Berylliosis

Berylliosis
Other namesChronic beryllium disease (CBD)
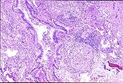
Peribronchal non-necrotizing granuloma from berylliosis
SpecialtyPulmonology

Berylliosis, or chronic beryllium disease (CBD), is a chronic allergic-type lung response and chronic lung disease caused by exposure to beryllium and its compounds, a form of beryllium poisoning. It is distinct from acute beryllium poisoning, which became rare following occupational exposure limits established around 1950.[1] Berylliosis is an occupational lung disease.

While there is no cure, symptoms can be treated.[2]

Signs and symptoms

With single or prolonged exposure by inhalation the lungs may become sensitized to beryllium. Berylliosis has a slow onset and progression. Some people who are sensitized to beryllium may not have symptoms.[1] Continued exposure causes the development of small inflammatory nodules, called granulomas.[3] Of note, the authors of a 2006 study suggested that beryllium inhalation was not the only form of exposure and perhaps skin exposure was also a cause, as they found that a reduction in beryllium inhalation did not result in a reduction in chronic beryllium disease or beryllium sensitization.[4]

Granuloma formation is seen in other diseases such as tuberculosis and sarcoidosis. Sarcoidosis, like berylliosis, also produces granulomas without a necrotic core, and so distinction between the two processes can be difficult.

Ultimately, this process leads to restrictive lung disease (a decrease in diffusion capacity).

The earliest symptoms are typically cough and shortness of breath.[5] Other symptoms include chest pain, joint aches, weight loss, and fever.

Rarely, one can get granulomas in other organs including the liver.

The onset of symptoms can range from weeks up to tens of years from the initial exposure. In some individuals, a single exposure to beryllium can cause berylliosis.

Pathogenesis

In susceptible persons, beryllium exposure can lead to a cell-mediated immune response. The T-cells become sensitized to beryllium. Each subsequent exposure leads to an immune response involving CD4+ helper T-lymphocytes and macrophages accumulating in the lungs. As this response continues macrophages, CD4+ T-lymphocytes and plasma cells aggregate together to form the noncaseating granulomas.[6][7] When beryllium is phagocytized by macrophages, the beryllium triggers macrophage apoptosis, thereby reducing beryllium clearance from the lungs and eventually resulting in secondary necrosis and lysis.[8] Eventually, the outcome is fibrosis of the lung.[9][10]

Several studies have shown that there is a genetic component to beryllium sensitivity. Specifically, those beryllium-exposed workers with a mutation at the HLA-DPB1 Glu69 position have increased prevalence of beryllium sensitization and chronic beryllium disease.[11] The HLA-DPB1 gene is important for MHC class II molecule function on antigen presenting cells.[11] A study of the immune response to beryllium in individuals who express the HLA-DP2 allele found that CD4 T-cells do not detect the Be2+ cation itself, but instead detect surface changes in the HLA-DP2/peptide complex in which Be2+ is embedded. Those researchers concluded that chronic beryllium disease is a predisposition that lies between "allergic hypersensitivity and autoimmunity."[12]

According to the International Agency for Research on Cancer, beryllium and beryllium compounds are Category 1 carcinogens; they are carcinogenic to both animals and humans.[13]

Diagnosis

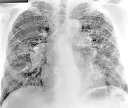
X-ray image of a 54-year-old man working in the aerospace manufacturing industry with berylliosis

The differential diagnosis for berylliosis includes:[14]

Diagnosis of berylliosis is based on history of beryllium exposures, documented beryllium sensitivity, and granulomatous inflammation on lung biopsy. Given the invasive nature of a lung biopsy, diagnosis can also be based on clinical history consistent with berylliosis, abnormal chest x-ray or CT scan findings, and abnormalities in pulmonary function tests.[15]

The radiologic and pathologic features of berylliosis are very similar to sarcoidosis. Due to the strong clinical and histopathological resemblance of sarcoidosis and berylliosis, patients are sometimes misdiagnosed with sarcoidosis until the history of exposure to beryllium is elicited and beryllium hypersensitivity demonstrated with specific testing. Some studies suggest that up to 6% of all cases of sarcoidosis are actually berylliosis.[16][17]

