemical synthesis instead of being sourced solely from infected cases (or any animal at all), it is fair to say that they do not form the infectious part of the prion. However, these catalysts (especially the polyanion) do have a tendency to be included in the prion aggregate, which makes seeding new aggregates easier in vitro.[16][17]
Classification
Differences in shape between the different prion protein forms are incompletely understood, although new methods such as cryo-electron microscopy are beginning to address this problem.[18]
| ICTVdb Code | Disease name | Natural host | Prion name | PrP isoform | Ruminant |
|---|---|---|---|---|---|
| Non-human mammals | |||||
| 90.001.0.01.001. | Scrapie | Sheep and goats | Scrapie prion | PrPSc | Yes |
| 90.001.0.01.002. | Transmissible mink encephalopathy (TME) | Mink | TME prion | PrPTME | No |
| 90.001.0.01.003. | Chronic wasting disease (CWD) | Elk, white-tailed deer, mule deer and red deer | CWD prion | PrPCWD | Yes |
| 90.001.0.01.004. | Bovine spongiform encephalopathy (BSE) commonly known as "mad cow disease" |
Cattle | BSE prion | PrPBSE | Yes |
| 90.001.0.01.005. | Feline spongiform encephalopathy (FSE) | Cats | FSE prion | PrPFSE | No |
| 90.001.0.01.006. | Exotic ungulate encephalopathy (EUE) | Nyala and greater kudu | EUE prion | PrPEUE | Yes |
| Camel spongiform encephalopathy (CSE)[19] | Camel | PrPCSE | Yes | ||
| Human diseases | |||||
| 90.001.0.01.007. | Kuru | Humans | Kuru prion | PrPKuru | No |
| 90.001.0.01.008. | Creutzfeldt–Jakob disease (CJD) | CJD prion | PrPsCJD | No | |
| Variant Creutzfeldt–Jakob disease (vCJD, nvCJD) | vCJD prion[20] | PrPvCJD | |||
| 90.001.0.01.009. | Gerstmann-Sträussler-Scheinker syndrome (GSS) | GSS prion | PrPGSS | No | |
| 90.001.0.01.010. | Fatal familial insomnia (FFI) | FFI prion | PrPFFI | No | |
| Familial spongiform encephalopathy[21] | |||||
Pathology
The degenerative tissue damage caused by prion disease in the nervous system is characterised by four features: spongiform change (the presence of many small vacuoles), the death of neurons, astrocytosis (abnormal increase in the number of astrocytes), and deposits of abnormal PrP (some of which have the characteristics of amyloid).[22] These neuropathological features have formed the basis of the histological diagnosis of prion diseases for many years, although it has been recognized that these changes are highly variable both from case to case and within the central nervous system in individual cases.[23][22] In humans, prion diseases with different genetic or infectious causes often have different patterns of pathology. For instance, amyloid plaques are rare in most prion diseases, but they are common in some diseases such as kuru and variant CJD. Owing to the rarity of amyloid per se in prion diseases, it is thought that non-amyloid forms of PrPSc are responsible for neurodegeneration.[22] In rare instances of human prion disease, tauopathy resembling the neurofibrillary tangles in Alzheimer's disease is present, highlighting the many ways in which the pathology of prion diseases can vary.[22] Despite this variation, all prion diseases have in common the buildup of abnormal PrP in the nervous system.
