Fibrinoid necrosis
Fibrinoid necrosis is a pathological lesion that affects blood vessels, and is characterized by the occurrence of endothelial damage, followed by leakage of plasma proteins, including fibrinogen, from the vessel lumen; these proteins infiltrate and deposit within the vessel walls, where fibrin polymerization subsequently ensues.[1][2][3][4]
Although the term fibrinoid essentially means "fibrin-like", it has been confirmed through immunohistochemical analysis and electron microscopy that the areas referred to as "fibrin-like" do contain fibrin, whose predominant presence contributes to the bright, eosinophilic (pinkish) and structureless appearance of the affected vessels.[4][5][6][7]
The earliest documented identification of fibrinoid changes dates back to 1880, when it was questioned whether these histological changes resulted from the deposition of a fibrinous exudate, or the degeneration and breakdown of collagen fibers.[8][9]
The term fibrinoid was introduced to describe these changes, because distinguishing fibrinoid from hyaline deposits posed a significant challenge, as both exhibit a similar appearance under standard light microscopy.[4][8] This morphological similarity necessitated the use of specialized histological staining techniques, such as phosphotungstic acid hematoxylin and various types of trichrome stains, to facilitate the distinction of fibrinoid material. Because these stains possess the ability to highlight and identify fibrin, this led to the term fibrinoid, which means "fibrin-like", being used to describe the affected vessels.[4]
Nevertheless, as early as 1957, fibrin was indeed identified within fibrinoid, and by 1982, this understanding had advanced, with many researchers recognizing fibrinoid as a complex structure primarily composed of fibrin interwoven with various plasma proteins.[8]


Nomenclature
A misnomer
The term fibrinoid necrosis is, in fact, considered a misnomer,[1][10] as the intense eosinophilic staining of the accumulated plasma proteins masks the true nature of the underlying changes in the blood vessel, and makes it virtually impossible to definitively determine whether the cells of the vessel wall are actually undergoing necrosis.[1][11]
A 2000 review stated that "whether the lesion is truly necrotic, in the sense that it reflects the result of unprogrammed cell death, has never been investigated in depth",[8] and an electron microscopy study examining fibrinoid necrosis in rat models with induced pulmonary hypertension found that fibrinoid changes weren't necessarily associated with necrosis of the smooth muscles of the media, and therefore recommended using the term fibrinoid vasculosis instead.[6]
However, despite the inaccuracy, the microscopic characteristics of fibrinoid changes strongly resemble those of necrotic tissue, which is why the term fibrinoid necrosis continues to be used, even though it may not fully reflect the true underlying process.[10]
Fibrinoid necrosis and lipohyalinosis
In 1971, CM Fisher, a pioneering figure in cerebral vascular diseases, proposed using the term lipohyalinosis as a replacement for fibrinoid necrosis, based on his observation that the affected fibrinoid areas also contained lipid.[4]
The term lipohyalinosis was intended to serve as a synonym for fibrinoid necrosis, yet it is strictly used to describe the pathological fibrinoid changes in the cerebral vessels of patients with malignant hypertension. Even though the same pathological process, that affects cerebral blood vessels in malignant hypertension, also occurs in the arterioles of other organs, such as the kidneys and mesentery, lipohyalinosis is not used to describe these changes outside the brain, and fibrinoid necrosis remains the more widely recognized term for similar processes in other organs.[4]
However, a common misconception in many textbooks is the failure to clarify that lipohyalinosis and fibrinoid necrosis are actually two descriptions of the same pathological process.[12]
Instead of recognizing their equivalence, they are often presented as distinct stages, where lipohyalinosis is mistakenly described as a later consequence of fibrinoid necrosis, or lipohyalinosis is sometimes erroneously used interchangeably with arteriolosclerosis, which is a much broader term used to describe pathological changes in small arteries caused by a variety of conditions. Mislabeling lipohyalinosis as arteriolosclerosis overlooks the specific nature of lipohyalinosis as a condition involving fibrinoid necrosis (a particular form of vascular injury) and contributes to confusion.[12]