The beryllium lymphocyte proliferation test (BeLPT) is the standard way of determining sensitivity to beryllium.[15] The test is performed by acquiring either peripheral blood or fluid from a bronchial alveolar lavage, and lymphocytes are cultured with beryllium sulfate. Cells are then counted and those with elevated number of cells are considered abnormal.[18] Those exposed persons with two abnormal BeLPT tested with peripheral blood, or one abnormal and one borderline result, are considered beryllium sensitized. Also, those with one abnormal BeLPT tested with fluid from a bronchial alveolar lavage are considered sensitized.[15]

Chest radiography findings of berylliosis are non-specific. Early in the disease radiography findings are usually normal. In later stages interstitial fibrosis, pleural irregularities, hilar lymphadenopathy and ground-glass opacities have been reported.[19][20] Findings on CT are also not specific to berylliosis. Findings that are common in CT scans of people with berylliosis include parenchymal nodules in early stages. One study found that ground-glass opacities were more commonly seen on CT scan in berylliosis than in sarcoidosis. In later stages hilar lymphadenopathy, interstitial pulmonary fibrosis and pleural thickening.[20]

Classification

Berylliosis is an occupational disease.[1] Relevant occupations are those where beryllium is mined, processed or converted into metal alloys, or where machining of metals containing beryllium and recycling of scrap alloys occurs.[21] It is associated with aerospace manufacturing, microwave semiconductor electronics, beryllium mining or manufacturing of fluorescent light bulbs (which once contained beryllium compounds in their internal phosphor coating).[22][23][24] Beryllia was used in lamp manufacture because of ceramic's obvious virtues for insulation and heat resistance, and also because beryllia could be made transparent.[25] Certain welding anodes along with other electrical contacts and even non-sparking tools are made of beryllium copper alloy and the subsequent machining of such materials would cause the disease as well.

Prevention

Because it can be difficult to control industrial exposures to beryllium, it is advisable to use any methods possible to reduce airborne and surface contamination by beryllium, to minimize the use of beryllium and beryllium-containing alloys whenever possible, and to educate people about the potential hazards if they are likely to encounter beryllium dust or fumes.[26] It is important to damp wipe metallographic preparation equipment to prevent accumulation of dry particles. Sectioning, grinding, and polishing must be performed under sufficiently vented hoods equipped with special filters.[27]

On 29 January 2009, the Los Alamos National Laboratory announced it was notifying nearly 2,000 current and former employees and visitors that they may have been exposed to beryllium in the lab and may be at risk of disease. Concern over possible exposure to the material was first raised in November 2008, when a box containing beryllium was received at the laboratory's short-term storage facility.[28]

Treatment

There is no cure for berylliosis; the goals of treatment are to reduce symptoms and slow the progression of disease.[10][29]

Although the evidence that stopping exposure to beryllium decreases progression of the disease is limited,[30] it is still considered to be an accepted approach to treatment in any stage of disease.[31]

People with early stages of disease, without lung function abnormalities or clinical symptoms, are periodically monitored with physical exams, pulmonary function testing and radiography.[29]

Once clinical symptoms or significant abnormalities in pulmonary function testing appear, treatments include oxygen and oral corticosteroids and whatever supportive therapy is required.[1][15][29]

Outcomes

Overall mortality rates are 5–38%.[32]

Epidemiology

The number of workers in the United States exposed to beryllium vary but has been estimated to be as high as 800,000 during the 1960s and 1970s.[33] A more recent study from 2004 estimated the number of exposed workers in the United States to be around 134,000.[34]