Signs and symptoms
The clinical signs of prion diseases in humans vary, but the classical signs of sporadic CJD include rapidly progressive dementia, behavioral abnormalities, disturbances of movement such as lack of coordination and/or an unsteady gait (ataxia), and involuntary jerking movements (myoclonus).[24][25] Patients also may experience unusual sensations, insomnia, and confusion, and in the later stages of the disease they may lose the ability to move or speak.[26] The clinical course of prion diseases usually is relatively rapid (the mean survival time for sporadic CJD is 6 months, although it can sometimes be a year or more),[24] and all prion diseases are ultimately fatal. Studies of heritable and acquired (infectious) prion diseases have found that the relatively brief symptomatic phase is preceded by a long silent phase during which the pathology develops in the brain. For example, the incubation period for kuru following infection with prions can exceed 50 years.[3] The highly variable nature of signs and symptoms in prion diseases makes them difficult to distinguish from other neurologic disorders based solely on their clinical traits.[24]
Genetics
Only 10-15% of human prion disease cases are heritable; most of them occur sporadically, that is, in the absence of known genetic mutations or infection.[27][24] However, discovery of the gene involved in heritable prion diseases was a critical event in linking abnormalities of the prion protein to genetic, infectious and idiopathic prion diseases.[2] All familial forms of prion disease are caused by inherited mutations in the PRNP gene, which codes for PrP.[27] Three general types of PRNP mutation can lead to disease: point mutations that change an amino acid in a specific part of PrP; a premature stop codon that results in shortened PrP molecules; or the insertion of extra octapeptide repeats that abnormally lengthen part of the protein.[27] These mutations increase the likelihood that PrP will fold into the wrong shape (PrPSc) and amplify within the nervous system. Different mutations can cause prion diseases with different clinical and pathological characteristics.[27]
The normal function(s) of PrP are incompletely understood, although it is likely that the protein participates in many biochemical processes.[28] It is expressed throughout much of the body, and is especially abundant in the nervous system.[29] When the PRNP gene is inactivated in animals such as mice, cattle and goats, the PrP-deficient animals are resistant to prion infection.[29] Although the absence of a functional PRNP gene can result in changes in various tissues, the animals are viable and appear to be relatively normal, at least at young ages.[29]
Infectivity
In 1959, William Hadlow recognized striking similarities between the kuru cases described by D. Carleton Gajdusek and scrapie, the transmissible disease of sheep and goats.[30] The shared features of human and nonhuman prion diseases prompted Gajdusek to conduct a series of experiments in which he demonstrated that human spongiform encephalopathies (as prion diseases were then commonly known) are transmissible to nonhuman primates. His research group reported the transmissibility of kuru in 1966,[31] Creutzfeldt-Jakob disease (CJD) in 1968,[32] and Gerstmann–Sträussler–Scheinker syndrome (GSS) in 1981.[33] These experiments showed that human spongiform encephalopathies, like those in nonhuman species, can be infectious; because the diseases have an unusually long incubation period following exposure to the infectious agent,[25] the agent was sometimes referred to as a 'slow virus'.[34][2] The infectious agent was not shown with reasonable certainty to be primarily a protein until the work of Stanley Prusiner gave rise to the prion concept in 1982.[35][2]
Infectious prion diseases in humans are uncommon and decreasing in incidence. Iatrogenic versions have been recognized since the 1980's: Creutzfeldt–Jakob disease has been inadvertently transmitted to patients via injections of growth hormone harvested from human cadaveric pituitary glands, from cadaveric dural allografts, and (more rarely) from corneal transplants, transfusion of blood products, and exposure to contaminated instruments used for brain surgery.[24] Prions can survive heating in the autoclave, a method used for the conventional sterilization of surgical instruments[36]. For this reason, special precautions need to be taken to ensure the sterility of neurosurgical instruments.[37]