Localization
Fibrinoid necrosis predominantly affects small blood vessels, such as arterioles and glomeruli,[3] but it can also involve medium-sized vessels, as observed in conditions like polyarteritis nodosa.[13] It can also exhibit a highly segmental distribution, where the fibrinoid material does not uniformly coat the affected vessel but instead appears in isolated patches that are spaced along the length of the vessel wall.[4][14]
Fibrinoid infiltration in affected vessels may be confined to the subintimal region, as the ground substance of the intima and the inner elastic lamina often act as a barrier, limiting further penetration of fibrin into the arterial wall.[6] However, if the internal elastic lamina is disrupted, fibrin may extend into the media, where it is typically contained by the outer elastic lamina, potentially spreading circumferentially along its inner surface.[6][15] In some cases, fibrin may extend into the adventitia or even escape from the vessels into surrounding perivascular tissue or adjacent spaces. This phenomenon is observed in conditions such as antineutrophil cytoplasmic antibody (ANCA)-associated vasculitis, where fibrin can infiltrate the urinary space near glomerular capillaries or the air space adjacent to alveolar capillaries.[16]
Associated diseases
Fibrinoid necrosis is observed in a wide range of pathological conditions such as:
- Immunologically-mediated vasculitides including:[17]
- Antineutrophil cytoplasmic antibody (ANCA)-associated vasculitis: Fibrinoid necrosis is a classical finding in these small-vessel vasculitides, and it has been referred to as "the ANCA-associated lesion" even though it occurs in other conditions as well.[8]
- Polyarteritis nodosa (PAN): The hallmark morphological characteristic of PAN is fibrinoid necrosis.[1] In contrast, fibrinoid necrosis in Kawasaki disease is less pronounced than in PAN, despite both being forms of medium-sized vessel vasculitides.[17]
- Systemic lupus erythematosus.[14]
- Leucocytoclastic vasculitis.[18]
- Systemic sclerosis, arthus reaction (a type III hypersensitivity reaction) and rheumatoid subcutaneous nodules.[17]

- Malignant hypertension: Fibrinoid necrosis arises in the systemic circulation as a typical feature of malignant hypertension,[6][19] and it's observed, for example, in the arterioles of the kidney, brain, retina, and other organs.[20]
- Thrombotic microangiopathy, and rejection of kidney grafts.[17]
- Preeclampsia: Fibrinoid necrosis occurs in the uterine spiral arterioles in preeclampsia, and involves the deposition of a dense, eosinophilic material beneath the endothelial lining of the affected vessels.[21]
- Gestational diabetes mellitus may also result in fibrinoid necrosis, and vascular lesions similar to preeclampsia.[22]
- Cerebral amyloid angiopathy.[23]
- COVID-19 infection.[24][25]
- Sarcoidosis: Fibrinoid necrosis may be observed in the central region of sarcoid granulomas, providing a histopathological distinction from the caseous necrosis characteristic of granulomas in tuberculosis.[26]
- Cerebral radiation necrosis: It is a late complication of radiotherapy, which affects 5–15% of patients treated for brain or head-and-neck malignancies, and occurs within months to years after treatment. It arises from radiation-induced brain tissue and vascular damage, leading to endothelial proliferation, fibrinoid necrosis, vessel narrowing, ischemia, and brain parenchymal necrosis.[27]
Pathogenesis
Fibrinoid necrosis occurs as a consequence of endothelial injury, which permits the leakage of plasma proteins into the blood vessel walls.[2][3][28] This endothelial damage may arise due to a variety of underlying factors; for instance:
- Anti-neutrophil cytoplasmic antibodies (ANCAs) target neutrophils, inducing the release of proteolytic enzymes. These enzymes, in conjunction with reactive oxygen species and complement system activation, contribute to endothelial damage, resulting in the formation of gaps within the capillary walls.[29]
- Immune complex deposition, as in leucocytoclastic vasculitis and arthus reaction, activates the complement cascade, leading to the recruitment and activation of neutrophils, which release lysosomal enzymes that damage the vascular endothelium.[1][18]