The rate of workers becoming sensitized to beryllium varies based on genetics and exposure levels. In one study researchers found the prevalence of beryllium sensitization to range from 9–19% depending on the industry.[35] Many workers who are found to be sensitive to beryllium also meet the diagnostic criteria for chronic beryllium disease.[35] In one study of nuclear workers, among those who were sensitized to beryllium, 66% were found to have chronic beryllium disease as well.[36] The rate of progression from beryllium sensitization to chronic beryllium disease has been estimated to be approximately 6–8% per year.[30][37] Stopping exposure to beryllium in those sensitized has not been definitively shown to stop the progression to chronic beryllium disease.[30]

The overall prevalence of chronic beryllium disease among workers exposed to beryllium has ranged from 1–5% depending on industry and time period of study.[35][36][38]

The general population is unlikely to develop acute or chronic beryllium disease because ambient air levels of beryllium are normally very low (<0.03 ng/m3).[39] However, a study found 1% of people living within 3/4 of a mile of a beryllium plant in Lorain, Ohio, had berylliosis after exposure to concentrations estimated to be less than 1 milligram per cubic metre of air. In the United States the Beryllium Case Registry contained 900 records, early cases relating to extraction and fluorescent lamp manufacture, later ones coming from the aerospace, ceramics and metallurgical industries.[40][41]

History

Since the 1920s, beryllium has been used in electronics, ceramics, research and development labs, aircraft, and the atomic energy and defense industry.[26] Cases of bronchitis and pneumonia-like symptoms were reported in Germany and Russia in the 1930s among workers mining and refining beryllium. By 1946, a cluster of cases associated with fluorescent lamp manufacturers were apparent in the United States, and the lamp industry stopped using beryllium in 1949.[31] At that time, most construction trades and industries were unaware of the potential risks associated with beryllium exposure.[42]

It occasionally killed early workers in nuclear weapons design, such as Herbert L. Anderson.[43] The physicist W. W. Hansen who was instrumental in the development of the klystron also died of the disease in 1949.

Beryllium sensitivity testing was first performed as a cutaneous beryllium patch test in the early 1950s, but was discontinued due to the test stimulating sensitization or aggravating existing chronic beryllium disease.[44]: 115 

In the 1990s, the DOE began screening employees using the BeLPT test in facilities where beryllium was used, to take preventive measures against beryllium exposure. Somewhat alarmingly, clerical staff who were never involved in handling the material had developed asymptomatic sensitivities.[45]