Dietary consumption of affected animal parts can transmit prion disease, especially in nonhuman species in which infectious prion diseases are relatively common. In humans, infection via consumption is very rare, two well-known examples being kuru and variant Creutzfeldt-Jakob disease (vCJD).[6] Kuru is a (now extinct) prion disease that reached epidemic proportions in the mid-20th century in the Fore people of Papua New Guinea. Until the practice was abandoned in the mid-20th century, the Fore people would consume their dead as a funerary ritual.[38] With the cessation of ritual cannibalism, new cases of kuru slowly ceased to appear.[24] A more well-known infectious human prion disease is vCJD, a zoonotic prion disease that is caused by the consumption of tissues from cows with bovine spongiform encephalopathy (BSE).[25] Cows are thought to have acquired BSE by consuming food that contained meat products derived from animals with prion disease, possibly sheep with scrapie.[24] Fortunately, vCJD has largely been eliminated by efforts to exclude tainted meat products from the food chain. Regulations in many developed countries now ban the use of rendered ruminant proteins in ruminant feed as a precaution against the spread of prion infection in cattle and other ruminants.[39]
Prions cannot be transmitted through the air, through touching, or most other forms of casual contact. However, they may be transmitted through contact with infected tissue, bodily fluids, or contaminated medical instruments. Normal sterilization procedures such as boiling or irradiating materials fail to render prions non-infective. However, treatment with strong, almost undiluted bleach and/or sodium hydroxide, or heating to a minimum of 134 °C, does destroy prions.[40]
Epidemiological surveillance has identified cases of atypical bovine spongiform encephalopathy (BSE) and scrapie in livestock, as well as chronic wasting disease (CWD) in cervids, highlighting the zoonotic potential of prion diseases and their impact on animal and human health.[41]
Other hypotheses
The infectious protein hypothesis has become the prevailing explanation for the causation of prion diseases.[24][2][34] However, in the years following the recognition of their infectivity, other hypotheses have been proposed. These include unorthodox forms of carbohydrates, lipids, nucleic acids, or unusual or cryptic infectious agents[2] Regarding causation by nucleic acid-based infectious agents, a hypothesis championed by Laura Manuelidis invokes a cryptic viral agent,[42] and another proposed by Frank O. Bastian holds that Spiroplasma infection, specifically Spiroplasma mirum, is a cause of transmissible spongiform encephalopathies.[43] No alternative hypothesis has garnered sufficient support to challenge the prion paradigm.[2][44][45]
Diagnosis
The variable presentation of prion diseases and their rapid progression following the appearance of signs and symptoms present a special challenge for diagnosis.[46] Because the early signs of disease can mimic those in other brain disorders, the diagnosis of prion disease is often delayed.[24] Upon clinical examination, sporadic CJD (the most frequent human prion disease) is suspected when the patient presents with rapidly progressing deterioration of cognition and movement. The diagnosis can be supported by the following tests: 1) Electroencephalogram (EEG) - in CJD, the pattern of brain waves changes over the course of the disease, one typical abnormality being periodic sharp and slow wave complexes in the electrical signal; 2) Cerebrospinal fluid (CSF) tests, in particular, measurement of the 14-3-3 protein, tau protein, and neurofilament light chain, all of which increase in prion diseases; 3) Magnetic resonance imaging (MRI) can detect characteristic changes in the structure of the brain; and 4) Real-time Quaking Induced Conversion (RT-QuIC) is used to detect the presence of abnormal PrP in the CSF.[47][46][48] Although many of the changes detected by these tests can occur in other diseases, a combination of the tests can establish the presence of prion disease with high specificity and sensitivity. False positive diagnoses, though rare, are still possible; therefore, definitive diagnosis of prion diseases requires direct examination of brain tissue.[46]
Treatment
There are currently no known ways to cure or prevent prion disease.[49] Certain medications slow down the progression of the disease in mice, but these have not been found to be effective in trials with human patients.[50] Ultimately, supportive care is the only option for easing the burden of disease in affected individuals.
Epidemiology
Transmissible spongiform encephalopathies (TSE) are very rare but can reach epidemic proportions. It is very hard to map the spread of the disease due to the difficulty of identifying individual strains of the prions. This means that, if animals at one farm begin to show the disease after an outbreak on a nearby farm, it is very difficult to determine whether it is the same strain affecting both herds—suggesting transmission—or if the second outbreak came from a completely different source.