- High blood pressure in malignant hypertension causes direct traumatic injury to the blood vessel wall,[30] primarily due to increased tension, and mechanical stress on the arterial walls.[31] Numerous studies have shown that sudden and substantial blood pressure elevations can induce fibrinoid changes within minutes, providing strong evidence that elevated blood pressure alone is the cause of fibrinoid necrosis.[4]
- In cerebral radiation necrosis, radiotherapy can directly damage the plasma membrane of multiple cell types, including endothelial cells, and trigger the enzymatic hydrolysis of sphingomyelin and the generation of ceramide. Ceramide subsequently increases the production of reactive oxygen species, which activate an inflammatory cascade that eventually results in the formation of thrombi and fibrinoid necrosis.[32]
Endothelial cell damage results in the loss of the normal barrier function, and allows plasma components, including coagulation factors, to escape from the bloodstream and leak out into the blood vessel walls and the surrounding spaces. The coagulation factors that leak from the damaged blood vessels interact with various thrombogenic substances, such as tissue factor, which culminates in the formation of fibrin, whose accumulation leads to the characteristic appearance of fibrinoid necrosis.[5][33]
Clinical relevance
Pathological consequences
Ischemia
- In malignant hypertension, fibrinoid necrosis of the afferent arterioles and glomeruli, combined with hyperplastic arteriolosclerosis, can result in obliteration of glomeruli and loss of tubules. This process contributes to progressive renal failure and uremia, which, if left untreated, leads to a mortality rate of approximately 90% within one year.[20][30]
- A variety of vasculitides can lead to the development of peripheral neuropathies, if they affect the blood vessels supplying the nerves, known as the vasa nervorum. The vascular injury associated with vasculitis, characterized by inflammatory cell infiltration and fibrinoid necrosis, can cause vessel wall damage, or narrowing of the vasa nervorum; this leads to ischemia and nerve damage, and ultimately gives rise to the clinical manifestations of neuropathy.[34]
Hemorrhage
Whenever hypertension induces fibrinoid necrosis in the small cerebral arteries, this considerably raises the risk of intracerebral hemorrhage (ICH) due to two main factors:[31]
- The deposition of fibrinoid material in the vessel wall leads to thickening of the arterial walls, making them progressively more rigid and less elastic.
- The narrowing of the arterial lumens further exacerbates this by raising intraluminal pressure.
As a result, the small cerebral arteries become more fragile and prone to rupture, which may ultimately lead to ICH.
Retinal detachment
When blood pressure rises significantly, as in malignant hypertension or eclampsia, retinal arterioles can undergo fibrinoid necrosis, reducing blood supply to the choriocapillaris, which is responsible for nourishing the retinal pigment epithelium (RPE). Ischemia disrupts RPE function, compromises the blood-retinal barrier and causes fluid leakage into the subretinal space, and the development of exudative retinal detachment.[35][36]
Diagnostic value
Fibrinoid necrosis serves as an important diagnostic clue in recognizing vascular pathologies, and helping to guide further investigation and treatment; for instance:
- In cases where symptoms suspicious of giant cell arteritis (GCA) are present, but a temporal artery biopsy reveals fibrinoid necrosis in small vessels branching from the temporal artery, and the absence of the typical GCA histological features, this discrepancy may suggest an alternative diagnosis, as the occurrence of fibrinoid necrosis in GCA is extremely rare.[37] Although ANCA-associated vasculitis primarily affects organs like the kidneys and lungs, it can rarely present with symptoms resembling GCA, and should be considered, particularly if the histological findings, such as the presence of fibrinoid necrosis, suggest this possibility.[38]
- In order to establish a definitive diagnosis of leukocytoclastic vasculitis (LCV), histopathological confirmation through a skin biopsy is essential to differentiate LCV from other similar conditions. Histopathologically, LCV is defined by the following key features:[39]
- Neutrophilic infiltration in and around the vessel wall with leukocytoclasia.
- Fibrinoid necrosis.
- Vessel wall and tissue damage.
