G cell

G cell
Control of stomach acid
Details
SystemDigestive system
LocationStomach and duodenum
FunctionGastrin secretion
Identifiers
Latinendocrinocytus G
THH3.04.02.0.00031
FMA67609
Anatomical terms of microanatomy

A G cell or gastrin cell is a type of cell in the stomach and duodenum that secretes gastrin. It works in conjunction with gastric chief cells and parietal cells. G cells are found deep within the pyloric glands of the stomach antrum, and occasionally in the pancreas[1] and duodenum. The vagus nerve innervates the G cells. Gastrin-releasing peptide is released by the post-ganglionic fibers of the vagus nerve onto G cells during parasympathetic stimulation. The peptide hormone bombesin also stimulates gastrin from G cells. Gastrin-releasing peptide, as well as the presence of amino acids in the stomach, stimulates the release of gastrin from the G cells. Gastrin stimulates enterochromaffin-like cells to secrete histamine.[2] Gastrin also targets parietal cells by increasing the amount of histamine and the direct stimulation by gastrin, causing the parietal cells to increase HCl secretion in the stomach. G-cells frequently express PD-L1 during homeostasis which protects them from Helicobacter pylori-induced immune destruction [3]

Structure

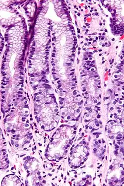
Micrograph of the gastric antrum showing abundant fried egg-like G cells. H&E stain.

G cells have a distinctive microscopic appearance that allows one to separate them from other cells in the gastric antrum; their nuclei are centrally located in the cell. They are found in the middle portion of the gastric glands.

See also

References

  1. ^ "G cell", Medcyclopaedia, GE
  2. ^ Guyton, Arthur C.; John E. Hall (2006). Textbook of Medical Physiology (11 ed.). Philadelphia: Elsevier Saunders. p. 797. ISBN 0-7216-0240-1.
  3. ^ Mommersteeg MC, Yu BT, van den Bosch TP, von der Thüsen JH, Kuipers EJ, Doukas M, Spaander MC, Peppelenbosch MP, Fuhler GM (October 2022). "Constitutive programmed death ligand 1 expression protects gastric G-cells from Helicobacter pylori-induced inflammation". Helicobacter. 27 (5): e12917. doi:10.1111/hel.12917. PMC 9542424. PMID 35899973.