Classic Creutzfeldt-Jakob disease (CJD) was discovered in 1920. It occurs sporadically over the world but is very rare. It affects about one person per million each year. Typically, the cause is unknown for these cases. It has been found to be passed on genetically in some cases. 250 patients contracted the disease through iatrogenic transmission (from use of contaminated surgical equipment).[51] This was before equipment sterilization was required in 1976, and there have been no other iatrogenic cases since then. In order to prevent the spread of infection, the World Health Organization created a guide to tell health care workers what to do when CJD appears and how to dispose of contaminated equipment.[52] The Centers for Disease Control and Prevention (CDC) have been keeping surveillance on CJD cases, particularly by looking at death certificate information.[53]
Chronic wasting disease (CWD) is a prion disease found in North America in deer and elk. The first case was identified as a fatal wasting syndrome in the 1960s. It was then recognized as a transmissible spongiform encephalopathy in 1978. Surveillance studies showed that CWD was endemic among free-ranging deer and elk in northeastern Colorado, southeastern Wyoming and western Nebraska. It was also discovered that CWD may have been present in a proportion of free-ranging animals decades before the initial recognition. In the United States, the discovery of CWD raised concerns about the transmission of this prion disease to humans. It was suspected that many cases of CJD were transmitted by CWD, however the evidence was minimal.[41]
In the 1980s and 1990s, bovine spongiform encephalopathy (BSE or "mad cow disease") spread in cattle at an epidemic rate. The total estimated number of cattle infected was approximately 750,000 between 1980 and 1996 as a result of being fed the processed remains of other cattle. Subsequent human consumption of these infected cattle caused an outbreak of the human form CJD. There was a dramatic decline in BSE when feeding bans were put in place. On May 20, 2003, the first case of BSE was confirmed in North America, suspected to originate from imported BSE-infected cow meat. In the United States, the USDA created safeguards to minimize the risk of BSE exposure to humans.[41]
Variant Creutzfeldt-Jakob disease (vCJD) was discovered in 1996 in England. There is strong evidence to suggest that vCJD was caused by the same prion as bovine spongiform encephalopathy.[54] "Since 1996 and as of August 2013, a total of 229 cases of variant CJD cases have been identified from 11 countries: 177 from the United Kingdom, 27 from France, 4 from Ireland, 4 from the United States, 5 from Spain, 3 in the Netherlands, 2 each from Portugal, Italy and Canada, and 1 each from Japan, Taiwan and Saudi Arabia."[55]
History
In the 5th century BCE, Hippocrates described a disease like TSE in cattle and sheep, which he believed also occurred in humans.[56] Publius Flavius Vegetius Renatus records cases of a disease with similar characteristics in the 4th and 5th centuries AD. In 1755, an outbreak of scrapie was discussed in the British House of Commons and may have been present in Britain for some time before that.[57] Although there were unsupported claims in 1759 that the disease was contagious, in general it was thought to be due to inbreeding and countermeasures appeared to be successful. Early-20th-century experiments failed to show transmission of scrapie between animals, until extraordinary measures were taken such as the intra-ocular injection of infected nervous tissue. No direct link between scrapie and human disease was suspected then or has been found since. TSE was first described in humans by Alfons Maria Jakob in 1921.[58] Daniel Carleton Gajdusek's discovery that Kuru was transmitted by cannibalism accompanied by the finding of scrapie-like lesions in the brains of Kuru victims strongly suggested an infectious basis to TSE.[59] A paradigm shift to a non-nucleic infectious entity was required when the results were validated with an explanation of how a prion protein might transmit spongiform encephalopathy.[60] Not until 1988 was the neuropathology of spongiform encephalopathy properly described in cows.[61] The alarming amplification of BSE in the British cattle herd heightened fear of transmission to humans and reinforced the belief in the infectious nature of TSE. This was confirmed with the identification of a Kuru-like disease, called new variant Creutzfeldt–Jakob disease, in humans exposed to BSE.[62] Although the infectious disease model of TSE has been questioned in favour of a prion transplantation model that explains why cannibalism favours transmission,[56] the search for a viral agent was, as of 2007, being continued in some laboratories.[63][64]
See also
References
- ^ "Transmissible Spongiform Encephalopathies". National Institute of Neurological Disorders and Stroke. Retrieved 23 April 2023.
- ^ a b c d e f g h i j k l Prusiner, S. B. (10 November 1998). "Prions". Proceedings of the National Academy of Sciences of the United States of America. 95 (23): 13363–13383. Bibcode:1998PNAS...9513363P. doi:10.1073/pnas.95.23.13363. PMC 33918. PMID 9811807.
- ^ a b c d Wadsworth JD, Collinge J (August 2010). "Molecular pathology of human prion disease". Acta Neuropathologica. 121 (1): 69–77. doi:10.1007/s00401-010-0735-5. PMC 3015177. PMID 20694796.
- ^ a b Aguzzi A, Calella AM (2009). "Prions: protein aggregation and infectious diseases". Physiology Reviews. 89 (4): 1105–1152. doi:10.1152/physrev.00006.2009. PMID 19789378.