The lack of fibrinoid necrosis and inflammatory infiltration in the vessel may preclude the diagnosis of classic LCV, and necessitates further evaluation.[40] However, it is to be noted that these histological features tend to progress gradually over time, and a biopsy taken too early or too late might miss the "textbook" full-blown changes of LCV.[39]
Prognostic value
Fibrinoid necrosis is included in the modified National Institutes of Health (NIH) activity index for lupus nephritis (LN), which is a scoring system used to assess the severity of LN based on histopathologic findings from kidney biopsies.[14]
The activity index is based on the evaluation of six histologic features that indicate active inflammation, each of which is assigned a score from 0-3 depending on the degree of glomerular involvement.[14][41] The score of fibrinoid necrosis and cellular/fibrocellular crescents is multiplied by two, because these two lesions were considered to be associated with a higher level of severity;[42] this gives the activity index a total score of 0-24.[note 2]
The activity index correlates with the level of active inflammation in LN,[41] and serves as a general framework for guiding treatment decisions; the higher the NIH activity score, the more intensive the immunosuppressive treatment required.[43]
Notes
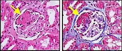
- ^ This figure illustrates that Masson's trichrome stain also helps to distinguish between fibrinoid necrosis, and sclerosis in renal biopsies.
- ^ This figure illustrates the modified NIH activity and chronicity indices for lupus nephritis.
References
- ^ a b c d e Strayer, DS; Rubin, E; Saffitz, JE; Schiller, AL (2015). Rubin's Pathology: Clinicopathologic Foundations of Medicine (7th ed.). Philadelphia, Penn.: Wolters Kluwer. ISBN 978-1-4511-8390-0.
- ^ a b Miller, MA; Zachary, JF (2017). "Mechanisms and Morphology of Cellular Injury, Adaptation, and Death". Pathologic Basis of Veterinary Disease: 2–43.e19. doi:10.1016/B978-0-323-35775-3.00001-1. ISBN 978-0-323-35775-3. PMC 7171462.
- ^ a b c Chen, H; Liu, Y; Wei, L; Wang, H; Zheng, Z; Yan, T; Jia, J; Li, D (11 December 2023). "The effect of fibrinoid necrosis on the clinical features and outcomes of primary IgA nephropathy". BMC Nephrology. 24 (1): 366. doi:10.1186/s12882-023-03419-4. PMC 10712095. PMID 38082385.
- ^ a b c d e f g h Rosenblum, WI (October 2008). "Fibrinoid necrosis of small brain arteries and arterioles and miliary aneurysms as causes of hypertensive hemorrhage: a critical reappraisal". Acta Neuropathologica. 116 (4): 361–9. doi:10.1007/s00401-008-0416-9. PMID 18642006.
- ^ a b Hano, H; Takagi, I; Nagatsuma, K; Lu, T; Meng, C; Chiba, S (28 January 2007). "An autopsy case showing massive fibrinoid necrosis of the portal tracts of the liver with cholangiographic findings similar to those of primary sclerosing cholangitis". World Journal of Gastroenterology. 13 (4): 639–42. doi:10.3748/wjg.v13.i4.639 (inactive 12 July 2025). PMC 4065992. PMID 17278236.
{{cite journal}}: CS1 maint: DOI inactive as of July 2025 (link) - ^ a b c d e Heath, D; Smith, P (October 1978). "The electron microscopy of "fibrinoid necrosis" in pulmonary arteries". Thorax. 33 (5): 579–95. doi:10.1136/thx.33.5.579. PMC 470940. PMID 31704.
- ^ WIENER, J; SPIRO, D; LATTES, RG (September 1965). "The Cellular Pathology of Experimental Hypertension. II. Arteriolar Hyalinosis and Fibrinoid Change". The American Journal of Pathology. 47 (3): 457–85. PMC 1920447. PMID 14334752.
- ^ a b c d e Bajema, IM; Bruijn, JA (July 2000). "What stuff is this! A historical perspective on fibrinoid necrosis". The Journal of Pathology. 191 (3): 235–8. doi:10.1002/(SICI)1096-9896(0000)9999:9999<N/A::AID-PATH610>3.0.CO;2-I. PMID 10878543.
- ^ Scott, GB (June 1968). "Trypan blue and the generalized Shwartzman reaction. The nature and formation of fibrinoid material in the pulmonary arteries". British Journal of Experimental Pathology. 49 (3): 251–6. PMC 2093816. PMID 5665438.
- ^ a b Cross, Simon S. (2013). Underwood's Pathology: A Clinical Approach (6th ed.). Churchill Livingstone. ISBN 978-0-7020-4672-8.
