Renal cortex
| Renal cortex | |
|---|---|
![]() Kidney anatomy, with renal cortex labeled at top. | |
![]()
| |
| Details | |
| System | Urinary system |
| Identifiers | |
| Latin | cortex renalis |
| MeSH | D007672 |
| TA98 | A08.1.01.015 |
| TA2 | 3368 |
| FMA | 15581 |
| Anatomical terminology | |
The renal cortex is the outer portion of the kidney between the renal capsule and the renal medulla.[1] In the adult, it forms a continuous smooth outer zone with a number of projections (cortical columns) that extend down between the pyramids. It contains the renal corpuscles and the renal tubules except for parts of the loop of Henle which descend into the renal medulla. It also contains blood vessels and cortical collecting ducts.
The renal cortex is the part of the kidney where ultrafiltration occurs.[2] Erythropoietin is produced in the renal cortex.[3]
Additional images
-
Kidney -
Microscopic cross section of the renal cortex
-
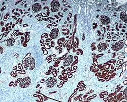
CD10 immunohistochemical staining of normal kidney. CD10 stains the proximal convoluted tubules and glomeruli. -
Renal cortex
-
Renal cortex
References
- ^ Kriz, W; Bankir, L (1988). "A standard nomenclature for structures of the kidney". Kidney International. 33 (1): 1โ7. doi:10.1038/ki.1988.1. PMID 3352156.
- ^ Brenner, Barry M.; Troy, Julia L.; Daugharty, Terrance M. (1971-08-01). "The Dynamics of Glomerular Ultrafiltration in the Rat". Journal of Clinical Investigation. 50 (8): 1776โ1780. doi:10.1172/JCI106667. ISSN 0021-9738. PMC 442078. PMID 5097578.
- ^ Koury, ST; Koury, MJ; Bondurant, MC; Caro, J; Graber, SE (1989-08-01). "Quantitation of erythropoietin-producing cells in kidneys of mice by in situ hybridization: correlation with hematocrit, renal erythropoietin mRNA, and serum erythropoietin concentration". Blood. 74 (2): 645โ651. doi:10.1182/blood.V74.2.645.645. ISSN 0006-4971. PMID 2752138.