- ^ Chesebro, Bruce (June 2003). "Introduction to the transmissible spongiform encephalopathies or prion diseases". British Medical Bulletin. 66 (1): 1–20. doi:10.1093/bmb/66.1.1. PMID 14522845.
- ^ a b c Wadsworth JD, Collinge J (2007). "Update on human prion disease". Biochim Biophys Acta. 1772 (6): 598–609. doi:10.1016/j.bbadis.2007.02.010. PMID 17408929.
- ^ Ritchie DL, Smith C (2025). "Pathological spectrum of sporadic Creutzfeldt-Jakob disease". Pathology. 57 (2): 196–206. doi:10.1016/j.pathol.2024.09.005. PMID 39665904.
- ^ Imran M, Mahmood S (November 2011). "An overview of animal prion diseases". Virology Journal. 8 493. doi:10.1186/1743-422X-8-493. PMC 3228711. PMID 22044871.
- ^ Ironside JW, Ritchie DL, Barria MA (2017). "Prion diseases". Neuropathology. Handbook of Clinical Neurology. Vol. 145. pp. 393–403. doi:10.1016/B978-0-12-802395-2.00028-6. ISBN 978-0-12-802395-2. PMID 28987186.
- ^ Brown P, Preece M, Brandel JP, Sato T, McShane L, Zerr I, Fletcher A, Will RG, Pocchiari M, Cashman NR, d'Aignaux JH, Cervenakova L, Fradkin J, Schonberger LB, Collins SJ (2000). "Iatrogenic Creutzfeldt–Jakob disease at the millennium". Neurology. 55 (8): 1075–81. doi:10.1212/WNL.55.8.1075. PMID 11071481.
- ^ "Variant Creutzfeldt-Jakob disease". World Health Organization. Retrieved 2017-04-25. February 2012. Archived from the original on December 20, 2002.
- ^ "About Variant Creutzfeldt-Jakob Disease (vCJD)". CDC. 12 November 2024.
- ^ Collinge, John; Sidle, Katie C. L.; Meads, Julie; Ironside, James; Hill, Andrew F. (October 1996). "Molecular analysis of prion strain variation and the aetiology of 'new variant' CJD". Nature. 383 (6602): 685–690. Bibcode:1996Natur.383..685C. doi:10.1038/383685a0. PMID 8878476.
- ^ Ritchie DL, Barria MA (2021). "Prion Diseases: A Unique Transmissible Agent or a Model for Neurodegenerative Diseases?". Biomolecules. 11 (2): 207. doi:10.3390/biom11020207. PMC 7912988. PMID 33540845.
- ^ Lee KS, Caughey B (2007). "A simplified recipe for prions". Proceedings of the National Academy of Sciences USA. 104 (23): 9551–9552. Bibcode:2007PNAS..104.9551L. doi:10.1073/pnas.0703910104. PMC 1887566. PMID 17535888.
- ^ Geoghegan, James C.; Valdes, Pablo A.; Orem, Nicholas R.; Deleault, Nathan R.; Williamson, R. Anthony; Harris, Brent T.; Supattapone, Surachai (December 2007). "Selective Incorporation of Polyanionic Molecules into Hamster Prions". Journal of Biological Chemistry. 282 (50): 36341–36353. doi:10.1074/jbc.M704447200. PMC 3091164. PMID 17940287.
- ^ Shaked, GM; Meiner, Z; Avraham, I; Taraboulos, A; Gabizon, R (27 April 2001). "Reconstitution of prion infectivity from solubilized protease-resistant PrP and nonprotein components of prion rods". The Journal of Biological Chemistry. 276 (17): 14324–8. doi:10.1074/jbc.M007815200. PMID 11152454.
- ^ Manka SW, Wenborn A, Collinge J, Wadsworth JD (2023). "Prion strains viewed through the lens of cryo-EM". Cell and Tissue Research. 392 (1): 167–178. doi:10.1007/s00441-022-03676-z. PMC 10113314. PMID 36028585.
- ^ Dridi, Daikha (9 May 2018). "Deux chercheurs algériens découvrent la maladie du 'chameau fou' à Ouargla" [Two Algerian researchers discover 'mad camel' disease in Ouargla]. Huffpost Maghreb (in French). Archived from the original on 17 June 2018.