- ^ Jennette, JC; Falk, RJ; Hu, P; Xiao, H (24 January 2013). "Pathogenesis of antineutrophil cytoplasmic autoantibody-associated small-vessel vasculitis". Annual Review of Pathology. 8: 139–60. doi:10.1146/annurev-pathol-011811-132453. PMC 5507606. PMID 23347350.
- ^ a b Rosenblum, William I (10 September 2021). "Lipohyalinosis and Fibrinoid: Consistent and Important Failure to Understand These Are Synonyms". Journal of Neuropathology & Experimental Neurology. 80 (8): 802–803. doi:10.1093/jnen/nlab009. PMID 33684938.
- ^ Aw, DKL; Vijaykumar, K; Cheng, SC; Tang, TY; Tay, JS; Choke, ETC (December 2023). "A case of severe polyarteritis nodosa with critical limb threatening ischemia-promising treatment with sirolimus drug-coated angioplasty". Journal of Vascular Surgery Cases and Innovative Techniques. 9 (4): 101266. doi:10.1016/j.jvscit.2023.101266. PMC 10725072. PMID 38106351.
- ^ a b c d Bajema, IM; Wilhelmus, S; Alpers, CE; Bruijn, JA; Colvin, RB; Cook, HT; D'Agati, VD; Ferrario, F; Haas, M; Jennette, JC; Joh, K; Nast, CC; Noël, LH; Rijnink, EC; Roberts, ISD; Seshan, SV; Sethi, S; Fogo, AB (April 2018). "Revision of the International Society of Nephrology/Renal Pathology Society classification for lupus nephritis: clarification of definitions, and modified National Institutes of Health activity and chronicity indices". Kidney International. 93 (4): 789–796. doi:10.1016/j.kint.2017.11.023. hdl:10044/1/57351. PMID 29459092.
- ^ Cassisa, A; Cima, L (April 2024). "Cutaneous vasculitis: insights into pathogenesis and histopathological features". Pathologica. 116 (2): 119–133. doi:10.32074/1591-951X-985. PMC 11138767. PMID 38767544.
- ^ Sinico, RA; Guillevin, L (2020). Anti-Neutrophil Cytoplasmic Antibody (ANCA) Associated Vasculitis. Springer Nature. doi:10.1007/978-3-030-02239-6. ISBN 978-3-030-02238-9.
- ^ a b c d Kumar, Vinay; Abbas, Abul K.; Aster, Jon C. (24 June 2014). Robbins & Cotran Pathologic Basis of Disease (9th ed.). Elsevier Health Sciences. ISBN 978-0-323-29635-9.
- ^ a b Baigrie, D; Crane, JS (January 2024), "Leukocytoclastic Vasculitis.", StatPearls, Treasure Island, Florida (FL): StatPearls Publishing, PMID 29489227
- ^ Naranjo, M; Chauhan, S; Paul, M (January 2024), "Malignant Hypertension.", StatPearls, Treasure Island, Florida (FL): StatPearls Publishing, PMID 29939523
- ^ a b Kasper, Dennis L.; Fauci, Anthony S.; Hauser, Stephen L.; Longo, Dan L.; Jameson, J. Larry; Loscalzo, Joseph (6 February 2018). Harrison's Principles of Internal Medicine 20/E (Vol.1 & Vol.2) (ebook) (20th ed.). McGraw Hill Professional. ISBN 978-1-259-64404-7.
- ^ Gusella, A; Martignoni, G; Giacometti, C (18 July 2024). "Behind the Curtain of Abnormal Placentation in Pre-Eclampsia: From Molecular Mechanisms to Histological Hallmarks". International Journal of Molecular Sciences. 25 (14): 7886. doi:10.3390/ijms25147886. PMC 11277090. PMID 39063129.
- ^ Basri, NI; Murthi, P; Abd Rahman, R (6 September 2024). "Hydroxychloroquine as an Adjunct Therapy for Diabetes in Pregnancy". International Journal of Molecular Sciences. 25 (17): 9681. doi:10.3390/ijms25179681. PMC 11395545. PMID 39273629.