References

  1. ^ a b c d OSHA Beryllium Health Effects Page accessed March 29, 2016
  2. ^ Dweik, Raed A (2008-11-19). "Berylliosis: Treatment & Medication". Medscape. Retrieved 2009-08-21.
  3. ^ Kriebel, D; Brain, JD; Sprince, NL; Kazemi, H (1988). "The pulmonary toxicity of beryllium". The American Review of Respiratory Disease. 137 (2): 464–73. doi:10.1164/ajrccm/137.2.464. PMID 3277503.
  4. ^ Day, GA; Stefaniak, AB; Weston, A; Tinkle, SS (February 2006). "Beryllium exposure: dermal and immunological considerations". International Archives of Occupational and Environmental Health. 79 (2): 161–4. Bibcode:2006IAOEH..79..161D. doi:10.1007/s00420-005-0024-0. PMID 16231190. S2CID 41564437.
  5. ^ Kreider, ME; Rossman, MD (2015). "Chapter 87: Chronic beryllium disease and hard-metal lung diseases". In Grippi, MA; Elias, JA; Fishman, JA; Kotloff, RM; Pack, AI; Senior, RM (eds.). Fishman's Pulmonary Diseases and Disorders (5th ed.). McGraw-Hill. ISBN 978-0-07-179672-9.
  6. ^ Falta, Michael T.; Pinilla, Clemencia; Mack, Douglas G.; Tinega, Alex N.; Crawford, Frances; Giulianotti, Marc; Santos, Radleigh; Clayton, Gina M.; Wang, Yuxiao (2013-07-01). "Identification of beryllium-dependent peptides recognized by CD4+ T cells in chronic beryllium disease". The Journal of Experimental Medicine. 210 (7): 1403–1418. doi:10.1084/jem.20122426. ISSN 0022-1007. PMC 3698527. PMID 23797096.
  7. ^ Freiman, D. G.; Hardy, H. L. (1970-03-01). "Beryllium disease. The relation of pulmonary pathology to clinical course and prognosis based on a study of 130 cases from the U.S. beryllium case registry". Human Pathology. 1 (1): 25–44. doi:10.1016/S0046-8177(70)80003-X. ISSN 0046-8177. PMID 5521721.
  8. ^ Sawyer, Richard T.; Maier, Lisa A.; Kittle, Lori A.; Newman, Lee S. (February 2002). "Chronic beryllium disease: a model interaction between innate and acquired immunity". International Immunopharmacology. 2 (2–3): 249–261. doi:10.1016/S1567-5769(01)00177-1. ISSN 1567-5769. PMID 11811929.
  9. ^ Saltini, C.; Amicosante, M.; Franchi, A.; Lombardi, G.; Richeldi, L. (1998-12-01). "Immunogenetic basis of environmental lung disease: lessons from the berylliosis model". European Respiratory Journal. 12 (6): 1463–1475. doi:10.1183/09031936.98.12061463. ISSN 0903-1936. PMID 9877510.
  10. ^ a b Agency for Toxic Substances and Disease Registry via the CDC. Beryllium Toxicity: How Should Patients Exposed to Beryllium Be Treated and Managed? Page last updated: May 23, 2008
  11. ^ a b Rosenman KD, Rossman M, Hertzberg V, Reilly MJ, Rice C, Kanterakis E, Monos D (2011). "HLA class II DPB1 and DRB1 polymorphisms associated with genetic susceptibility to beryllium toxicity". Occup Environ Med. 68 (7): 487–93. doi:10.1136/oem.2010.055046. PMID 21186201. S2CID 27610317.
  12. ^ Clayton GM, Wang Y, Crawford F, Novikov A, Wimberly BT, Kieft JS, Falta MT, Bowerman NA, Marrack P, Fontenot AP, Dai S, Kappler JW (2014). "Structural Basis of Chronic Beryllium Disease: Linking Allergic Hypersensitivity and Autoimmunity". Cell. 158 (1): 132–142. doi:10.1016/j.cell.2014.04.048. PMC 4269484. PMID 24995984. Individuals carrying the MHCII allele, HLA-DP2, are at risk for chronic beryllium disease (CBD), a debilitating inflammatory lung condition caused by the reaction of CD4 T cells to inhaled beryllium.
  13. ^ "IARC Monograph, Volume 58". International Agency for Research on Cancer. 1993. Retrieved 2008-09-18.
  14. ^ Newman, LS (March 1995). "Beryllium disease and sarcoidosis: clinical and laboratory links". Sarcoidosis. 12 (1): 7–19. PMID 7617981.