- ^ Believed to be identical to the BSE prion.
- ^ Nitrini R, Rosemberg S, Passos-Bueno MR, da Silva LS, Iughetti P, Papadopoulos M, Carrilho PM, Caramelli P, Albrecht S, Zatz M, LeBlanc A (August 1997). "Familial spongiform encephalopathy associated with a novel prion protein gene mutation". Annals of Neurology. 42 (2): 138–46. doi:10.1002/ana.410420203. PMID 9266722.
- ^ a b c d DeArmond, SJ; Ironside, JW; Bouzamondo-Bernstein, E; Peretz, D; Fraser, JR (2004). "Neuropathology of prion diseases". In Prusiner, SB (ed.). Prion Biology and Diseases. Cold Spring Harbor Laboratory Press. pp. 777–856. ISBN 0-87969-693-1.
- ^ Jeffrey M, Goodbrand IA, Goodsir CM (1995). "Pathology of the transmissible spongiform encephalopathies with special emphasis on ultrastructure". Micron. 26 (3): 277–98. doi:10.1016/0968-4328(95)00004-N. PMID 7788281.
- ^ a b c d e f g h i Geschwind MD (2015). "Prion Diseases". Continuum (Minneapolis, Minnesota). 21 (6 (Neuroinfectious Disease)): 1612–1638. doi:10.1212/CON.0000000000000251. PMC 4879966. PMID 26633779.
- ^ a b c Will RG, Ironside JW (2017). "Sporadic and infectious human prion diseases". Cold Spring Harbor Perspectives in Medicine. 7 (1): a024364. doi:10.1101/cshperspect.a024364. PMC 5204333. PMID 27793965.
- ^ Collinge, John (March 2001). "Prion Diseases of Humans and Animals: Their Causes and Molecular Basis". Annual Review of Neuroscience. 24 (1): 519–550. doi:10.1146/annurev.neuro.24.1.519. PMID 11283320.
- ^ a b c d Mead, Simon (March 2006). "Prion disease genetics". European Journal of Human Genetics. 14 (3): 273–281. doi:10.1038/sj.ejhg.5201544. PMID 16391566.
- ^ Cha S, Kim MY (2023). "The role of cellular prion protein in immune system". BMB Reports. 56 (12): 645–650. doi:10.5483/BMBRep.2023-0151. PMC 10761747. PMID 37817440.
- ^ a b c Wulf MA, Senatore A, Aguzzi A (2017). "The biological function of the cellular prion protein: an update". BMC Biology. 14 (34) 34. doi:10.1186/s12915-017-0375-5. PMC 5412054. PMID 28464931.
- ^ Hadlow WJ (2008). "Kuru likened to scrapie: the story remembered". Philosophical Transactions of the Royal Society of London. 363 (1510): 3644. doi:10.1098/rstb.2008.4013. PMC 2735530. PMID 18849258.
- ^ Gajdusek DC, Gibbs CJ, Alpers M (1966). "Experimental transmission of a Kuru-like syndrome to chimpanzees". Nature. 209 (5025): 794–796. Bibcode:1966Natur.209..794G. doi:10.1038/209794a0. PMID 5922150.
- ^ Gibbs CJ, Gajdusek DC, Asher DM, Alpers MP, Beck E, Daniel PM, Matthews WB (1968). "Creutzfeldt-Jakob disease (spongiform encephalopathy): transmission to the chimpanzee". Science. 161 (3839): 388–389. Bibcode:1968Sci...161..388G. doi:10.1126/science.161.3839.388. PMID 5661299.
- ^ Masters CL, Gajdusek DC, Gibbs CJ (1981). "Creutzfeldt-Jakob disease virus isolations from the Gerstmann-Sträussler syndrome with an analysis of the various forms of amyloid plaque deposition in the virus-induced spongiform encephalopathies". Brain. 104 (3): 559–588. doi:10.1093/brain/104.3.559. PMID 6791762.
- ^ a b Zabel MD, Reid C (2015). "A brief history of prions". Pathogens and Disease. 73 (9): ftv087. doi:10.1093/femspd/ftv087. PMC 4626585. PMID 26449713.
