Cryptitis

In histology, cryptitis refers to inflammation of an intestinal crypt.
Cryptitis is a non-specific histopathologic finding that is seen in several conditions, e.g. inflammatory bowel disease,[1] diverticular disease,[2] radiation colitis,[3] infectious colitis.
Additional images
-
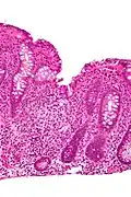
Cryptitis. H&E stain. -

-

-

-
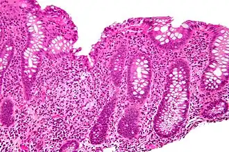
Crypt abscess. H&E stain.
References
Wikimedia Commons has media related to Cryptitis.
- ^ Al-Hussaini, AA.; Machida, HM.; Butzner, JD. (Jul 2003). "Crohn's disease and cheilitis". Can J Gastroenterol. 17 (7): 445–7. doi:10.1155/2003/368754. PMID 12915919.
- ^ West, AB.; Losada, M. (2004). "The pathology of diverticulosis coli". J Clin Gastroenterol. 38 (5 Suppl 1): S11–6. doi:10.1097/01.mcg.0000124005.07433.69. PMID 15115923. S2CID 42614608.
- ^ Hovdenak, N.; Fajardo, LF.; Hauer-Jensen, M. (Nov 2000). "Acute radiation proctitis: a sequential clinicopathologic study during pelvic radiotherapy". Int J Radiat Oncol Biol Phys. 48 (4): 1111–7. doi:10.1016/s0360-3016(00)00744-6. PMID 11072170.