- ^ Agarwal, A; Ajmera, P; Sharma, P; Kanekar, S (April 2024). "Cerebral microbleeds: Causes, clinical relevance, and imaging approach - A narrative review". Journal of Neurosciences in Rural Practice. 15 (2): 169–181. doi:10.25259/JNRP_351_2023. PMC 11090589. PMID 38746527.
- ^ Gopallawa, I; Dehinwal, R; Bhatia, V; Gujar, V; Chirmule, N (2023). "A four-part guide to lung immunology: Invasion, inflammation, immunity, and intervention". Frontiers in Immunology. 14: 1119564. doi:10.3389/fimmu.2023.1119564. PMC 10102582. PMID 37063828.
- ^ Septimiu-Radu, S; Gadela, T; Gabriela, D; Oancea, C; Rosca, O; Lazureanu, VE; Fericean, RM; Bratosin, F; Dumitrescu, A; Stoicescu, ER; Bagiu, I; Murariu, M; Mavrea, A (6 March 2023). "A Systematic Review of Lung Autopsy Findings in Elderly Patients after SARS-CoV-2 Infection". Journal of Clinical Medicine. 12 (5): 2070. doi:10.3390/jcm12052070. PMC 10004532. PMID 36902856.
- ^ Weeratunga, P; Moller, DR; Ho, LP (2 January 2024). "Immune mechanisms of granuloma formation in sarcoidosis and tuberculosis". The Journal of Clinical Investigation. 134 (1). doi:10.1172/JCI175264. PMC 10760966. PMID 38165044.
- ^ Scheepens, JCC; Taphoorn, MJB; Koekkoek, JAF (1 November 2024). "Patient-reported outcomes in neuro-oncology". Current Opinion in Oncology. 36 (6): 560–568. doi:10.1097/CCO.0000000000001078. PMC 11460742. PMID 38984633.
- ^ Adigun, R; Basit, H; Murray, J (January 2024), "Cell Liquefactive Necrosis.", StatPearls, Treasure Island, Florida (FL): StatPearls Publishing, PMID 28613685
- ^ Gluhovschi, C; Gadalean, F; Velciov, S; Nistor, M; Petrica, L (6 November 2023). "Three Diseases Mediated by Different Immunopathologic Mechanisms-ANCA-Associated Vasculitis, Anti-Glomerular Basement Membrane Disease, and Immune Complex-Mediated Glomerulonephritis-A Common Clinical and Histopathologic Picture: Rapidly Progressive Crescentic Glomerulonephritis". Biomedicines. 11 (11): 2978. doi:10.3390/biomedicines11112978. PMC 10669599. PMID 38001978.
- ^ a b Mohan, Harsh (31 October 2014). Textbook of Pathology (7th ed.). Jaypee Brothers Medical Publishers Pvt. Limited. ISBN 978-93-5152-369-7.
- ^ a b Huang, B; Chen, A; Sun, Y; He, Q (19 June 2024). "The Role of Aging in Intracerebral Hemorrhage". Brain Sciences. 14 (6): 613. doi:10.3390/brainsci14060613. PMC 11201415. PMID 38928613.
- ^ Romano, A; Moltoni, G; Blandino, A; Palizzi, S; Romano, A; de Rosa, G; De Blasi Palma, L; Monopoli, C; Guarnera, A; Minniti, G; Bozzao, A (21 October 2023). "Radiosurgery for Brain Metastases: Challenges in Imaging Interpretation after Treatment". Cancers. 15 (20): 5092. doi:10.3390/cancers15205092. PMC 10605307. PMID 37894459.
- ^ Jennette, JC; Falk, RJ (August 2014). "Pathogenesis of antineutrophil cytoplasmic autoantibody-mediated disease". Nature Reviews. Rheumatology. 10 (8): 463–73. doi:10.1038/nrrheum.2014.103. PMID 25003769.
- ^ Marcinkowska, W; Zielinska, N; Szewczyk, B; Łabętowicz, P; Głowacka, M; Olewnik, Ł (11 October 2024). "Morphological Variability of the Sural Nerve and Its Clinical Significance". Journal of Clinical Medicine. 13 (20): 6055. doi:10.3390/jcm13206055. PMC 11508416. PMID 39458004.