- ^ Prusiner SB (1982). "Novel proteinaceous infectious particles cause scrapie". Science. 216 (4542): 136–144. Bibcode:1982Sci...216..136P. doi:10.1126/science.6801762. PMID 6801762.
- ^ Fernie K, Hamilton S, Somerville RA (2012). "Limited efficacy of steam sterilization to inactivate vCJD infectivity". The Journal of Hospital Infection. 80 (1): 46–51. doi:10.1016/j.jhin.2011.09.004. PMID 22099953.
- ^ Bonda DJ, Manjila S, Mehndiratta P, Khan F, Miller BR, Onwuzulike K, Puoti G, Cohen ML, Schonberger LB, Cali I (2016). "Human prion diseases: surgical lessons learned from iatrogenic prion transmission". Neurosurgical Focus. 41 (1): E10. doi:10.3171/2016.5.FOCUS15126. PMC 5082740. PMID 27364252.
- ^ Collins S, McLean CA, Masters CL (2001). "Gerstmann-Straussler-Scheinker syndrome, fatal familial insomnia, and kuru: a review of these less common human transmissible spongiform encephalopathies". J Clin Neurosci. 8 (5): 387–97. doi:10.1054/jocn.2001.0919. PMID 11535002.
- ^ Heim D, Kihm U (2003). "Risk management of transmissible spongiform encephalopathies in Europe". Revue scientifique et technique. 22 (1): 179–199. doi:10.20506/rst.22.1.1392. PMID 12793779.
- ^ "Prion Disinfection Options - Biosafety & Occupational Health". University of Minnesota. 17 November 2017.
- ^ a b c Belay, Ermias D.; Schonberger, Lawrence B. (21 April 2005). "The public health impact of prion diseases". Annual Review of Public Health. 26 (1): 191–212. doi:10.1146/annurev.publhealth.26.021304.144536. PMID 15760286.
- ^ Manuelidis L (2013). "Infectious particles, stress, and induced prion amyloids: a unifying perspective". Virulence. 4 (5): 373–383. doi:10.4161/viru.24838. PMC 3714129. PMID 23633671.
- ^ Bastian, Frank O. (February 2014). "The Case for Involvement of Spiroplasma in the Pathogenesis of Transmissible Spongiform Encephalopathies". Journal of Neuropathology & Experimental Neurology. 73 (2): 104–114. doi:10.1097/NEN.0000000000000033. PMID 24423635.
- ^ Zou WQ, Gambetti P (2005). "From microbes to prions the final proof of the prion hypothesis". Cell. 121 (2): 155–157. doi:10.1016/j.cell.2005.04.002. PMID 15851020.
- ^ Soto C (2010). "Prion hypothesis: The end of the controversy?". Trends in Biochemical Sciences. 36 (3): 151–158. doi:10.1016/j.tibs.2010.11.001. PMC 3056934. PMID 21130657.
- ^ a b c Shimamura MI, Satoh K (2025). "Challenges and revisions in diagnostic criteria: Advancing early detection of prion diseases". International Journal of Molecular Sciences. 26 (5): 2037. doi:10.3390/ijms26052037. PMC 11900056. PMID 40076658.
- ^ Zerr I (2022). "Laboratory Diagnosis of Creutzfeldt–Jakob Disease". New England Journal of Medicine. 386 (14): 1345–1350. doi:10.1056/NEJMra2119323. PMID 35388668.
- ^ Hermann P, Appleby B, Brandel JP, Caughey B, Collins S, Geschwind M, Green A, Haik S, Kovacs GG, Ladogana A, Llorens F, Mead S, Nishida N, Pal S, Parchi P, Pocchiari M, Satoh K, Zanusso G, Zerr I (2021). "Biomarkers and diagnostic guidelines for sporadic Creutzfeldt-Jakob disease". Lancet Neurology. 20 (3): 235–246. doi:10.1016/S1474-4422(20)30477-4. PMC 8285036. PMID 33609480.
- ^ "Therapeutic Approaches for Prion Diseases | NIAID: National Institute of Allergy and Infectious Diseases". www.niaid.nih.gov. 2019-10-21. Retrieved 2024-07-17.
