Lymphoepithelial lesion

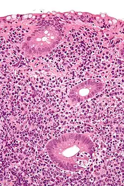
In pathology, lymphoepithelial lesion refers to a discrete abnormality that consists of lymphoid cells and epithelium, which may or may not be benign.
It may refer to a benign lymphoepithelial lesion of the parotid gland or benign lymphoepithelial lesion of the lacrimal gland, or may refer to the infiltration of malignant lymphoid cells into epithelium, in the context of primary gastrointestinal lymphoma.[1]
In the context of GI tract lymphoma, it is most often associated with MALT lymphomas.[1]
See also
References
- ^ a b Papadaki, L.; Wotherspoon, AC.; Isaacson, PG. (Nov 1992). "The lymphoepithelial lesion of gastric low-grade B-cell lymphoma of mucosa-associated lymphoid tissue (MALT): an ultrastructural study". Histopathology. 21 (5): 415–21. doi:10.1111/j.1365-2559.1992.tb00425.x. PMID 1452124. S2CID 11763061.