Papanicolaou stain

Papanicolaou stain (also Papanicolaou's stain and Pap stain) is a multichromatic (multicolored) cytological staining technique developed by George Papanicolaou in 1942.[1][2][3] The Papanicolaou stain is one of the most widely used stains in cytology,[1] where it is used to aid pathologists in making a diagnosis. Although most notable for its use in the detection of cervical cancer in the Pap test or Pap smear, it is also used to stain non-gynecological specimen preparations from a variety of bodily secretions and from small needle biopsies of organs and tissues.[4][5] Papanicolaou published three formulations of this stain in 1942, 1954, and 1960.[2]
Usage
Pap staining is used to differentiate cells in smear preparations (in which samples are spread or smeared onto a glass microscope slide)[6] from various bodily secretions and needle biopsies; the specimens may include gynecological smears (Pap smears), sputum, brushings, washings, urine, cerebrospinal fluid,[4] abdominal fluid, pleural fluid, synovial fluid, seminal fluid,[7] fine needle aspirations, tumor touch samples, or other materials containing loose cells.[8][4][9]
The pap stain is not fully standardized and comes in several formulations, differing in the exact dyes used, their ratios, and the timing of the process.[2][1] Pap staining is usually associated with cytopathology in which loose cells are examined, but the stain has also been modified and used on tissue slices.[9]
Pap test
Pap staining is used in the Pap smear (or Pap test) and is a reliable technique in cervical cancer screening in gynecology.[10]
Generalized staining method
The classic form of the Papanicolaou stain involves five stains in three solutions.[2][11][12]
- The first staining solution contains haematoxylin which stains cell nuclei.[10][2][12] Papanicolaou used Harris's hematoxylin in all three formulations of the stain he published.[2]
- The second staining solution (designated OG-6), contains Orange G in 95% ethyl alcohol with a small amount of phosphotungstic acid.[12][2] In the OG-6, the OG signifies Orange G, and the '6' denotes the concentration of phosphotungstic acid added; other variants are OG-5 and OG-8).[2]
- The third staining solution is composed of three dyes, Eosin Y, Light Green SF yellowish, and Bismarck brown Y in 95% ethyl alcohol with a small amount of phosphotungstic acid and lithium carbonate.[12][2] This solution, designated EA, followed by a number that denotes the proportion of the dyes, other formulations include EA-36, EA-50, and EA-65.[2]
The counterstains are dissolved in 95% ethyl alcohol which prevents cells from over staining which would obscure nuclear detail and cell outlines especially in the case when cells are overlapping on the slide.[3][2] Phosphotungstic acid is added to adjust the pH of counterstains and helps to optimize the color intensity.[2] The EA counterstain contains Bismarck brown and phosphotungstic acid, which when in combination, cause both to precipitate out of solution, reducing the useful life of the mixture.[2]
Results
The stain should result in cells that are fairly transparent so even thicker specimens with overlapping cells can be interpreted.[2] Cell nuclei should be crisp, blue to black in color[12][13] and the chromatin patterns of the nucleus should be well defined. Cell cytoplasm stains blue-green and keratin stains orange in color.[13][5]
Eosin Y stains the superficial epithelial squamous cells, nucleoli, cilia, and red blood cells.[2] Light Green SF yellowish confers a blue staining for the cytoplasm of active cells such as columnar cells, parabasal squamous cells, and intermediate squamous cells.[14] Superficial cells are orange to pink, and intermediate and parabasal cells are turquoise green to blue.[12]
Ultrafast Papanicolaou stain
Ultrafast Papanicolaou stain is an alternative for the fine needle aspiration samples, developed to achieve comparable visual clarity in a significantly shorter time. The process differs in rehydration of the air-dried smear with saline, use 4% formaldehyde in 65% ethanol fixative, and use of Richard-Allan Hematoxylin-2 and Cyto-Stain, resulting in a 90-second process yielding transparent polychromatic stains.[15]
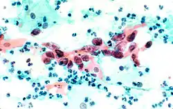
Examples of Papanicolaou stain
-
.jpg)
-
Squamous Cell Carcinoma, bronchial washing. -
.jpg)
-
Benign urine cytology sample. -
Squamous cell carcinoma in the cervix.
Papers by George N. Papanicolaou describing his stain
- Papanicolaou, George N. "A new procedure for staining vaginal smears." Science 95.2469 (1942): 438–439.