- ^ UCL (2021-02-02). "Drug treatments". National Prion Clinic. Retrieved 2024-09-20.
- ^ "Transmissible Spongiform Encephalopathies (TSEs), also known as prion diseases". Anses. 9 July 2021.
- ^ "Classic Creutzfeldt-Jakob Disease". CDC. 14 May 2024.
- ^ "Clinical Overview of Variant Creutzfeldt-Jakob Disease". CDC. 12 November 2024.
- ^ "Variant Creutzfeldt-Jakob disease". World Health Organization. Archived from the original on December 20, 2002. Retrieved 2017-11-09.
- ^ "Factsheet about variant Creutzfeldt-Jakob disease". European Centre for Disease Prevention and Control. 17 August 2010.
- ^ a b McAlister, Vivian (June 2005). "Sacred disease of our times: failure of the infectious disease model of spongiform encephalopathy". Clinical and Investigative Medicine. 28 (3): 101–4. PMID 16021982. ProQuest 196431000.
- ^ Brown P, Bradley R; Bradley (December 1998). "1755 and all that: a historical primer of transmissible spongiform encephalopathy". BMJ. 317 (7174): 1688–92. doi:10.1136/bmj.317.7174.1688. PMC 1114482. PMID 9857129.
- ^ Katscher, Friedrich (May 1998). "It's Jakob's disease, not Creutzfeldt's". Nature. 393 (6680): 11. Bibcode:1998Natur.393Q..11K. doi:10.1038/29862. PMID 9590681.
- ^ Gajdusek DC (Sep 1977). "Unconventional viruses and the origin and disappearance of kuru". Science. 197 (4307): 943–60. Bibcode:1977Sci...197..943C. doi:10.1126/science.142303. PMID 142303.
- ^ Collins, Steven J; Lawson, Victoria A; Masters, Colin L (January 2004). "Transmissible spongiform encephalopathies". The Lancet. 363 (9402): 51–61. doi:10.1016/S0140-6736(03)15171-9. PMID 14723996.
- ^ Hope, James; Reekie, Laura J. D.; Hunter, Nora; Multhaup, Gerd; Beyreuther, Konrad; White, Heather; Scott, Anthony C.; Stack, Michael J.; Dawson, Michael; Wells, Gerald A. H. (November 1988). "Fibrils from brains of cows with new cattle disease contain scrapie-associated protein". Nature. 336 (6197): 390–392. Bibcode:1988Natur.336..390H. doi:10.1038/336390a0. PMID 2904126.
- ^ Will, R.G; Ironside, J.W; Zeidler, M; Estibeiro, K; Cousens, S.N; Smith, P.G; Alperovitch, A; Poser, S; Pocchiari, M; Hofman, A (April 1996). "A new variant of Creutzfeldt-Jakob disease in the UK". The Lancet. 347 (9006): 921–925. doi:10.1016/s0140-6736(96)91412-9. PMID 8598754.
- ^ Manuelidis L, Yu ZX, Barquero N, Banquero N, Mullins B; Yu; Banquero; Mullins (February 2007). "Cells infected with scrapie and Creutzfeldt–Jakob disease agents produce intracellular 25-nm virus-like particles". Proceedings of the National Academy of Sciences of the United States of America. 104 (6): 1965–70. Bibcode:2007PNAS..104.1965M. doi:10.1073/pnas.0610999104. PMC 1794316. PMID 17267596.
{{cite journal}}: CS1 maint: multiple names: authors list (link) - ^ "Infectious Particles". Manuelidis Lab.
- This entry incorporates public domain text originally from the National Institute of Neurological Disorders and Stroke, National Institutes of Health [1] Archived 2008-09-08 at the Wayback Machine and the U.S. National Library of Medicine [2]
External links
- Hainfellner, Johannes A.; Wanschitz, J.; Jellinger, Kurt; Liberski, P. P.; Gullotta, Filippo; Budka, H. (3 August 1998). "Coexistence of Alzheimer-type neuropathology in Creutzfeldt-Jakob disease". Acta Neuropathologica. 96 (2): 116–122. doi:10.1007/s004010050870. PMID 9705125.