  15. ^ a b c d Balmes, John R.; Abraham, Jerrold L.; Dweik, Raed A.; Fireman, Elizabeth; Fontenot, Andrew P.; Maier, Lisa A.; Muller-Quernheim, Joachim; Ostiguy, Gaston; Pepper, Lewis D. (2014). "An Official American Thoracic Society Statement: Diagnosis and Management of Beryllium Sensitivity and Chronic Beryllium Disease". American Journal of Respiratory and Critical Care Medicine. 190 (10): e34 – e59. doi:10.1164/rccm.201409-1722st. PMID 25398119.
  16. ^ Rossman, MD; Kreider, ME (June 2003). "Is chronic beryllium disease sarcoidosis of known etiology?". Sarcoidosis, Vasculitis and Diffuse Lung Diseases. 20 (2): 104–9. PMID 12870719.
  17. ^ Cheva, Angeliki; Kilmpasani, Maria; Stathakis, Eustathios; Dimitriadis, Ioannis; Mpikos, Vasileios; Papaemmanouil, Styliani (November 2016). "AB042. Sarcoidosis or Berylliosis? Two diseases with similar histologic findings". Annals of Translational Medicine. 4 (22): AB042. doi:10.21037/atm.2016.AB042. ISSN 2305-5839. PMC 5159372.
  18. ^ Frome, Edward L; Newman, Lee S; Cragle, Donna L; Colyer, Shirley P; Wambach, Paul F (2003-02-01). "Identification of an abnormal beryllium lymphocyte proliferation test". Toxicology. 183 (1–3): 39–56. Bibcode:2003Toxgy.183...39F. doi:10.1016/S0300-483X(02)00439-0. PMID 12504341.
  19. ^ Aronchick, J. M.; Rossman, M. D.; Miller, W. T. (1987-06-01). "Chronic beryllium disease: diagnosis, radiographic findings, and correlation with pulmonary function tests". Radiology. 163 (3): 677–682. doi:10.1148/radiology.163.3.3575713. ISSN 0033-8419. PMID 3575713.
  20. ^ a b Sharma, Nidhi; Patel, Jeet; Mohammed, Tan-Lucien H. (2010). "Chronic Beryllium Disease". Journal of Computer Assisted Tomography. 34 (6): 945–948. doi:10.1097/rct.0b013e3181ef214e. PMID 21084914.
  21. ^ ATSDR. ToxGuide for Beryllium September 2002
  22. ^ General Electric Fluorescent Lamps TP 111R, Dec. 1978, says on pg. 23 that since 1949 GE lamps used relatively inert phosphates found to be safe in ordinary handling of either the intact or broken lamp.
  23. ^ Cooper, Ross G.; Harrison, Adrian P. (August 2009). "The uses and adverse effects of beryllium on health". Indian Journal of Occupational and Environmental Medicine. 13 (2): 65–76. doi:10.4103/0019-5278.55122. PMC 2847329. PMID 20386622.
  24. ^ Hardy, HL; Tabershaw, IR (1946). "Delayed chemical pneumonitis in workers exposed to beryllium compounds". Journal of Industrial Hygiene and Toxicology. 28: 197–211. PMID 21000285.
  25. ^ Cayless, M A; Marsden, A M, eds. (1983). "7.2.1 Optical ceramics". Lamps and Lighting (3rd ed.). Edward Arnold. p. 127. ISBN 978-0-7131-3487-2.
  26. ^ a b Lang, Leslie (June–July 1994). "Beryllium: A Chronic Problem". Environmental Health Perspectives. 102 (6–7): 526–31. Bibcode:1994EnvHP.102..526L. doi:10.1289/ehp.94102526. PMC 1569745. PMID 9679108.
  27. ^ Batich, Ray and James M. Marder. (1985) Beryllium In (Ed. 9), Metals Handbook: Metallography and Microstructures (pp. 389–391). Metals Park, Ohio: American Society for Metals.
  28. ^ "Nearly 2,000 people warned of possible beryllium exposure". CNN. 29 January 2009.
  29. ^ a b c Sood, Akshay (2009). "Current Treatment of Chronic Beryllium Disease". Journal of Occupational and Environmental Hygiene. 6 (12): 762–765. Bibcode:2009JOEH....6..762S. doi:10.1080/15459620903158698. PMC 2774897. PMID 19894178.
  30. ^ a b c Seidler, A.; Euler, U.; Müller-Quernheim, J.; Gaede, K. I.; Latza, U.; Groneberg, D.; Letzel, S. (2012-10-01). "Systematic review: progression of beryllium sensitization to chronic beryllium disease". Occupational Medicine. 62 (7): 506–513. doi:10.1093/occmed/kqs069. ISSN 0962-7480. PMID 22705916.