- Papanicolaou, George N. "The cell smear method of diagnosing cancer." American Journal of Public Health and the Nation's Health 38.2 (1948): 202–205.
- Papanicolaou, George N. "Atlas of exfoliative cytology." Published for the Commonwealth fund by Harvard University Press. (1954).
- Papanicolaou, George N. "Memorandum on staining." Atlas of exfoliative cytology. Cambridge, MA: Harvard University Press, Supplement II (1960): 12.
See also
References
- ^ a b c Schulte EK (1991). "Standardization of biological dyes and stains: pitfalls and possibilities". Histochemistry. 95 (4): 319–328. doi:10.1007/BF00266958. PMID 1708749. S2CID 29628388.
- ^ a b c d e f g h i j k l m n o Gill, Gary W. (2013). "Papanicolaou Stain". Cytopreparation. Essentials in Cytopathology. Vol. 12. pp. 143–189. doi:10.1007/978-1-4614-4933-1_10. ISBN 978-1-4614-4932-4. ISSN 1574-9053.
- ^ a b Chantziantoniou N, Donnelly AD, Mukherjee M, Boon ME, Austin RM (2017). "Inception and Development of the Papanicolaou Stain Method". Acta Cytol. 61 (4–5): 266–280. doi:10.1159/000457827. PMID 28384641.
{{cite journal}}: CS1 maint: multiple names: authors list (link) - ^ a b c Kumar, Vinay; Abbas, Abul K.; Aster, Jon C. (2013). Robbins basic pathology (9th ed.). Elsevier/Saunders. p. 910. ISBN 978-1-4377-1781-5.
- ^ a b Drury, R. A. B.; Wallington, E. A. (1980). Carleton's Histological Technique (5th ed.). Oxford University Press. pp. 520p. ISBN 0-19-261310-3.
- ^ Stedman's medical dictionary (27th ed.). Lippincott Williams & Wilkins. 2006. ISBN 978-0683400076.
- ^ Lars Björndahl; David Mortimer; Christopher L. R. Barratt (1 April 2010). A Practical Guide to Basic Laboratory Andrology. Cambridge University Press. ISBN 978-1-139-48249-3.
- ^ Hoda RS (2007). "Non-gynecologic cytology on liquid-based preparations: A morphologic review of facts and artifacts". Diagnostic Cytopathology. 35 (10): 621–34. doi:10.1002/dc.20698. PMID 17854077. S2CID 38797168.
- ^ a b Preethi, S.; Sivapathasundharam, B. (2014). "Will modified Papanicolaou stain be the new stain for keratin?". Journal of Histotechnology. 38 (1): 9–13. doi:10.1179/2046023614Y.0000000053. ISSN 0147-8885. S2CID 84486076.
- ^ a b Ross, Michael H.; Pawlina, Wojciech (2016). Histology : a text and atlas : with correlated cell and molecular biology (7th ed.). Wolters Kluwer. pp. 984p. ISBN 978-1451187427.
- ^ Carson, Freida L; Hladik, Christa (2009). Histotechnology: A Self-Instructional Text (3 ed.). Hong Kong: American Society for Clinical Pathology Press. pp. 361–3363. ISBN 978-0-89189-581-7.
- ^ a b c d e f Bancroft, John; Stevens, Alan, eds. (1982). The Theory and Practice of Histological Techniques (2nd ed.). Longman Group Limited.
- ^ a b Dey, Pranab (2018). "Routine Staining in Cytology Laboratory". Basic and Advanced Laboratory Techniques in Histopathology and Cytology. pp. 133–138. doi:10.1007/978-981-10-8252-8_14. ISBN 978-981-10-8251-1.
- ^ Faith Mokobi (2020-09-09). "Papanicolaou Staining (Pap Stain) For Pap Smear / Pap Test".
- ^ Yang GC, Alvarez II (1995). "Ultrafast Papanicolaou stain. An alternative preparation for fine needle aspiration cytology". Acta Cytol. 39 (1): 55–60. PMID 7531380.
- ^ Demay, Richard (2012). "Chapter 26: Stains". The art and science of cytopathology. Chicago, IL: Am Soc Clinical Pathology. p. 1505. ISBN 978-0-89189-644-9. OCLC 761848930.