- ^ Mishra, P; Kanaujia, V; Kesarwani, D; Sharma, K; Nanda, J; Mishra, P (June 2024). "Visual Outcomes in Malignant Hypertensive Retinopathy Cases: A Clinical and Spectral Domain Optical Coherence Tomography Study". Cureus. 16 (6): e62945. doi:10.7759/cureus.62945. PMC 11265969. PMID 39050341.
- ^ Hayreh, SS; Hayreh, SB (September 2023). "Uveal vascular bed in health and disease: lesions produced by occlusion of the uveal vascular bed and acute uveal ischaemic lesions seen clinically. Paper 2 of 2". Eye. 37 (13): 2617–2648. doi:10.1038/s41433-023-02417-y. PMC 10482881. PMID 37185956.
- ^ Monti, S; Schäfer, VS; Muratore, F; Salvarani, C; Montecucco, C; Luqmani, R (2023). "Updates on the diagnosis and monitoring of giant cell arteritis". Frontiers in Medicine. 10: 1125141. doi:10.3389/fmed.2023.1125141. hdl:11380/1299527. PMC 9995793. PMID 36910481.
- ^ Matsuo, T; Hiramatsu-Asano, S; Sawachika, H; Nishimura, H (June 2023). "ANCA-associated vasculitis with scleritis, corneal melt, and perforation rescued by rituximab: Case report and literature review". Clinical Case Reports. 11 (6): e7595. doi:10.1002/ccr3.7595. PMC 10282114. PMID 37351359.
- ^ a b Fraticelli, P; Benfaremo, D; Gabrielli, A (June 2021). "Diagnosis and management of leukocytoclastic vasculitis". Internal and Emergency Medicine. 16 (4): 831–841. doi:10.1007/s11739-021-02688-x. PMC 8195763. PMID 33713282.
- ^ Oprinca, GC; Mohor, CI; Oprinca-Muja, A; Hașegan, A; Cristian, AN; Fleacă, SR; Boeraș, I; Cardoș, R; Atasie, D; Mihalache, M; Mihalache, C; Tâlvan, ET; Mohor, CI (24 February 2024). "Unveiling the Pathological Mechanisms of Death Induced by SARS-CoV-2 Viral Pneumonia". Microorganisms. 12 (3): 459. doi:10.3390/microorganisms12030459. PMC 10972137. PMID 38543510.
- ^ a b Mina, R; Abulaban, K; Klein-Gitelman, MS; Eberhard, BA; Ardoin, SP; Singer, N; Onel, K; Tucker, L; O'neil, K; Wright, T; Brooks, E; Rouster-Stevens, K; Jung, L; Imundo, L; Rovin, B; Witte, D; Ying, J; Brunner, HI (February 2016). "Validation of the Lupus Nephritis Clinical Indices in Childhood-Onset Systemic Lupus Erythematosus". Arthritis Care & Research. 68 (2): 195–202. doi:10.1002/acr.22651. PMC 4720587. PMID 26213987.
- ^ Choi, SE; Fogo, AB; Lim, BJ (March 2023). "Histologic evaluation of activity and chronicity of lupus nephritis and its clinical significance". Kidney Research and Clinical Practice. 42 (2): 166–173. doi:10.23876/j.krcp.22.083. PMC 10085727. PMID 37037479.
- ^ Fava, A; Buyon, J; Magder, L; Hodgin, J; Rosenberg, A; Demeke, DS; Rao, DA; Arazi, A; Celia, AI; Putterman, C; Anolik, JH; Barnas, J; Dall'Era, M; Wofsy, D; Furie, R; Kamen, D; Kalunian, K; James, JA; Guthridge, J; Atta, MG; Monroy Trujillo, J; Fine, D; Clancy, R; Belmont, HM; Izmirly, P; Apruzzese, W; Goldman, D; Berthier, CC; Hoover, P; Hacohen, N; Raychaudhuri, S; Davidson, A; Diamond, B; Accelerating Medicines Partnership in RA/SLE, network; Petri, M (23 January 2024). "Urine proteomic signatures of histological class, activity, chronicity, and treatment response in lupus nephritis". JCI Insight. 9 (2). doi:10.1172/jci.insight.172569. PMC 10906224. PMID 38258904.