  31. ^ a b Rossman, M (1996). "Chronic beryllium disease: diagnosis and management". Environmental Health Perspectives. 104 (Suppl 5): 945–947. Bibcode:1996EnvHP.104S.945R. doi:10.1289/ehp.96104s5945. PMC 1469698. PMID 8933039.
  32. ^ Newman, LS; Lloyd, J; Daniloff, E (1996). "The natural history of beryllium sensitization and chronic beryllium disease". Environmental Health Perspectives. 104 (Suppl 5): 937–43. doi:10.2307/3433014. JSTOR 3433014. PMC 1469683. PMID 8933038.
  33. ^ Cullen, Mark; Cherniack, Martin; Kominsky, John (1986-01-01). "Chronic Beryllium Disease in the United States". Seminars in Respiratory and Critical Care Medicine. 7 (3): 203–209. doi:10.1055/s-2007-1012616. S2CID 72430473.
  34. ^ Henneberger, Paul K.; Goe, Sandra K.; Miller, William E.; Doney, Brent; Groce, Dennis W. (2004-10-01). "Industries in the United States with Airborne Beryllium Exposure and Estimates of the Number of Current Workers Potentially Exposed". Journal of Occupational and Environmental Hygiene. 1 (10): 648–659. Bibcode:2004JOEH....1..648H. doi:10.1080/15459620490502233. ISSN 1545-9624. PMID 15631056. S2CID 19773286.
  35. ^ a b c Kreiss, K.; Mroz, M. M.; Zhen, B.; Wiedemann, H.; Barna, B. (1997-08-01). "Risks of beryllium disease related to work processes at a metal, alloy, and oxide production plant". Occupational and Environmental Medicine. 54 (8): 605–612. doi:10.1136/oem.54.8.605. ISSN 1470-7926. PMC 1128986. PMID 9326165.
  36. ^ a b Kreiss, K.; Mroz, M. M.; Zhen, B.; Martyny, J. W.; Newman, L. S. (1993-10-01). "Epidemiology of beryllium sensitization and disease in nuclear workers". The American Review of Respiratory Disease. 148 (4 Pt 1): 985–991. doi:10.1164/ajrccm/148.4_Pt_1.985. ISSN 0003-0805. PMID 8214955.
  37. ^ Newman, Lee S.; Mroz, Margaret M.; Balkissoon, Ronald; Maier, Lisa A. (2005-01-01). "Beryllium Sensitization Progresses to Chronic Beryllium Disease". American Journal of Respiratory and Critical Care Medicine. 171 (1): 54–60. doi:10.1164/rccm.200402-190OC. ISSN 1073-449X. PMID 15374840.
  38. ^ Henneberger, P. K.; Cumro, D.; Deubner, D. D.; Kent, M. S.; McCawley, M.; Kreiss, K. (2001-04-01). "Beryllium sensitization and disease among long-term and short-term workers in a beryllium ceramics plant". International Archives of Occupational and Environmental Health. 74 (3): 167–176. Bibcode:2001IAOEH..74..167H. doi:10.1007/s004200100237. ISSN 0340-0131. PMID 11355290. S2CID 39949745.
  39. ^ National Research Council (U.S.). Committee on Beryllium Alloy Exposures, National Research Council (U.S.). Committee on Toxicology (2007). Health effects of beryllium exposure. National Academies Press. p. 11. ISBN 978-0-309-11167-6.
  40. ^ David Geraint James, Alimuddin Zumla, The granulomatous disorders, Cambridge University Press, 1999, ISBN 0-521-59221-6, pages 336–337
  41. ^ Brown University Medical School. "Berylliosis". Archived from the original on 2017-10-04. Retrieved 2012-08-20.
  42. ^ Welch, L (2013). "Beryllium Disease Among Construction Trade Workers at Department of Energy Nuclear Sites". American Journal of Industrial Medicine. 56 (10): 1125–1136. doi:10.1002/ajim.22202. PMID 23794247.
  43. ^ "Photograph of Chicago Pile One Scientists 1946". Office of Public Affairs, Argonne National Laboratory. 19 June 2006. Retrieved 2008-09-18.
  44. ^ Agency for Toxic Substances and Disease Registry. September 2002 Toxicological Profile: Beryllium. See also 2009 Addendum
  45. ^ Marshall, E (1999). "Science News: Beryllium screening raises ethical issues". Science. 285 (5425): 178–179. doi:10.1126/science.285.5425.178b. PMID 10428708. S2CID 11215967.