Apocrine gland carcinoma
| Apocrine gland carcinoma | |
|---|---|
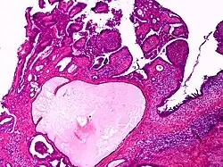
| Apocrine gland carcinoma, papillary type | |
| Specialty | Dermatology/oncology |
Apocrine gland carcinoma is a cutaneous condition characterized by skin lesions which form in the axilla or anogenital regions.[1]: 670
See also
References
- ^ James, William D.; Berger, Timothy G.; et al. (2006). Andrews' Diseases of the Skin: Clinical Dermatology. Saunders Elsevier. ISBN 0-7216-2921-0.